Home | EndoTODAY | EndoATLAS

Beginner | ESA | Schedule | OPD

Seminars | Atlas | Recent | Links

EndoTODAY ³»½Ã°æ ±³½Ç


[StomachTODAY 038. Gastric Interted Hamartomatous Polyp. GIHP. À§ ¼Ó¸»¸² °ú¿ÀÁ¾¼º ¿ëÁ¾]

Previous | Next

ÀÌ·±Àú·± 5. (1) Cardia cancer (2) BGU bleeding, (3) Gastric inverted hamartomatous polyp. 2025-10-10

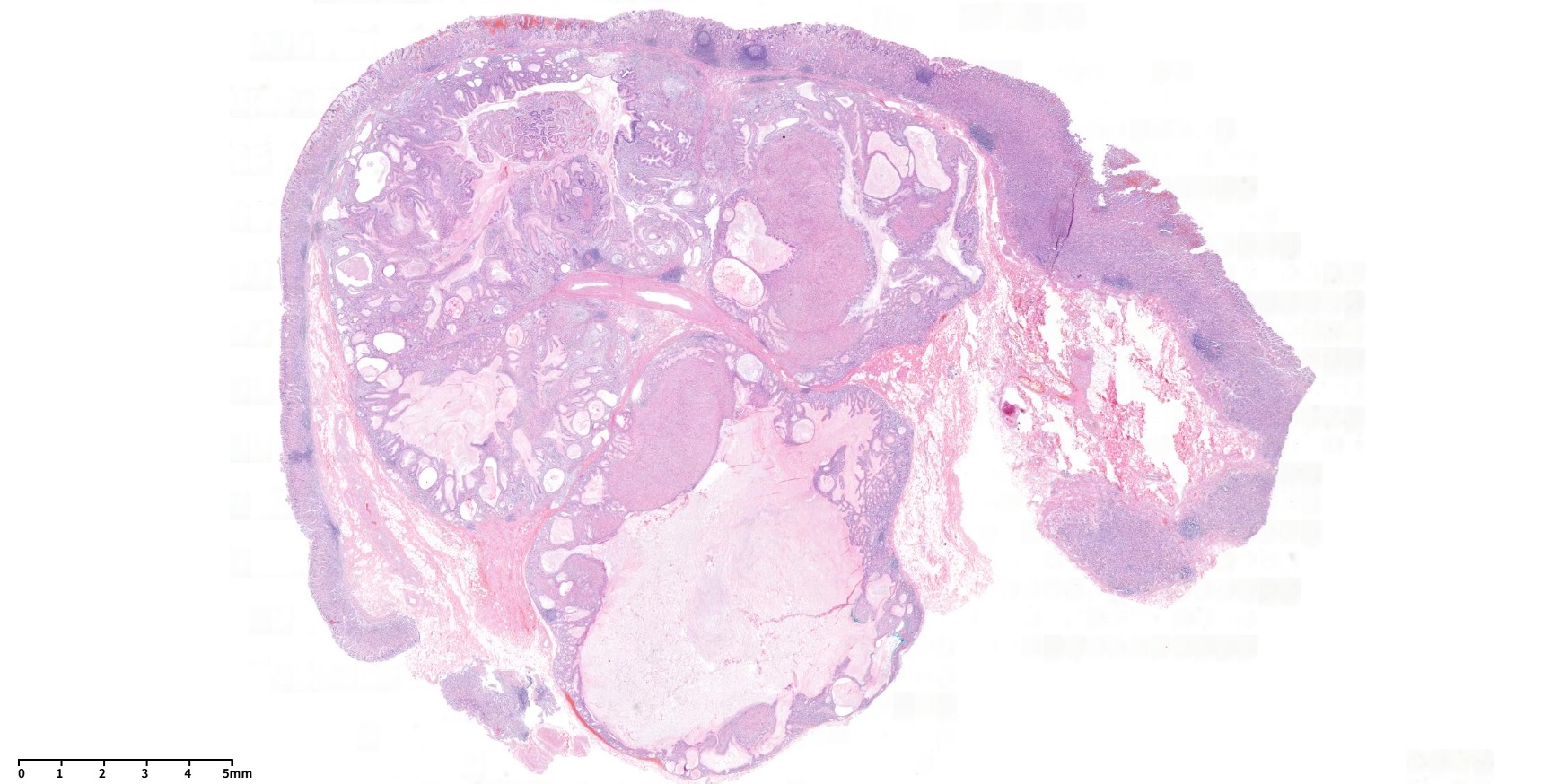
60¼¼ ³²¼ºÀÌ °Ç°­°ËÁø ³»½Ã°æ¿¡¼­ ¿ì¿¬È÷ ¹ß°ßµÈ À§ÀúºÎÀÇ 3cmÅ©±âÀÇ umbilicated ulcer¸¦ µ¿¹ÝÇÑ Á¡¸·ÇÏÁ¾¾ç ¼Ò°ßÀ¸·Î ÀǷڵǾú´Ù. ³»½Ã°æ °Ë»ç ´ç½Ã Á¶Á÷°Ë»ç ºÎÀ§ Áß ÇÑ °÷¿¡¼­ white thick mucinous materialÀÌ »ßÁ®³ª¿À´Â ¼Ò°ßÀÌ º¸¿´°í (»çÁø 1½Ã ¹æÇâ) ÂðµæÇÑ ´À³¦ÀÇ Á©¸®°°±âµµ ÇßÁö¸¸ Æ÷¼ÁÀ¸·Î ÀâÈ÷Áö´Â ¾Ê´Â´Ù´Â ¼Ò°ßÀÌ ±â¼úµÇ¾î ÀÖ¾ú´Ù. ¿ÜºÎ Á¶Á÷°Ë»ç °á°ú´Â stromal cell proliferation in lamina propria¿´°í ¾Ç¼º GIST (gastrointestinal stromal tumor) °¡´É¼ºÀÌ °í·ÁµÇ¾ú´Ù. ÀÇ·Ú ÈÄ ¿ÜºÎ ½½¶óÀ̵å ÀçÆÇµ¶ÇÑ ¼Ò°ßÀº Spindle cell tumor. differential diagnosis: GISTÀ̾ú´Ù. ³»½Ã°æ Àç°ËÀ» ÇÏ¿´°í À°¾È ¼Ò°ßÀº ºñ½ÁÇßÀ¸¸ç Á¶Á÷°Ë»ç Àç°ËÀº Chronic gastritis, active, with erosion, No definite submucosal tissue included·Î º¸°íµÇ¾úÀ¸¸ç DOG-1°ú C-KIT (CD 117)¿¡ ´ëÇÑ ¸é¿ªÇü±¤¿°»öÀº À½¼ºÀ̾ú´Ù. CT¸¦ ½ÃÇàÇÏ¿´À¸¸ç À§ÀúºÎ¿¡ ¾à 3 cmÀÇ endophytic mass°¡ ÀÖÀ¸¸ç central umbilicationÀÌ ÀÖ¾úÀ¸¸ç Á¤»ó mucosa·Î µ¤¿©ÀÖ¾î Á¡¸·ÇÏÁ¾¾çÀÇ °¡´É¼ºÀÌ ÀÖ´Â °ÍÀ¸·Î ÆÇµ¶µÇ¾ú´Ù. ºñ·Ï Á¶Á÷°Ë»ç¿¡¼­ È®ÀεÇÁö´Â ¾Ê¾ÒÀ¸³ª spindle cell proliferationÀÌ È®ÀÎµÈ ¹Ù ÀÖ°í ³»½Ã°æ À°¾È¼Ò°ß¿¡¼­ Áß¾ÓÀÇ Ç¥¸éÀÌ ºÒ±ÔÄ¢ÇÑ ÇÔ¸ôºÎ°¡ ÀÖ¾úÀ¸¹Ç·Î GISTÀÇ °¡´É¼ºÀ» °í·ÁÇÏ¿© ¿Ü°ú ÀÇ·ÚÇÏ¿© ½û±âÀýÁ¦¼úÀ» ÇÏ¿´´Ù. ÃÖÁ¾ º´¸® °á°ú´Â Herniated gastric mucosa with marked smooth muscle proliferation in submucosa, consistent with hamartomatous inverted polyp (1.7x1.6 cm)À̾úÀ¸¸ç desmin ¸é¿ªÇü±¤¿°»öÀº ¾ç¼ºÀ̾ú´Ù. À§ ¼Ó¸»¸² °ú¿ÀÁ¾¼º ¿ëÁ¾ (gastric inverted hamartomatous polyp, GIHP)Àº À§Á¡¸·ÇÏÃþ¿¡¼­ À§»ùÀÌ Áõ½ÄµÇ°í ³¶¼º È®ÀåÀ» º¸ÀÌ´Â °ÍÀ» Ư¡À¸·Î ÇÏ´Â ÁúȯÀÌ´Ù. º´¸®ÇÐÀûÀ¸·Î ÆòȰ±Ù Áõ½ÄÀ» º¸ÀÏ ¼ö ÀÖ´Ù. ÀϹÝÀûÀÎ °ú¿ÀÁ¾¼º ¿ëÁ¾ÀÌ ¿Ü¼ºÀå(exophytic growth)À» º¸ÀÌ´Â °Í¿¡ ºñÇÏ¿© GIHP´Â ³»¼ºÀå(endophytic growth)À» º¸ÀδÙ. ³»½Ã°æ ¼Ò°ß¿¡¼­ Ç¥¸éÀ¸·ÎºÎÅÍ ¿ìÀ¯°°Àº ¹Â½ÅÀÌ ¹èÃâµÉ ¼ö ÀÖ´Ù. ÃÊÀ½ÆÄ ³»½Ã°æ ¼Ò°ßÀº À̼Ҽº ÃéÀå Á¶Á÷°ú ±¸ºÐÀÌ ¾î·Æ´Ù. ¾à 20%ÀÇ ¾Ç¼ºÈ­ °¡´É¼ºÀÌ ÀÖÀ¸¹Ç·Î 2cm À̻󿡼­´Â ÀýÁ¦¼úÀ» ±ÇÇÑ´Ù.


[2020-2-19. ¾Öµ¶ÀÚ Áú¹®]

GC/fundus¿¡ Gastric SET (3.0cm) with umblicated ulcer°¡ ÀÖ¾î bite on bite·Î Á¶Á÷°Ë»ç¸¦ Çß½À´Ï´Ù. ÈñÇÑÇϰԵµ Á¶Á÷°Ë»ç ºÎÀ§ Áß ÇÑ °÷¿¡¼­ white thick mucinous materialÀÌ »ßÁ®³ª¿À´õ±º¿ä (¿ìÃø »çÁø 1½Ã ¹æÇâ). ÀÌ°Ô ¹¹Áö~ ÇÏ°í Æ÷¼ÁÀ¸·Î Âó¾îº¸±âµµ Çß¾ú´Âµ¥ ÂðµæÇÑ ´À³¦ÀÇ Á©¸®°°±âµµ ÇßÁö¸¸ Æ÷¼ÁÀ¸·Î ÀâÈ÷Áö´Â ¾Ê¾Ò½À´Ï´Ù.


Stomach, fundus, greater curvature, endoscopic biopsy ; Erosion with chronic atrophic gastritis, active, with
1) polypoid foveolar hyperplasia
2) cystically dilated glands
3) regenerative glands
4) lymphoid cells infiltration containing lymphoid follicles
5) stromal cells proliferation in lamina propria.
** Microscopic findings by Sydney system ;
1. Neutrophils : marked
2. Mononuclear cells : marked
3. Atrophy : mild
4. Intestinal metaplasia : absent
[ Note ] The finding is suspicious for mucosal polypoid lesion including hyperplastic polyp. Stromal cells are proliferated, but benign-looking and suspicious for reactive change, so it is difficult to diagnose gastro-intestinal stromal tumor lesion. And definite malignant lesion is not noted.

ÀÇ·Ú ÈÄ ½½¶óÀ̵å ÀçÆÇµ¶ÇÑ °á°ú´Â "Stomach, fundus, greater curvature, biopsy : Spindle cell tumor. Differential diagnosis: Gastrointestinal stromal tumor"¿´½À´Ï´Ù.

¼ö¼ú ÈÄ ÃÖÁ¾º´¸® °á°ú´Â ´ÙÀ½°ú °°¾Ò½À´Ï´Ù.

Stomach, wedge resection: Herniated gastric mucosa with marked smooth muscle proliferation in submucosa, consistent with hamartomatous inverted polyp (1.7x1.6 cm)

¹®ÇåÀ» ã¾Æº¸¾Ò½À´Ï´Ù.

Gastric Inverted Hamartomatous Polyps Clin Med Insights Gastroenterol 2016

GIHPs are a distinct entity characterized by submucosal growth of hypertrophic glands with cystic dilatation. They are distinct from the other types of hamartomatous polyps, which have an exophytic configuration contrary to the endophytic nature of these polyps. On endoscopic examination, these are reported as solitary submucosal masses. On endoscopy, extrusion of milky mucinous material from the surface of the lesion and calcifications from the biopsy site may provide a clue to diagnosis. On histology, there is cystic proliferation of glands, which may be accompanied by smooth muscle proliferation, and formation of ectopic duct-like structures has also been reported. In addition, fibroblastic and neural proliferation may also be seen with glandular elements. Diagnosis of GIHP is difficult without pathologic examination and may mimic ectopic pancreas on endoscopy and endosonography. Certain features have been suggested on endoscopic ultrasound imaging, such as hyperechoic lesions with hypoechoic spots, which might be suggestive of GIHPs. En bloc removal is recommended in lesions >2 cm due to the associated malignant risk (up to 20% risk of malignancy). Though it is rare, Hirasaki et al have reported a case of GHIP associated with signet ring cell carcinoma.

¹®Çå¿¡¼­ ¼³¸íÇϰí ÀÖ´Â ³»½Ã°æ ¼Ò°ß ¹× Á¶Á÷ °á°ú°¡ Á¦ Áõ·Ê¿Í ¸Å¿ì Èí»çÇØ¼­ ½Å±âÇߴµ¥¿ä, µÚ¿¡ ºÙ¾îÀÖ´Â ³»¿ëµéÀ» º¸¸é malignant risk°¡ »ó´çÈ÷ µÇ´Â µí ½Í½À´Ï´Ù. ÀÌ Áõ·ÊÀÇ °æ¿ì ÇâÈÄ °èȹÀ» ¾î¶»°Ô Àâ´Â°ÍÀÌ ÃÖ¼±ÀÇ ¼±ÅÃÀÏÁö ±Ã±ÝÇÕ´Ï´Ù.

[2020-3-4. ÀÌÁØÇà ´äº¯]

Àúµµ ¸Å¿ì µå¹°°Ô °æÇèÇÏ´Â Á¾·ùÀÔ´Ï´Ù. ¸î ¹®ÇåÀ» º¸´õ¶óµµ milky materialÀÌ Æ¯Â¡À¸·Î µÇ¾î ÀÖ´Â °Í °°½À´Ï´Ù.

ÀϹÝÀûÀÎ ¿ëÁ¾¿¡ ºñÇÏ¿© ´Ù¼Ò Åõ¸íÇϰí paleÇØ º¸ÀÌ´Â Á¡¸·À̰í EUS¿¡¼­ cystic nature°¡ È®ÀεǾú½À´Ï´Ù.

World J Gastroenterol 2014

º´¸® º¸°í¼­¿¡¼­ ¿ë¾î¸¦ Á¶±Ý ´Ù¸£°Ô »ç¿ëÇϰí ÀÖÀ¸³ª ºñ½ÁÇÑ nature¶ó°í »ý°¢µÇ´Â SMT¸¦ °æÇèÇÑ ÀûÀÌ ÀÖ½À´Ï´Ù.

Wedge resection: herniated gastric mucosa in the submucosa with cystic dilatation

Herniated gastric mucosa in the submucosa

Wedge resection: Inverted hyperplastic polyp with focal inflammatory myofibroblastic tumor-like stroma (1.3x1cm)

³»½Ã°æ ÀýÁ¦¼úÀÌ ½±Áö ¾ÊÀº Á¾·ùÀÔ´Ï´Ù¸¸ °£È¤ ³»½Ã°æÀ¸·Î ÀýÁ¦ÇÑ Áõ·Ê º¸°í°¡ ÀÖ½À´Ï´Ù (´ëÇѼÒÈ­±âÇÐȸÁö 2016:67:98-102).

ÀÌ¿Í °°Àº »óȲ¿¡¼­ ¾ÏÀÌ µ¿¹ÝµÈ °æ¿ì´Â ´Ü ÇÑ·Ê º»ÀûÀÌ ÀÖ½À´Ï´Ù. Wedge resectionÀ» ÇÏ¿´´Âµ¥ hamartomatous inverted polyp with mucosal adenocarcinoma¿´½À´Ï´Ù.

GIST¿¡¼­ low risk, intermediate risk¿¡¼­ ¼ö³â ÈÄ ÀüÀÌÇÏ´Â ¿¹°¡ ÀÖ´Â °ÍÀº resected specimenÀ» º¸´õ¶óµµ º´¸®ÇÐÀûÀ¸·Î ¾ÏÀÎÁö ¾Æ´ÑÁö ¸íÈ®È÷ ±¸ºÐÇÒ ¼ö ¾ø±â ¶§¹®ÀÔ´Ï´Ù. ±×·±µ¥, hamartomatous inverted polyp¿¡¼­ ¾ÏÀÌ ¹ß»ýÇÏ¸é º¸ÅëÀÇ À§¼±¾ÏÀÔ´Ï´Ù. º´¸®ÇÐÀûÀ¸·Î ¾ÏÀÎÁö ¾Æ´ÑÁö ¸íÈ®È÷ ±¸ºÐÇÒ ¼ö ÀÖ´Â Á¾·ùÀÔ´Ï´Ù. ÀÌ Áõ·Êó·³ wedge resection ÇÏ¿´°í ÃÖÁ¾ º´¸®¿¡¼­ ¾ÏÀÌ ¾øÀ¸¸é ¾ÏÀ§ÇèÀ̳ª ÀüÀÌ À§ÇèÀ» °í·ÁÇÒ Çʿ䰡 ¾øÀ» °Í °°½À´Ï´Ù. »óȲ Á¾·á¶ó°í º¸¾Æµµ ¹«³­ÇÒ °Í °°½À´Ï´Ù.

Âü°í: EndoTODAY EGC arising from herniated gastric mucosa in the submucosa


[References]

1) EsoTODAY - ½ÊÀÌÁöÀåÁúȯ Áõ·ÊÅäÀÇ

2) SmallTODAY - ¼ÒÀåÁúȯ Áõ·ÊÅäÀÇ

3) ColonTODAY - ´ëÀåÁúȯ Áõ·ÊÅäÀÇ

4) Dr. Sinn's LiverTODAY - °£Áúȯ Áõ·ÊÅäÀÇ

© ÀÏ¿ø³»½Ã°æ±³½Ç ¹Ù¸¥³»½Ã°æ¿¬±¸¼Ò ÀÌÁØÇà. EndoTODAY Endoscopy Learning Center. Lee Jun Haeng (2020-3-4. Update: 2024-12-13)