Home | EndoTODAY | EndoATLAS

Beginner | ESA | Schedule | OPD

Seminars | Atlas | Recent | Links

EndoTODAY ³»½Ã°æ ±³½Ç


[Toxocara canis. Toxocariasis. °³È¸Ãæ. Åå¼ÒÄ«¶óÁõ] - ðû

1. Toxocara canis. °³È¸Ãæ

È£»ê±¸¼º °£³ó¾ç(eosinophilic liver abscess)Àº eosinophilia¿Í ÇÔ²² ´Ù¼öÀÇ °£°áÀýÀÌ ¹ß»ýÇÏ´Â ÁúȯÀÔ´Ï´Ù. °£¿¡ È£»ê±¸°¡ ħÀ±ÇÏ´Â °æ¿ì´Â ±â»ýÃæ °¨¿° À̿ܿ¡µµ ¾Ë·¯Áö¼º Áúȯ, ¾à¹°, °úÈ£»ê±¸ ÁõÈıº, ¿ø¹ß¼º ´ãµµ¼º °æº¯Áõ, ¿ø¹ß¼º °æÈ­¼º ´ãµµ¿°, È£»ê±¸¼º À§Àå°ü¿° µîÀÌ ÀÖ½À´Ï´Ù. ¿ì¸®³ª¶ó¿¡´Â °³È¸Ãæ(Toxocara canis)ÀÇ visceral larva migrans¿Í °ü·ÃµÈ °æ¿ì°¡ ÈçÇѵ¥, ½ÇÁ¦·Î °³È¸Ãæ ELISA¿¡ °­ÇÑ ¾ç¼º ¹ÝÀÀÀ» º¸ÀÔ´Ï´Ù. ToxocariasisÀÇ visceral larva migrans´Â Æó, ½ÉÀå, ´«, ÁßÃ߽Űæ°èµµ ħ¹üÇÒ ¼ö ÀÖ½À´Ï´Ù.

ÈëÀ» ¸Ô´Â ½À°üÀÌ ÀÖ´Â ¾î¸°ÀÌÀÇ °¨¿°ÀÌ ÈçÈ÷ °üÂûµÇ´Âµ¥ ´ëºÎºÐ ¹«Áõ»óÀÔ´Ï´Ù. °¡Àå ½É°¢ÇÑ ÇÕº´ÁõÀº °³È¸ÃæÀ§ À¯ÃæÀÌ ´«À» ħ¹üÇÏ¿© ¸Á¸·¿¡ À°¾ÆÁ¾¼º º´º¯À» Çü¼ºÇÏ´Â °ÍÀε¥, ¸Á¸·¾Æ¼¼Æ÷Á¾(retinoblastoma)À¸·Î ¿ÀÁøµÇ¾î ¾È±¸¸¦ ÀûÃâÇÏ´Â °æ¿ìµµ ÀÖ´Ù°í ÇÕ´Ï´Ù. ¾ÈÀúÀÇ ÇÑÂÊ¿¡ À¶±âµÈ Èò»ö ¶Ç´Â ȸ»ö º´º¯ÀÌ ÀÖ´Â ¾î¸°À̰¡ ÇÑÂÊ ½Ã¾ß°¡ ¾È º¸Àδٰí Çϰųª »ç½Ã¸¦ º¸ÀÏ °æ¿ì °³È¸Ãæ¿¡ ÀÇÇÑ ¾È±¸ À¯ÃæÀÌÇàÁõÀ» ÀǽÉÇØ º¸¾Æ¾ß ÇÕ´Ï´Ù.

»óº¹ºÎ ºÒÄè°¨ ¹× º¹Åë, ¼ÒÈ­ºÒ·®, ¼è¾à°¨ µî ºñƯÀÌÀûÀÎ ¼ÒÈ­±â Áõ»óÀÌ °¡´ÉÇÕ´Ï´Ù. µ¿¹°ÀÇ »ý°£, À°È¸, õ¿± (¼ÒÀÇ ¼¼¹øÂ° êÖ), ¾ß»ýµ¿¹° µîÀ» µå¼Ì´ø ºÐÀÌ ¸¹½À´Ï´Ù. ¹°·Ð ÀÌ·± °ÍÀ» µå½Å ÀûÀÌ ¾ø´Â ºÐµµ °è½Ê´Ï´Ù. ¼÷ÁÖÀÎ °³¸¦ Ű¿ì´Â ºÐµµ 10% Á¤µµ µË´Ï´Ù.

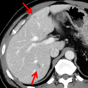
CT¿¡¼­ ÀúÀ½¿µÀÇ Á¶¿µÁõ°­ÀÌ ¾È µÇ´Â 2 cm ÀÌÇÏ ´Ù¹ß¼º Á¾±«·Î º¸À̸ç fuzzy margin, subtle hypoattenuation, non-spherical shape µîÀÌ Æ¯Â¡ÀÔ´Ï´Ù. ½Ã°£ÀÌ Áö³ª¸é ÀúÀý·Î »ç¶óÁöÁö¸¸ °£È¤ follow-up¿¡¼­ º´¼ÒÀÇ À§Ä¡°¡ ´Þ¶óÁý´Ï´Ù. ±×·¡¼­ À̸§ÀÌ visceral larva migransÀÔ´Ï´Ù.

Ưº°ÇÑ Ä¡·á ¾øÀÌ eosinophilia´Â 6°³¿ù ¿¡, °£ º´º¯Àº 1³â ³»¿¡ »ç¶óÁý´Ï´Ù. °³´Â mebendazoleÀ̳ª thiabendazole·Î Ä¡·áÇÕ´Ï´Ù. »ç¶÷Àº Ä¡·áÇÏÁö ¾Ê½À´Ï´Ù.

½ÇÁ¦ ÀÓ»ó¿¡¼­ÀÇ ¹®Á¦´Â ¾ÏȯÀÚÀÇ staging workupÀ¸·Î ½ÃÇàÇÑ CT¿¡¼­ ¿ì¿¬È÷ ¹ß°ßµÈ °æ¿ìÀÔ´Ï´Ù. ¾ÏȯÀÚÀ̱⠶§¹®¿¡ ´Ù¹ß¼º °£ÀüÀ̸¦ ÀǽÉÇϱ⠽±½À´Ï´Ù. ±×·¯³ª CT ¿µ»óÀ» Àß ºÐ¼®Çϰí ÀÓ»ó»óÀ» Àß °í·ÁÇÏ¸é ´ëºÎºÐ Áø´ÜÇÒ ¼ö ÀÖ½À´Ï´Ù.

äÁ¾ÀÏ ±³¼ö´ÔÀÇ 'ÀÓ»ó ±â»ýÃæÇÐ' 262ÂÊ¿¡´Â ¾Æ·¡¿Í °°Àº ¾ð±ÞÀÌ ÀÖ½À´Ï´Ù.

"(°³È¸ÃæÀ̳ª °í¾çÀÌÈ¸Ãæ¿¡ ÀÇÇÑ) À¯Ãæ³»ÀåÀÌÇàÁõÀ» ¿¹¹æÇϱâ À§Çؼ­´Â Æò¼Ò û°áÇÑ »ýȰ½À°üÀ» °®µµ·Ï ÇÑ´Ù. ¾ÖµÃ °í¾çÀ̳ª °³¸¦ Ű¿ì´Â °æ¿ì »ýÈÄ 2°³¿ùºÎÅÍ ÁÖ±âÀûÀ¸·Î ±¸ÃæÇϰí, ¾Ö¿Ïµ¿¹°ÀÇ ´ëº¯Àº Áý±Ùó ³îÀÌÅÍ¿¡¼­ ¾ÈÀüÇÏ°Ô Á¦°ÅÇÑ´Ù. ¶Ç »ç¿ëÇÏÁö ¾Ê´Â ¾ÆÀÌ ³îÀÌ¿ë ¸ð·¡»óÀÚ´Â µ¤¾îµÎ¸ç, ¾ÆÀÌ¿¡°Ô ¼ÕÀ» Àß ¾Ä°í ÀԾȿ¡ ºñÀ§»ýÀûÀÎ ¹°ÁúÀ» ³ÖÁö ¾Êµµ·Ï ±³À°½ÃŲ´Ù."


2. ÀüÇüÀûÀÎ Áõ·Ê

¼ÒÀÇ °£À» »ý½ÄÇÑ º´·ÂÀÌ ÀÖ´Â ºÐ¿¡°Ô ¹ß°ßµÈ eosinophilic liver abscessÀÔ´Ï´Ù. Peripheral eosinophilia´Â 18%¿´°í Toxocara canis(°³È¸Ãæ)¿¡ ´ëÇÑ IgG °Ë»ç¿¡¼­ ¾ç¼ºÀ¸·Î ³ª¿Ô½À´Ï´Ù. ±¹³»¿¡¼­ »ó´çÈ÷ ÈçÇÑ ÁúȯÀ̰í ÃÖ±Ù Áõ°¡Çϰí ÀÖ½À´Ï´Ù. º» º´¿ø ÀÌÁØÇõ ±³¼ö´ÔÀÇ ¿¬¼ö°­Á °­ÀÇ·Ï¿¡ ±âÃÊÇÏ¿© ´ÙÀ½°ú °°ÀÌ Á¤¸®ÇØ º¸¾Ò½À´Ï´Ù.

±¹¼Ò¼º È£»ê±¸¼º °£³ó¾çÀº eosinophilia¿Í ÇÔ²² ´Ù¼öÀÇ °£°áÀýÀÌ ¹ß»ýÇÏ´Â ÁúȯÀÔ´Ï´Ù. °£¿¡ È£»ê±¸°¡ ħÀ±µÇ´Â °æ¿ì´Â ±â»ýÃæ °¨¿° À̿ܿ¡µµ ¾Ë·¯Áö¼º Áúȯ, ¾à¹°, °úÈ£»ê±¸ ÁõÈıº, ¿ø¹ß¼º ´ãµµ¼º °æº¯Áõ, ¿ø¹ß¼º °æÈ­¼º ´ãµµ¿°, È£»ê±¸¼º À§Àå°ü¿° µîÀÌ ÀÖ½À´Ï´Ù. ¿ì¸®³ª¶ó¿¡¼­´Â ±¹³»¿¡´Â °³È¸ÃæÀÇ visceral larva migrans¿Í ¿¬°ü¼ºÀÌ ½ÇÁ¦·Î °³È¸Ãæ¿¡ ´ëÇÑ ELISA¿¡ °­ÇÑ ¾ç¼º ¹ÝÀÀÀ» º¸ÀÌ´Â °æ¿ì°¡ ¸¹½À´Ï´Ù. ToxocariasisÀÇ visceral larva migrans´Â ´ëºÎºÐ °£À» ħ¹üÇϰí ÀϺο¡¼­´Â Æó, ½ÉÀå, ´«, ÁßÃ߽Űæ°è¸¦ ħ¹üÇϱ⵵ ÇÕ´Ï´Ù.

ÀÓ»óÀûÀ¸·Î »óº¹ºÎ ºÒÄè°¨ ¹× µ¿Åë, ¼ÒÈ­ºÒ·®, ¼è¾à°¨ µîÀÇ ºñƯÀÌÀûÀÎ ¼ÒÈ­±â Áõ»óÀÌ °¡´ÉÇÕ´Ï´Ù. µ¿¹°ÀÇ »ý°£, À°È¸, õ¿± (¼ÒÀÇ ¼¼¹øÂ° êÖ), ¾ß»ýµ¿¹° µîÀ» ¼·ÃëÇÑ º´·ÂÀ» °¡Áö°í ÀÖ´Â ºÐÀÌ ¸¹½À´Ï´Ù (¹°·Ð ÀÌ·± °ÍµéÀ» µå½Å ÀûÀÌ ¾ø´Â ºÐµµ °è½Ê´Ï´Ù). 10%¿¡¼­´Â °³È¸ÃæÀÇ ¼÷ÁÖÀÎ °³¸¦ Ű¿ì°í ÀÖ´Ù°í ÇÕ´Ï´Ù. ƯÀÌÇÑ Á¡Àº 1/3À̻󿡼­ Toxocariasis ÀÌ¿ÜÀÇ ±â»ýÃæ¿¡ ´ëÇÑ Ç÷û ELISA °Ë»ç¿¡¼­ ¾ç¼º¹ÝÀÀÀ» º¸Àδٴ Á¡ÀÔ´Ï´Ù. ¾Æ¿ï·¯ µå¹°Áö¸¸ ´ëº¯°Ë»ç¿¡¼­ Ãæ¶õÀÌ °ËÃâµÈ °æ¿ìµµ ÀÖ½À´Ï´Ù.

»ï¼º¼­¿ïº´¿ø¿¡¼­´Â Toxocara canis IgG antibody¸¦ enzyme linked immunoassay¹ýÀ¸·Î ½ÃÇàÇϰí ÀÖ½À´Ï´Ù(°Ë»çÄÚµå BL5160). °Ë»ç¿¡ ´ëÇÑ ¼³¸í¼­¿¡´Â ÀÌ·± ¾ð±ÞÀÌ ÀÖ¾ú½À´Ï´Ù. "Human toxocariosis (visceral or ocular larva migrans syndrome)¸¦ Áø´ÜÇϱâ À§ÇÑ Ç÷ûÇÐÀû °Ë»çÀÔ´Ï´Ù. º» °Ë»ç¹ýÀÇ ¿¹¹Îµµ´Â 91%, ƯÀ̵µ´Â 86%À̸ç, Trichinellosis, Fascioliasis, Amebiasis, Strongyloidosis ȯÀÚ¿¡¼­ cross reactivity¸¦ º¸ÀÏ ¼ö ÀÖ½À´Ï´Ù."

CT¿¡¼­´Â ÁÖ·Î ÀúÀ½¿µÀÇ Á¶¿µÁõ°­ÀÌ ¾È µÇ´Â 2 cm ÀÌÇÏÀÇ ´Ù¹ß¼º Á¾±«·Î º¸À̸ç fuzzy margin, subtle hypoattenuation, non-spherical shape µîÀÌ Æ¯Â¡À̶ó°í ÇÕ´Ï´Ù. ½Ã°£ÀÌ Áö³ª¸é ÀúÀý·Î »ç¶óÁöÁö¸¸ °£È¤ follow-up¿¡¼­ º´¼ÒÀÇ À§Ä¡°¡ ´Þ¶óÁö´Â °æ¿ìµµ ÀÖ½À´Ï´Ù (±×·¡¼­ À̸§ÀÌ visceral larva migransÀÔ´Ï´Ù).

Ưº°ÇÑ Ä¡·á ¾øÀ̵µ eosinophilia´Â 6°³¿ù ³»¿¡, °£ÀÇ º´º¯Àº 1³â ³»¿¡ ¿ÏÀüÈ÷ »ç¶óÁý´Ï´Ù. µû¶ó¼­ ÇöÀçÀÇ ±Ç°í »çÇ×Àº Åõ¾à¾øÀÌ °æ°ú °üÂûÇÏ´Â °ÍÀÔ´Ï´Ù (¹Ýµå½Ã ¿ÏÀüÈ÷ ¼Ò¸êµÉ ¶§±îÁö È®ÀÎÇϽñ⠹ٶø´Ï´Ù). ±×·±µ¥ Schmidt & Roberts's Foundations of Parasitology Ã¥(7th ed. 2005)À» º¸¸é °³È¸ÃæÀÇ Ä¡·áºÎºÐ¿¡ ´ÙÀ½°ú °°Àº ¾ð±ÞÀÌ ÀÖ½À´Ï´Ù (ÀϺΠ³»¿ëÀº Àúµµ ÀÌÇØÇÒ ¼ö ¾ø¾ú½À´Ï´Ù. ¼öÀǻ翡°Ô ¹°¾îºÁ¾ß ÇÒ °Í °°½À´Ï´Ù). "Usually only patients with severe symptoms are treated. Mebendazole is effective. Control consists of periodic worming of household pets, especially young animals, and proper disposal of the animal's fees. Dogs and cats should be restrained, if possible, from eating available transport hosts. Sandpits in public parks can be protected from contamination by covering them with vinyl sheets when not in use."

Á¦°¡ Çлý ¶§ ¹è¿î À̼øÇü Æí ¡®ÀÓ»ó ±â»ýÃæÇÐ °³¿ä¡¯¸¦ º¸¸é ¶Ç ´ÙÀ½°ú °°ÀÌ ³ª¿Í ÀÖ½À´Ï´Ù. "ThiabendazoleÀ» 25mg¾¿ ÇÏ·ç 2ȸ, 5Àϰ£ »ç¿ëÇÏ´Â °ÍÀÌ Ç¥ÁØÀ̳ª ¿äÁîÀ½¿¡´Â albendazoleÀ» 400mg¾¿ 2ÁÖ°£ »ç¿ëÇϱ⵵ ÇÑ´Ù. °¨¿°ÀÌ È®ÀÎµÈ °æ¿ì¿¡´Â ÁÖÀ§¿¡¼­ °¨¿°¿øÀ» »öÃâÇÏ´Â °ÍÀÌ Àç°¨¿°À» ¿¹¹æÇÒ ¼ö ÀÖ´Â ¹æ¹ýÀÌ´Ù. °¨¿°µÈ °³ÀÇ °æ¿ì pyrantel pamoate, mebendazole, levamisole, albendazole µîÀ¸·Î ±¸ÃæÇÒ ¼ö ÀÖ´Ù."

Ã¥¸¶´Ù ´Þ¶ó¼­ ´Ù¼Ò È¥µ¿µÇÁö¸¸ ¿©ÇÏÆ° Ưº°ÇÑ °æ¿ì°¡ ¾Æ´Ï¸é Åõ¾à¾øÀÌ °æ°ú°üÂûÇϽʽÿÀ.


3. Pulmonary toxocariasis

2021³â 5¿ù ½Ä´ç ¾Õ ¿µ»óÀÇÇаú quiz¿¡ pulmonary toxocariasis ¹®Á¦°¡ ÃâÁ¦µÇ¾ú½À´Ï´Ù.

¾¦½º·´½À´Ï´Ù.


4. '¼­¹ÎÀÇ ±â»ýÃæ ¿­Àü'¿¡¼­ ÀϺθ¦ ¿Å±é´Ï´Ù.

"°³ÀÇ Ã¢ÀÚ¿¡ ÀÖ´Â °³È¸ÃæÀÌ ¾ËÀ» ³ºÀ¸¸é ±× ¾ËÀº °³°¡ ´ëº¯À» º¼ ¶§ ¹ÛÀ¸·Î ¹èÃâµÇ¸ç, Èë ¼Ó¿¡¼­ 3-4ÁÖ ¼÷¼ºµÈ ¾ËÀ» ´Ù¸¥ °³°¡ ¸ÔÀ¸¸é ±× °³¿¡¼­ ¾î¸¥À¸·Î ÀÚ¶õ´Ù. ÈñÇÑÇÑ °Ç ÀÌ·± °úÁ¤ÀÌ »ýÈÄ 6°³¿ù ¹Ì¸¸ÀÇ ¾î¸° °³¿¡¼­¸¸ °¡´ÉÇÏ´Ù´Â Á¡. ³ªÀÌµç °³°¡ °³È¸ÃæÀÇ ¾ËÀ» ¸Ô´Â °æ¿ì¿£ °³È¸ÃæÀÌ °£À̳ª Æó, ½ÉÀå µî ¿©·¯ Àå±â·Î °¡¼­ »ç´Âµ¥, ¾î¸¥À¸·Î ÀÚ¶óÁö ¸øÇÑ Ã¤ À¯Ãæ »óÅ¿¡ ¸Ó¹°·¯ ÀÖ´Ù.

... °³È¸ÃæÀÌ ¿ì¸®³ª¶ó¿¡¼­ ¿äÁÖÀÇ ±â»ýÃæÀÌ µÈ °Ç ´«À» ħ¹üÇØ ¸Á¸·¹Ú¸®¸¦ ÀÏÀ¸Å°´Â »ç·Ê°¡ ¿©·µ º¸°íµÇ°í ³­ ÈÄ¿´´Âµ¥, À¯Ãæ ÇÑ ¸¶¸®¸¸ ´«¿¡ °¡´õ¶óµµ ÀÌ·± ÀÏÀÌ »ý±æ ¼ö ÀÖ´Ù.

... »ç¶÷ÀÌ °³È¸Ãæ¿¡ °É¸®´Â °¡Àå ÈçÇÑ °æ·Î´Â Àß ¼÷¼ºµÈ °³È¸Ãæ ¾ËÀ» ¸Ô´Â °Å´Ù. °³È¸Ãæ ¾ËÀÌ 3-4ÁÖ °¡·® ¼÷¼ºµÇ¾î¾ß °¨¿°·ÂÀ» °¡Áø´Ù´Â Á¡À» °í·ÁÇϸé, °³¸¦ »êÃ¥½Ãų ¶§ ÁÖÀÎÀÌ º¯¸¸ Àß Ä¡¿öÁÖ¸é ¾Æ¹«·± ¹®Á¦°¡ ¾ø´Ù. ÇÏÁö¸¸ °³ÀÇ º¯À» Ä¡¿ìÁö ¾Ê´Â »ç¶÷ÀÌ Á¦¹ý ÀÖ°í, ¸Å³â ¼öõ ¸¶¸®¾¿ °³µéÀÌ ¹ö·ÁÁö°í ÀÖ´Â Å¿¿¡ ¼ö¸¹Àº °³È¸Ãæ ¾ËÀÌ ±æ°Å¸®¿¡ »Ñ·ÁÁø´Ù. Á¶»çµÈ ¹Ù¿¡ µû¸£¸é °³È¸Ãæ ÇÑ ¸¶¸®¸¦ °¡Áø °³´Â ´ëº¯ 1±×·¥¿¡ °³È¸Ãæ ¾Ë ½Ê¸¸ °³ ÀÌ»óÀ» ³»º¸³½´Ù. ±× °á°ú ³îÀÌÅͳª ¿îµ¿Àå µî¿¡ °³È¸Ãæ ¾ËÀÌ »ý°¢º¸´Ù ¸¹´Ù. °æ±âµµ Áö¿ª ³îÀÌÅÍ´Â 17 ÆÛ¼¾Æ®, ¼­¿ï½Ã ³îÀÌÅÍ´Â 7.3 ÆÛ¼¾Æ® µî Áö¿ª¿¡ µû¶ó ´Ù¸£Áö¸¸, ¾ÆÀ̵éÀÌ ÈëÀå³­À» ÇÏ´Ù°¡ °³È¸ÃæÀÇ ¾ËÀ» ¸Ô´Â °Í ÃæºÐÈ÷ °¡´ÉÇÑ ÀÏÀÌ´Ù.

... ±×·¸´Ù¸é ¾î¸¥Àº ¿Ö °³È¸Ãæ¿¡ °É¸®´Â °É±î? ¼³¸¶ ¾î¸¥µéµµ ÈëÀå³­À» ÇÏ´Â °É±î? ¹°·Ð ¶¥ ÆÄ´Â °É ÁÁ¾ÆÇÏ´Â ¾î¸¥ÀÌ ¿ì¸®³ª¶ó¿¡ ¸¹Àº °Ç »ç½ÇÀÌÁö¸¸, ±×·¡µµ ¾î¸¥µéÀº ¹» ¸Ô±â Àü¿¡ ¼ÕÀ» ¾ÄÀ¸´Ï ±×·² È®·üÀº ³´´Ù. Á¤´äÀº '°£ ¶§¹®À̾ß'´Ù. ¼Ò°£À» ³¯·Î ¸ÔÀ» ¶§ °³È¸ÃæÀÇ À¯Ãæµµ °°ÀÌ ¼·ÃëÇÑ´Ù´Â ¾ê±â´Ù.

... »ï¼º¼­¿ïº´¿ø ¿µ»óÀÇÇаú ÀÓÀçÈÆ ±³¼ö´Â "Ưº°ÇÑ ÀÌÀ¯¾øÀÌ È£»ê±¸°¡ ³ô´Ù¸é ¿ì¸®³ª¶ó¿¡¼­´Â ÇѹøÂë °³È¸ÃæÀ» ÀǽÉÇØ¾ß" ÇÏÁö¸¸, ÀÓ»óÀÇ»çµéÀÌ °³È¸Ãæ¿¡ ´ëÇØ º°¹Ý °ü½ÉÀÌ ¾ø´Ù°í °³ÅºÇÑ ¹Ù ÀÖ´Ù.


[Cases]

°£ÀÇ ´Ù¹ß¼º ÀúÀ½¿µÀ¸·Î Á¶Á÷°Ë»ç¿¡¼­ eosinophilic granuloma°¡ È®ÀεǾú´Ù. °³È¸Ãæ ELISA °­¾ç¼º.

Á¶±âÀ§¾Ï ³»½Ã°æ Ä¡·á ÈÄ °æ°ú°üÂû Áß °£¿¡¼­ ¿ì¿¬È÷ ´Ù¹ß¼º ÀúÀ½¿µÀÌ º¸¿´½À´Ï´Ù. õ¿±°ú ¼ÒÀÇ °£À» °£È¤ µå½Ã´Â ºÐÀ¸·Î Áý¿¡¼­ ¾Ö¿Ïµ¿¹°Àº Ű¿ì´Ù°¡ ÇöÀç´Â Ű¿ìÁö ¾Ê°í ÀÖ¾ú½À´Ï´Ù. Toxocara canis Ç×ü´Â ¾ç¼ºÀ̾ú°í blood eosinophilia´Â ¾ø¾ú½À´Ï´Ù. °£ ÆÄÆ®¿¡¼­´Â albendazoleÀ» 1ÁÖ Åõ¾àÇÏ¿´½À´Ï´Ù. Àú´Â Áõ»óÀÌ ¾øÀ¸¸é Åõ¾àÇÏÁö ¾Ê°í ÀÖ½À´Ï´Ù. ÃßÀû °Ë»ç¿¡¼­ ¸ðµç °£º´¼Ò°¡ »ç¶óÁ³½À´Ï´Ù.


°£¾ÏÀ» ÀǽÉÇÏ¿´´Âµ¥ °³È¸ÃæÀ¸·Î ³ª¿À¸é ÇູÇÑ ÀÏÀÔ´Ï´Ù. ±×·¯³ª ¹Ý´ëÀÇ °æ¿ìµµ ÀÖÀ¸´Ï ÁÖÀÇÇØ¾ß ÇÒ °Í °°½À´Ï´Ù. ¾Æ·¡ Áõ·Ê¸¦ º¸½Ã±â ¹Ù¶ø´Ï´Ù.

50 ´ë ¿©¼º. Ç×ü ¾ç¼ºÀ¸·Î Toxocara ÀǽÉÇÏ¿´À¸³ª ÃÊÀ½ÆÄÀ¯µµ Á¶Á÷°Ë»ç¿¡¼­ hepatocellular carcinoma·Î È®ÀεǾú½À´Ï´Ù.

70¼¼ ¿©¼º. Á¶±âÀ§¾Ï ³»½Ã°æ Ä¡·á ÈÄ ÃßÀû°üÂû Áß °£¿¡¼­ ÀúÀ½¿µ ¹ß°ß. °£ MRI·Î ÀçÈ®ÀÎÇÏ¿´°í toxocara Ç×ü ¾ç¼ºÀ¸·Î albendazole 400mg bid 1ÁÖ Åõ¾à ÈÄ È£Àü. õ¿± º¹¿ë·Â (+)


[FAQ]

[2014-10-20. Á¦ÁÖ¿¡¼­ ¾Öµ¶ÀÚ ÆíÁö]

¾È³çÇϼ¼¿ä? ÀÌÁØÇà ±³¼ö´Ô! Toxocariasis¿¡ ÀÇÇÑ eosinophilic liver abscess´Â Á¦ÁÖÁö¿ª¿¡¼­ ¸Å¿ì ÈçÈ÷ º¾´Ï´Ù. ±×¸®°í, Áõ»ó ¾ø´Â eosinophilia (500-1,000 ÀÌ»ó) ȯÀÚµéÀ» °Ë»çÇØ º¸¸é, toxocarisis Ab (+), Anisakias Ab (+) ÀÎ °æ¿ìµµ ¸¹½À´Ï´Ù. º»¿ø allergy ³»°ú ±³¼ö´Ô ÀǰßÀ¸·Î´Â toxocariasis¿Í anisakis Ab°¡ cross reactivity¸¦ º¸Àδٰí Çϳ׿ä... ´ëºÎºÐ °£, õ¿±, ȸ¸¦ Æò¼Ò ¸¹ÀÌ µå½Ã°í, ¸»(Ø©)ÀÇ °£À» »ýÀ¸·Î ¸Ô´Â Á¦ÁÖ ¹®È­¿Í °ü·Ã ÀÖ½À´Ï´Ù.

Àú´Â °³ÀÎÀûÀ¸·Î toxocariasis Ab ¾ç¼º ¹ÝÀÀÀÇ asymptomatic eosinophlia ȯÀÚµéÀ» Albendazole 400 mg po bid 7ÀÏ Ã³¹æÇϰí Àִµ¥, Endotoday¸¦ ÀÐ¾î º¸´Ï µ¿¹°ÀÌ ¾Æ´Ï¶ó¸é Ä¡·áÇÏÁö ¾Ê´Â °ÍÀÌ ¸Â´ÂÁö¿ä? Ä¡·áÇϰí follow-up ÇØ º¸¸é, eosinophlia°¡ 3°³¿ù µÚ¿¡ °¨¼ÒÇÏ´Â °ÍÀ» º¼ ¼ö Àִµ¥, Ç¥·á ¾È ÇÑ »ç¶÷µµ ÀϺδ eosinophlia°¡ ÀúÀý·Î ¶³¾îÁö´Â °Í °°½À´Ï´Ù. Èï¹Ì·Î¿î ³»¿ë °¨»çÇÕ´Ï´Ù.

[2014-10-20. ÀÌÁØÇà ´äº¯]

ÁÁÀº Á¤º¸ °¨»çÇÕ´Ï´Ù. Á¦ÁÖ¿¡¼­ ¸» °í±â¸¦ ¸Ô´Â °ÍÀº Àß ¾Ë¾ÒÁö¸¸ ¸»ÀÇ °£À» »ýÀ¸·Î ¸Ô±âµµ Çϴ±º¿ä. ȯÀÚµéÀÇ ¹®È­, »ýȰ½À°üÀ» ¾Ë¾Æ¾ß Á¤È®ÇÑ Áø´Ü°ú Ä¡·á¸¦ ÇÒ ¼ö ÀÖ´Ù´Â °ÍÀ» ´Ù½Ã Çѹø ´À³§´Ï´Ù.

°³È¸Ãæ (Toxocara canis) ÀÎü°¨¿°Àº Åõ¾àÇÏÁö ¾Ê°í °æ°ú°üÂûÇÏ´Â °ÍÀÔ´Ï´Ù. ÀÏÀü¿¡ °£ Àü¹® ±³¼ö´Ô²² ¹®ÀÇÇÏ¿´´õ´Ï albendazole 400 mgÀ» ÇÏ·ç 2ȸ 7ÀÏ Åõ¾àÇϱ⵵ ÇÑ´Ù°í ÇϽôõ±º¿ä. Schmidt ±³°ú¼­(±â»ýÃæ ±³°ú¼­ÀÔ´Ï´Ù)¿¡´Â ´ÙÀ½°ú °°ÀÌ ¾º¿© ÀÖ½À´Ï´Ù. "Usually only patients with severe symptoms are treated."


[2016-10-4. ¾Öµ¶ÀÚ Áú¹®]

Toxocara canis¿¡ ´ëÇÑ Áú¹®ÀÔ´Ï´Ù. Á¦ÁÖµµ¿¡¼­´Â À¯³­È÷ eosinophilia ȯÀÚµéÀÌ ¸¹Àº °Í °°½À´Ï´Ù. Work-upÀ» ÇØ º¸¸é, Toxocara canis Ab (+), Anisakis Ab (+)ÀÎ ¿¹°¡ ¸¹Àºµ¥ ¾Æ¸¶µµ cross reactivity ¶§¹®¿¡ ±×·± °Í °°½À´Ï´Ù.

¼Ò°£, õ¿±, ¸»°£ µîÀ» º¹¿ëÇÑ ³²¼º¿¡¼­ ¸¹Àº °Í °°½À´Ï´Ù. ¹«Áõ»óÀÇ eosinophilia (>1,000 ÀÌ»óÀÎ °æ¿ìµµ ´ë´Ù¼ö)¿¡¼­ Zentel (albendazole) 400 mg po bid 1ÁÖÀÏ Ä¡·á¸¦ °æÇèÀûÀ¸·Î Çϰí ÀÖ½À´Ï´Ù. ´ëºÎºÐ 3°³¿ù µÚ follow-up¿¡¼­ eosinophilia°¡ È£ÀüµË´Ï´Ù. ÀÌ·± °æ¿ì Ä¡·á¸¦ ÇÏÁö ¾Ê´Â °ÍÀÌ ¸ÂÀ»Áö¿ä?

[2016-10-4. ÀÌÁØÇà ´äº¯]

ÀÓ»ó»óÀ¸·Î Toxocara canis °¨¿°ÀÌ ÀǽɵǸé Åõ¾à ¾øÀÌ °æ°ú°üÂûÀ» Çϼŵµ ¹«¹æÇÕ´Ï´Ù. ´ëºÎºÐÀÇ °æ¿ì °£¿¡ ´ëÇÑ imagingÀº ÇÊ¿äÇÕ´Ï´Ù.

Toxocara canis´Â ´ëºÎºÐ ÀúÀý·Î ÁÁ¾ÆÁý´Ï´Ù. Schmidt ±³°ú¼­¸¦ º¸¸é "Usually only patients with severe symptoms are treated."¶ó°í µÇ¾î ÀÖ½À´Ï´Ù.

¹«Áõ»óÀÎ °æ¿ì ±â»ýÃæ Àü¹®°¡´Â °æ°ú°üÂûÀ» ±ÇÇÏ´Â °æ¿ì°¡ ¸¹°í, ¼ÒÈ­±â³»°ú Àǻ糪 °£ Àü¹®°¡´Â Åõ¾àÀ» ±ÇÇÏ´Â °æ¿ì°¡ ¸¹½À´Ï´Ù. Áö¿ªÀû Ư¼ºÀ» °í·ÁÇÒ ¶§, ´ëºÎºÐÀÇ °æ¿ì Åõ¾àÇϽŴٴ ¼±»ý´ÔÀÇ Ä¡·á¹æÄ§¿¡ µ¿ÀÇÇÕ´Ï´Ù.


[2019-10-5. ¾Öµ¶ÀÚ Áú¹®]

´Ã ÁÁÀº °¡¸£Ä§ °¨»çµå¸³´Ï´Ù. ³»¿ø 4ÀÏÀü ³¯ °£À» ¸Ô°í ¹ß»ýÇÑ Àå¿°À¸·Î Á¦°Ô ÀÔ¿øÇÑ È¯ÀÚ Ç÷¾×°Ë»ç¿¡¼­ Toxocara canis Ab, IgG Positive ÀÔ´Ï´Ù. ÀÌ °æ¿ì Toxocara canis¿¡ ÀÇÇÑ ´Ù¸¥ Àå±â ħ¹üÁõ¼¼´Â º¸ÀÌÁö ¾Ê´Â °æ¿ì¿¡µµ ¾Ëº¥´ÙÁ¹ 1T BID 5ÀÏ Åõ¿©ÇÏ´Â °ÍÀÌ ¸Â´ÂÁö Á¶¾ðºÎʵ右´Ï´Ù.

[2019-10-7. ÀÌÁØÇà ´äº¯]

¸Å¿ì ¾î·Á¿î Áú¹®ÀÔ´Ï´Ù. ºñ·Ï Toxocara canis Ç×ü °Ë»ç´Â ´Ù¸¥ ±â»ýÃæ¿¡ ´ëÇÑ °Ë»ç¿¡ ºñÇÏ¿© ¿¹¹Îµµ(91%)¿Í ƯÀ̵µ(86%)°¡ ÁÁÀº Æí¿¡ ¼ÓÇÏÁö¸¸ ±â»ýÃæ °¨¿°ÀÇ ÀÓ»ó ¼Ò°ßÀÌ ¾øÀ» ¶§¿¡µµ Àǹ̰¡ ÀÖ´ÂÁö´Â ºÒ¸íÈ®ÇÕ´Ï´Ù. »ý°£ ¼·Ãë º´·ÂÀÌ ÀÖ´Â Àå¿° ȯÀÚ¿¡¼­ Toxocara Ç×ü°¡ ³ª¿Ô´Ù¸é ¸çÄ¥ Á¤µµÀÇ Åõ¾àÀº °¡´ÉÇÒ °Í °°½À´Ï´Ù. ²À ½á¾ß¸¸ ÇÏ´Â »óȲÀÎÁö´Â Àúµµ Àß ¸ð¸£°Ú½À´Ï´Ù.


[References]

1) EndoTODAY ±â»ýÃæÇÐ

2) ÈíÃæ °¨¿°Áõ

(PDF, 0.5 M)

3) 2018-11-1. °³È¸Ãæ°¨¿°ÀÇ Áø´Ü ¹× Ä¡·á (¼ÒÈ­±âÇÐȸ ±³À°ÀÚ·á)

© ÀÏ¿ø³»½Ã°æ±³½Ç ¹Ù¸¥³»½Ã°æ¿¬±¸¼Ò ÀÌÁØÇà. EndoTODAY Endoscopy Learning Center. Lee Jun Haeng.