Home | EndoTODAY | EndoATLAS

Beginner | ESA | Schedule | OPD

Seminars | Atlas | Recent | Links

EndoTODAY ³»½Ã°æ ±³½Ç


[Gastric cancer 970. Pylorus preserving gastrectomy] - ðû

Previous | Next

001 | 101 | 201 | 301 | 401 | 501 | 601 | 701 | 801 | 901 | 1000


A depressed type of EGC was found. What is your treatment option?

We decided to try a less-invasive surgery, the pylorus preserving gastrectomy. Preoperative clipping was done.

Laparoscopic PPG was done.

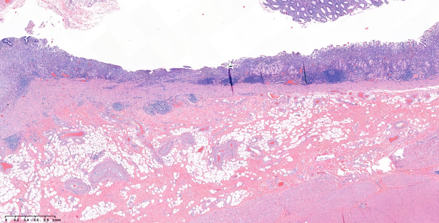
3.3cm sized mucosal cancer without lymph node involvement. Stage Ia.

Lymph node stations dissected in the PPG is less than the standard D2 subtotal gastrectomy.

ÀϺ»À§¾Ï°¡À̵å¶óÀÎ 7ÆÇ (2025)

© ÀÏ¿ø³»½Ã°æ±³½Ç ¹Ù¸¥³»½Ã°æ¿¬±¸¼Ò ÀÌÁØÇà. EndoTODAY Endoscopy Learning Center. Lee Jun Haeng (2025-11-1)