Home | EndoTODAY | EndoATLAS

Beginner | ESA | Schedule | OPD

Seminars | Atlas | Recent | Links

EndoTODAY ³»½Ã°æ ±³½Ç


[Percutaneous endoscopic gastrostomy (PEG) À§·ç¼ú] - ðû

* [2024-12-27] ¾Ë¸²: Á¦°¡ PEG¸¦ ÇÏ´ø ¹æ½ÄÀº pull ¹æ¹ýÀÔ´Ï´Ù. ÀÔÀ¸·Î PEG tube°¡ Åë°úÇÏ´Â ¹æ¹ýÀÌÁö¿ä. ÃÖ±Ù¿¡´Â push ¹æ¹ý (º¹º®¿¡¼­ Á÷Á¢ Á¢±ÙÇÏ´Â ¹æ¹ý, ÀÔÀ» Åë°úÇÏÁö ¾ÊÀ½)ÀÌ ¸¹ÀÌ »ç¿ëµË´Ï´Ù. º» ±³À°ÀÚ·á´Â push ¹æ¹ý, ¸»ÇÏÀÚ¸é ¿¾³¯ ¹æ¹ýÀ» ÁÖ·Î ¼³¸íÇϰí ÀÖÀ¸´Ï Âü°íÇϽñ⠹ٶø´Ï´Ù.

2021³â 4¿ù. ÀÌÁØÇà, ±èÅÂÁØ.

1. PEG ÀûÀÀÁõ¿¡ ´ëÇÑ personal recommendation - ÇÒ±î ¸»±î °í¹ÎµÇ¸é ÇÏÁö ¾Ê´Â´Ù.

2. PEG ¼ú±â ¹× ½Ã¼ú ÀüÈÄ clinical pathway - PEG simulator

3. PEGÈÄ ½ÄÀÌ ÁøÇà

4. ÇÕº´Áõ. Complications - Leak

5. PEG tubeÀÇ Á¦°Å ¹× ±³Ã¼ - Balloon-type replacement tube

6. Cases. ´Ù¾çÇÑ »ç·Ê

7. PEGJ tube

8. Endoscopic nasogastric tube insertion - °¡´ÉÇÏ¸é ½ÃÇàÇÏÁö ¸¿½Ã´Ù. ¾Ö½á ½ÃÇàÇØµµ À¯ÁöµÇÁö ¾Ê½À´Ï´Ù.

9. Percutaneous transesophageal gastrostomy, PTEG

10. FAQ

11. References

ÀÌÁØÇà

±èÅÂÁØ ±³¼ö °­ÀÇ µ¿¿µ»ó - [ÀÌÁØÇà ñÉ] Äڷγª19 ¿ìÇÑÆó·Å¶§¹®¿¡ ¸ðµç conference¿Í °­Àǰ¡ Áß´ÜµÈ »óÅÂÀÌÁö¸¸ '±³À°Àº °è¼ÓµÇ¾î¾ß ÇÑ´Ù'´Â ½Å³äÀ¸·Î °­ÀÇ µ¿¿µ»óÀ» Á¦ÀÛÇÏ¿© Àΰ­ ½ºÅ¸ÀÏ·Î ¹èÆ÷ÇÏ¿´½À´Ï´Ù.

2022³â 8¿ù. ±èÅÂÁØ.


1. PEG ÀûÀÀÁõ¿¡ ´ëÇÑ personal recommendation (ÀÌÁØÇà) - ÇÒ±î ¸»±î °í¹ÎµÇ¸é ÇÏÁö ¾Ê´Â´Ù.

1) ÀϽÃÀû ȤÀº ¿µ±¸ÀûÀÎ ¿¬Çϰï¶õÀ¸·Î °æ±¸ ½ÄÀ̰¡ ºÒ°¡´ÉÇÑ °æ¿ì·Î¼­ Åë»ó Àå±â°£ ºñÀ§°üÀ» ÅëÇÑ enteral feeding¿¡ ÀÇÁ¸Çϴ ȯÀÚ¿¡¼­ ½ÃÇàÇÑ´Ù.

°í·ÉȯÀÚÀÇ Ä¡·á¿¡¼­ PEG´Â Áß¿äÇÑ ¿ªÇÒÀ» ÇÑ´Ù.

2) ´ëºÎºÐ CVA³ª Parkinsonism µî ½Å°æ°ú ȯÀÚ³ª À̺ñÀÎÈİú ¿µ¿ªÀÇ ¾Ç¼ºÁ¾¾çÀ» °¡Áø ȯÀÚ°¡ ´ë»óÀÌ µÈ´Ù. »ó±â ȯÀÚ¿¡¼­ ÀüÇô oral feedingÀÌ µÇÁö ¾Ê°Å³ª oral feedingÀÌ °¡´ÉÇÏ´õ¶óµµ ÈíÀμº Æó·ÅÀÌ ¹Ýº¹µÇ´Â °æ¿ì¿¡ PEG¸¦ ½ÃÇàÇÏ´Â °æ¿ì°¡ ¸¹´Ù.

3) Aspirin, clopidogrel µî Ç×Ç÷¼ÒÆÇÁ¦´Â º¸Åë 3-4ÀÏ ²÷°í ½ÃÇàÇÑ´Ù. ½Ã¼ú ´ÙÀ½ ³¯ ´Ù½Ã ½ÃÀÛÇÏ´Â °ÍÀÌ ÁÁ´Ù. ¿ÍÆÄ¸°µµ ²÷¾î¾ß ÇÏÁö¸¸ ¿ÍÆÄ¸°À» ²÷´Â ±â°£Àº ´ã´ç°ú°ú »óÀÇÇÏ¿© °áÁ¤ÇÑ´Ù.

4) PEG´Â ´ÜÁö À§·Î ¿µ¾çºÐÀ» Á÷Á¢ ³Ö¾îÁÖ´Â °Í¿¡ Áö³ªÁö ¾Ê±â ¶§¹®¿¡ ±âÁúÀû ȤÀº ±â´ÉÀû Æó¼â°¡ ÀÖ´Â °æ¿ì´Â ´ë»óÀÌ µÇÁö ¾Ê´Â´Ù. Åë»ó ºñÀ§°üÀ» ÅëÇÑ ¿µ¾ç°ø±Þ¿¡ ¹®Á¦°¡ ¾ø´Â ȯÀÚ¿¡¼­ Àå±â°£ÀÇ enteral feedingÀ» ÇϰíÀÚ ÇÒ ¶§ PEG¸¦ ½ÃÇàÇÏ´Â °ÍÀÌ´Ù.

5) PEG´Â Àå±â°£ÀÇ enteral feedingÀ» µµ¿ÍÁÖ´Â ¹æ¹ýÀ¸·Î ÀÀ±Þ½Ã¼úÀÌ ¾Æ´Ï´Ù. ȯÀÚÀÇ »óŰ¡ unstableÇÑ °æ¿ì¿¡´Â Àý´ë·Î ½ÃÇàÇÏÁö ¾Ê´Â´Ù.

6) PEG »ðÀÔÀº ±¸°­À» ÅëÇÏ¿© Æ©ºê°¡ »ðÀԵDZ⠶§¹®¿¡ asepticÇÑ ½Ã¼úÀÌ ¾Æ´Ï´Ù. µû¶ó¼­ ±¹¼Ò °¨¿°ÁõÀÌ ÀÚÁÖ ¹ß»ýÇÒ ¼ö ¹Û¿¡ ¾ø´Ù. ±¹¼Ò °¨¿°ÁõÀº ´ëºÎºÐ 1ÀÏ 1-2ȸ Á¤µµÀÇ µå·¹½Ì°ú IV Ç×»ýÁ¦·Î È£ÀüµÇÁö¸¸, µå¹°°Ô Æ©ºê¸¦ Á¦°ÅÇØ¾ß ÇÏ´Â °æ¿ìµµ ÀÖ´Ù. ÀÌ¿ÜÀÇ ÇÕº´ÁõÀ¸·Î´Â leak, ÃâÇ÷, À§½Äµµ¿ª·ù, pneumoperitoneum µîÀÌ °¡´ÉÇÏ´Ù. ÇÕº´Áõ ¹ß»ý½Ã¿¡´Â ¿ì¼± ½Ã¼úÀÇ¿Í »óÀÇÇÏ¿© Æ©ºê ¹× external anchorÀÇ À§Ä¡¸¦ È®ÀÎÇÏ´Â °ÍÀÌ ÁÁ´Ù. Á¶±Ý Á¶¿©Áְųª Ç®¾îÁ־ ¹®Á¦°¡ ÇØ°áµÇ´Â °æ¿ì°¡ ¸¹±â ¶§¹®ÀÌ´Ù.

7) PEG »ðÀÔÀ» À§ÇÏ¿© ½Ã¼ú Àü ¿¹¹æÀû Ç×»ýÁ¦¸¦ Åõ¿©ÇÑ´Ù (J Clin Nurs. 2009)


2. PEG ¼ú±â ¹× ½Ã¼ú ÀüÈÄ clinical pathway

Pull techniqueÀ» ÀÌ¿ëÇÑ Ç¥ÁØ »ðÀÔ¹ý

Pucnture ÀÌÀü¿¡ transilluminationÀ» È®ÀÎÇØ¾ß ÇÑ´Ù.

³»½Ã°æÀ» »ðÀÔÇÒ ¼ö ¾ø´Â ȯÀÚ¿¡¼­´Â PEG¸¦ ÇÒ ¼ö ¾øÀ¸¹Ç·Î ¿µ»óÀÇÇаú¿¡ ÀÇ·ÚÇÏ¿© PRG¸¦ ÇØ¾ß ÇÑ´Ù.

Clinical pathway for PEG (2015)
ºÐ·ù ±âº»Ã³¹æ ¾àó¹æ °Ë»çó¹æ
Day 1 (ÀÔ¿ø) V/S q 8h
BR
TD --> MNNPO
Body weight check
Height check
Get permission (½Ã¼úµ¿ÀǼ­¿Í ¼ö¸é³»½Ã°æµ¿ÀǼ­)
XDNK2 IV 20gtt Chest X-ray, Ç¥ÁØ Ç÷¾×°Ë»ç
Day 2 (procedure day) V/S q 8h
BR
NPO
Send to endoscopy room
XDNK2 IV 20gtt
Cefazolin 1g IV (1ȸ on call)
.
Day 3 V/S q 8h
BR
NPO for 24hr after PEG --> ÀÌÈÄ feeding start (¾Æ·¡ ÂüÁ¶)
Daily dressing
XDNK2 IV 20gtt .


[2022-5-4] PEG Simulator

¾Æ»êº´¿ø ÀÌÁøÇõ ±³¼ö´Ô²²¼­ °³¹ßÇÏ¿© 3D printer factory ±Û·è¿¡¼­ ÆÇ¸ÅÇÏ´Â PEG simulator¸¦ ¼Ò°³ÇÕ´Ï´Ù (°¡°Ý: 150¸¸¿ø). °¡´ÉÇϸé '¸ðµç ½Ã¼úÀº ÃæºÐÇÑ simulator ÈÆ·Ã ÈÄ ½ÃÇàÇÑ´Ù'´Â ¿øÄ¢¿¡ µû¶ó PEGµµ simulator ÈÆ·Ã ÈÄ È¯ÀÚ¿¡°Ô ½Ã¼úÇÏ´Â °ÍÀÌ ÁÁ°Ú½À´Ï´Ù.


3. PEGÈÄ ½ÄÀÌ ÁøÇà

2015³â SMC protocolÀ» Á¤¸®ÇÏ¿´½À´Ï´Ù.

PDF 0.1M

¾Æ·¡´Â 2015³â ÀÌÀü¿¡ »ç¿ëÇÏ´ø ÇÁ·ÎÅäÄÝÀÔ´Ï´Ù.

º¹ºÎÆØ¸¸ÀÌ ¾ø°í, ÀåÀ½ÀÌ µé¸®¸é feedingÀ» ¾Æ·¡¿Í °°Àº ¼ø¼­·Î ½ÃÀÛÇÑ´Ù.
1. N/S 50 ml per 1hr (3 times)
2. SFD feeding if aspiration (-) after 4hr
3. SFD 50 ml - water 50 ml to prevent tube obstruction
4. Increase SFD 50 ml every 4hr up to 250 ml
5. SFD every 3hr after 250 ml
6. SFD every 2hr


[Pull Çü PEG »ðÀÔ ÈÄ ¼Òµ¶]


[Push Çü PEG »ðÀÔ balloon °ü¸® (2024-7)]

dz¼± Áõ·ù¼ö ±³È¯¹æ¹ý

±âŸ»çÇ×


4. ÇÕº´Áõ. Complications

1) Peristomal wound infection

PEGÀÇ °¡Àå ÈçÇϰí Áß¿äÇÑ ÇÕº´ÁõÀº wound infectionÀÔ´Ï´Ù.

Wound infection

Severe wound infection - necrotizing fasciitis

Á¦°¡ fellowÀÌ´ø ½ÃÀý ÀÌ¿¡ °üÇÑ ÂªÀº ³í¹®À» ¾´ ÀûÀÌ ÀÖ¾î ¼Ò°³ÇÕ´Ï´Ù. ´ç´¢È¯ÀÚ¿¡¼­´Â wound infectionÀÌ ´õ¿í ¸¹´Ù´Â ³»¿ëÀ̾ú½À´Ï´Ù. (Dig Liver Dis 2002)


2) ÃâÇ÷. Bleeding

PEG ÈÄ hematemesis 200 ml

PEG 3ÀÏ ÈÄ ¹ß»ýÇÑ Mallory Weiss tear

Mslloty Weiss tear

Bumper typeÀÇ PEG¸¦ °¡Áø ȯÀÚ°¡ melena·Î ³»¿øÇÏ¿´½À´Ï´Ù. PEG site´Â ÃâÇ÷º´¼Ò°¡ ¾øÀ¸³ª °°Àº levelÀÇ Èĺ®¿¡ ulcer°¡ ÀÖ¾ú½À´Ï´Ù. À§°¡ collapseµÇ¸é PEG bumper¿Í ´ê´Â °÷À̶ó ±â°èÀûÀÎ ÀÚ±ØÀÌ ±Ë¾ç¹ß»ýÀÇ ¿øÀÎÀÌ ¾Æ´Ò±î ÃßÁ¤ÇÏ¿´½À´Ï´Ù.

Balloon type PEG change tube¸¦ »ç¿ëÇϰí ÀÖ´ø ȯÀÚ¿¡¼­ balloon ³¡ÀÇ ÂªÀº µ¹ÃâºÎ¿¡ ÀÇÇÏ¿© ¹Ý´ëÆí À§º®¿¡ ±Ë¾çÀÌ »ý±â¸é¼­ ´ë·®ÃâÇ÷À» ÇÏ¿´½À´Ï´Ù. °ú°Å Foley catheter¸¦ »ç¿ëÇÏ´ø ½ÃÀýÀº µ¹ÃâºÎ°¡ ±æ¾î¼­ ±Ë¾çÀÌ ÀÚÁÖ ¹ß»ýÇÏ¿´½À´Ï´Ù. Change Àü¿ë balloon tube´Â ³¡ÀÇ µ¹ÃâºÎ°¡ ª¾Æ¼­ ÃâÇ÷ÇÏ´Â ¿¹°¡ °ÅÀÇ ¾ø´Âµ¥...... ¾ÆÁÖ ¾ø´Â °ÍÀº ¾Æ´Ñ ¸ð¾çÀÔ´Ï´Ù. Change tube°¡ Á¶±Ý ´õ °³¼±µÇ¾î¾ß ÇÒ °Í °°½À´Ï´Ù.

2018³â ´ëÇÑ»óºÎÀ§Àå°üÇ︮ÄÚ¹ÚÅÍÇÐȸÁö ¼Û°æÈ£ ±³¼ö´Ô Áõ·Ê Á¤½Ä balloon type replacement tube (Cook Medical)¸¦ »ðÀÔÇÏ¿´´ø ȯÀÚ¿¡¼­ ¹ß»ýµÈ pressure necrosis¿¡ ÀÇÇÑ À§±Ë¾ç ÃâÇ÷. Á¤½Ä balloon type replacement tube ³¡ÀÇ µ¹ÃâºÎ´Â Foley catheter¿¡ ºñÇÏ¿© ª±â ¶§¹®¿¡ ¿©°£Çؼ± ÃâÇ÷ÀÌ ¹ß»ýÇÏÁö ¾ÊÁö¸¸ µå¹°°Ô ¹ß»ýÇÒ ¼ö ÀÖ´Â ¸ð¾çÀÔ´Ï´Ù. ÃÖ±Ù¿¡´Â µ¹ÃâºÎ°¡ ¾ø´Â balloon type replacement tubeµµ ½ÃÆÇµÇ°í ÀÖ´Ù°í ÇÕ´Ï´Ù.


[PEG »ðÀÔ ÈÄ ÃâÇ÷ÀÌ ¹ß»ýÇÑ °æ¿ìÀÇ ´ëó¹ý] (2020³â 12¿ù 16ÀÏ. ±èÅÂÁØ ±³¼ö´Ô)

  1. External bumper¸¦ Á¶¿©¼­ compressionÀ» ½ÃÇàÇÑ´Ù. (½Ã¼ú Áß ÃâÇ÷ÀÌ È®ÀÎµÈ °æ¿ì¿¡´Â compressionÀ» ½ÃÇàÇÏ°í ³»½Ã°æ ÆÇµ¶Áö¿¡ ±âÀçÇÑ ÈÄ Áø·á°ú¿Í ÃâÇ÷»óȲÀ» °øÀ¯ÇÑ´Ù, ½Ã¼ú ÀÌÈÄ¿¡ ÃâÇ÷ÀÌ ¹ß»ýÇÑ °æ¿ì¿¡´Â Áø·á°ú¿¡¼­ compressionÀ» ½ÃÇàÇϰí IM1°ú ÃâÇ÷»óȲÀ» °øÀ¯ÇÑ´Ù.)
  2. CompressionÀ» 24½Ã°£ ÀÌ»ó Áö¼ÓÇÒ °æ¿ì buried bumper syndromeÀÇ ÇÕº´ÁõÀÌ ¹ß»ýÇÒ ¼ö ÀÖÀ¸¹Ç·Î ½Ã¼ú ´ÙÀ½³¯ ¿ÀÀü external bumper¸¦ º¹º®¿¡¼­ 1cm Á¤µµ ´À½¼ÇÏ°Ô Ç®¾îÁØ´Ù.)
  3. ȯÀÚ°¡ Ç÷¿ªÇÐÀûÀ¸·Î ºÒ¾ÈÁ¤Çϸé ÃæºÐÇÑ ¼ö¾× Åõ¿©¸¦ ½ÃÇàÇÑ´Ù. (2 large bore IV, target: SBP >100mmHg, HR <100/min)
  4. Compression¿¡µµ ºÒ±¸Çϰí ÃâÇ÷ÀÌ Áö¼ÓµÇ¸é Áø·á°ú´Â IM1¿¬¶ôÇÏ¿© ³»½Ã°æ°Ë»ç·Î ÃâÇ÷ ¿©ºÎ¸¦ È®ÀÎÇϰí Á¡¸·ÃâÇ÷ÀÏ °æ¿ì¿¡´Â ÁöÇ÷¼úÀ» ½ÃÇàÇÒ ¼ö ÀÖ´Ù.
  5. ³»½Ã°æÀû ÁöÇ÷¼ú¿¡µµ ÃâÇ÷ÀÌ Áö¼ÓµÇ°Å³ª Á¡¸· ÃâÇ÷ÀÌ ¾Æ´Ò °æ¿ì¿¡´Â ¿µ»óÀÇÇаú ¶Ç´Â ¿Ü°ú ¿¬¶ôÇÏ¿© ¿µ»óÇÐÀû ÁßÀç¼ú ¶Ç´Â ¼ö¼úÀ» °í·ÁÇÑ´Ù.
  6. »ó±â °úÁ¤ Áß PEG tube´Â Á¦°ÅÇÏÁö ¾ÊÀ¸¸ç ÁöÇ÷ÀÌ µÇ±â Àü±îÁö external bumper¸¦ Á¶¿©¼­ compressionÀ» Áö¼ÓÇÑ´Ù.


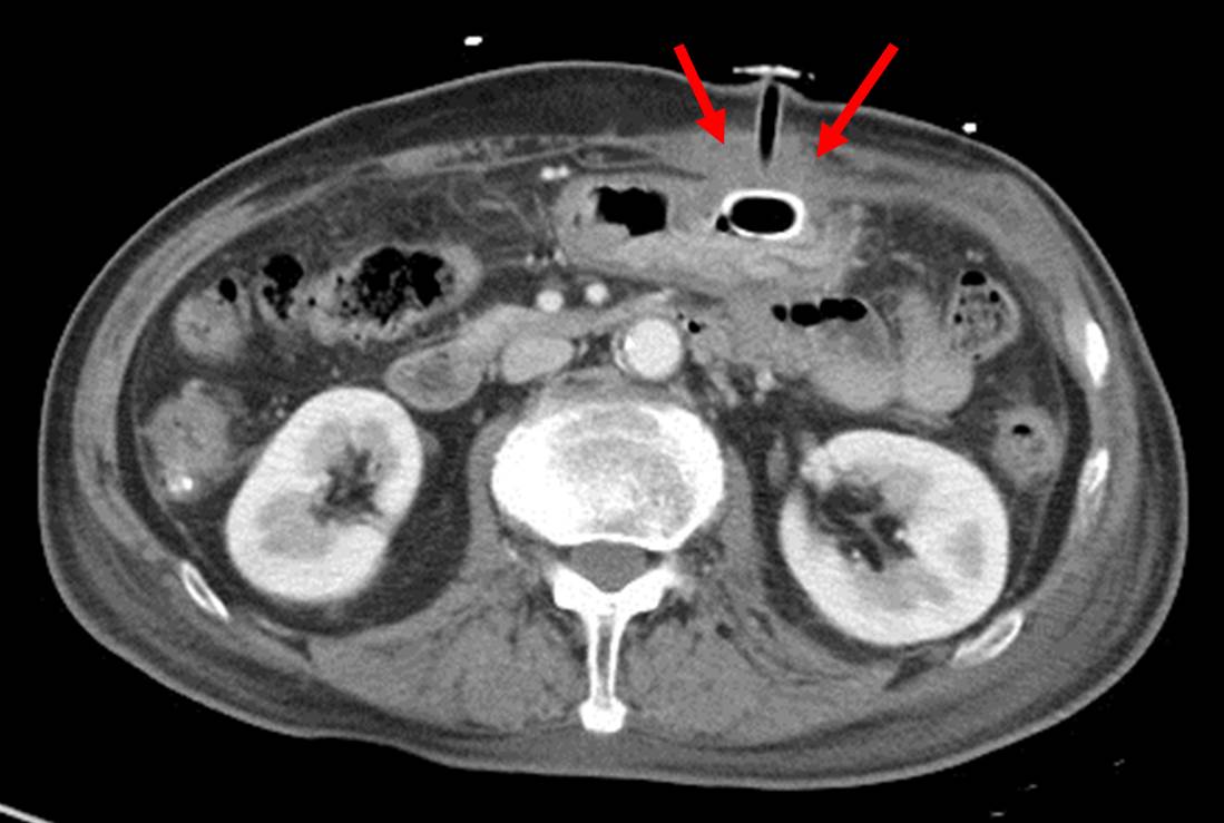
3) Pneumoperitoneum

Pneumoperitoneum


4) Pressure necrosis and buried bumper syndrome

Pressure necrosis

Á¤½Ä PEG tube°¡ ¾Æ´Ñ Foley catheter¸¦ »ðÀÔÇÑ ÈÄ ³»¿øÇÑ È¯ÀÚ¿¡¼­ ¹ß°ßµÈ pressure necrosis

Buried bumper syndrome (partial)

Balloon type PEG tube¿¡ ÀÇÇÑ buried bumper syndromeµµ ¹ß»ýÇÒ ¼ö ÀÖ½À´Ï´Ù.


5) PEG leak

Leak°¡ µÈ´Ù°í Á¡Á¡ diameter°¡ Å« tube·Î ¹Ù²Ù´Â °ÍÀÌ ¾Æ´Õ´Ï´Ù. ÀϽÃÀûÀ¸·Î tube¸¦ Á¦°ÅÇÏ¿© partial healingÀ» À¯µµÇØ¾ß ÇÕ´Ï´Ù.

[2014-6-28. ¾Öµ¶ÀÚ Áú¹®]

Àú´Â ºÎ»êÀÇ Á¾ÇÕº´¿ø¿¡¼­ ÀÏÇϰí ÀÖ´Â ¼ÒÈ­±â³»°ú ÀÇ»çÀÔ´Ï´Ù. º´¿ø¿¡¼­ PEG ½Ã¼úÀ» Çϰí PEG tube¸¦ ±³Ã¼ÇØ ÁÖ°í ÀÖ½À´Ï´Ù. Àß »ç¿ëÇÏ´Ù°¡ tube ¿·À¸·Î ½ÄÀ̰¡ »õ´Â °æ¿ì°¡ ÀÖ½À´Ï´Ù. ½ÉÇÑ ºÐµéÀº °è¼Ó »õ¾î ³ª¿Í¼­ °æ¿ì¿¡ µû¶ó ´õ Å« Á÷°æÀÇ tube·Î ±³Ã¼ÇØ ÁÖ°í ÀÖ½À´Ï´Ù. Á¦°¡ ¾Ë¾Æ º» ºÁ¿¡ ÀÇÇÏ¸é °¡Àå Å« Á÷°æÀÇ tube°¡ 24Fr Àε¥ À̰ÍÀ» Çϰí ÀÖ´Â ºÐÀÌ »õ¸é ¾î¶»°Ô ÇØ ÁÖ¾î¾ß ÇÒÁö ¸ð¸£°Ú½À´Ï´Ù. ÁÁÀº ¹æ¹ýÀÌ ¾øÀ»±î ÇÏ¿© ¹®ÀÇ µå¸³´Ï´Ù.

[2014-6-29. ÀÌÁØÇà ´äº¯]

Àú´Â ÀÌ ºÎºÐ¿¡ °æÇèÀÌ º°·Î ¾ø¾î ¿©·¯ ±³¼ö´Ôµé²² ÀǰßÀ» ¿©ÂÞ¾ú½À´Ï´Ù. ¾Æ·¡ ´äº¯µéÀ» Âü°íÇϽñ⠹ٶø´Ï´Ù.

[´äº¯ 1] PEG site leak°¡ ÀÖ´Â °æ¿ì´Â PEGÀÇ ¿Ü°æÀÌ µÎ²¨¿î °ÍÀ¸·Î ±³Ã¼ÇÏ´Â °Íº¸´Ù´Â ±âÁ¸ PEG¸¦ Á¦°ÅÇϰí closure¸¦ ½ÃŲµÚ »õ·Î PEG stomy¸¦ ¸¸µé¾î¾ß ÇÑ´Ù°í ¹è¿ü´ø °Í °°½À´Ï´Ù. ±³Ã¼¿Í »õ·Î ¸¸µå´Â °ÍÀ» ºñ±³ÇÑ RCT¸¦ º» ÀûÀº ¾ø½À´Ï´Ù. PEG leak°¡ Çѹø »ý±â¸é ¾î¶»°Ô ÇØµµ È£ÀüÀÌ ¾ø¾î¼­ °á±¹ ±âÁ¸ PEG¸¦ Á¦°ÅÇÏ°í »õ·Î¿î ÀÚ¸®¿¡ PEG¸¦ ¸¸µç ÀûÀÌ ¼­³Ê¹ø ÀÖ½À´Ï´Ù.

[´äº¯ 2] PEG leakageÀÇ °æ¿ì ȸ»ç¿¡ ¾Ë¾Æº¸¸é, 24Fr º¸´Ù Å« °ÍÀÌ ÀÖ½À´Ï´Ù. Àúµµ ÀÌÀü¿¡ 24 Fr¿¡¼­ 28, 30 Fr±îÁö ±³È¯ÇØ º» ÀûÀÌ ÀÖ½À´Ï´Ù. Å« °ÍÀ¸·Î ¹Ù²Ù´Â °ÍÀ» ±â´Ù¸®´Â µ¿¾È ¸çÄ¥ NPO ÇÏ´Ù º¸¸é, PEG site°¡ Á¼¾ÆÁ®¼­ ¿ÀÈ÷·Á ´õ ÀÛÀº °ÍÀ¸·Î »ðÀÔÇÒ ¼öµµ ÀÖ½À´Ï´Ù. 2-3ÀÏ ³»¿¡ ¹Ù·Î ¸·È÷Áö´Â ¾Ê°í, ¸¹ÀÌ Á¼¾ÆÁý´Ï´Ù. ±Ý½ÄÇÏ°í ¸ÅÀÏ dressingÇϸ鼭 PEG site¸¦ °üÂûÇÏ´Â °ÍÀÌ ÁÁ½À´Ï´Ù. 3ÀÏ Á¤µµ Áö³ª¸é ¸·Èú ¼öµµ ÀÖ½À´Ï´Ù.

[´äº¯ 3] PEG leakage°¡ ÀÖ´Â °æ¿ì ¿ø·¡º¸´Ù ÀÛÀº °üÀ» ³Ö¾î¾ß Á÷°æÀÌ ÁÙ¾îµé¸é¼­ leak°¡ ÁÁ¾ÆÁý´Ï´Ù. Å« Æ©ºê¸¦ ³ÖÀ¸¸é Á¡Á¡ Ä¿Áý´Ï´Ù. ÀÛÀº tube·Î ³ÖÀ¸¸é ÁÖº¯ÀÌ »õ±â¶§¹®¿¡ ±Ý½ÄÀ» ½Ã۰í Ç×»ýÁ¦¸¦ »ç¿ëÇϸ鼭 »óó°¡ ÁÁ¾ÆÁö±â ±â´Ù¸³´Ï´Ù. ´ëºÎºÐ °¨¿°ÀÌ µÇ¸é¼­ »óó°¡ ³ªºüÁö±â ¶§¹®ÀÔ´Ï´Ù. ¸Â´Â °ÍÀÌ ¾ø¾î Àú´Â Foley tube¸¦ »ç¿ëÇϸ鼭 Çß¾î°í ÁöÁöÇÒ ¼ö ¾ø¾î¼­ Æ©ºê ³¡¿¡ saline bagÀ» ´Þ¾Æ ¾à°£ ´ç°ÜÁö°Ô ÇÏ¿´¾ú½À´Ï´Ù. °ü°ÇÀº ÀÛÀº Æ©ºê¸¦ ³Ö°í ±Ý½ÄÇÏ¿© »óóÁÖº¯¿¡ ÁöÀúºÐÇÑ ºÐºñ¹°À̳ª À½½Ä¹° À§¾×ÀÌ ´ú ³ª¿Àµµ·Ï Çϸ鼭 »óó°¡ ³ª¾Æ¾ß ±¸¸ÛÀÌ ÀÛ¾ÆÁý´Ï´Ù.

[´äº¯ 4] Leakage°¡ ÀÖ´Ù°í ±¸°æÀÌ Å« °ÍÀ¸·Î ±³Ã¼ÇÏ¸é ´õ ³Ð¾îÁ® ¿ÀÈ÷·Á ¾ÇÈ­µÉ ¼ö ÀÖ¾î ÃßõÇÏÁö ¾Ê½À´Ï´Ù. ÀÚÁÖ dressingÇϰí gauze¸¦ °¥¾ÆÁÖ¾î ¸»¸®´Â °ÍÀÌ ÃÖ¼±ÀÇ ¹æ¹ýÀ̶ó°í »ý°¢ÇÕ´Ï´Ù. ±×·¡µµ ¾ÈµÇ¸é Á¦°ÅÇÏ°í ´Ù¸¥ °÷¿¡ »õ·Î ÇØº¼ ¼ö ÀÖÀ¸³ª ¹Ýº¹µÉ °¡´É¼ºÀÌ ³ô½À´Ï´Ù.

[´äº¯ 5] ÀÌ·ÐÀûÀ¸·Î º¹¾ÐÀ» ³·Ãß´Â °ÍÀÌ µµ¿òÀÌ µË´Ï´Ù. Ç㸮¸¦ ´À½¼ÇÏ°Ô ÇÏ´Â ¿ÊÀ» ÀÔ°Ô ÇÏ°í °¡½ºÂ÷´Â À½½ÄÀ» Á» ÁÙÀÌ°í ½Ä»ç¾çÀ» Á¶ÀýÇÏ¿© ³Ê¹« ºü¸£°Ô Åõ¿©µÇÁö ¾Ê°Ô ÇÏ´Â °ÍµéÀÌ ÇÊ¿äÇÒ °Í °°½À´Ï´Ù.

[´äº¯ 6] Ưº°È÷ ¿°ÁõÀÌ ÀְųªÇÑ ¹®Á¦°¡ ¾ø´Ù¸é Àú °°Àº °æ¿ì »õ·Î Æ©ºê¸¦ ±³Ã¼Çغ¸°íµµ À½½ÄÀÌ »õ¾î³ª¿À¸é 4½Ã°£ Á¤µµ Á¦°Å¸¦ Çß´Ù°¡ Àç»ðÀÔÀ» ÇÕ´Ï´Ù. µÎ ¹ø ¹Û¿¡ ÇØº¸Áö ¾Ê¾ÒÁö¸¸ ¸ðµÎ ÀÌÈÄ leakage°¡ ¾ø¾ú½À´Ï´Ù. Á¦°Å ½Ã°£Àº Æ©ºê¿Í ´©°øÀÇ À̰ݿ¡ µû¶ó Á¶±Ý Á¶ÀýÇØº¸¸é µÇÁö ¾ÊÀ»±î »ý°¢ÇÕ´Ï´Ù. µÎ ¹ø ´Ù balloon type À¸·Î ³Ö¾ú½À´Ï´Ù (ÀÌÀü¿¡µµ balloon type À¸·Î °¡Áö°í ÀÖ¾ú´ø ºÐµéÀ̾ú½À´Ï´Ù). ´À½¼ÇØÁ³´ø °ÍÀÌ Á¶±Ý ÃÎÃÎÇØÁø Á¤µµÀÇ ´À³¦À̾ú°í ´ÙÇàÈ÷ Å« ¹«¸®¾øÀÌ µé¾î°¬½À´Ï´Ù. ¸¸¾à ³Ê¹« Á¼¾ÆÁ®¼­ ¾Èµé¾î°¡¸é dome-type tube·Î ³Ö¾î¾ß Çϰڰí.. ±×·¡¼­ ½Ã°£ÀÌ Áß¿äÇÒ °Í °°½À´Ï´Ù. Àúµµ 4½Ã°£ ±â´Ù¸®¸é¼­ ¾à°£ °ÆÁ¤Àº µÇ¾ú¾úÁö¸¸ ´ëºÎºÐ ±¦ÂúÁö ¾ÊÀ»±î »ý°¢µË´Ï´Ù. "4½Ã°£Àº ¿ÏÀüÈ÷ ÀúÀÇ ´Ü¼ø °áÁ¤À̾ú½À´Ï´Ù." ±×¸®°í È¿°ú°¡ ¸ðÀÚ¶ó´Ù ½ÍÀ¸¸é ballloon type ÀÌ´Ï ºÎ´ã¾øÀÌ 6½Ã°£ »©º¸°í ´Ù½Ã ³Ö´Â µîÀ¸·Î ÇÏ¸é µÇÁö ¾ÊÀ»±î »ý°¢µË´Ï´Ù.

[´äº¯ 7] PEG ½Ã¼ú ÈÄ °Þ°Ô µÇ´Â °¡Àå °ï¶õÇÑ °æ¿ìÁßÀÇ Çϳª°¡ peristomal leakageÀÎ °Í °°½À´Ï´Ù. ÀÌ·ÐÀûÀ¸·Î´Â percutaneous gastrostomy°¡ Çü¼ºµÈ »óÅÂÀ̹ǷΠleakage°¡ ÀÖ´Ù°í ¹®Á¦°¡ µÉ °ÍÀº ¾øÁö¸¸ ¿©°£ ºÒÆíÇÑ °ÍÀÌ ¾Æ´Ï¸ç, ÀϺΠȯÀÚµéÀº ½Ã¼úÀÌ À߸øµÈ °ÍÀ¸·Î ¿ÀÇØÇϱ⵵ ÇÏ´Â °Í °°½À´Ï´Ù. Ưº°ÇÑ ¿¹¹æ ¹æ¹ýÀÌ ¾øÀÌ ½Ã¼ú ´ç½Ã¿¡ ½Å°æÀ» ½á¼­ Àý°³°¡ Æ©ºê Á÷°æ¿¡ ºñÇØ ³Ê¹« Å©°Ô µÇÁö ¾Êµµ·Ï ¾à°£ ²¿¿Á ³¢ÀÌ´Â ´À³¦À¸·Î ½Ã¼úÇϰí ÀÖ½À´Ï´Ù. óÀ½¿¡ ¾à°£ ³¢ÀÌ´Â ´À³¦ÀÌ À־ ½Ã°£ÀÌ Áö³ª¸é ¾ß°£ ´À½¼ÇØÁö´Â °æÇèÀ» ¸¹ÀÌ Ç߱⠶§¹®ÀÔ´Ï´Ù. ƯÈ÷, óÀ½ Àý°³°¡ Å©Áö ¾Ê´õ¶óµµ ½Ã¼ú Ãʱ⿡ tract maturationÀÌ µÇ±â Àü¿¡ tube°¡ ¸¹ÀÌ ¿òÁ÷À̰ųª (ȯÀÚ°¡ ±âħÀ» ÇÏ´Â °æ¿ì µî) ÇǺÎÀÇ Åº·Â°ú ÇÇÇÏÁö¹æÀÌ Àû¾î¼­ ÀûÀýÇÏ°Ô ¿ÏÃæ½ÃÄÑÁÖÁö ¸øÇϴ ȯÀڵ鿡¼­ ¸¹ÀÌ ¹ß»ýÇÏ´Â °Í °°½À´Ï´Ù. ÀÏ´Ü ¹ß»ýÇϸé Á»´õ Å« Á÷°æÀÇ tube·Î ±³Ã¼ÇØ º»´Ù°Å³ª, tract ÁÖÀ§ ¿°Áõ°ú ÇǺΠÁø¹°ÀÌ ¾Æ¹°¶§±îÁö dry up ½ÃŲ ÈÄ ´Ù½Ã tube¸¦ ÀçÅõ¿©ÇØ º¸°í, ±×·¡µµ leakage°¡ È£ÀüµÇÁö ¾Ê´Â´Ù¸é ´Ù¸¥ À§Ä¡¿¡ ´Ù½Ã tractÀ» ¸¸µé°í »õ·Î¿î tube¸¦ »ðÀÔÇÏ´Â ¹æ¹ýÀ» »ç¿ëÇϰí ÀÖ½À´Ï´Ù. Á¤´äÀÌ ¾ø´Â ¹®Á¦ÀÎ °Í °°¾Æ °³ÀÎÀûÀÎ °æÇèÀ» ¸î ÀÚ Àû¾îºÃ½À´Ï´Ù.

[´äº¯ 8] ´ë°³ PEG ´Â 2Â÷ º´¿ø¿¡¼­ ¸¹ÀÌ ÇÏ°Ô µÇÁö¿ä. Á¦ °æÇèÀ¸·Î´Â
1. ±âÁ¸ÀÇ PEG tube Á¦°ÅÇϰí, dressing ¸¸ Çϸ鼭 previous site °¡ °ÅÀÇ ¾Æ¹°¶§±îÁö ±â´Ù¸³´Ï´Ù. À̶§ foley catheter µî ´Ù¸¥ À̹°Áú·Î ±âÁ¸ÀÇ site¸¦ À¯ÁöÇÏ·Á°í ³ë·ÂÇÏ½Ç Çʿ䰡 ¾ø½À´Ï´Ù. À̹°ÁúÀÌ ÀÖ´Â ÇÑ ÇǺΠº´º¯Àº healing µÇ±â ¾î·Á¿î °Í °°½À´Ï´Ù.
2. À̶§ tube site cultre ¸¦ Çϰí, Ç×»ýÁ¦¸¦ »ç¿ëÇϱ⵵ ÇÕ´Ï´Ù. persistent leaking ÀÌ µÇ´Â °æ¿ì ÀÏÂ÷ÀûÀ¸·Î ȤÀº ÀÌÂ÷ÀûÀ¸·Îµµ °¨¿°ÀÌ ¹®Á¦°¡ µÇ±â ¶§¹®ÀÔ´Ï´Ù.
3. ±âÁ¸ÀÇ tube site °¡ pin-point ȤÀº °ÅÀÇ ¸Â¹°¸®¸é, ±×¶§ »õ·Î¿î gastrostomy ¸¦ óÀ½°ú °°Àº ¹æ¹ýÀ¸·Î ³Ö¾îÁÖ¸é µË´Ï´Ù. À̶§ Á¼ÇôµÐ ±âÁ¸ÀÇ tube site ´Â knife·Î ³ÐÈ÷Áö ¾Ê°íµµ ½±°Ô È®ÀåµË´Ï´Ù.
ÃÖ´ë 2ÁÖ Á¤µµ±îÁö ȯºÎ°¡ ¾Æ¹°±â¸¦ ±â´Ù¸° Àûµµ Àִµ¥, À̶§´Â infection ÀÌ °°ÀÌ ÀÖ¾ú½À´Ï´Ù. ´ë°³´Â 1ÁÖ Á¤µµ ±â´Ù¸®¸é ȯºÎ°¡ Á¼¾ÆÁö°í, ÀÌ ±â°£µ¿¾ÈÀº ÀÔ¿øÇÏ¿© ±Ý½Ä & ¼ö¾×Ä¡·á Çϰí ÀÖ½À´Ï´Ù. ³Ê¹« ´À½¼ÇÏ¿© leaking ÀÌ ½ÉÇÑ °æ¿ì´Â ¿Ü°ú¿Í »óÀÇÇÏ¿© ÇǺο¬ºÎÁ¶Á÷±îÁö ±¹¼ÒÀûÀ¸·Î stitchÇÑ °æ¿ìµµ ÀÖ½À´Ï´Ù. ±³°ú¼­ÀûÀÎ ³»¿ëÀÌ ¾ø´Â °³ÀÎÀû °æÇèÀÌÁö¸¸ µµ¿òÀÌ µÇ¼Ì±â¸¦ ¹Ù¶ø´Ï´Ù.


6) Gastrocolocutaneous fistula (Intestinal Research 2014;12:251-255)

±×¸² 1. Upper endoscopic findings. (A) An upper endoscopy which was done 6 months ago. The gastrocolocutaneous fistula was misdiagnosed as buried-bumper syndrome 6 months previously. (B) An upper endoscopy which was done at this time. The bumper of the feeding tube was deeply buried within the gastric wall and had formed a hole at the time of the patient's admission to our hospital. (C) The bumper with fecal material observed through the gastrocolic fistula. A large space was observed when the scope was advanced into the hole, and brownish material was attached to the bumper. (D) The colonic lumen observed through the gastrocolic fistula. The colonic lumen was identified by a bluish liver shadow and colonic haustra, 3 weeks later.

±×¸² 2. Schematic diagrams of the 3 stages based on the position of the bumper in Case 2. (A) The gastrocolocutaneous fistula was created during the percutaneous endoscopic gastrostomy (PEG) placement, and the transverse colon was pressed tightly between the stomach and the abdominal wall (the first stage). (B) During the intervening period, the transmural migration of the feeding tube showed endoscopic findings similar to those of buried-bumper syndrome (the second stage). (C) The bumper migrated into the intracolonic space through the gastrocolic fistula (the third stage).

M/85. PEG tube insertion ÈÄ ½ÄÀÌ ÁøÇàÀÌ Àß µÇ¾ú´ø ºÐÀÔ´Ï´Ù. 6°³¿ù ÈÄ PEG tube change ÈÄ ½ÄÀÌ ÁøÇàÀÌ µÇÁö ¾Ê¾Æ CT¸¦ Âï¾ú°í colonic fistula°¡ È®ÀεǾú½À´Ï´Ù. PEG tube removal ÈÄ Neovil°ú Veriplast·Î fistula¿¡ ´ëÇÑ Ä¡·á¸¦ ÇÏ¿´½À´Ï´Ù. PEG »ðÀÔ ½Ã gastrocolocutaneous fistula°¡ »ý°å´Ù°¡ tube change ÀÌÈÄ¿¡ tube ³¡ÀÌ ´ëÀåÀ¸·Î µé¾î°¡¼­ ¹ß°ßµÈ Áõ·ÊÀÔ´Ï´Ù.


7) Others

PEG ÈÄ ¹ß»ýÇÑ °áÀå-ÇǺΠfistula


5. PEG tubeÀÇ Á¦°Å ¹× ±³Ã¼

1) PEG Æ©ºê¸¦ »ðÀÔÇÏ°Ô µÈ ÀÌÀ¯°¡ ¼Ò¸êµÈ °æ¿ì PEG tube¸¦ Á¦°ÅÇÑ´Ù.

2) PEG Æ©ºê¸¦ Á¦°ÅÇÏ´Â ¹æ¹ýÀº µÎ °¡Áö°¡ ÀÖ´Ù. (1) BlindÇÑ ¹æ¹ýÀ¸·Î PEG Æ©ºê¸¦ ¸ö ¹Û¿¡¼­ ´ç°Ü¼­ Á¦°ÅÇÏ´Â ¹æ¹ý, (2) ³»½Ã°æÀ» À§³»¿¡ »ðÀÔÇÑ »óÅ¿¡¼­ ¸ö ¹Û¿¡¼­ Æ©ºê¸¦ ÀÚ¸£°í internal bumper´Â ³»½Ã°æÀ» ÅëÇÏ¿© ¼ö°ÅÇÏ´Â ¹æ¹ý. PEG Æ©ºê¸¦ Á¦°Å ÈÄ ³²¾ÆÀÖ´Â fistula openingÀº 2ÀÏ Á¤µµ ±Ý½ÄÇÏ¸é ´ëºÎºÐ ÀúÀý·Î ¸·Èù´Ù. ¸·È÷Áö ¾Ê´Â °æ¿ì histoacrylÀ» »ç¿ëÇÒ ¼ö ÀÖ´Ù.

¸ö ¹Û¿¡¼­ PEG Æ©ºê¸¦ ´ç°Ü¼­ Á¦°ÅÇÏ´Â ¹æ¹ý

Æ©ºê Á¦°Å Á÷ÈÄÀÇ fistula. ´ëºÎºÐ ÇÏ·ç ³»¿¡ ¿ÏÀüÈ÷ ¸·Èù´Ù.

3) PEGÀÇ ±³Ã¼´Â À§ÀÇ ¹æ¹ý¿¡ µû¶ó Æ©ºê¸¦ Á¦°ÅÇÑ ÈÄ ±× ÀÚ¸®¿¡¼­ Áï½Ã fistula tractÀ» ÅëÇÏ¿© ±³Ã¼¿ë Æ©ºê¸¦ »ðÀÔÇÑ´Ù. ±×·¯³ª ¿ëÀÌÇÏÁö ¾ÊÀº °æ¿ì¿¡´Â Æ©ºê Á¦°Å ¼öÀÏ ÈÄ¿¡ ¾à°£ ¿· ºÎºÐ¿¡ PEG Æ©ºê¸¦ »õ·Î »ðÀÔÇÑ´Ù.


[Balloon-type replacement tube »ç¿ë¼³¸í¼­¿Í Çö½ÇÀûÀÎ Àû¿ë]

dz¼±Çü ±³Ã¼ Æ©ºê

¹îÁÙ(PEG Æ©ºê)À» óÀ½ »ðÀÔÇÒ ¶§¿¡´Â ¹ö¼¸Çü Æ©ºê¸¦ ¾²Áö¸¸ º¯°æÇÒ ¶§¿¡´Â dz¼±ÇüÀ» »ç¿ëÇϰí ÀÖ´Ù. ȸ»çÃø »ç¿ë¼³¸í¼­¿¡´Â ¾Æ·¡¿Í °°ÀÌ ¾º¿©Á® ÀÖ´Ù.

Check balloon volume every 7 to 10 days for correct inflation volume using the following steps;
- Discontinue feeding
- Use a luer-tip syringe to completerly evacuate water from balloon
- Discard evacuated water
- Reinflate balloon with appropriate amount of water (20 ml).

For optimal performance, the tube should be replaced every 30 days or as required to ensure balloon patency and unoccluded tube lumen.


[2021-1-7. ¾Öµ¶ÀÚ Áú¹®]

Ballooning 10cc¸¦ ²À Áõ·ù¼ö·Î ÇØ¾ßÇϴ°¡?

[2021-1-8. ±èÅÂÁØ ±³¼ö´Ô ´äº¯]

SalineÀ» »ç¿ëÇÏ¸é °áÁ¤ÀÌ »ý°Ü deflation failure °¡ ¹ß»ýÇÒ À§ÇèÀÌ ÀÖ¾î Áõ·ù¼ö »ç¿ëÀ» ±ÇÀåÇϰí ÀÖ½À´Ï´Ù. ¸î °³ÀÇ ÀڷḦ ã¾Æº» °á°ú ½Ä¿°¼ö »ç¿ëÀÌ deflation failre ¹ß»ýÀÌ ´õ ³ôÁø ¾Ê¾Ò½À´Ï´Ù. Áõ·ù¼ö »ç¿ëÀ» ±ÇÀåÇ쵂 ½Ä¿°¼ö »ç¿ëµµ °¡´ÉÇÏ´Ù¶ó´Â °Íµµ ±¦ÂúÁö ¾ÊÀ»±î ÇÕ´Ï´Ù.


[Balloon-type replacement tube ȯÀÚ ¹× º¸È£ÀÚ¿¡ ´ëÇÑ ¼³¸í]

dz¼±Çü ±³È¯Æ©ºê´Â óÀ½ »ðÀÔÇÑ ¹ö¼¸Çü Æ©ºê¿¡ ºñÇÏ¿© ºüÁú À§ÇèÀÌ ³ô½À´Ï´Ù. ȸ»çÃø »ç¿ë ¼³¸í¼­¿¡´Â 7-10Àϸ¶´Ù ÁÖ»ç±â¸¦ ÀÌ¿ëÇÏ¿© ÀÌ¿ëÇÏ¿© dz¼±ÀÇ ¹°À» »©°í »õ ¹°À» 20 ml ³Ö¾îÁÖµµ·Ï µÇ¾î ÀÖ½À´Ï´Ù (Áõ·ù¼ö¿Í ÁÖ»ç±â´Â ÀÇ·á±â»ó¿¡¼­ °³º° ±¸ÀÔ). ȸ»çÃø »ç¿ë¼³¸í¼­¿¡¼­´Â Æ©ºê¸¦ 30ÀÏ °£°ÝÀ¸·Î ±³È¯Çϵµ·Ï ±ÇÇϰí ÀÖ½À´Ï´Ù.

»ç½Ç ÇÑ´Þ¸¶´Ù Æ©ºê¸¦ ¹Ù²Ù´Â °ÍÀº ½¬¿î ÀÏÀÌ ¾Æ´Õ´Ï´Ù. µû¶ó¼­ ±³Ã¼ÇÏÁö ¾Ê°í ±×³É »ç¿ëÇÏ´Ù°¡ ¸·È÷°Å³ª º¯»öµÇ¾úÀ» ¶§ ¹Ù²Ù´Â °æ¿ì°¡ ¸¹½À´Ï´Ù. ´Ü Á¤ÇØÁø ±³È¯Áֱ⺸´Ù ¿À·¡ »ç¿ëÇÏ´Â °æ¿ì dz¼±ÀÇ ´©¼ö·Î ÀÎÇÏ¿© Æ©ºê°¡ ºüÁú À§ÇèÀÌ ³ô´Ù´Â Á¡Àº ¾Ë°í °è¼Å¾ß ÇÕ´Ï´Ù. ¸¸¾à Æ©ºê°¡ ºüÁö¸é ±× Áï½Ã Æ©ºê¸¦ ´Ù½Ã ¹Ð¾î ³Ö°í ÀÀ±Þ½Ç·Î ¿À½Ã±â ¹Ù¶ø´Ï´Ù. ¼öºÐ ÀÌ»ó ÁöüµÇ¸é °ú°Å¿¡ ¸¸µé¾ú´ø ±¸¸ÛÀ» »ç¿ëÇÒ ¼ö ¾ø½À´Ï´Ù.

ȸ»çÀÇ Ãßõ°ú Çö½ÇÀûÀÎ Ãø¸éÀ» °í·ÁÇÏ¿© 2ÁÖ¿¡ Çѹø ¹°À» ¹Ù²Ù°í 3´Þ¿¡ Çѹø Æ©ºê¸¦ ±³Ã¼ÇÏ´Â °ÍÀÌ °¡Àå ¹«³­ÇÕ´Ï´Ù. º¸È£ÀÚ²²¼­ Á÷Á¢ ¹°À» »©°í »õ·Î ³Ö±â ¾î·Æ´Ù°í ´À³¢½Ã¸é °¡Á¤°£È£»ç ¹æ¹®À» ¿äûÇϽʽÿÀ. ±¹¼Ò ÅëÁõÀ̳ª ¹ß¿­ÀÌ ¾øÀ¸¸é »ðÀԺΠ¼Òµ¶¸¸ ÇϽðí Á» ´õ ¿À·¡ ¾²´Â ºÐµµ °è½Ê´Ï´Ù. ÁÖÄ¡ÀÇ¿Í »ó´ãÇϽñ⠹ٶø´Ï´Ù.

* Balloon-type replacement tube ȯÀÚ ¹× º¸È£ÀÚ¿¡ ´ëÇÑ ¼³¸í¼­ (PDF)


[Alternative tubes]

1) Non-balloon type replacement tube

¼ö³â Àü °©ÀÚ±â non-balloon type replacement tube°¡ ¼öÀÔÁߴܵǾî balloonÇüÀ» »ç¿ëÇϰí ÀÖ¾ú½À´Ï´Ù. 2012³â ¸» ¿ì¸®³ª¶óÀÇ ÇÑ È¸»ç¿¡¼­ non-balloon type replacement tube¸¦ »ý»êÇϱ⠽ÃÀÛÇÏ¿´´Ù°í ÇÕ´Ï´Ù. Àú´Â ¾ÆÁ÷ ½á º» ÀûÀº ¾ø½À´Ï´Ù.

2) Balloon type without a long tube

±ä tube°¡ ¾ø´Â button typeÀ̶ó´Â °Íµµ Àִµ¥ Àú´Â »ç¿ë °æÇèÀÌ ¾ø½À´Ï´Ù.


6. Cases. ´Ù¾çÇÑ »ç·Ê

1) ½Äµµ stent ȯÀÚÀÇ PEG

ÁøÇ༺ ½Äµµ¾ÏÀ¸·Î esophageal obstruction°ú tracheo-esophageal fistula°¡ À־ covered stent¸¦ ³ÖÀº ȯÀÚÀÔ´Ï´Ù. Stent ½Ã¼ú ÈÄ¿¡µµ Áö¼ÓÀûÀÎ aspirationÀÌ À־ °æ±¸ ½ÄÀ̼·Ãë°¡ ¾î·Æ´Ù°í ÆÇ´ÜµÇ¾î PEG »ðÀÔÀÌ ÀǷڵǾú½À´Ï´Ù. Stent·Î ÀÎÇÏ¿© ½Äµµ°¡ ÃæºÐÈ÷ ³Ð¾îÁöÁö ¾Ê¾Ò´Ù¸é PEG tube°¡ ½Äµµ¸¦ Åë°úÇÏÁö ¸øÇÒ °¡´É¼ºÀÌ ÀÖ´Â »óȲÀ̾ú½À´Ï´Ù. ±×·¯³ª ´ÙÇེ·´°Ôµµ 9.2 mm ¿Ü°æÀÇ ³»½Ã°æÀÌ ÀúÇ×¾øÀÌ ½Äµµ¸¦ Åë°úÇÒ ¼ö À־ Åë»óÀûÀÎ ¹æ¹ýÀ¸·Î PEG ½Ã¼úÀÌ °¡´ÉÇÏ¿´½À´Ï´Ù.

½Äµµ stent¿¡ dirty whiteÇÑ exudate°¡ ÀÖ¾ú°í ÀÌ ºÎÀ§¸¦ tube°¡ Åë°úµÇ¾ú±â ¶§¹®¿¡ PEG tubeÀÇ contamination Á¤µµ´Â Åë»óº¸´Ù ³ôÀ» ¼ö ¹Û¿¡ ¾ø´Ù°í ÆÇ´ÜµÇ¾î ÃÖ´ëÇÑ ¼Òµ¶À» ÇÏ¿´°í 1-2ÀÏ Á¤µµÀÇ IV Ç×»ýÁ¦ »ç¿ëÀ» ±ÇÇÏ¿´½À´Ï´Ù.


2) Àý´ÜÇÑ PEG tube bumper°¡ »óºÎ½Äµµ¿¡ °É¸° °æ¿ì 2¿¹

PEG tube°¡ ÇÊ¿ä¾ø°Ô µÇ¸é ±×³É ÈûÀ¸·Î Àâ¾Æ´ç±â¸é ºüÁý´Ï´Ù. °£È¤ PEG tractÀÇ ¼Õ»óÀ» ¿ì·ÁÇÏ¿© internal bumper 2-3cm »ó´ÜÀÇ tube¸¦ °¡À§·Î Àý´ÜÇÏ¿© ³»½Ã°æÀ¸·Î Á¦°ÅÇϱ⵵ ÇÕ´Ï´Ù. ±× °úÁ¤¿¡¼­ »óºÎ½Äµµ¿¡ °É¸± ¼ö ÀÖ½À´Ï´Ù. ÇÑ ºÐÀº midazolam Åõ¿© ÈÄ Á¦°ÅÇÒ ¼ö ÀÖ¾ú°í ÇÑ ºÐÀº À̺ñÀÎÈİú¿¡ ÀÇ·ÚÇÏ¿© rigid esophagoscope·Î Á¦°ÅÇÏ¿´½À´Ï´Ù.

³»½Ã°æ »ðÀÔÇÏ¿¡ PEG Æ©ºê¸¦ Á¦°ÅÇÏ´Ù internal bumper°¡ ½Äµµ¿¡ °É·Á midazolam Åõ¿© ÈÄ Á¦°Å°¡ °¡´ÉÇÏ¿´´ø °æ¿ì

À̺ñÀÎÈİú¿¡ ÀÇ·ÚÇÏ¿© rigid esophagoscope·Î Á¦°ÅÇÑ °æ¿ì


3) PEG tractÀÌ ¸·È÷Áö ¾ÊÀ½

PEG tube¸¦ »ÌÀ¸¸é tract´Â ÀúÀý·Î ¸·Èü´Ï´Ù. ±×·±µ¥ ƯÀÌÇϰԵµ ÀúÀý·Î ¹ÍÈ÷Áö ¾ÊÀº ȯÀÚ°¡ À־ Á¶Á÷Á¢ÇÕÁ¦·Î Ä¡·áÇÑ ¿¹°¡ ÀÖ¾ú½À´Ï´Ù.

À§Ã¼ÇϺÎÀüº®¿¡ PEG°¡ °üÂûµÇ¸ç ¹Ù·Î ¿·¿¡ ¾à 1mm Å©±âÀÇ holeÀÌ °üÂûµÊ. Injection catheter¸¦ ÀÌ¿ëÇÏ¿© histoacryl 0.5ml¿Í lipiodol 0.5mL¸¦ ¼¯¿©¼­ ´©°ø °ü¿¡ ÁÖÀÔÇÔ. ½Ã¼úµµÁß Æ¯º°ÇÏ ÇÕº´ÁõÀÌ ¾ø´Â °ÍÀ» È®ÀÎÇÏ°í °Ë»ç Á¾·á


7. PEGJ tube

[2017-8-23. ±èÀº¶õ]

³»½Ã°æ½Ç¿¡ »õ·Ó°Ô PEGJ tube¸¦ ºñÄ¡ÇÏ°Ô µÇ¾î ¾Ë¸³´Ï´Ù.

±âÁ¸¿¡´Â PEG tube insertion ¿ë°ú change¿ë¸¸ ³»½Ã°æ½Ç¿¡ ºñÄ¡ÇØ µÎ¾î, PEG tube¸¦ °¡Áö°í Àִ ȯÀÚ¿¡¼­ esophageal reflux ¶Ç´Â aspiration pneumonia µîÀÇ ÇÕº´Áõ ¹ß»ý ½Ã ¿µ»óÀÇÇаú¿¡ ÇùÁøÇÏ¿© PRGJ (percutaneous radiological gastrojejunostomy)¸¦ »ðÀÔÇÏ´Â °æ¿ì°¡ °£È¤ ÀÖ¾ú½À´Ï´Ù.

³»½Ã°æ½Ç¿¡ »õ·Ó°Ô ºñÄ¡ÇÑ PEGJ tube ´Â ±âÁ¸ÀÇ PEG tube ¿Í ±¸°æÀÌ µ¿ÀÏÇÕ´Ï´Ù. »ð°ü¹æ¹ýÀº ±âÁ¸ÀÇ balloon typeÀÇ change¿ë PEG tube¿Í µ¿ÀÏÇÕ´Ï´Ù. ´Ù¸¸, balloon ¾ÕÀ¸·Î jejunum±îÁö »ðÀԵǴ ±ä °üÀÌ ´Þ·Á À־, ÀÌ ºÎºÐÀº ³»½Ã°æÀ» ÅëÇØ jejunum±îÁö ³Ö¾î ÁÖ¼Å¾ß ÇÕ´Ï´Ù.


8. Endoscopic nasogastric tube insertion - °¡´ÉÇÏ¸é ½ÃÇàÇÏÁö ¸¿½Ã´Ù. ¾Ö½á ½ÃÇàÇØµµ À¯ÁöµÇÁö ¾Ê½À´Ï´Ù.

ÁßȯÀڽǿ¡¼­ ȤÀº ¿©·¯ °ú¿¡¼­ ³»½Ã°æÀ¸·Î nasogastric tube¸¦ ¼ÒÀå ±í¼÷È÷ ³Ö¾î´Þ¶ó´Â ºÎŹÀ» ¹Þ°í ÀÖ½À´Ï´Ù. Ç¥ÁØÈ­µÈ protocolÀº ¾ø¾î¼­ ´ë°­ ¹Ð¾î³Ö´Â ¼öÁØÀ¸·Î ½Ã¼úÀ» ÇÏ´Â °æ¿ì°¡ ¸¹½À´Ï´Ù. ±èÅÂÁØ ±³¼ö´Ô²²¼­ Á¤¸®ÇØ Áּ̽À´Ï´Ù.

±×·¯³ª ÀÌ ½Ã¼úÀº °¡´ÉÇÏ¸é ½ÃÇàÇÏÁö ¸¿½Ã´Ù. ¾Ö½á ½ÃÇàÇØµµ À¯ÁöµÇÁö ¾Ê½À´Ï´Ù.


9. 2016³â 10¿ù 8ÀÏ SGI meeting - Percutaneous transesophageal gastrostomy (PTEG) (¼­¿ï¾Æ»êº´¿ø ½ÅÁöÈÆ)

ÀϺ»¿¡´Â PTEG Àü¿ë kit°¡ ÀÖ½À´Ï´Ù.

½ÅÁöÈÆ ¼±»ý´ÔÀº lidocaine hydrodissectionÀ» ÅëÇØ °æ·Î¸¦ ¸¸µé¾î ÁÖ¾ú½À´Ï´Ù. Puncture-free balloonÀÌ ÀÖÀ¸¸é ÆíÇÏÁö¸¸ ¿ì¸®³ª¶ó¿¡¼­´Â available ÇÏÁö ¾Ê±â ¶§¹®À̶ó°í ÇÕ´Ï´Ù.

PTEG tube¸¦ ±³È¯ÇÏ´Â °ÍÀº ½¬¿î ÀÏÀ̶ó°í ÇÕ´Ï´Ù.

[2023-3-23] ±èÅÂÁØ ±³¼ö´Ô²²¼­ PEG simulator¸¦ ¸¸µå¼Ì½À´Ï´Ù.


[FAQ]

[2017-7-9] PEG ÀûÀÀÁõÀÎ ¼ö¸¹Àº ȯÀÚ°¡ Á¤ºÎ Á¤Ã¥ ¹Ìºñ·Î PEG ½Ã¼úÀ» ¹ÞÁö ¸øÇϰí ÀÖ´Ù´Â ±â»ç°¡ µ¿¾ÆÀϺ¸¿¡ ½Ç·È½À´Ï´Ù. Nasogastric tube·Î °í»ýÇϴ ȯÀڵ鿡°Ô PEG¸¦ ÇØ µå¸®´Â °ÍÀº Áß¿äÇÑ ÀÏÀÔ´Ï´Ù. ±×·±µ¥ ¿ä¾çº´¿ø¿¡¼­ NG tube¸¦ ÇÏ°í °è½Å ȯÀÚµé Áß »ó´ç¼ö´Â PEG ½Ã¼úÀÇ °íÀ§Ç豺ÀÔ´Ï´Ù. À̵鿡 ´ëÇÑ ¾ÈÀü°ü¸®°¡ ÃæºÐÇÑ »óÅ¿¡¼­ ¸¹Àº ½Ã¼úÀÌ ÀÌ·ç¾îÁú ¼ö ÀÖ´Â ¹æ¾ÈÀÌ °­±¸µÇ¾î¾ß ÇÒ °Í °°½À´Ï´Ù. ÇöÀçÀÇ ¼ö°¡·Î¼­´Â ´äÀÌ ³ª¿ÀÁö ¾Ê½À´Ï´Ù.

[2017-8-9. µ¿¾ÆÀϺ¸] ¹îÁÙ ³öµÐ䡦 ¡®ÄàÁÙ ±Þ½Ä¡¯ 4¸¸¸í °íÅë

#Àå¸é1. ¹ú½á ¼¼ ¹øÂ°´Ù. Ä¡¸Å ȯÀÚ A ¾¾(72¡¤¿©)´Â ·¹ºóÆ©ºê(ÄàÁÙ)¸¦ Àâ¾Æ »ÌÀ¸·Á´Ù°¡ ¶Ç´Ù½Ã ÇÇÅõ¼ºÀ̰¡ µÆ´Ù. À½½ÄÀ» »ïŰÁö ¸øÇÏ´Â A ¾¾¿¡°Ô À¯µ¿½Ä(êüÔÑãÝ)À» ÄÚ¿¡¼­ À§·Î °ø±ÞÇØÁÖ´Â ÄàÁÙÀº ¡®»ý¸íÁÙ¡¯°ú ´Ù¸§¾ø´Ù. ÇÏÁö¸¸ ±×´Â Æ´¸¸ ³ª¸é ¡°ºÒÆíÇÏ´Ù¡±¸ç ¶¼¾î³»·Á Çß´Ù. ÁÖÄ¡ÀÇ´Â ¡°2¡­4ÁÖ °£°ÝÀ¸·Î ÄàÁÙÀ» ±³Ã¼ÇÒ ¶§¸¶´Ù ½Ã¼úÀ» °ÅºÎÇϴ ȯÀÚ¿Í ÀÇ·áÁøÀÌ ÀüÀïÀ» Ä¡¸¥´Ù¡±°í ¸»Çß´Ù.

#Àå¸é2. ÆÄŲ½¼º´Ã³·³ ¸öÀÌ ±»´Â ¡®´Ù°èÅë À§ÃàÁõ¡¯ ȯÀÚ ±è¸ð ¾¾(56¡¤¿©)´Â Áö³­ÇØ 3¿ù °æÇÇ À§·ç¼úÀ» ¹Þ¾Æ ÄàÁÙ ´ë½Å ¹îÁÙÀ» ´Þ°í ³­ µÚ Ç¥Á¤ÀÌ ÇÑ°á Æò¿ÂÇØÁ³´Ù. °æÇÇ À§·ç¼úÀº ¹è¿¡ ±¸¸ÛÀ» ³» À§ÀåÀ¸·Î Á÷Á¢ À¯µ¿½ÄÀ» °ø±ÞÇÏ´Â ½Ã¼úÀÌ´Ù. ±è ¾¾ÀÇ ¾ð´Ï(60)´Â ¡°ÄàÁÙÀ» ´Þ¾ÒÀ» ¶© ¼û½¬´Â °Íµµ ±«·Î¿öÇØ º¸±â ¾ÈŸ±î¿ü´Âµ¥ ÀÌÁ¦´Â ¸¶À½ÀÌ ³õÀδ١±°í Çß´Ù.

Ä¡¸Å³ª ÆÄŲ½¼º´ µîÀ¸·Î À½½ÄÀ» »ïŰÁö ¸øÇÏ´Â ´ë´Ù¼ö ȯÀÚ°¡ Á×±â Á÷Àü±îÁö A ¾¾Ã³·³ ÇÕº´Áõ À§Çè°ú °íÅëÀÌ Å« ÄàÁÙÀ» ´Þ°í »ì¾Æ°£´Ù. ±¹¹Î°Ç°­º¸Çè°ø´ÜÀÌ ÀÚÀ¯Çѱ¹´ç ±è½ÂÈñ ÀÇ¿ø¿¡°Ô Á¦ÃâÇÑ ÀÚ·á¿¡ µû¸£¸é 2012³âºÎÅÍ ¿ÃÇØ 5¿ù±îÁö ÄàÁÙ ½Ã¼úÀ» ¹ÞÀº 65¼¼ ÀÌ»ó ȯÀÚ´Â 50¸¸4360¸íÀ¸·Î ¹îÁ٠ȯÀÚ(1¸¸1262¸í)ÀÇ 44¹è°¡ ³Ñ´Â °ÍÀ¸·Î ³ªÅ¸³µ´Ù. ÇöÀç ¿ä¾çº´¿ø°ú ¿ä¾ç¿ø ȯÀÚ Áß ÄàÁÙ ½Ã¼úÀ» ¹ÞÀº ȯÀÚµµ 4¸¸4730¸íÀ¸·Î ¹îÁ٠ȯÀÚ(3440¸í)º¸´Ù ÈξÀ ¸¹´Ù.

ÀÇÇÐÀûÀ¸·Î ÄàÁÙ ½Ã¼úÀº À½½ÄÀÌ Æó·Î ¿ª·ùÇØ ¿°ÁõÀ» ÀÏÀ¸Å°´Â µî ºÎÀÛ¿ë ¿ì·Á°¡ Å©´Ù. ¹îÁÙ ½Ã¼úµµ À§¾×ÀÌ »õ¾î³ª¿Í º¹¸·¿°¿¡ °É¸± À§ÇèÀÌ ÀÖÁö¸¸ ÀÏÁÖÀÏ Á¤µµ¸¸ °ü¸®ÇÏ¸é ±× ÈÄ ºÎÀÛ¿ë ¿ì·Á°¡ Àû´Ù. ¹îÁÙÀº ½Ã¼úºñ(º»ÀÎ ºÎ´ã±Ý)°¡ 9¸¸8000¡­10¸¸6000¿øÀ¸·Î ÄàÁÙ(2400¡­3900¿ø)º¸´Ù ºñ½ÎÁö¸¸ ±³Ã¼ÁֱⰡ 6°³¿ù¡­1³âÀ̱⠶§¹®¿¡ Àüü °ü¸®ºñ¸¦ °¨¾ÈÇϸé Å« Â÷À̰¡ ¾ø´Ù.

±×·³¿¡µµ ¹îÁÙ ½Ã¼úÀ» ¹Þ´Â ȯÀÚ°¡ ÀûÀº °ÍÀº ¿ä¾çº´¿øÀÇ Àå»ñ¼Ó°ú ´ç±¹ÀÇ ºÒÇÕ¸®ÇÑ ½É»ç ±âÁØ ¶§¹®À̶ó´Â ÁöÀûÀÌ ¸¹´Ù. ´ë´Ù¼ö ¿ä¾çº´¿øÀº ¿Ü°ú Àåºñ¿Í ÀηÂÀ» °®ÃßÁö ¾Ê°í ÀÖ¾î ¹îÁÙ ½Ã¼ú ½Ã ȯÀÚ¸¦ ´Ù¸¥ ´ëÇüº´¿ø¿¡ º¸³»¾ß ÇÑ´Ù. °Ç°­º¸Çè½É»çÆò°¡¿øÀº Ÿ º´¿ø¿¡ ¿Ü·¡¸¦ ÀÚÁÖ ´Ù´Ï´Â ¿ä¾çº´¿ø ȯÀÚÀÇ µî±ÞÀ» ÃÖÇÏÀ§ÀÎ ¡®½Åü±â´ÉÀúÇϱº¡¯À¸·Î Á¶Á¤ÇÏ´Â °üÇàÀÌ ÀÖ´Ù. ȯÀÚÀÇ µî±ÞÀÌ ¶³¾îÁö¸é ¿ä¾çº´¿øÀÌ Ã»±¸ÇÒ ¼ö ÀÖ´Â ÇÏ·ç ÀÔ¿øºñ°¡ Àý¹Ý°¡·® ±ð¿© 2¸¸5000¿ø¿¡ ±×Ä£´Ù. º´¿ø ÃøÀÌ º¸È£ÀÚ¿¡°Ô Àû±ØÀûÀ¸·Î ¹îÁÙ ½Ã¼úÀ» ±ÇÇÏÁö ¾Ê´Â ÀÌÀ¯´Ù.

ÇÏÁö¸¸ ¿ä¾ç¿ø¿¡´Â Àǻ簡 »óÁÖÇÏÁö ¾Ê´Â´Ù. ¿ä¾ç¿ø¸¶´Ù ÃËŹÀǰ¡ ÁöÁ¤µÅ ÀÖÁö¸¸ 2ÁÖ¿¡ ÇÑ ¹ø²Ã·Î ¹æ¹®ÇØ ÇÑ ¹ø¿¡ ¼ö½Ê ¸íÀÇ È¯ÀÚ¸¦ µ¹ºÁ¾ß ÇÏ´Â ¸¸Å­ ¹îÁÙ ½Ã¼úÀ» ÇÒ ¿©·ÂÀÌ ¾ø´Ù. ÀÌ ¶§¹®¿¡ ÀÇ·á±â°üÆò°¡ÀÎÁõ¿ø°ú °Ç°­º¸Çè°ø´ÜÀÌ 3³â¸¶´Ù ½Ç½ÃÇÏ´Â ¿ä¾çº´¿ø ¹× ¿ä¾ç¿ø Æò°¡¿¡ ÄàÁÙ ¹îÁÙ °ü·Ã Ç׸ñÀ» ³Ö¾î¾ß ÇÑ´Ù´Â ÁöÀûÀÌ ³ª¿Â´Ù. Àü±¹¿¡¼­ ÄàÁÙ ´ëºñ ¹îÁ٠ȯÀÚÀÇ ºñÀ²ÀÌ °¡Àå ³ôÀº °æ±â ¼º³²½Ã º¸¹Ù½º±â³äº´¿øÀÇ ¹ÚÁø³ë ¿øÀåÀº ¡°È¯ÀÚ¸¦ ¿ä¾çº´¿ø¿¡ ¸Ã°ÜµÐ º¸È£Àڵ鵵 °ü½ÉÀ» °®°í ¹îÁÙ ½Ã¼úÀ» ¿ä±¸ÇÒ Çʿ䰡 ÀÖ´Ù¡±°í ¸»Çß´Ù.

[2018-7-25. ÀÌÁØÇà]

ÀÏÀü¿¡ ARDS·Î ECMO ½ÃÇà ÁßÀ̸ç aspirin, argatroban Åõ¿© ÁßÀΠȯÀÚÀÇ PEG ¿äûÀÌ ÀÖ¾ú½À´Ï´Ù. Fellow ¼±»ý´Ô²²¼­ ¹®ÀÇÇØ Áּż­ ´ç¿¬È÷ ¾È µÈ´Ù°í ´äº¯ÇÏ¿´½À´Ï´Ù. PEG´Â ¸Å¿ì invasive ÇÑ ½Ã¼ú·Î chronic setting¿¡¼­ ²À ÇÊ¿äÇÑ °æ¿ì¿¡ ÇÑÇÏ¿© ¾ÆÁÖ Á¶½É½º·´°Ô ¸î ¹ø »ý°¢ÇÑ ÈÄ ½ÃÇàÇØ¾ß ÇÕ´Ï´Ù. ÀÌ·± °üÁ¡¿¡¼­ Àú´Â acute settingÀÇ PEG¸¦ ¹Ý´ëÇÕ´Ï´Ù.


[2018-7-28. ¾î¶² ¼±»ý´Ô²² µå¸®´Â ´äº¯]

³»½Ã°æ ȯÀÚ Áß °¡Àå À§ÇèÇÑ È¯ÀÚ°¡ PEG ȯÀÚÀÔ´Ï´Ù. ÀúÀý·Î »ç¸ÁÇϴ ȯÀÚµµ ÀÖ°í (ÀÏÀü¿¡´Â PEG¸¦ À§ÇÏ¿© ³»½Ã°æ½Ç ¾Õ±î´Ï ¿À¼Ì´Âµ¥ ³»½Ã°æ½Ç¿¡ µé¾î¿Í º¸Áöµµ ¸øÇÏ°í ´ë±â½Ç¿¡¼­ arrest°¡ ³µ´ø °æ¿ìµµ ÀÖ¾ú½À´Ï´Ù. ±×¸¸Å­ »óŰ¡ ¾È ÁÁÀº ȯÀÚ°¡ ¸¹´Ù´Â °ÍÀÔ´Ï´Ù.) ÇÕº´Áõ À§ÇèÀÎÀÚ°¡ ¸¹°í ½Ã¼ú ÀÚü°¡ aseptic ÇÏÁö ¾Ê°í blindÇÑ Ãø¸éÀÌ À־ ¾Æ¹«¸® ÁÖÀÇÇØµµ ÇÕº´ÁõÀÌ ÀûÁö ¾Ê½À´Ï´Ù. ȯÀÚÀÇ Æ¯¼º°ú ½Ã¼úÀÇ Æ¯¼º¶§¹®¿¡ PEG´Â ¸Å¿ì À§ÇèÇÕ´Ï´Ù.

PEG´Â ½Ã¼ú °Ç¼ö¸¦ ÁÙÀÌ´Â °Í¸¸ÀÌ À¯ÀÏÇÑ ¹æ¹ýÀÔ´Ï´Ù. ¾Ö¸ÅÇÑ È¯ÀÚ¿¡¼­ PEG ÀÇ·Ú°¡ ¿À¸é Àß »óÀÇÇÏ¿© Á¤¸»·Î, ²À, ¹Ýµå½Ã PEG°¡ ÇÊ¿äÇÑ È¯ÀÚÀÎÁö¸¦ Àß °ËÅäÇÏ¿© ÀûÀÀÁõÀÌ ¾Æ´Ï¸é Àý´ë·Î ½ÃÇàÇÏÁö ¾Ê¾Æ¾ß ÇÕ´Ï´Ù. ±× ÀûÀÀÁõ ¸¶Àú ¸Å¿ì tightÇÏ°Ô Æò°¡ÇØ¾ß ÇÏ´Â °ÍÀÌÁö¿ä. ÇØ´Þ¶ó°í ÇÏ¿© ÇØ ÁÖ´Â ±×·± ½Ã¼úÀÌ ¾Æ´Õ´Ï´Ù. ³Ê¹« À§ÇèÇϱ⠶§¹®ÀÔ´Ï´Ù.

¿µ»óÀÇÇаú¿¡¼­ radiographic interventionÀ» Àû°Ô ÇÏ·Á´Â ºÐÀ§±â°¡ À־ PEG ÀÇ·Ú°¡ ´õ ¸¹¾ÆÁö°í Àִµ¥ ½ÉÈ÷ ¿ì·Á½º·¯¿î »óȲÀÔ´Ï´Ù. ȯÀÚµéÀÌ ´ëÇüº´¿ø¿¡ ¸ô¸®´Â °Íµµ ÀÌ·¯ÇÑ À§ÇèÀ» ´õ¿í À§ÇèÇÏ°Ô ¸¸µå´Â ¿ä¼ÒÀÔ´Ï´Ù.

¿©ÇÏÆ° ³ªÁß¿¡ ½Ã°£À» ³»¼­ ´Ù½Ã Çѹø »óÀÇÇØ º¾½Ã´Ù. PEG°¡ ¾ó¸¶³ª À§ÇèÇÑÁö ´Ù½Ã Çѹø »ó¼¼È÷ ¼³¸íÇØ µå¸®°Ú½À´Ï´Ù.


[2021-1-7. ¾Öµ¶ÀÚ Áú¹®]

Ballooning 10cc¸¦ ²À Áõ·ù¼ö·Î ÇØ¾ßÇϴ°¡?

[2021-1-8. ±èÅÂÁØ ±³¼ö´Ô ´äº¯]

SalineÀ» »ç¿ëÇÏ¸é °áÁ¤ÀÌ »ý°Ü deflation failure °¡ ¹ß»ýÇÒ À§ÇèÀÌ ÀÖ¾î Áõ·ù¼ö »ç¿ëÀ» ±ÇÀåÇϰí ÀÖ½À´Ï´Ù. ¸î °³ÀÇ ÀڷḦ ã¾Æº» °á°ú ½Ä¿°¼ö »ç¿ëÀÌ deflation failre ¹ß»ýÀÌ ´õ ³ôÁø ¾Ê¾Ò½À´Ï´Ù. Áõ·ù¼ö »ç¿ëÀ» ±ÇÀåÇ쵂 ½Ä¿°¼ö »ç¿ëµµ °¡´ÉÇÏ´Ù¶ó´Â °Íµµ ±¦ÂúÁö ¾ÊÀ»±î ÇÕ´Ï´Ù.


[References]

1) EndoTODAY PEG

2) PEG ½ÇÆÐ Áõ·Ê¿¡ ´ëÇÑ Åä·Ð

3) °£È£»ç ¼Õ°¡¶ô Àý´Ü »ç°í - PEG´Â ¾Æ´Ï¾ú½À´Ï´Ù. Nasogastric tube °ü·ÃÀÔ´Ï´Ù. ´Ù ÇÔ²² ÁÖÀÇÇսôÙ.

4) European guideline

5) Âü°í: Cleveland ClinicÀÇ PEG ȯÀÚ ¼³¸í¼­

6) Âü°í: ASGEÀÇ PEG ȯÀÚ ¼³¸í¼­

7) Video demonstration of the introducer-type percutaneous gastrostomy system PEXACT

8) À§·ç°ü ´©Ãâ½Ã °í·ÁÇØ¾ß ÇÒ »çÇ×°ú ÀûÀýÇÑ Ä¡·á ¹× ¿¹¹æ¹ý[2023³â 3¿ù] ´ëÇѼÒÈ­±â³»½Ã°æÇÐȸ Áø·áÁöħTF - Áõ·Ê¸¦ ÅëÇÑ ÀÓ»óÁø·áÁöħ ÇнÀ

9) PEG guideline 2023 Clinical Endoscopy

© ÀÏ¿ø³»½Ã°æ±³½Ç ¹Ù¸¥³»½Ã°æ¿¬±¸¼Ò ÀÌÁØÇà. EndoTODAY Endoscopy Learning Center. Lee Jun Haeng. (Last update: 2023-3-10)