Home | EndoTODAY | EndoATLAS

Beginner | ESA | Schedule | OPD

Seminars | Atlas | Recent | Links

EndoTODAY ³»½Ã°æ ±³½Ç


[Gastric submucosal tumor SMT À§Á¡¸·ÇÏÁ¾¾ç, Gastric subepithelial tumor SET À§»óÇÇÇÏÁ¾¾ç] - ðû

[Position statement. 2022-4-1. ÀÌÁØÇà] °ËÁø ³»½Ã°æ¿¡¼­ ¹ß°ßµÈ 1-2cm ¹Ì¸¸ÀÇ »óÇÇÇÏÁ¾¾ç¿¡ ´ëÇÏ¿© Ç×»ó Á¶Á÷°Ë»ç¸¦ ÇÒ ÇÊ¿ä´Â ¾øÀ» °Í °°½À´Ï´Ù. Á¤»ó overlying mucosaÀÌ°í ´Ù¸¥ ºñÁ¤»ó ¼Ò°ßÀÌ ¾øÀ¸¸é Á¶Á÷°Ë»ç ¾øÀÌ °æ°ú°üÂûÀ» ÇÒ ¼ö ÀÖ´Ù°í »ý°¢ÇÕ´Ï´Ù. ÀÛÀº »óÇÇÇÏÁ¾¾çÀÇ Á¶Á÷°Ë»ç¸¦ ÅëÇÏ¿© ÀǹÌÀÖ´Â °á°ú¸¦ ¾ò´Â °æ¿ì´Â ¸¹Áö ¾Ê½À´Ï´Ù. ¹Ý¸é Á¶Á÷°Ë»ç¿¡ µû¸¥ ÃâÇ÷ À§ÇèÀº »ó´çÇÕ´Ï´Ù. VarixÀÎ °æ¿ìµµ ÀÖ½À´Ï´Ù.

SMT Á¶Á÷°Ë»ç ÈÄ º´¿ø ³»¿¡¼­ ´ë±âÇÏ´Ù°¡ ´ë·®ÃâÇ÷.

Á¶Á÷°Ë»ç¿¡ ÀÇÁ¸Çϱ⺸´Ù´Â À°¾È¼Ò°ßÀ» Áß½ÃÇØ¾ß ÇÕ´Ï´Ù.

2022-4-30. ¼øÃµ¸¸³»½Ã°æ¼¼¹Ì³ª

2023-11-10. ºñ¿ÂµÚ¿¡¼­ ÀϹÝÀÎÀ» ´ë»óÀ¸·Î ½ºÆ®¸®¹Ö °­ÀǸ¦ ÇÏ¿´½À´Ï´Ù.

1. °ÇÁø ³»½Ã°æÀÇ SMTÀÇ ºóµµ

2. °ÇÁø¿¡¼­ ¹ß°ßµÈ ÀÛÀº SMTÀÇ ¿î¸íÀº?

3. À§ SMT ¼ö¼ú °á°ú

4. ÀÛÀº SMT¿¡ ´ëÇÑ ESD¿Í ¼ö¼úÀÇ ºñ±³

5. 1-2 cm ÀÌÇÏ À§ SMT¿¡¼­ EUS¸¦ ±ÇÇØ¾ß Çϴ°¡?

6. ÀÌÁØÇàÀÇ È¯ÀÚ ¼³¸í¼­

7. Å©±â¿¡ ´ëÇÑ È¥¼± - "Ä¿Á³½À´Ï´Ù"¶ó°í ¸»ÇÏ´Â °ÍÀº ½±½À´Ï´Ù. ±×·¯³ª...

8. ³»½Ã°æ Ä¡·á

9. SMT-like cancer

10. SMT ¸ð½ÀÀ» º¸ÀÎ desmoid tumor, fibromatosis

11. À§ SMT·Î ¿À¼ÌÀ¸³ª ´Ù¸¥ Áúȯ ¹ß°ßÇÑ Áõ·Êµé

12. Cases

13. FAQs

14. References


0. Introduction

Submucosal tumorÀÇ ´ëÇ¥ ¼Ò°ßÀº Á¤»ó Á¡¸·ÀÔ´Ï´Ù.


1. °ÇÁø ³»½Ã°æÀÇ SMTÀÇ ºóµµ

1.7% - ÇѾç´ëÇб³ (Lee JH. Korean J Gastroenterol 2015)


[EndoTODAY »ý°¢ (2022)]

¾Æ·¡¿Í °°Àº º´¼Ò±îÁö ¸ðµÎ ±â¼úÇÏ¸é ±× ºóµµ´Â ÇѾøÀÌ ³ô¾ÆÁú ¼ö ÀÖ½À´Ï´Ù. ³»½Ã°æÀ» óÀ½ ½ÃÀÛÇÏ¸é ¾Ö¸ÅÇÑ ºÎºÐÀÌ ¸¹ÀÌ º¸ÀÔ´Ï´Ù. ¸ðµÎ ±â¼úÇϰí Á¶Á÷°Ë»ç¸¦ ÇÏ°í ½ÍÀº À¯È¤¿¡ ºüÁý´Ï´Ù. ±×·¯³ª Áö³ªÄ¡°Ô ¸¹Àº Á¶Á÷°Ë»ç´Â ȯÀÚ¿¡°Ô µµ¿òµÇ´Â °æ¿ì°¡ °ÅÀÇ ¾ø½À´Ï´Ù. Àӻ󰡷μ­ÀÇ Åµµ¸¦ À¯ÁöÇÏ°í ²À ÇÊ¿äÇÑ °æ¿ì¸¸ Á¶Á÷°Ë»ç¸¦ ÇÏ´Â °ÍÀÌ ÁÁÀ» ¶§°¡ ¸¹½À´Ï´Ù. ¾Æ¿¹ ½½Â½ ¸ø º» ù ÇÏ´Â °ÍÀÌ È¯ÀÚ¿¡°Ô µµ¿òµÇ´Â °æ¿ìµµ ÀÖ½À´Ï´Ù. ¿¹¹ÎÇÑ È¯ÀÚ´Â ¾ÆÁÖ ÀÛÀº ¼Ò°ß¿¡ ÁýÂøÇÏ¿© °úÀ× °Ë»ç¸¦ ¹Þ´Â °æ¿ìµµ ¸¹±â ¶§¹®ÀÔ´Ï´Ù.

50´ë ÈÄ¹Ý ³²¼º¿¡¼­ ¹ß°ßµÈ fundusÀÇ tiny SMT. 2mm Á¤µµ¶ó°í »ý°¢µË´Ï´Ù. ½½Â½ ¹«½ÃÇØµµ ÁÁÀ» Å©±â ¾Æ´Ñ°¡ ÆÇ´ÜµÇ´Âµ¥ °Ë»çÀÚ´Â À̸¦ »çÁøÂï°í Á¶Á÷°Ë»ç¸¦ ÇÏ¿´°í °á°úÁö¿¡ ±â·ÏÀ» ³²°ÜµÎ¾ú½À´Ï´Ù.

¿¹»óÇÏ¿´´ø ¹Ù¿Í °°ÀÌ Á¶Á÷°Ë»ç¿¡¼­´Â ¾Æ¹«·± ÀÌ»ó ¼Ò°ßÀÌ ¾ø¾ú½À´Ï´Ù. »ç½Ç ÀÌ¿Í °°Àº tiny SMT¿¡¼­ Á¶Á÷°Ë»ç´Â °ÅÀÇ ¾Æ¹«·± Àǹ̰¡ ¾ø½À´Ï´Ù.

Àú °°À¸¸é °ÅÀÇ Àǹ̾ø´Â º´¼Ò·Î º¸°í ½½Â½ ¹«½ÃÇÏ¿´À» °Í °°½À´Ï´Ù. ¾îÂ¥ÇÇ 1-2³â ÈÄ °ËÁø ³»½Ã°æ ÇÏ½Ç ºÐÀ̹ǷΠÀ̹ø¿¡ ±â¼úÇÏÁö ¾Ê´Â´Ù°í º° ¹®Á¦´Â ¾ø¾î º¸ÀÔ´Ï´Ù.


SMT Æò°¡ ½Ã °âÀÚ¸¦ ²À ½á¾ß ÇÏ´ÂÁö °í¹ÎÀÔ´Ï´Ù. Àú´Â Á¶Á÷°Ë»ç¸¦ ÇÒ °ÍÀÌ ¾Æ´Ï¸é ¾²Áö ¾Ê°í ÀÖ½À´Ï´Ù. ÇÑ ¼±»ý´Ô²² º¸³½ ¸ÞÀÏÀÔ´Ï´Ù. (2025)


2. °ÇÁø¿¡¼­ ¹ß°ßµÈ ÀÛÀº SMTÀÇ ¿î¸íÀº?

¼­¿ï´ëÇб³ ±è»ó±Õ ±³¼ö´Ô ºÎºÎ²²¼­ ¼­¿ï´ëÇб³ °­³²¼¾ÅÍ °ÇÁø³»½Ã°æ¿¡¼­ ¹ß°ßµÈ SMTÀÇ ÃßÀû°üÂû ¼ºÀûÀ» ¹ßÇ¥ÇÏ¿´½À´Ï´Ù (Song JH. Endoscopy 2015). ù ÀúÀÚ ¼ÛÁöÇö ¼±»ý´ÔÀº ±è»ó±Õ ¼±»ý´ÔÀÇ ºÎÀÎÀ̽ʴϴÙ. ºÎºÎ ÇÕÀÛ ³í¹®À» Áø½ÉÀ¸·Î ÃàÇÏÇÕ´Ï´Ù. °Ô´Ù°¡ ³í¹®ÀÇ ±×¸²ÀÌ Endoscopy Ç¥Áö »çÁøÀ¸·Î ¼±Á¤µÇ¾ú½À´Ï´Ù. ´õ¿í ÃàÇÏÇÕ´Ï´Ù.

86,698¸í Áß 1.94%(1,684¸í)¿¡¼­ SMT°¡ ¹ß°ßµÇ¾ú½À´Ï´Ù. ÀÌ Áß ÀÌ·±Àú·± ÀÌÀ¯·Î 730¸íÀ» Á¦¿ÜÇϰí 954¸íÀ» ÃßÀû°üÂûÇÏ¿´½À´Ï´Ù. óÀ½ Å©±â´Â Æò±Õ 8.7mm¿´½À´Ï´Ù. 2cm°¡ ³Ñ´Â °æ¿ì´Â EUS¸¦ ±ÇÇß°í ±×·¸Áö ¾ÊÀº °æ¿ì´Â ³»½Ã°æÀ¸·Î °üÂûÇÏ¿´½À´Ï´Ù.

47.3°³¿ù °æ°ú°üÂû Áß 96.4%¿¡¼­´Â Å©±âº¯È­°¡ ¾ø¾ú½À´Ï´Ù. 3.6%¿¡¼­ Å©±âÁõ°¡°¡ ÀÖ¾ú´Âµ¥ (25%ÀÌ»ó), ±× Á¤µµ´Â Æò±Õ 6.2mm (¹üÀ§ 2-15mm)¿´½À´Ï´Ù. Ç¥¸é hyperemia, erosion, ulcer´Â Å©±âÁõ°¡ÀÇ À§ÇèÀÎÀÚ¿´½À´Ï´Ù.

ÀúÀÚµéÀÇ °á·ÐÀ» ¿Å±é´Ï´Ù.

Most incidentally detected small subepithelial tumors in the upper gastrointestinal tract showed no size change during follow-up. Thus, regular follow-up with serial endoscopy may be sufficient for small subepithelial tumors (< 2 cm) with intact overlying mucosa.

±×·¸½À´Ï´Ù. °ÇÁø¿¡¼­ ¹ß°ßµÈ ÀÛÀº SMT´Â Å©±â°¡ Áõ°¡ÇÏ´Â ¿¹´Â °ÅÀÇ ¾ø½À´Ï´Ù. EUSµµ °ÅÀÇ ÇÊ¿ä¾ø½À´Ï´Ù. ¾î¼´Ù ¼û¾îÀÖ´Â ³ª»Û ³ðÀ» ¹ß°ßÇϴµ¥ ÁýÁßÇÏ¸é ±×¸¸ÀÔ´Ï´Ù. ÀÓ»ó°¡ÀÇ ¿À°¨À» ÁýÁßÇÏ¿© °ñ¶ó³»´Â ¼ö ¹Û¿¡ ¾ø½À´Ï´Ù. ±×³É ¸ðµÎ EUS¸¦ ÇÑ´Ù°í ³ª»Û ³ðÀ» ¹Ù·Î °ñ¶ó³¾ ¼ö ÀÖ´Â ±×·± °ÍÀÌ ¾Æ´Õ´Ï´Ù. ÀÛÀº SMT¿¡ ´ëÇÏ¿© ºÒÇÊ¿äÇÑ °Ë»ç¸¦ ÇÏÁö ¸¿½Ã´Ù. ÀÛÀº SMT°¡ ¹ß°ßµÈ ¼öÁøÀÚ¿¡°Ô °úµµÇÏ°Ô °ÌÁÖÁö ¸¿½Ã´Ù.

¼ÛÁöÇö, ±è»ó±Õ ¼±»ý´Ô. ÁÁÀº ¿¬±¸ ÃàÇÏÇÕ´Ï´Ù.


óÀ½ ¹ß°ß ½Ã ¾î¶»°Ô °Ë»çÇÒ °ÍÀÎÁö °í¹ÎÀÌ ¾Æ´Ò ¼ö ¾ø½À´Ï´Ù. ¾ÆÁÖ ÀÛÀ¸¸é 1³â ÈÄ ³»½Ã°æ, Á¶±Ý ´õ Å©¸é CT³ª EUS (Àú´Â EUS¸¦ °ÅÀÇ ÇÏÁö ¾Ê½À´Ï´Ù), Á¶Á÷ÀÌ ÇÊ¿äÇϸé EUS-guided fine needle aspiration/biopsy ȤÀº wedge resection... ÀÌ·± ¹æ½ÄÀ» »ç¿ëÇϰí ÀÖ½À´Ï´Ù. ÃÖ±Ù ÀϺ»¿¡¼­´Â contrast-enhancement EUS³ª EUS elastrographyµµ ½ÃµµÇÏ´Â ¸ð¾çÀÔ´Ï´Ù. °úÀ× ¾Æ´Ñ°¡ ½Í½À´Ï´Ù.

Gut Liver 2022


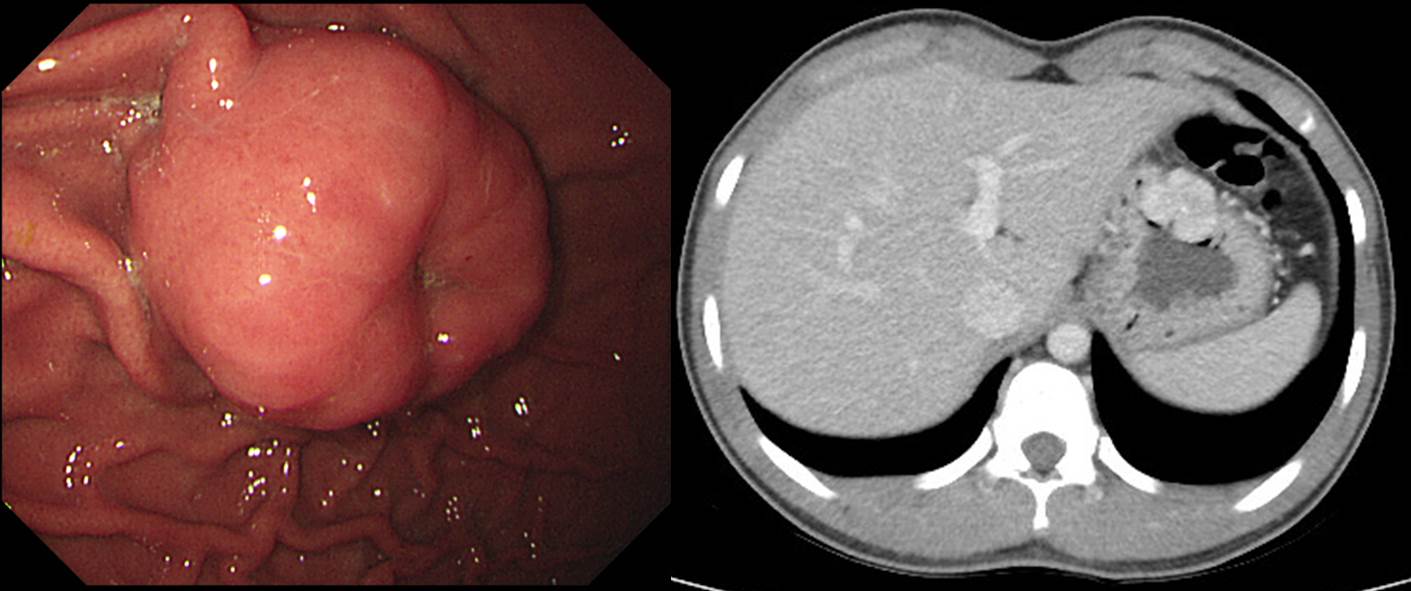
À§¿°È÷ ¹ß°ßµÈ ÀÛÀº gastric SMT´Â ´ëºÎºÐÀº Ä¿ÁöÁö ¾ÊÁö¸¸ ¹æ½ÉÀº ±Ý¹°ÀÔ´Ï´Ù. ºÐ¸í Ä¿Áö´Â °æ¿ìµµ Àֱ⠶§¹®ÀÔ´Ï´Ù. ¾Æ·¡ Áõ·Ê´Â ´ëÀå¾Ï ȯÀÚ¿¡¼­ ¿ì¿¬È÷ ¹ß°ßµÈ À§ SMT¿´½À´Ï´Ù. ÃßÀû°üÂûÀ» ±ÇÇÏ¿´À¸³ª follow up loss µÇ¾ú½À´Ï´Ù. 6³â¸¸¿¡ ¿À¼Ì´Âµ¥ Á¦¹ý Ä¿Áø »óÅ¿´½À´Ï´Ù. CT °Ë»ç ÈÄ ¼ö¼úÀ» ÇÏ¿´½À´Ï´Ù.

(2012. F/61)
Stomach, wedge resection: Gastrointestinal stromal tumor of high risk of malignant potential by proposed modification for adjuvant therapy (2008) (see note);
1) tumor size: 6.5x4 cm
2) mitosis: 6/50 HPF (high powered fields)
3) histological type: mixed spindle and epithelioid
4) necrosis: absent
5) cellularity: intermediate
6) cellular atypia: moderate
7) invasion into mucosa: absent
8) resection margin involvement: absent
Note: High risk by NIH (2002) and High risk (55%) of progressive disease by Miettinen (2006).
. DOG-1 : Positive in tumor cells
. Ki-67 : Positive in about 10% of tumor cells
. C-KIT (CD 117) : Positive in tumor cells


3. À§ SMT ¼ö¼ú °á°ú

»ï¼º¼­¿ïº´¿ø ¼ö¼ú¿¹¸¦ ºÐ¼®ÇÑ °á°úÀÔ´Ï´Ù (Min YW. J Gastrointestinal Surg 2015).


4. ÀÛÀº SMT¿¡ ´ëÇÑ ESD¿Í ¼ö¼úÀÇ ºñ±³

2015³â 12¿ù ÇѸ²´ëÇб³¿Í °¡Ãµ±æº´¿ø ¼±»ý´ÔµéÀÌ À§ SMT¿¡ ´ëÇÑ ESD¿Í ¼ö¼úÀ» ºñ±³ÇÑ °á°ú¸¦ ¹ßÇ¥ÇÏ¿´½À´Ï´Ù (Soh JS. Scand J Gastroenterol 2015 - Epub). ESD°¡ ÀÔ¿ø±â°£À̳ª ºñ¿ë¸é¿¡¼­ ´õ ÁÁ´Ù´Â °á·ÐÀ̾ú½À´Ï´Ù. ´Ù¸¸ ESD ±ºÀÇ Æò±Õ Å©±â°¡ ÀÛ¾Ò½À´Ï´Ù. 15 mm ¿´½À´Ï´Ù.


5. 1-2 cm ÀÌÇÏ À§ SMT¿¡¼­ EUS¸¦ ±ÇÇØ¾ß Çϴ°¡?

1-2 cm ÀÌÇÏ À§ SMT¿¡¼­´Â °ÅÀÇ ´ëºÎºÐ EUS°¡ ÇÊ¿äÇÏÁö ¾Ê½À´Ï´Ù. Á¦°¡ Áö±Ý±îÁö Á¢ÇÑ ¾î¶² °¡À̵å¶óÀο¡¼­µµ EUS¸¦ ±ÇÇÏ´Â °÷Àº ¾ø¾ú½À´Ï´Ù. ´ëºÎºÐÀÇ Á¾¼³¿¡¼­µµ °íÀ§ÇèÀÎÀÚ°¡ ¾ø´Â 1 cm ÀÌÇÏ À§ SMT¿¡¼­ EUS¸¦ ±ÇÇÏÁö ¾Ê°í ÀÖ½À´Ï´Ù.

ÇÐȸ °­ÀÇ °°Àº °÷¿¡¼­ ÀÚÁÖ ¾ð±ÞµÇ´Â EckardtÀÇ algorithmÀÔ´Ï´Ù (¾Æ·¡ ±×¸²). 1 cmÀ» ÃʰúÇÒ ¶§ EUS¸¦ Çϵµ·Ï µÇ¾î ÀÖ½À´Ï´Ù. »ç½Ç EckardtÀÇ algorithmÀº °¡À̵å¶óÀ̵µ ¾Æ´Õ´Ï´Ù. ÇÑ ³í¹®¿¡ ´ëÇÑ editorial, Áï ÇÑ »ç¶÷ÀÇ ÀǰßÀÏ »ÓÀÌÁö¿ä.

¸¶Ä¡ °¡À̵å¶óÀÎÀÌ¶óµµ µÇ´Â °Íó·³ ¼Ò°³µÇ´Â LandiÀÇ ±×·¡ÇÁ (¾Æ·¡ ±×¸²)µµ Á¾¼³ÀÏ »ÓÀÔ´Ï´Ù. ÇÑ »ç¶÷ÀÇ ÀǰßÀÏ »Ó °¡À̵å¶óÀÎÀÌ ¾Æ´Õ´Ï´Ù.

±×³ª¸¶ ¾ð±ÞÇÒ ¼ö ÀÖ´Â °¡À̵å¶óÀÎÀº ÀϺ»¿¡¼­ ³ª¿Ô½À´Ï´Ù (¾Æ·¡ ±×¸²). ÀϺ» °¡À̵å¶óÀο¡¼­´Â Áõ»óÀÌ ¾ø°í 2 cm ¹Ì¸¸À̰í malignant findingÀÌ ¾øÀ¸¸é Á¤±âÀûÀÎ ³»½Ã°æ ÃßÀû°Ë»ç¸¸ Çϵµ·Ï ±ÇÇϰí ÀÖ½À´Ï´Ù. 2 cm°¡ ³Ñ´Â´Ù°í ²À EUS¸¦ Ç϶ó°í ±ÇÇϰí ÀÖ´Â °ÍÀº ¾Æ´Õ´Ï´Ù. CT ȤÀº EUS ȤÀº EUS-FNAB¸¦ Çϵµ·Ï ±ÇÇϰí ÀÖ½À´Ï´Ù. (ÀÌ »óȲ¿¡¼­ Àú´Â CT¸¦ ¼±È£Çϰí ÀÖ½À´Ï´Ù.)

°¡À̵å¶óÀÎÀ» ±â¹ÝÀ¸·Î ÇÑ Á¾¼³(Nishida. Gastric Cancer 2016)ÀÇ ±×¸²À» ¿Å±é´Ï´Ù.

¿©±â¼­´Â ù ²ÀÁö°¡ Áß¿äÇÕ´Ï´Ù. Undiagnosed SMT¿Í histological GIST¶ó´Â µÎ ²ÀÁö Áß Àû´çÇÑ °÷¿¡¼­ ½ÃÀÛÇØ¾ß ÇÕ´Ï´Ù. ¹«Áõ»ó ¼ºÀÎÀÇ °ËÁø ³»½Ã°æ¿¡¼­ ¸¸³ª´Â ´ëºÎºÐÀÇ SMT´Â undiagnosed SMTÀÏ »Ó, histological GIST´Â ¾Æ´Õ´Ï´Ù. ¹«Áõ»ó ¼ºÀÎÀÇ 2 cm ¹Ì¸¸ undiagnossed SMT¿¡ ´ëÇÑ Ç¥ÁØ Á¢±Ù¹ýÀº high risk features (ulceration, irregular border, increase in size)°¡ ¾ø´Â ÇÑ CT, EUS, EUS-FNA¸¦ ÇÏ´Â °ÍÀÌ ¾Æ´Ï°í ³»½Ã°æ ÃßÀû°üÂûÀÔ´Ï´Ù.

1-2 cm ¹Ì¸¸ À§ SMT¿¡ ´ëÇÏ¿© °ÅÀÇ ÀÚµ¿À¸·Î EUS¸¦ ±ÇÇÏ´Â ÇöÀçÀÇ °üÇàÀº ±Ù°Å°¡ ¾ø´Â °ÍÀÌ°í ½Ã±ÞÈ÷ ÁߴܵǾî¾ß ÇÕ´Ï´Ù. Undiagnosed SMT¿Í GIST¸¦ È¥µ¿ÇÑ ºÎÁÖÀÇÀÇ °á°úÀÏ ¼ö ÀÖ½À´Ï´Ù. ȤÀº ÇÑ »ç¶÷ÀÇ ÀǰßÀ» ÀÇ·á°èÀÇ ÀϹÝÀûÀÎ ÀǰßÀÎ °¡À̵å¶óÀÎÀ¸·Î Âø°¢ÇÑ ¿ÀÇØÀÇ ¼ÒÄ¡ÀÏ ¼ö ÀÖ½À´Ï´Ù. ȤÀº °¡À̵å¶óÀΰú ´Ù¸¥ °³ÀÎÀûÀÎ °æÇè¿¡ ±Ù°ÅÇÑ ÀÇ»çÀÇ ½Å³ä°°Àº °Íµµ ÀÖ½À´Ï´Ù (¹°·Ð EBM¿¡¼­´Â ÁÁÁö ¾ÊÀº °ÍÀ¸·Î ÇØ¼®µË´Ï´Ù). ȤÀº ÇлýÀ̳ª Àü°øÀÇ ½ÃÀý À߸ø ¹è¿î °üÇàÀÏ ¼ö ÀÖ½À´Ï´Ù (ÀÌ´Â °øºÎ°¡ ºÎÁ·ÇÑ °á°úÀÌ´Ï ´õ À̾߱âÇÒ ÇÊ¿ä´Â ¾øÀ» °Í °°½À´Ï´Ù). ȤÀº ¿©±â¼­ ¹àÈ÷±â ¾î·Á¿î ¶Ç ´Ù¸¥ ÀÌÀ¯°¡ °¡´ÉÇÕ´Ï´Ù. ¿©ÇÏÆ° ºñ½Î°í, Á¤È®ÇÏÁöµµ ¾ÊÀº °Ë»ç¸¦ ³Ê¹« ½±°Ô ±ÇÇÏ´Â ÇöÀçÀÇ °üÇàÀº ¿ÇÁö ¾Ê´Ù°í º¾´Ï´Ù.


[2019-11-23. Ãß°¡]

°¡Å縯´ëÇб³ ÀÎõ¼º¸ðº´¿ø¿¡¼­ ÃÖ±Ù À§ SMT¿¡¼­ CTÀÇ À¯¿ë¼ºÀ» ºÐ¼®ÇÑ °á°ú¸¦ ¹ßÇ¥ÇÏ¿´½À´Ï´Ù. CT Versus Endoscopic Ultrasound for Differentiating Small (2-5 cm) Gastrointestinal Stromal Tumors From Leiomyomas (AJR Am J Roentgenol 2019). °á·ÐÀº ÀÌ·¸½À´Ï´Ù. CT is as effective as endoscopic ultrasound for the diagnosis of gastric subepithelial tumors smaller than 5 cm. Tumors with intralesional necrosis and an LD-SD ratio less than 1.5 may require further pathologic diagnosis.

Þç̸ÀÔ´Ï´Ù¸¸, ÀϺ» °¡À̵å¶óÀο¡¼­ ¾ð±ÞµÈ ¹Ù¿Í °°ÀÌ 2cm ¹Ì¸¸À̸é Ãß°¡°Ë»ç°¡ ÇÊ¿äÇÏÁö ¾Ê°í 2cm ÀÌ»óÀÌ¸é ±Ý¹ø ¿¬±¸ °á°úó·³ CT¸¦ ÃßõÇÏ¸é ¾î¶³±î¿ä? Àú´Â EUS°¡ ²À ÇÊ¿äÇÑ °æ¿ì´Â °ÅÀÇ ¾øÀ» °ÍÀ¸·Î »ý°¢Çϰí ÀÖÀ¸¸ç ½ÇÁ¦·Î °ÅÀÇ Ã³¹æÇÏÁö ¾Ê°í ÀÖ½À´Ï´Ù. À̹ø ¿¬±¸¸¦ ÅëÇÏ¿© EUS¿Í CTÀÇ specificity°¡ ÀÌó·³ º° Â÷À̰¡ ¾ø´Ù´Â °ÍÀÌ ´Ù½Ã Çѹø ¹àÇôÁ³´õ´Ï ºñ±Þ¿© °Ë»ç¸¦ ÇÒ ÀÌÀ¯´Â ´õ¿í ¾ø¾îÁ³´Ù°í »ý°¢ÇÕ´Ï´Ù.


[2020-7-23. Ãß°¡]

¿ì¸®³ª¶ó´Â ¼¼°è¿¡¼­ ÀÇ·á Á¢±Ù¼ºÀÌ °¡Àå ÁÁÀº °÷ÀÔ´Ï´Ù. ÀåÁ¡ÀÏ ¼öµµ ÀÖÀ¸³ª ´ÜÁ¡À̱⵵ ÇÕ´Ï´Ù. ÃßÀû°Ë»ç°¡ ÇÊ¿äÇÑ È¯ÀÚ°¡ º´¿øÀ» ¿Å°Ü´Ù´Ï¸é ÀÏÀÌ ²¿À̱⠽ÃÀÛÇÕ´Ï´Ù.

¶Ç ´Ù¸¥ À̽´µµ ÀÖ½À´Ï´Ù. °Ë»ç¸¸ ÇÏ°í ÆÇ´ÜÀº ÇÏÁö ¾Ê´Â °ËÁø±â°üÀÌ ÀÖ´Ù´Â °ÍÀÔ´Ï´Ù. ³»½Ã°æ ÀÇ»ç´Â °Ë»ç°¡ ÁÖ(ñ«)ÀÓ¹«°¡ ¾Æ´Ï°í ÆÇ´ÜÀÌ ÁÖ ÀÓ¹«ÀÔ´Ï´Ù. ÁÖÀÓ¹«¸¦ ¹«½ÃÇÏ´Â Àǻ簡 ´Ã°í À־ °ÆÁ¤ÀÔ´Ï´Ù. °³ÀÎ Å¿µµ ÀÖ°ÚÀ¸³ª ȯ°æ Å¿µµ Å®´Ï´Ù.

¸Å³â °°Àº °ËÁø ±â°ü¿¡¼­ ³»½Ã°æÀ» ¹Þ°í ÀÖ°í ÀÛÀº SMT°¡ º¯È­¾øÀÌ °üÂûµÇ´Âµ¥µµ °Ë»ç¸¦ ÇÒ ¶§¸¶´Ù Å« º´¿ø °¡¼­ Á¤¹Ð°Ë»ç ¹ÞÀ¸¶ó°í µè´Â ºÐÀÌ °è½Ê´Ï´Ù. Àú¿¡°Ô ¿À½Ã¸é ±×¶§¸¶´Ù ±×³É °¡½Ã¶ó°í µ¹·Áº¸³»µå¸³´Ï´Ù. ¼ö³â ÀÌ»ó º¯È­°¡ ¾ø´Â ÀÛÀº SMT¿¡¼­ ¿Ö Å« º´¿ø ¹æ¹®À» ±ÇÇÏ´ÂÁö, ¿Ö Á¤¹Ð°Ë»ç¸¦ ±ÇÇÏ´ÂÁö, ¿Ö ¸Å¹ø EUS¸¦ ±ÇÇϸ鼭 EUS¸¦ °ÅÀÇ ÇÏÁö ¾Ê´Â Àǻ翡°Ô º¸³»´ÂÁö Àú·Î¼­´Â ÀÌÇØÇÒ ¼ö ¾ø´Â ÀÏÀÔ´Ï´Ù.

¾Æ¹«¸® ¼¼»óÀÌ °¢¹ÚÇÏ´õ¶óµµ ÀÇ·áÀÎÀ¸·Î¼­ ÃÖ¼ÒÇÑÀÇ ÃøÀºÁö½ÉÀº °¡Á®¾ß ÇÏÁö ¾ÊÀ»±î »ý°¢ÇÕ´Ï´Ù. ºÒÇÊ¿äÇÏ°Ô À̸®Àú¸® ¿Ô´Ù°¬´ÙÇϴ ȯÀÚµéÀÌ ¸¹½À´Ï´Ù. "¾ÈŸ±î¿î ÀÏÀÔ´Ï´Ù"¶ó°í ¸»ÇÒ ¼ö ¹Û¿¡ ¾ø´Â ÀúÀÇ Ã³Áöµµ ÂüÀ¸·Î ¾ÈŸ±õ½À´Ï´Ù.


[2021-1-24] ³»½Ã°æÇÐȸ °æÀÎÁöȸ ¿¬¼ö°­Á¿¡¼­ À̿밭 ¼±»ý´Ô²²¼­´Â 2cm ÀÌÇÏ SET°¡ Ưº°È÷ ³ª»Û ¼Ò°ßÀÌ ¾øÀ¸¸é (EUS µî Ãß°¡ °Ë»ç¸¦ ÇÏÁö ¾Ê¾Æµµ) °³¿ø°¡¿¡¼­ ÃßÀû°üÂûÀ» ÇÏ´Â °ÍÀ» ±ÇÀ¯Çϼ̽À´Ï´Ù. ´ë´ÜÈ÷ ȹ±âÀûÀÎ Á¦¾ÈÀ̶ó°í »ý°¢ÇÕ´Ï´Ù. ¹°·Ð µ¿ÀÇÇÕ´Ï´Ù.


6. ÀÌÁØÇàÀÇ È¯ÀÚ ¼³¸í¼­ (¸µÅ©)

°Ç°­°ËÁøÀ» ÅëÇÏ¿© ¿ì¿¬È÷ Á¡¸·ÇÏÁ¾¾ç(submucosal tumor; SMT)ÀÌ ¹ß°ßµÇ´Â ¿¹°¡ ¸¹½À´Ï´Ù. Á¾¾çÀÌ Á¡¸·(À§³ª ÀåÀÇ Ç¥¸é) ¾Æ·¡ÂÊ¿¡ À§Ä¡Çϰí ÀÖ´Ù´Â ÀǹÌÀÔ´Ï´Ù. ¿øÀÎÀº ´Ù¾çÇÕ´Ï´Ù. ¹®Á¦´Â ¼ö¼úÇÏÁö ¾Ê´Â ÇÑ È®ÁøÇÒ ¼ö ¾ø´Ù´Â °ÍÀÔ´Ï´Ù. ³»½Ã°æ Á¶Á÷°Ë»ç¸¦ ÇÏ´õ¶óµµ ´ëºÎºÐ ³»¿ë¹°À» ¾òÀ» ¼ö ¾ø½À´Ï´Ù. ÀÌ´Â º´¼Ò°¡ ÀÌºÒ ¾Æ·¡ º£°³Ã³·³ ±íÀº °÷¿¡ À§Ä¡Çϰí Àֱ⠶§¹®ÀÔ´Ï´Ù.

Á¡¸·ÇÏÁ¾¾çÀÌ ¸Å¿ì ÀÛÀ¸¸é ³»½Ã°æ ÃßÀû°üÂû¸¸ ÇÕ´Ï´Ù. ¾à°£ ´õ Å©¸é ÃÊÀ½ÆÄ³»½Ã°æ(EUS)À̳ª CT °Ë»ç¸¦ ÇÕ´Ï´Ù. ¾ÏÀÌ Àǽɵǰųª 3 cm (ȤÀº 2 cm)ÀÌ»ó Å« °æ¿ì¿¡´Â óÀ½ºÎÅÍ ¼ö¼úÀ» °í·ÁÇϱ⵵ ÇÕ´Ï´Ù. Ưº°ÇÑ ¹®Á¦°¡ ¾øÀ¸¸é 6 °³¿ù ÈÄ ³»½Ã°æ Àç°ËÀÌ ÇÊ¿äÇÕ´Ï´Ù. ½Ä»ýȰÀ̳ª ±âŸ ÀÏ»ó »ýȰ¿¡ Ưº°ÇÑ ÁÖÀÇÁ¡Àº ¾ø½À´Ï´Ù. ÇöÀúÈ÷ Ä¿Áö°Å³ª ¾ÏÀÌ ÀÇ½ÉµÇ¸é ¼ö¼úÀ» ÇÕ´Ï´Ù. [accessed: 2016-1-18]


7. Å©±â¿¡ ´ëÇÑ È¥¼± - "Ä¿Á³½À´Ï´Ù"¶ó°í ¸»ÇÏ´Â °ÍÀº ½±½À´Ï´Ù. ±×·¯³ª...

"Ä¿Á³½À´Ï´Ù"¶ó°í ¸»ÇÏ´Â °ÍÀº ½±½À´Ï´Ù. ȯÀÚ´Â Å©°Ô ³î¶ø´Ï´Ù. Å« º´¿øÀ» ã½À´Ï´Ù. Àç°ËÀ» ÇÕ´Ï´Ù. ½ÇÁ¦·Î ÇöÀúÈ÷ Ä¿Á®¼­ Ä¡·á°¡ ÇÊ¿äÇÑ °æ¿ì°¡ ÀÖÀ» °ÍÀÔ´Ï´Ù. ±×·¯³ª ¾Ö¸ÅÇÑ °æ¿ì°¡ ÈξÀ ´õ ¸¹½À´Ï´Ù. "¾È Ä¿Áø °Í °°´Ù"°í µè°Å³ª Ä¿Á³´Ù°í µè°í ¾à°£Àº °úÀ×Ä¡·á¸¦ ¹Þ°Ô µË´Ï´Ù.

Ä¿Á³´Ù°í µè°í Àü °¡Á·ÀÌ ¸Õ º´¿øÀ» ã¾Æ¿Í °Ë»ç¸¦ ÇÏ°í ¸çÄ¥ ÈÄ °á°ú¸¦ µé¾úÀ¸³ª º°·Î Ä¿Áø °Í °°Áö ¾Ê°í ¿ÀÂ÷ ¹üÀ§¶ó°í µè°í ÇãÅ»ÇØ ÇÏ¿´´ø 70´ë ¿©ÀÚ È¯ÀÚ (2016)

Á¤¸»·Î Ä¿Áø °ÍÀ¸·Î È®½ÅµÉ ¶§¸¸ Ä¿Á³´Ù°í ¸»ÇÏ´Â °ÍÀÌ ÁÁ°Ú½À´Ï´Ù. ¾Ö¸ÅÇÑ °ÍÀ» Ä¿Á³´Ù°í ¸»Çϰųª ±âŸ ´Ù¸¥ ÀÌÀ¯·Î ȯÀÚ¿¡°Ô Áö³ªÄ£ °øÆ÷°¨À» ÁÖÁö ¸¿½Ã´Ù.

ºñ½ÁÇÑ È¯ÀÚ°¡ ³Ê¹« ¸¹¾Æ¼­ ¿äÁòÀº ¹Ï´Â ÀÇ»ç ¸»À» µû¶ó¼­ °áÁ¤Ç϶ó°í ¼³¸íÇϰí ÀÖ½À´Ï´Ù.


8. ³»½Ã°æ Ä¡·á

1) EMR (inject and cut)

gastritis cystica in the fundus

2) ESD

leiomyoma

3) Endoscopic muscularis excavation (Yu Zhang. WJG 2015)

4) Endoscopic full thickness resection

5) Submucosal tunneling endoscopic resection


9. SMT-like cancer. Á¡¸·ÇÏÁ¾¾çó·³ º¸ÀÌ´Â À§¾Ï

ÈçÇϵð ÈçÇÑ Á¡¸·ÇÏÁ¾¾ç »çÀÌ¿¡ SMT-like cancer°¡ Çϳª¾¿ ³¢¾îµé¾î ÀÖ½À´Ï´Ù. À̵éÀ» Àß Ã£¾Æ¼­ ÀûÀýÈ÷ Ä¡·áÇÏ´Â °ÍÀº ¸Å¿ì Áß¿äÇÕ´Ï´Ù.

2025-7-28

2020-8-17. EoA


[SMT-like cancer of the distal antrum, ¶Ñ·ÇÇÑ Á¡¸· º´¼Ò°¡ ÀÖ¾ú°í ¸¶Áö¸· Á¶Á÷°Ë»ç¿¡¼­ ¾ÏÀ¸·Î ³ª¿Ô´ø ¿¹]

SMT-like cancer´Â ÀüÁ¤ºÎ¿¡ ¸¹½À´Ï´Ù. Á¦ °æÇèÀ¸·Î´Â ³¯¹®¿¡ °¡±î¿î ºÎÀ§¿¡ ´õ ¸¹Àº °Í °°½À´Ï´Ù. Pyloric ring °¡±î¿î °÷¿¡ SMT-like cancer°¡ »ý±â°í, ÀÌ·Î ÀÎÇÏ¿© pyloric ringÀ» µÕ±×·¸°Ô º¸Áö ¸øÇÏ´Â »óȲµµ ¹ß»ýÇÕ´Ï´Ù. ±×·¯³ª ³»½Ã°æÀÇ Á¢±Ù °¢µµ ¶§¹®¿¡ ³¯¹® ÀÎÁ¢ À¶±âºÎ¸¦ Á¤¸é¿¡¼­ °üÂûÇÏÁö ¸øÇÕ´Ï´Ù. °á±¹ ºñ½ºµëÈ÷ °üÂûÇϰí target biopsy¸¦ ÇÏÁö ¸øÇÕ´Ï´Ù. ¸î °³¿ù ÈÄ ÃßÀû°Ë»ç¿¡¼­ ¾ÏÀÌ Áø´ÜµÇ±â ½±½À´Ï´Ù. ¼ö¼úÀ» ÇÒ ¼ö ¾ø´Â »óȲ¿¡¼­ Áø´ÜµÇ´Â ¿¹µµ ¿©·µ °æÇèÇÏ¿´½À´Ï´Ù.

¾Æ·¡´Â 4°³¿ù Àü°ú 1°³¿ù Àü ³»½Ã°æ ¹× Á¶Á÷°Ë»ç¿¡¼­ ¾ÏÀÌ ³ª¿ÀÁö ¾Ê¾Ò´ø ȯÀÚÀε¥ º¹¼ö°¡ ÀÖ´Ù°í ÀǷڵǾú½À´Ï´Ù. 1°³¿ù Àü Á¶Á÷°Ë»çÀÇ °á°ú´Â "regenerating atypia (note: rebiopsy is recommended)"¿´½À´Ï´Ù. º´¸®°ú ¼±»ý´ÔÀÌ º¸½Ã±â¿¡ ¹º°¡ ¾Ö¸ÅÇÑ ¼Ò°ßÀÌ ÀÖ¾ú´ø ¸ð¾çÀÔ´Ï´Ù. Áï½Ã Àç°ËÀ» ÇÏ¿´°í ³¯¹®¿¡ °¡±î¿î distal antrum posterior wall¿¡ À¶±âºÎ°¡ ÀÖ¾ú°í ±× Áß¾Ó¿¡ ¾à°£ÀÇ ÇÔ¸ôºÎ°¡ ÀÖ¾ú´Âµ¥ À§Ä¡ °ü°è·Î Á¤¸é»óÀ» »çÁøÀ¸·Î ³²±æ ¼ö ¾ø¾ú½À´Ï´Ù. ³»½Ã°æ °Ë»ç¸¦ ÇϽм±»ý´ÔÀº ÀÌ·¸°Ô ¾²¼Ì½À´Ï´Ù. "On the PW of the antrum, about 3cm sized mass covered with irregular and hyperemic surface was noted. The mass was hard and showed abnormal converging folds and easy touch bleeding. Pyloric deformity due to gastric mass was seen." Á¶Á÷°Ë»ç´Â poorly differentiated adenocarcinoma¿´½À´Ï´Ù.

ÀÇ·Ú Àü µÎ ¹ø, ÀÇ·Ú ÈÄ 1¹ø µµÇÕ 3¹ø Á¶Á÷°Ë»ç¸¦ ÇÏ¿´À¸¸ç ¸¶Áö¸· Á¶Á÷°Ë»ç¿¡¼­ ¾ÏÀ¸·Î È®ÀεǾúÀ¸³ª ÀÌ¹Ì peritoneal seedingÀÌ ÀÖ¾ú´ø Áõ·Ê

¸¶Áö¸· ³»½Ã°æ »çÁøÀ» ÀÚ¼¼È÷ »ìÆìº¸¸é... ¸Ö¸®¼­ º¸À̴ ǥ¸éÀº °ÅÀÇ Á¤»óÀ̰í, ¾ð´ö ³Ê¸Ó·Î ¾à°£ÀÇ ÇÔ¸ôºÎ°¡ ÀÖ°í, ÇÔ¸ôºÎ ³Ñ¾î·Î À¶±âºÎ°¡ Àִµ¥ ±× À¶±âºÎ´Â neoplastic ÇØ º¸ÀÔ´Ï´Ù. ´Ù½Ã Çѹø °­Á¶ÇÕ´Ï´Ù. ÀüÁ¤ºÎ, ƯÈ÷ distal antrum, ƯÈ÷ pyloric ring °¡±î¿î °÷¿¡¼­ SMT-like mass°¡ ¹ß°ßµÇ¸é ¹Ýµå½Ã SMT-like cancerÀÇ °¡´É¼ºÀ» °í·ÁÇϱ⠹ٶø´Ï´Ù.


[SMT-like cancer of the distal antrum, ¶Ñ·ÇÇÑ Á¡¸· º´¼Ò°¡ ÀÖ¾ú°í ù Á¶Á÷°Ë»ç¿¡¼­ atypicalÀ̳ª high grade dysplasia°¡ ³ª¿Ô´ø ȯÀÚ]

³¯¹® SMT°¡ ¹ß°ßµÇ¾ú°í Á¶Á÷°Ë»ç¿¡¼­ high grade dysplasia°¡ ¹ß°ßµÇ¾ú°í, ÃßÀû°Ë»ç¿¡¼­ ¾ÏÀ¸·Î ³ª¿Í ¼ö¼úÇÑ Áõ·Êµµ ÀÖ¾ú½À´Ï´Ù.


1. Location : lower third, Center at antrum and greater curvature
2. Gross type : Borrmann type 3
3. Histologic type : tubular adenocarcinoma, moderately differentiated
4. Histologic type by Lauren : intestinal
5. Size : 5x4 cm
6. Depth of invasion : penetrates subserosal connective tissue (pT3)
7. Resection margin: free from carcinoma, safety margin: proximal 16 cm, distal 1 cm
8. Lymph node metastasis : metastasis to 3 out of 39 regional lymph nodes (pN2) (3/39 : "1", 0/3; "3", 0/9; "4", 0/4; "4sb", 0/0; "5", 1/2; "6", 2/9; "7", 0/8; "8a", 0/2; "9", 0/1; "11p", 0/1; "12a", 0/0; "Rt.gastric LN", 0/0)
9. Lymphatic invasion : not identified
10. Venous invasion : not identified
11. Perineural invasion : not identified
12. Peritoneal cytology : negative

¾Æ·¡ ȯÀڴ ù °Ë»ç¿¡¼­ atypical gland with HGD·Î ³ª¿ÔÀ¸³ª ³»½Ã°æ À°¾È¼Ò°ßÀÌ massÀ̰í CT¿¡¼­ regional node±îÁö Ä¿Á® À־ ¼ö¼úÀ» ÇÏ¿´½À´Ï´Ù.


1. Location : lower third, center at antrum and anterior wall
2. Gross type : Borrmann type 5 (SMT-like)
3. Histologic type : tubular adenocarcinoma, poorly differentiated
4. Histologic type by Lauren : mixed
5. Size : 3x2.5 cm
6. Depth of invasion : invades serosa
7. Resection margin: free from carcinoma, safety margin: distal 1.5 cm, proximal 7.5 cm
8. Lymph node metastasis : metastasis to 2 out of 43 regional lymph nodes
9. Lymphatic invasion : present

10. Venous invasion : not identified
11. Perineural invasion : not identified
12. Peritoneal cytology : negative


[SMT-like cancer of the distal antrum, ¾à°£ÀÇ Á¡¸·º´¼Ò°¡ ÀÖ¾úÁö¸¸ µÎ ¹ø Á¶Á÷°Ë»ç¿¡¼­ ¾ÏÀÌ È®ÀεÇÁö ¾Ê¾ÒÀ¸³ª ¼ö¼úÇÏ¿´´ø ¿¹]

r/o SMT·Î ÀÇ·ÚµÈ È¯ÀÚÀÔ´Ï´Ù. ¿ÜºÎ Á¶Á÷°Ë»ç´Â chronic active gastritis with severe regenerative change¿´½À´Ï´Ù. Á¶Á÷°Ë»ç ¼Ò°ßÀÌ ¹º°¡ ÀÌ»óÇÏ´Ù´Â Á¤µµ¿´½À´Ï´Ù.

Áï½Ã ³»½Ã°æ Àç°ËÀ» ÇÏ¿´°í, ½Ã¼úÀÇ´Â "On the prepyloric antrum, about 5*4 cm sized mass with surface erosion was noted. The scope couldn't be passed to the pyloric ring. ¢Ã °á·Ð ¹× Áø´Ü: Huge mass with pyloric ring obstruction, R/O SMT, R/O Extrinsic compression, R/O AGC B-I, less likely"·Î ±â¼úÇÏ¿´½À´Ï´Ù. À§¾ÏÀÇ °¡´É¼ºÀÌ ¾ð±ÞµÇ¾î ÀÖ±â´Â Çѵ¥ 3¹øÂ°·Î ±â¼úµÇ¾î ÀÖ°í °Ô´Ù°¡ less likely°¡ ºÙ¾îÀÖ½À´Ï´Ù. Obstruction Áõ»óÀ¸·Î ¼ö¼úÀ» ½ÃÇàÇÏ¿´½À´Ï´Ù.

¼ö¼ú º´¸®´Â ¾Æ·¡¿Í °°¾Ò½À´Ï´Ù.

Stomach, subtotal gastrectomy: Advanced gastric carcinoma
1. Location : [1] lower third, [2] duodenum, Center at pylorus and greater curvature
2. Gross type : Borrmann type 1
3. Histologic type : Adenocarcinoma, moderately differentiated with focal squamous differentiation
4. Histologic type by Lauren : intestinal
5. Size : 4x3.5x2.2 cm
6. Depth of invasion : penetrates serosa (pT3)
7. Resection margin: free from carcinoma, safety margin: proximal, 5.5 cm; distal, 0.3 cm
8. Lymph node metastasis : metastasis to 3 LNs
9. Lymphatic invasion : present
10.Venous invasion : present (extramural)
11.Perineural invasion : present

¸Å¿ì aggressiveÇÑ À§¾ÏÀ¸·Î È®ÀεǾú½À´Ï´Ù. SMT-like cancer´Â º¸±âº¸´Ù aggressiveÇÑ °æ¿ì°¡ ¸¹½À´Ï´Ù.


[SMT-like cancer of the antrum, Á¡¸· º´¼Ò°¡ ÀüÇô ¾ø´Â °æ¿ì]

SMT-like cancerÀÇ ´ëºÎºÐÀº ¾à°£ÀÇ Á¡¸· º´¼Ò°¡ ÀÖ½À´Ï´Ù. ÀüüÀûÀ¸·Î´Â SMT¿Í ºñ½ÁÇÏÁö¸¸ ÀÛÀº ±Ë¾ç ºÎºÐÀ̳ª ºñÁ¤»óÀûÀΠǥ¸éÀÌ ÀÖ½À´Ï´Ù. ±×·¯³ª Á¤»ó Á¡¸·À¸·Î µ¤ÀÎ ¾èÀº dome °°Àº À§¾ÏÀº ÂüÀ¸·Î Áø´ÜÇÏ±â ¾î·Æ½À´Ï´Ù. ±×·¯ÇÑ Áõ·ÊµéÀ» ¼Ò°³ÇÕ´Ï´Ù.



Total gastrectomy and RAMPS (Radical Antegrade Modular Pancreatosplenectomy)
1. Location: [1] lower third, [2] middle third, Center at antrum and lesser curvature
2. Gross type : Borrmann type (unclassifiable)(mimicking submucosal tumor)
3. Histologic type: undifferentiated carcinoma
4. Histologic type by Lauren: indeterminate
5. Size: 5.4x3.5 cm
6. Depth of invasion: invades adjacent structure (pancreas)(pT4b)
7. Resection margin: free from carcinoma, safety margin: proximal 7 cm, distal 4 cm
8. Lymph node metastasis: no metastasis in 50 regional lymph nodes (pN0)
9. Lymphatic invasion: not identified
10. Venous invasion: not identified
11. Perineural invasion: not identified



"³»¿ø 7°³¿ù Àü ½ÃÇàÇÑ »óºÎÀ§Àå°ü ³»½Ã°æ¿¡¼­ À§¿° À̿ܿ¡ ƯÀÌ ¼Ò°ßÀº ¾ø¾ú´Ù"´Â ȯÀÚÀÔ´Ï´Ù. Screening endoscopy¿¡¼­ ÀÌ·± Áõ·Ê¸¦ Àâ¾Æ³»´Â °ÍÀº °ÅÀÇ ºÒ°¡´É¿¡ °¡±õ½À´Ï´Ù. (KJG 2019)

pT4aN2M0


10. SMT ¸ð½ÀÀ» º¸ÀÎ desmoid tumor, fibromatosis

Desmoid tumor´Â ¾î·Á¿î °³³äÀÔ´Ï´Ù. Google¿¡ ¹°¾îº¸¾Ò´õ´Ï "A desmoid tumor is a rare, locally aggressive fibroblastic tumor that grows from connective tissue. While not cancerous (malignant) because it doesn't spread, it can invade surrounding tissues and is difficult to remove surgically. Desmoid tumors are also known as aggressive fibromatosis."¶ó´Â ´äº¯À» ÁÖ¾ú½À´Ï´Ù (2025-8-6).

¿ì¿¬È÷ ¹ß°ßÇÏ¿© ¼ö¼ú·Î Ä¡·áÇÑ desmoid fibromatosis Áõ·ÊÀÔ´Ï´Ù.

Á¶Á÷ÇÐÀûÀ¸·Î´Â benignÀ̳ª local recur°¡ ¸¹¾Æ¼­ clinically´Â Ä¡·á°¡ º¹ÀâÇÒ ¼ö ÀÖ½À´Ï´Ù.

Aggressive mesenteric fibromatosis desmoid tumor. ¼ö¼úÀû ÀýÁ¦ ÈÄ local recur·Î ¾à¹°Ä¡·á Áß


11. À§ SMT·Î ¿À¼ÌÀ¸³ª ´Ù¸¥ Áúȯ ¹ß°ßÇÑ Áõ·Êµé

(1) À§Á¡¸·ÇÏÁ¾¾çÀ¸·Î ¹ß°ßÇÑ °£¾Ï (À§ Áúȯ Áõ·ÊÅäÀÇ 036)

Àú´Â À§ SMT¿¡ ´ëÇÑ EUS °Ë»ç¸¦ °ÅÀÇ ÇÏÁö ¾Ê½À´Ï´Ù. ¾È ÇÑÁö ¸î ³â µÇ¾ú½À´Ï´Ù. °ú°Å¿¡´Â °¡²û Çϱ⵵ Çß¾ú´Âµ¥¿ä... Á¦°¡ EUS¸¦ ÇØµµ ½º½º·Î °á°ú¸¦ ¹ÏÁö ¸øÇÏ´Â °æ¿ì°¡ ¸¹¾Ò½À´Ï´Ù. ±×·¡¼­ ÃÖ±Ù ¸î ³â µ¿¾ÈÀº ´ëºÎºÐ stomach CT·Î °Ë»çÇϰí ÀÖ½À´Ï´Ù. ¾Æ·¡´Â Ãæ°ÝÀûÀÎ Áõ·ÊÀÔ´Ï´Ù. µ¹ÀÌÄÑ »ý°¢Çغ¸¾Æµµ Á¦°¡ EUS¸¦ ÇØ¼­ Á¤È®È÷ Áø´ÜÇØ ³¾ ¼ö ÀÖ¾úÀ»±î ½Í½À´Ï´Ù. EUS ´ë½Å CT Çϱ⸦ ÀßÇß´Ù°í »ý°¢ÇÕ´Ï´Ù.

¸ÅÀÏ ¼ÒÁÖ¸¦ ¸¶¼Ì´ø ºÐÀÔ´Ï´Ù. ¿ÜºÎ ³»½Ã°æ¿¡¼­ SMT°¡ ¹ß°ßµÇ¾î ÀǷڵǾú½À´Ï´Ù. Rolling (+), cushion (-)·Î ¾º¿© ÀÖ¾ú½À´Ï´Ù. 10ÀÏ ÀüºÎÅÍ´Â µîµµ ¾ÆÆÍ´Ù°í Çß½À´Ï´Ù. º°·Î ´ë¼ö·ÓÁö ¾Ê°Ô »ý°¢Çϰí CT¿Í Á¤Çü¿Ü°ú ÀÇ·Ú¸¦ Çß½À´Ï´Ù. ±×·±µ¥, CT ÆÇµ¶ÀÌ "(1) Probable HCC in the liver lateral segment. (2) Liver cirrhosis with splenomegaly and prominent splenorenal shunt. (3) No definite evidence of gastric SMT on CT. Probable extrinsic compression due to hepatie lesion. Recommendation: MRI"¿´½À´Ï´Ù.

MRI¿¡¼­´Â multiple HCC°¡ ¹ß°ßµÇ¾ú°í, Ç÷¾×°Ë»ç¿¡¼­´Â HBsAg (-), HCV (-), aFP 145 ng/mlÀ̾ú½À´Ï´Ù. Bone scan¿¡¼­´Â T4 metastasis°¡ ÀǽɵǾú½À´Ï´Ù.

À§ SMT¿¡¼­´Â Ç×»ó extrinsic compressionÀÇ °¡´É¼ºÀ» °í·ÁÇØ¾ß ÇÕ´Ï´Ù. Àú´Â CT¸¦ »ç¶ûÇÕ´Ï´Ù.


[Áõ·Ê¿¡ ´ëÇÏ¿© ºÎ»ê´ë ±è±¤ÇÏ ±³¼ö´Ô²²¼­ º¸³»ÁֽŠÆíÁö (2020-1-6)]

¿À´Ã Áõ·Ê¸¦ º¸°í ¿À·¡Àü¿¡ Á¦°¡ ÀÛ¼ºÇß´ø ³í¹®(À§ ³» º®¿Ü¼º ¾Ð¹ÚÀÇ À§Ä¡¿¡ µû¸¥ ÀÓ»óÀû ÀǹÌ)À» º¸³»µå¸³´Ï´Ù. ¼±»ý´Ô°ú °°Àº Áõ·Ê°¡ ÀÖÀ¸¸ç, À§¿¡¼­ ¿ÜÀμº ¾Ð¹Ú º´º¯ÀÌ ÀÖÀ» ¶§ ¾î¶² À§Ä¡¿¡ ÀÖÀ» ¶§ Á¶½ÉÇØ¾ß Çϴ°¡¿¡ ´ëÇÑ ³»¿ëÀÔ´Ï´Ù.

À§ SMT-like extrinsic compression ȯÀÚ¿¡¼­ ¹ß°ßµÈ °£¾Ï

À§ SMT-like extrinsic compression ȯÀÚ¿¡¼­ ¹ß°ßµÈ À¯µÎºÎ¾Ï

(2) À§ SMT·Î ÀÇ·ÚµÈ lymphoma

À§Á¡¸·ÇÏÁ¾¾çÀ¸·Î ¿À¼Ì°í ±×³É CT¸¦ Âï¾ú´Âµ¥ º¹ºÎ¿¡¼­ ½ÉÇÑ lymphadenopathy°¡ ¹ß°ßµÇ¾ú½À´Ï´Ù. LymphomaÀÔ´Ï´Ù.

³²ÀÚ 65¼¼ (2020³â)

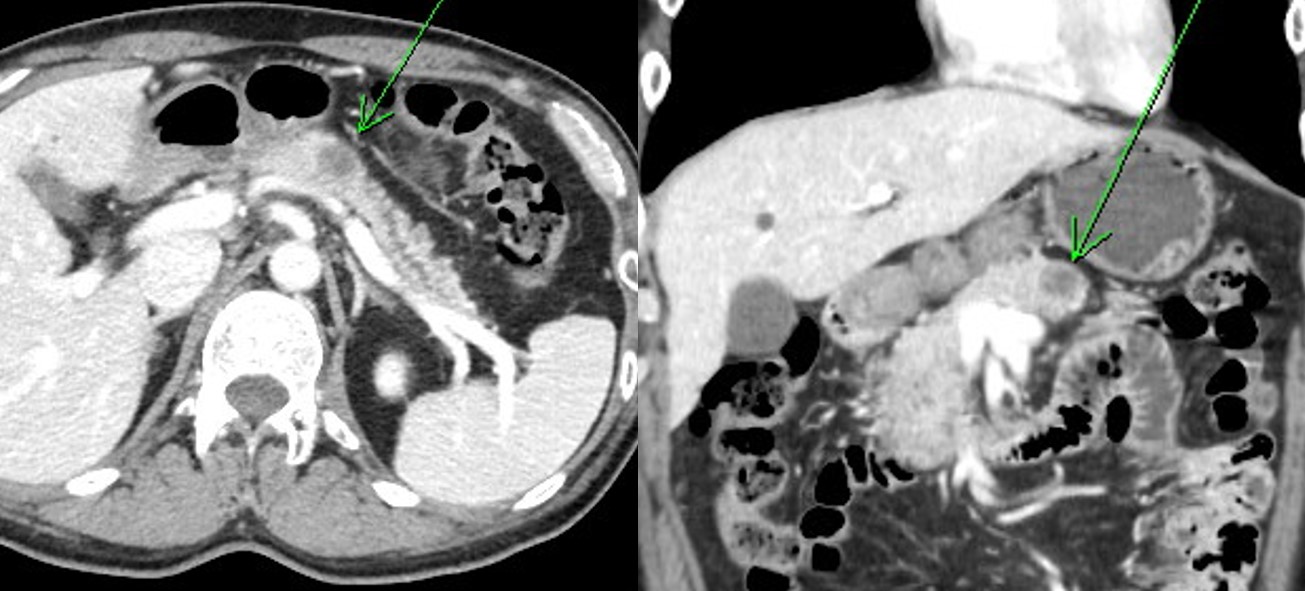
(3) À§ SMT·Î ÀǷڵǾúÀ¸³ª CT¿¡¼­ ½ÅÀå¾Ï ¹ß°ß

Àú´Â À§ EUS¸¦ º°·Î ÁÁ¾ÆÇÏÁö ¾Ê½À´Ï´Ù. ´ëºÎºÐ CT·Î Æò°¡Çϰí ÀÖ½À´Ï´Ù. ±×·± ¿ÍÁß¿¡ ¸¹Àº ÁúȯÀÌ ¹ß°ßµË´Ï´Ù. CT¸¦ »ç¶ûÇÏÁö ¾ÊÀ» ¼ö ¾ø½À´Ï´Ù.

2018³â ³²ÀÚ 60¼¼¿¡¼­ ¹ß°ßµÈ ½ÅÀå¾Ï. SMTµµ ¹«Áõ»óÀÌ°í ½ÅÀå¾Ïµµ ¹«Áõ»óÀÌ´Ï ±×³É ¸ðµç °ÍÀÌ ¿ì¿¬È÷ ¹ß°ßµÈ ¼ÀÀÔ´Ï´Ù. ô¸ú¹ÀÔ´Ï´Ù. Á¶±Ý °úÀåÇϸé ÀÌ·¸½À´Ï´Ù. CT¸¦ Çϸé ô¸ú¹À» ¸¸³­´Ù. EUS¸¦ Çϸé ô¸ú¹À» ¸¸³ªÁö ¸øÇÑ´Ù.

(4) ÀüÁ¤ºÎ SMT·Î ÀǷڵǾú´ø cholangiocarcinoma

¹º°¡ÀÇ Áõ»óÀÌ ÀÖ´Â ºÐÀÌ º°·Î Å©Áö ¾ÊÀº SMT·Î ÀǷڵǸé SMT´Â ¹«½ÃÇϰí workupÀ» ÇØ¾ß ÇÕ´Ï´Ù. Áõ»ó Æò°¡, ü°èÀû workup ¾øÀÌ ±×³É ³»½Ã°æ °Ë»çºÎÅÍ ÁøÇàÇÏ´Â ¾îó±¸´Ï ¾ø´Â ³ª¶ó¿¡¼­ ÀÏÇÏ´Â ¿ì¸®µéÀº ¹«Ã´ ÁÖÀÇÇØ¾ß ÇÕ´Ï´Ù.

À§ÀüÁ¤ºÎ SMT·Î ÀǷڵǾúÀ¸³ª üÁß°¨¼Ò¿Í ±¸¿ª°¨µµ À־ Áï½Ã CT¸¦ ½ÃÇàÇÏ¿© huge cholangiocarcinoma Áø´Ü

(5) À§ SMT¿¡ ´ëÇÑ ÃßÀû CT¿¡¼­ ¹ß°ßµÈ ÃéÀå¾Ï (2020, F/60)

Àú´Â CT¸¦ »ç¶ûÇÕ´Ï´Ù. EUS¸¦ ±×´ÙÁö ½Å·ÚÇÏÁö ¾Ê½À´Ï´Ù. ÀÌ·± Áõ·Ê¸¦ ¹ß°ßÇϸé CT¸¦ ´õ¿í ¦»ç¶ûÇÏ°Ô µË´Ï´Ù. »ç¶ûÇØ¿ä. CT^^

(6) ±âŸ

Undifferentiated pleomorphic sarcoma, high grade


[Cases]

ºù»êÀÇ Àϰ¢°ú °°Àº SMT. Wedge resection: GIST. 4x3cm mitosis 3/50 HPF

°ËÁø UGI ¿¡¼­ ¹ß°ßµÈ SMT·Î ¼ö¼úÀ» ½ÃÇàÇÔ.
Stomach, wedge resection: Leiomyoma (6x3 cm)
C-KIT (CD 117) : Negative in tumor cells
Actin (Smooth muscle) : Positive in tumor cells

Wedge resection: leimyoma 3 x 2.1cm

Wedge resection: leiomyoma

Wedge resection: leimyoma

Wedge resection (2006): leiomyoma. ¼ö¼ú ÈÄ reflux symptomÀ¸·Î »ó´çÈ÷ °í»ýÇÏ°í °è½Å ºÐÀÔ´Ï´Ù. CardiaÀÇ SMT¿¡ ´ëÇÏ¿© ²À ¼ö¼úÀÌ ÇÊ¿äÇÑÁö ´Ã °í¹ÎÀÔ´Ï´Ù. Leiomyoma°¡ ¾ÆÁÖ ¸¹±â ¶§¹®ÀÔ´Ï´Ù. ÃÖ±Ù¿¡´Â ¿©°£Çؼ­´Â ¼ö¼úÀ» ±ÇÇÏÁö ¾Ê°í ÀÖ½À´Ï´Ù. ¿µ ¾Ö¸ÅÇϸé EUS-guided biopsy ÈÄ ±× °á°ú¿¡ µû¶ó ¼±ÅÃÀûÀ¸·Î ÆÇ´ÜÇϰí ÀÖ½À´Ï´Ù.

Endoscopic resection: leiomyoma


À§Áö¹æÁ¾ lipoma

À§Áö¹æÁ¾ lipoma

À§Áö¹æÁ¾ lipoma


Plexiform angiomyxoid myofibrobastic tumor (benign) - PMID: PMC3479767

Cavernous hemangioma

¿©ÀÚ 40¼¼ (2020³â). Crystal-storing histiocytosis

Lymphangioma

Surgical pathology: consistent with Bronchogenic cyst (2.8x2 cm)

Wedge resection: herniated gastric mucosa in the submucosa with cystic dilatation

Herniated gastric mucosa in the submucosa

Hamartomatous inverted polyp (À§ Áõ·Ê 38)

Polypectomy (Inject and cut) : gastritis cystica in the fundus

2015³â ȯÀÚÀÔ´Ï´Ù. Á¡¸·ÇÏÁ¾¾ç ÃßÀû°üÂûÀÌ ÇÊ¿äÇÑ °æ¿ì¿´½À´Ï´Ù. °ú°Å¿¡ °Ë»ç¹Þ¾Ò´ø ÀÇ·á±â°ü¿¡¼­ ÃßÀû°üÂûÀ» ¹Þ¾Æ¾ß Çϴ ȯÀÚ°¡ ¿ì¿¬È÷ ³¸¼³Àº °ËÁø¼¾ÅÍ¿¡¼­ À§³»½Ã°æÀ» ¹Þ°í Å« º´¿øÀ» ±ÇÀ¯¹Þ¾Æ ³î¶ó¼­ ´Þ·Á¿À¼Ì½À´Ï´Ù. °ú°Å ±â·Ï°ú ºñ±³ÇÏ¿© Àß ¼³¸íÇϰí 1³â ÈÄ ³»½Ã°æ °Ë»ç¸¦ ±ÇÇÏ¿´½À´Ï´Ù. ȯÀÚµéÀº °ú°Å ±â·ÏÀÇ Á߿伺À» Àß ¸ð¸£´Â °æ¿ì°¡ ¸¹½À´Ï´Ù. °Ë»ç¸¦ ½ÃÀÛÇϱâ Àü¿¡ ȯÀÚÀÇ °ú°Å º´·ÂÀ» È®ÀÎÇÏ´Â °ÍÀÌ ÁÁ½À´Ï´Ù. °ú°Å ³»½Ã°æ¿¡¼­ Á¡¸·ÇÏ Á¾¾çÀÌ ÀÖ¾ú´Ù¸é, °Ë»ç¸¦ ÇÏÁö ¸»°í °ú°Å ÀÚ·áºÎÅÍ °¡Áö°í ¿Àµµ·Ï ÇÏ´Â °ÍÀÌ ¹Ù¸¥ ³»½Ã°æÀÔ´Ï´Ù. ÀÌ·± ÀýÂ÷¸¦ »ý·«ÇÏ¸é ¿Ã¹Ù¸¥ °Ë»ç¶ó°í ÇÒ ¼ö ¾ø½À´Ï´Ù. ÈçÈ÷µé ±×·¸°Ô Çϰí ÀÖ±â´Â ÇÏÁö¸¸... Ʋ¸° °Ë»çÀÔ´Ï´Ù. ½Î±¸·Á °Ë»ç¶ó°í ºÒ·Áµµ ÇÒ ¸»ÀÌ ¾ø½À´Ï´Ù. ¼ö°¡°¡ ³·´õ¶óµµ Áöų °ÍÀº Áöŵ½Ã´Ù.

ÀÌ Á¤µµ¸é Ãß°¡ °Ë»ç°í ¹¹°í ¾Æ¹« °Íµµ ÇÊ¿äÇÏÁö ¾Ê½À´Ï´Ù. ¹Ù·Î ¼ö¼ú. Àú´Â ÀÌ·± °æ¿ì EUS °Ë»ç¸¦ ÇÏÁö ¾Ê½À´Ï´Ù. Çϳª ¸¶³ª ¼ö¼úÀ» ÇØ¾ß Çϰí Ä¡·á °èȹÀÌ ¹Ù²îÁö ¾ÊÀ¸´Ï±î.
Stomach, "GIST", wedge resection:
Gastrointestinal stromal tumor of intermediate risk of malignant potential by proposed modification for adjuvant therapy (2008) (see note);
1) tumor size: 4.2x4.2x4 cm
2) mitosis: 7/50 HPF (high powered fields)
3) histological type: spindle
4) necrosis: absent
5) cellularity: intermediate
6) cellular atypia: mild
7) invasion into mucosa: present
8) resection margin involvement: absent
Note: Intermediate risk by NIH (2002) and moderate risk (16%) of progressive disease by Miettinen (2006).
. Ki-67 : Positive in about 7% of tumor cells
. PHH3 : Positive in tumor cells (up to 1/50 HPF)
. PKC: Positive in tumor cells
. DOG-1 : Positive in tumor cells
. C-KIT (CD 117) : Weak positive in tumor cells


°æÈñ´ëÇб³¿¡¼­ Pathology International 2012¿¡ ¹ßÇ¥ÇÏ¿´´ø Ig G4 related gastric SMT
SMT Å©±â ÃøÁ¤¿¡ ´ëÇÑ °üÂûÀÚ°£ Â÷ÀÌ (2015³â ȯÀÚ). ÇÑ º´¿ø¿¡¼­´Â Ãß°¡ Ä¡·á°¡ ÇÊ¿äÇÑ Å©±â·Î Æò°¡ÇÏ¿´°í, ´Ù¸¥ º´¿ø¿¡¼­´Â Ãß°¡ Ä¡·á°¡ ÇÊ¿äÇÏÁö ¾ÊÀº Å©±â·Î Æò°¡¸¦ ÇÑ »óȲÀε¥ ȯÀÚ´Â ¾î¶² ¼±ÅÃÀ» ÇØ¾ß ÇÒ±î¿ä? ¾î·Á¿î À̽´ÀÔ´Ï´Ù.

Á¡¸·ÇÏÁ¾¾ç ¾ç»óÀÇ °í·¡È¸ÃæÁõ (SMT-like anisakiasis) 2018-5 Ç︮ÄÚ¹ÚÅÍ ÇÐȸ ±³À°ÀÚ·á. PDF 0.5M

(2015, 25/F)
Gastroblastoma
CD 10, (CALLA, common acute lymphocytic leukemia antigen, surface glycoprotein) : Positive in tumor cells
EMA (epithelial membrane antigen = MUC1): Positive in tumor cells
Vimentin (intermediate filament protein that is expressed in mesenchymal cell): Focal positive in tumor cells
C-KIT (CD 117) : Negative in tumor cells
CD 56 (neural cell adhesion molecule, NK cell): Positive in tumor cells
Ki-67 : Positive in about 2% of tumor cells
Synaptophysin : Negative in tumor cells
Chromogranin : Negative in tumor cells

SMT Á¶Á÷°Ë»ç ÈÄ º´¿ø ³»¿¡¼­ ´ë±âÇÏ´Ù°¡ ´ë·®ÃâÇ÷.

³²ÀÚ 40¼¼. ÃÖ±Ù °ËÁø¿¡¼­ À§ µé¹® Á¡¸·ÇÏÁ¾¾çÀÌ ¹ß°ßµÇ¾î ±ô¦ ³î¶ó¼­ ¿Ü·¡¸¦ ¹æ¹®Çϼ̽À´Ï´Ù. ¿ì¿¬È÷ 7³â Àü ³»½Ã°æ »çÁøÀ» °¡Áö°í ¿À¼Ì´Âµ¥ ±× ¶§¿¡µµ µ¿ÀÏÇÑ ¼Ò°ßÀÌ ÀÖ¾ú½À´Ï´Ù. 7³â Àü¿¡´Â Á¡¸·ÇÏÁ¾¾ç¿¡ ´ëÇØ¼­´Â ¾Æ¹«·± À̾߱⸦ µèÁö ¸øÇß´Ù°í ÇÕ´Ï´Ù. 7³â°£ º¯È­¾ø´Â µé¹®ÀÇ ±æÂßÇÑ Á¡¸·ÇÏÁ¾¾çÀ¸·Î ±ÙÁ¾ÀÇ °¡´É¼ºÀÌ ³ô´Ù°í ¼³¸íÇÏ°í ¾Æ¹«·± Ãß°¡ °Ë»ç ¾øÀÌ 1³â ÈÄ ³»½Ã°æ °Ë»ç¸¸ ±ÇÇÏ¿´½À´Ï´Ù. Á¡¸·ÇÏ Á¾¾çÀº Á¾Á¾ miss µË´Ï´Ù. Ç¥¸éÀÌ Á¤»óÀ̴ϱî.


[FAQs]

EndoTODAY FAQ Á¡¸·ÇÏÁ¾¾ç »óÇÇÇÏÁ¾¾çÀ¸·Î ¿Å°å½À´Ï´Ù.


[References]

1) EndoTODAY Á¡¸·ÇÏÁ¾¾ç

2) EndoTODAY FAQ submucosal.html

3) EndoTODAY °£Áú¼º Á¾¾ç GIST

4) »óÇÇÇÏÁ¾¾çÀÇ Á¶Á÷ÇÐÀû Áø´Ü - Ç︮ÄÚ¹ÚÅÍÇÐȸ 2018/3 ±³À°ÀÚ·á

5) 2018³â 3¿ù 4ÀÏ À§´ëÀå³»½Ã°æÇÐȸ À̱â¸í ±³¼ö´ÔÀÇ °­ÀÇ Áß

6) [´ëÇѼÒÈ­±â³»½Ã°æÇÐȸ ±³À°ÀÚ·á 2021-3] Gastric adenomyoma À§ ¼±±ÙÁ¾

© ÀÏ¿ø³»½Ã°æ±³½Ç ¹Ù¸¥³»½Ã°æ¿¬±¸¼Ò ÀÌÁØÇà. EndoTODAY Endoscopy Learning Center. Lee Jun Haeng.