Home | EndoTODAY | EndoATLAS

Beginner | ESA | Schedule | OPD

Seminars | Atlas | Recent | Links

EndoTODAY ³»½Ã°æ ±³½Ç


[ÀÚ°¡¸é¿ªÀ§¿°. Autoimmune gastritis] - ðû

ÀÚ°¡¸é¿ªÀ§¿° ȯÀÚ ¼³¸í¼­(2024/8)
ÀÚ°¡¸é¿ª(¼º)À§¿°Àº ¾ÆÁ÷±îÁö ¿øÀÎÀÌ ¹àÇôÁöÁö ¾ÊÀº ¸¸¼º ÁúȯÀÔ´Ï´Ù. À§Á¡¸· Áß À§»êÀ» ºÐºñÇÏ´Â ºÎÀ§°¡ ¾ã¾ÆÁö´Â ÇüÅÂ, Áï AÇü À§Ã༺À§¿°ÀÌ Æ¯Â¡ÀÔ´Ï´Ù. À¯¾ÏÁ¾, °úÇü¼º ¿ëÁ¾ÀÇ ¹ß»ý·üÀÌ ÀϹÝÀκ¸´Ù ³ô°í À§¾ÏÀÇ ¹ß»ý·ü¿¡ ´ëÇØ¼­´Â ¾ÆÁ÷ ³í¶õÀÇ ¿©Áö°¡ ÀÖÀ¸³ª Á¤»óÀκ¸´Ù ´Ù¼Ò ³ô´Ù´Â ÁÖÀåÀÌ ÀÖ½À´Ï´Ù. 1³â¿¡ Çѹø À§³»½Ã°æ °Ë»ç¸¦ ±ÇÇÕ´Ï´Ù. Àå±âÀûÀ¸·Î ½ÉÇØÁö¸é ºóÇ÷À̳ª vitamin B12µî ¸î °¡Áö ¿µ¾ç¼Ò °áÇÌÁõÀÌ ³ªÅ¸³¯ ¼ö ÀÖ½À´Ï´Ù. °©»ó¼±¿°À̳ª °©»ó¼±±â´ÉÀúÇÏÁõ µî °©»ó¼± ÁúȯÀÌ ¹ß»ýÇϱ⵵ ÇÕ´Ï´Ù.
Ưº°ÇÑ Áõ»óÀÌ ¾øÀ¸¸é Àå±âÀûÀÎ Åõ¾àÀ» ±ÇÇÏ´Â ÁúȯÀº ¾Æ´Õ´Ï´Ù. »ó½Ä¿¡ ÁØÇÑ °Ç°­ÇÑ ½Ä»ýȰ°ú 1³â ÈÄ Ç÷¾×°Ë»ç, À§³»½Ã°æ °Ë»ç¸¦ ±ÇÇÕ´Ï´Ù. ºñ½ÎÁö ¾ÊÀº Á¾ÇÕºñŸ¹Î ÇÑ °¡Áö Á¤µµ¸¦ µå½Ã´Â °ÍÀº ³ª»ÚÁö ¾ÊÀ» °Í °°½À´Ï´Ù.

1. Á¤ÀÇ, º´¸® »ý¸®¿Í º´¸® ¼Ò°ß

2. Áø´Ü°ú ³»½Ã°æ ¼Ò°ß

3. ¿ì¸®³ª¶óÀÇ Ã¹ ÀÚ°¡¸é¿ªÀ§¿° case series (2021, °Ç±¹´ë À̼±¿µ ±³¼ö´Ô)

4. ¿ªÇаú ÀÓ»ó»ó

5. ÀÚ°¡¸é¿ªÀ§¿°°ú ½Å°æ³»ºÐºñ Á¾¾ç

6. ÀÚ°¡¸é¿ªÀ§¿°°ú À§¾Ï/¼±Á¾

7. ÀÚ°¡¸é¿ªÀ§¿°°ú µ¿¹ÝµÇ´Â Áúȯ - °©»ó¼±Áúȯ µî

8. FAQs - ȯÀÚ ¼³¸í¼­ (2023)

9. References

ECR 021. 2024-12-3.

- Åä·Ð, ¸Þ¸ð 2024-1-18. ±èż¼ ¼±»ý´Ô

- Áú¹®°ú ´äº¯ 2022-10-12. ¾È¿ëȯ ¿øÀå´Ô

Gut Liver (2024 online) PDF

´ëÇÑÇ︮ÄÚ¹ÚÅÍ»óºÎÀ§Àå°üÇÐȸÁö (2025 online) PDF

My favorite gastric lesions by Elizabeth Anne Montgomery ÀÚ°¡¸é¿ªÀ§¿° ¹× °ü·Ã Áúȯ (carcinoid, pyloric gland adenoma µî)¿¡ ´ëÇÑ ÇÑ º´¸®ÇÐÀÚÀÇ »ó¼¼ÇÑ ¼³¸í

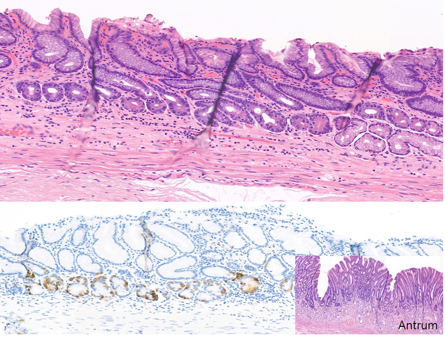
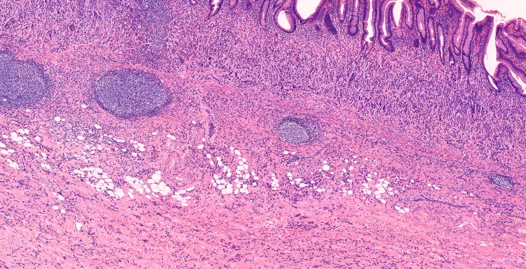
ÀüÇüÀû ¼Ò°ß

ÀüÁ¤ºÎ

À§Ã¼ºÎ

chromogranin ¿°»ö


1. Á¤ÀÇ, º´Å »ý¸®¿Í º´¸® ¼Ò°ß

Definition: a chronic progressive inflammatory condition that results in the replacement of the parietal cell mass by atrophic and metaplastic mucosa

Forestomach°ú hind stomachÀÇ ¹ß»ýÇÐÀû °úÁ¤ÀÌ ´Ù¸¨´Ï´Ù (Rugge. Dig Liver Dis 2021)

ÀÚ°¡¸é¿ªÀ§¿°ÀÇ º´Å»ý¸®´Â genetic factor¿Í enviornmental factor°¡ ¸ðµÎ ¾ð±ÞµÇ°í ÀÖ½À´Ï´Ù. HLA-DR°ú HLA-DQ¿Í °ü·ÃÀÌ ÀÖ´Ù´Â ÁÖÀåÀÌ ÀÖ½À´Ï´Ù. Environmental factors, including infections (e.g. Helicobacter pylori) and exposure to certain dietary components, may trigger the autoimmune response in genetically susceptible individuals. In particular, molecular mimicry, where microbial or dietary antigens resemble self-antigens, may activate autoreactive immune cells targeting the gastric mucosa (Cureus 2023).

Greenson Diagnostic Pthology Gastrointestinal (2nd ed)

ÀÚ°¡¸é¿ªÀ§¿° ¹× °ü·Ã Áúȯ (carcinoid, pyloric gland adenoma µî)¿¡ ´ëÇÑ ÇÑ º´¸®ÇÐÀÚÀÇ »ó¼¼ÇÑ ¼³¸í YouTube µ¿¿µ»óÀ» ¼Ò°³ÇÕ´Ï´Ù.

ÇÑ Áõ·ÊÀÇ º´¸® ¼Ò°ßÀÔ´Ï´Ù.

Antral mucosa

Body mucosa. Parietal cell¿Í chief cell·Î ÀÌ·ç¾îÁø oxyntic gland°¡ »ç¶óÁ³°í ±× ÀÚ¸®¿¡¼­ intestinal/pseudopyloric gland°¡ °üÂûµÈ´Ù

¾Õ »çÁø °í¹èÀ²

Chromogranin ¿°»ö (´Ù¸¥ ȯÀÚ)


2. ÀÚ°¡¸é¿ªÀ§¿°ÀÇ Áø´Ü°ú ³»½Ã°æ ¼Ò°ß

±¹³»¿¡¼­ ÀÚ°¡¸é¿ªÀ§¿°ÀÇ Áø´Ü±âÁØÀº È®¸³µÇ¾î ÀÖÁö ¾Ê½À´Ï´Ù. ÀϺ»ÀÇ Áø´Ü±âÁØÀº ¾Æ·¡°ú °°½À´Ï´Ù. (Digest Endos 2022)

Reverse atrophy

False-negative serological tests: Seological tests for autoantibodies, such as APCA and AIFA, are valuable diagnostic markers for autoimmune gastritis. However, false-negative results can occure, particularly in the early stages of the disease or in patients with atypical serological proviles. Relying solely on serological tests may lead to missed diagnoses, highlighting the importance of a comprehensive diagnostic approach that includes clinical evaluation, endoscopy, histology, and consideration of other relevant factors (Cureus 2023).

Reverse atrophy°¡ ¶Ñ·ÇÇÑ ÀÚ°¡¸é¿ªÀ§¿°ÀÇ Áø´Ü¿¡¼­ ³»½Ã°æÀÇ ¿ªÇÒÀº ¸Å¿ì Áß¿äÇÕ´Ï´Ù. Ãʱâ ÀÚ°¡¸é¿ªÀ§¿°¿¡¼­´Â Áõ»óÀ̳ª Ç÷ûÇÐÀû º¯È­¿¡ ºñÇÏ¿© Á¡¸·º¯È­°¡ °æ¹ÌÇϹǷΠ³»½Ã°æ ¼Ò°ßÀÌ ¶Ñ·ÇÇÏÁö ¾Ê½À´Ï´Ù. ÀÌ °æ¿ì¿¡´Â ³»½Ã°æÀ̳ª ½ÉÁö¾î´Â pepsinogen º¯È­º¸´Ù gastrin »ó½ÂÀ̳ª Ç×üº¯È­·Î Áø´ÜÇÒ ¼ö ÀÖ½À´Ï´Ù.

Reverse atrophy

Reverse atrophy

Reverse atrophy

Reverse atrophy

ÀÚ°¡¸é¿ªÀ§¿°À» Áø´ÜÇÑ ÈÄ À۳⠻çÁøÀ» ¿­¾îº¸¾Ò´õ´Ï reverse atrophy°¡ ¸Å¿ì ÇöÀúÇß½À´Ï´Ù. À۳⿡ ÀǽÉÇÏ¿´´õ¶ó¸é ¾î¶®À»±î ½Í½À´Ï´Ù. ¾ÆÁÖ ÃÖ±Ù¿¡ ¾Ë·ÁÁö±â ½ÃÀÛÇÏ¿´½À´Ï´Ù¸¸, ¿ì¸®³ª¶ó¿¡¼­µµ ÀÚ°¡¸é¿ªÀ§¿°ÀÌ ÀÖ½À´Ï´Ù. »ý°¢º¸´Ù ¸¹½À´Ï´Ù.

³»½Ã°æ °Ë»çÀÇ sensitivity°¡ 30%´ë¶ó´Â ÁÖÀåµµ ÀÖ½À´Ï´Ù. Ãʱ⿡´Â Áø´ÜÇÏ±â ¾î·Æ±â ¶§¹®ÀÔ´Ï´Ù. ±× °á°ú Áø´ÜÀÌ ´Ê¾îÁö´Â ¿¹°¡ ¸¹½À´Ï´Ù. Diagnostic delay is common and a big clinicsal issue.

ÀÚ°¡¸é¿ªÀ§¿° Áø´Ü Á÷Àü

1³â Àü

2³â Àü

3³â Àü

White globe appearance: ÀÚ°¡¸é¿ªÀ§¿°¿¡¼­µµ º¸ÀÏ ¼ö ÀÖÁö¸¸ PPI ¿À·¡ »ç¿ëÇÑ °æ¿ì¿¡¼­µµ °üÂûµÉ ¼ö ÀÖ½À´Ï´Ù.

ÀÚ°¡¸é¿ªÀ§¿° ȯÀÚ¿¡¼­ neuroendocrine hyperplasia, neuroendocrine neoplasia (»óÇÇÇÏÁ¾¾çÀ¸·Î °üÂûµÇ±âµµ ÇÕ´Ï´Ù)°¡ È£¹ßÇÏ´Â °ÍÀº Àß ¾Ë·ÁÁ® ÀÖ½À´Ï´Ù. ±×·¯³ª ÀÚ°¡¸é¿ªÀ§¿° ȯÀÚ¿¡¼­ hyperplastic polypµµ È£¹ßÇÕ´Ï´Ù. ÀÚ°¡¸é¿ªÀ§¿°¿¡¼­ ¹ß»ýÇÑ hyperplastic polyp¿¡¼­´Â dysplastic change, cancerous transformationÀÌ ÈçÇÏ´Ù´Â ÁÖÀåµµ ÀÖ½À´Ï´Ù.

2022-10-12 ¾È¿ëȯ ¿øÀå´Ô °­ÀÇ

2022-10-12 ¾È¿ëȯ ¿øÀå´Ô °­ÀÇ


[2023-10-27] ÀÚ°¡¸é¿ªÀ§¿° ¿¬±¸ÀÚÀ̽Š¾È¿ëȯ ¿øÀå´Ô²²¼­ ÃÖ±Ù ¿¬±¸ °á°ú¸¦ KDDW2023¿¡ ¹ßÇ¥ÇϽŴٴ ¿¬¶ôÀ» º¸³»¿À¼Ì½À´Ï´Ù.

PDF

"À̹ø¿¡ KDDW 2023¿¡ Æ÷½ºÅ͸¦ Çϳª ¹ßÇ¥ÇÏ°Ô µÇ¾î ÀÌ·¸°Ô ¿¬¶ô µå¸®°Ô µÇ¾ú½À´Ï´Ù. ÁÖÁ¦´Â autoimmune gastritis ȯÀÚÀÇ endoscopic atrophy º¯È­¿¡ ´ëÇÑ ³»¿ëÀÔ´Ï´Ù. Á¦ ȯÀÚµé Áß¿¡¼­ 3ȸ ÀÌ»ó, Àû¾îµµ 6³â ÀÌ»ó, °ú°Å ½ÃÇàÇÑ ³»½Ã°æ »çÁøÀÌ Àִ ȯÀÚµéÀ» ¸ð¾Æ¼­ endoscopic atrophyÀÇ º¯È­¸¦ º¸¾Ò½À´Ï´Ù.

ÇöÀç endoscopic atrophy´Â Kimura-Takemoto classificationÀ» »ç¿ëÇÏ¿© ºÐ·ù¸¦ Çϰí Àִµ¥, ÀÌ´Â H. pylori associated gastritis¿¡¼­ÀÇ ºÐ·ùÀ̰í, autoimmune gastritis¿¡ ´ëÇØ¼­´Â endoscopic atrophy¸¦ ³ª´©´Â ±âÁØÀÌ ¾ø½À´Ï´Ù. ±×·¡¼­, atrophy scoringÀ» À§ÇØ bodyÀÇ lesser curvature¿Í greater curvature °¢°¢ÀÇ atrophy Á¤µµ¿¡ µû¶ó 1Á¡ºÎÅÍ 4Á¡±îÁö, fundus´Â atrophy°¡ ÀÖÀ¸¸é 1Á¡, ¾øÀ¸¸é 0Á¡À¸·Î ÇÏ¿© scoringÀ» ÇØ¼­ ÇÕ»êÇÏ¿© Á¤¸®ÇÏ¿´½À´Ï´Ù. Æò±Õ ÃßÀû °üÂû ±â°£Àº 7.8³â, ³»½Ã°æ »ó¿¡¼­ advanced corporal atrophy (reverse atrophy) ±îÁö °É¸®´Â ½Ã°£Àº Æò±Õ 2.2³â Á¤µµ °É·È½À´Ï´Ù. ƯÈ÷, Èï¹Ì·Î¿ü´ø °á°ú´Â H. pylori °¨¿°ÀÌ ÀÖ´Â ±º°ú ¾ø´Â ±ºÀ¸·Î ³ª´©¾î Á¡¼ö¸¦ ºñ±³ÇØ º¸¾ÒÀ» ¶§ advanced corporal atrophy±îÁö °É¸®´Â ½Ã°£ÀÌ H. pylori ¿¡ °¨¿°µÈ ±º¿¡¼­ ´õ ¿À·¡ °É·È´Ù´Â °ÍÀÔ´Ï´Ù (2 years vs. 3.67 years, p=0.007). Gastrin ¼öÄ¡´Â ´õ ³·¾Ò½À´Ï´Ù (599.7 pg/ml vs. 215.8 pg/ml, p=0.019). ÀÌ·¯ÇÑ °á°ú¿¡¼­ À¯ÃßÇØ º¸¸é, H. pylori´Â colonizationÀ» À§ÇØ À§ Á¡¸·ÀÇ immunity¸¦ Á¶ÀýÇÔÀ¸·Î½á atrophy¸¦ ´ÊÃß·Á°í ÇÏ´Â °Ç ¾Æ´ÑÁö ÇÏ´Â »ý°¢ÀÌ µé¾ú½À´Ï´Ù. (Conclusion: In AIG patients, infection with H. pylori may affect the rate of atrophy progression.)

¿©·¯ º¯¼ö¿Í °üÂûÀÚ °£ÀÇ ÀÏÄ¡µµ µî bias°¡ ¸¹Àº ¿¬±¸À̰í, Åë°èÀûÀ¸·Î³ª °üÂûÇÑ È¯ÀÚ ¼öµµ ¸¹ÀÌ ºÎÁ·ÇÑ ³»¿ëÀÌÁö¸¸, autoimmune gastritis ȯÀÚµéÀÇ °ú°Å ³»½Ã°æ ¼Ò°ßÀ» º¸¸é¼­ ²À ÇѹøÀº Á¤¸®ÇØ º¸°í ½Í¾î¼­ À̹ø¿¡ ¹ßÇ¥ÇÏ°Ô µÇ¾ú½À´Ï´Ù. ¾à 3°³¿ù °£ »õ·Î¿î º´¿øÀ¸·Î ¿Å°Ü ȯÀÚµéÀ» º¸´Âµ¥, ÇöÀç±îÁö 4¸íÀÇ autoiummune gastritis ȯÀÚ¸¦ Áø´ÜÇÏ°Ô µÇ¾ú½À´Ï´Ù. Ç÷û°Ë»ç¿Í ³»½Ã°æ, Á¶Á÷°Ë»ç·Î À̾îÁö´Â Áø´Ü ¹æ¹ýÀ¸·Î autoimmune gastritis°¡ Àß Áø´Ü µÇ¾î, Ä¡·á¹ýÀ̳ª ¸íÈ®ÇÑ management°¡ ¾ÆÁ÷ ¾ø¾îµµ ȯÀÚµéÀÇ À§Àå°ü Áõ»óÀ̳ª Áß¿ä ¿µ¾ç¼Ò °áÇÌ, µ¿¹ÝµÈ ÀÚ°¡¸é¿ª Áúȯ µîÀÌ Áø´Ü°ú ÇÔ²² Àß °ü¸®µÇ¾úÀ¸¸é ÇÏ´Â ¹Ù·¥ÀÔ´Ï´Ù."

Àúµµ KDDW2023¿¡ À§Á¾¾ç ȯÀÚ¿¡¼­ antiparietal cell antibodyÀÇ ÀÓ»óÀû ÀÇÀÇ¿¡ ´ëÇÑ Æ÷½ºÅ͸¦ ¹ßÇ¥ÇÏ¿´½À´Ï´Ù.

PDF


3. ¿ì¸®³ª¶óÀÇ Ã¹ ÀÚ°¡¸é¿ªÀ§¿° case series (2021, °Ç±¹´ë À̼±¿µ ±³¼ö´Ô)

ÀÚ°¡¸é¿ªÀ§¿°Àº À¯·´, ƯÈ÷ ºÏÀ¯·´¿¡ ¸¹°í ´Ù¸¥ °÷¿¡¼­´Â µå¹°´Ù°í ¾Ë·ÁÁ® ÀÖ¾ú½À´Ï´Ù. 2008³âÆÇ º´¸®ÇРå¿¡´Â ¾Æ·¡¿Í °°ÀÌ ¾²¿© ÀÖ½À´Ï´Ù. ÀÌ ¶§¹®¿¡ ¿ì¸®³ª¶ó¿¡¼­´Â ¹«½ÃµÇ¾î ¿Ô½À´Ï´Ù.

°Ç±¹´ë À̼±¿µ ±³¼ö´Ô²²¼­ 6°³¿ù µ¿¾È ¿Ü·¡¸¦ ¹æ¹®ÇÑ È¯ÀÚ Áß H. pylori °¨¿°°ú ¹«°üÇÏ°Ô Ã¼ºÎ ¿ì¼¼Çü À§Ãà°ú ³·Àº Ç÷û PG I ¼öÄ¡, ³ôÀº °¡½ºÆ®¸°¼öÄ¡¸¦ º¸ÀÎ °æ¿ì¿¡ Ç÷û Ç׺®¼¼Æ÷ Ç×ü¸¦ °Ë»çÇÑ °á°ú, 5¸í¿¡¼­ ÀÚ°¡¸é¿ªÀ§¿°À» ¹ß°ßÇÏ°í º¸°íÇÏ¿´½À´Ï´Ù

´ëÇÐÇ︮ÄÚ¹ÚÅÍÇÐȸÁö 2021

Representative case

Serum gastrinÀÇ º¯È­µµ Helicobacterd¿¡ ÀÇÇÑ BÇü À§¿°°ú´Â Á¶±Ý ´Ù¸¥ ¾ç»óÀ» º¸Àδٰí ÇÕ´Ï´Ù.


4. ÀÚ°¡¸é¿ªÀ§¿°ÀÇ ¿ªÇаú ÀÓ»ó»ó

¿ì¸®³ª¶ó¿¡¼­ ÀÚ°¡¸é¿ªÀ§¿°ÀÇ À¯º´·üÀº ¸íȮġ ¾Ê½À´Ï´Ù. ÃÖ¼ÒÇÑ 1% ÀÌ»óÀ̶ó°í ÃßÁ¤Çϰí ÀÖÀ» »ÓÀÔ´Ï´Ù. 2025³â °Ç±¹´ëÇб³¿¡¼­ ¹ßÇ¥ÇÑ ÀÚ·á¿¡ ÀÇÇÏ¸é ³»½Ã°æ°ú GastroPanel test¸¦ ½ÃÇàÇÑ 1,101¸í Áß O-3Çü ºóÇ÷À» º¸ÀÎ 55¸í¿¡¼­ anti-parietal cell antibody (PCA) °Ë»ç¸¦ ½ÃÇàÇÏ¿´À» ‹š 11¸í (20%)¿¡¼­ ¾ç¼ºÀ» º¸¿´½À´Ï´Ù. µû¶ó¼­ ÀÚ°¡¸é¿ªÀ§¿°ÀÇ À¯º´·üÀº 1.0% (11/1,101)·Î ÃßÁ¤µÇ¾ú½À´Ï´Ù. (À̼±¿µ. Gut Liver 2025)

ÀÚ°¡¸é¿ªÀ§¿°ÀÌ ¾ÆÁÖ ½ÉÇϸé pernicious anemia³ª ö°áÇ̼º ºóÇ÷À» º¸ÀÌÁö¸¸, Ç÷»ö¼Ò°¡ Á¤»óÀÌ´õ¶óµµ vitamin B12³ª iron levelÀÌ Á¤»óº¸´Ù ³·À» ¼ö ÀÖ°í, ºñ·Ï Á¤»ó¹üÀ§¸¦ º¸ÀÌ´õ¶óµµ nutritional deficiency »óÅÂÀÏ ¼ö ÀÖ½À´Ï´Ù.

Delayed gastric emptyingÀ̳ª functional esophageal disorder¸¦ º¸ÀÏ ¼ö ÀÖ½À´Ï´Ù. ÀÌ·± °æ¿ì PPI¸¦ »ç¿ëÇϸé Áõ»óÀÌ ¾ÇÈ­µÇ±âµµ ÇÕ´Ï´Ù.

Ç︮ÄÚ¹ÚÅÍ Á¦±ÕÄ¡·á ÈÄ È£±â°Ë»ç¸¦ ½ÃÇàÇϸé endless eradication failure¸¦ º¸ÀÌ´Â °æ¿ì°¡ ÀÖ½À´Ï´Ù. Urease producing non-Helicobacter °¨¿°ÀÌ µ¿¹ÝµÇ±â ¶§¹®ÀÔ´Ï´Ù. µû¶ó¼­ ÀÚ°¡¸é¿ªÀ§¿° ȯÀÚ¿¡¼­ Ç︮ÄÚ¹ÚÅÍ Á¦±ÕÄ¡·á ÈÄ stool antigen test°¡ ´õ À¯¿ëÇÒ ¼ö ÀÖ½À´Ï´Ù.


5. ÀÚ°¡¸é¿ªÀ§¿°°ú ½Å°æ³»ºÐºñ Á¾¾ç

ÀÚ°¡¸é¿ªÀ§¿° ȯÀÚ¿¡¼­ ¹ß°ßµÇ¾î ESD·Î Ä¡·áÇÑ ½Å°æ³»ºÐºñÁ¾¾ç


[Case] ÀÇ·Ú ÈÄ 13³â¸¸¿¡ Áø´ÜµÈ ÀÚ°¡¸é¿ªÀ§¿°°ú µ¿¹ÝµÈ À§ ½Å°æ³»ºÐºñÁ¾¾ç. Gastric neuroendocrine tumor diagnosed 13 years after the initial referral

°ËÁø ³»½Ã°æ¿¡¼­ À§ÀúºÎÀÇ ÀÛÀº °áÀýÀÌ ¹ß°ßµÇ¾ú°í(±×¸² A,B), Á¶Á÷°Ë»ç¿¡¼­ monotonous atypical cell proliferation, favor neuroendocrine tumor·Î ÀǷڵǾú°í ¿ÜºÎ ½½¶óÀ̵å ÀçÆÇµ¶Àº well-differentiated neuroendocrine tumor (NET)¿´´Ù. CT¿¡¼­´Â À§ÀÇ º´¼Ò³ª ÀüÀÌ ¼Ò°ßÀº °üÂûµÇÁö ¾Ê¾Ò´Ù. Serum gastrinÀº 404pg/ml·Î ³ô¾ÆÁ® ÀÖ¾ú´Ù. Lindi ºÐ·ù Á¦1Çü À¯¾ÏÁ¾À¸·Î Ưº°ÇÑ Ä¡·á ¾øÀÌ °æ°ú°üÂûÀ» ÇÏ¿´´Ù.

13³â ÈÄ ÃßÀû³»½Ã°æ¿¡¼­ µ¿ÀÏÇÑ ºÎÀ§ÀÇ °áÀýÀÌ ÀǹÌÀÖ´Â º¯È­´Â ¾ø¾úÀ¸¸ç (±×¸² C,D) Á¶Á÷°Ë»ç´Â well differentiated neuroendocrine tumor (carcinoid) (G1)·Î º¸°íµÇ¾ú´Ù (±×¸² E).

NET ¹ß°ß 13³â µ¿¾È º¯È­°¡ ¾ø¾ú°í Á¶Á÷°Ë»ç¿¡¼­µµ grade 1À¸·Î ³ª¿Ô´Ù. ³»½Ã°æ¿¡¼­ À§Ã¼ºÎ¿Í À§ÀúºÎ Á¡¸·ÀÇ À§ÃàÀº ÇöÀúÇÏ¿´À¸³ª (±×¸² C), ÀüÁ¤ºÎ Á¡¸·¿¡¼­´Â À§ÃàÀÌ °üÂûµÇÁö ¾Ê¾Ò´Ù (±×¸² D). ³»½Ã°æ¿¡¼­ reverse atrophy ¼Ò°ßÀÌ ÇöÀúÇÏ¿´°í ÃÖ±Ù ¿ì¸®³ª¶ó¿¡¼­ ÀÚ°¡¸é¿ªÀ§¿°ÀÌ ÀûÁö ¾Ê°Ô Áø´ÜµÇ°í ÀÖÀ¸¹Ç·Î ȯÀÚ¿¡°Ô ¼³¸íÇÑ ÈÄ °ü·Ã °Ë»ç¸¦ ÇÏ¿´´Ù. Anti-parietal cell antibody ¾ç¼º, Helicobacter pylori antibody À½¼º, pepsinogen-1 9.9ng/ml, pepsinogen-2 12.4ng/ml, pepsinogen 1/2 ration 0.8, gastrin 400pg/mlÀ̾ú´Ù. ÀÚ°¡¸é¿ªÀ§¿°°ú µ¿¹ÝµÈ NET·Î Áø´ÜÇÏ¿´´Ù.

°ú°Å ÀÚ°¡¸é¿ªÀ§¿°Àº ¼­¾çÀο¡¼­ ¹ß»ýÇÏ´Â ÁúȯÀÌ°í ¿ì¸®³ª¶ó¿¡¼­´Â °ÅÀÇ ¹ß°ßµÇÁö ¾Ê´Â °ÍÀ¸·Î °£ÁֵǾú´Ù. 2021³â °Ç±¹´ëÇб³ À̼±¿µ ±³¼ö´Ô²²¼­ ÀÚ°¡¸é¿ªÀ§¿° 5¸íÀ» Áõ·Êº¸°í(Ç÷û Ç׺®¼¼Æ÷ Ç×ü ¾ç¼º ¼Ò°ßÀ» º¸ÀÎ ÀÚ°¡¸é¿ªÀ§¿° ȯÀÚ 5¸í¿¡ ´ëÇÑ º¸°í)Çϸ鼭 ¿ì¸®³ª¶ó¿¡¼­µµ ÀÚ°¡¸é¿ªÀ§¿°ÀÌ ¾øÁö ¾ÊÀ½ÀÌ ¾Ë·ÁÁ³°í ÀÌÈÄ »ê¹ßÀûÀÎ Áõ·Êº¸°í¿Í ¿¬±¸°á°ú°¡ ¹ßÇ¥µÇ°í ÀÖ´Ù. À¯º´·üÀº ¾ÆÁ÷ ¸íÈ®ÇÏÁö ¾ÊÀºµ¥ ÃÖ¼ÒÇÑ 1%´Â ³Ñ´Â °ÍÀ¸·Î ÃßÁ¤µÇ°í ÀÖ´Ù. »ï¼º¼­¿ïº´¿ø¿¡¼­ À§¾ÏÀ̳ª À§¼±Á¾ ȯÀÚ¿¡¼­ anti-parietal cell antibodyÀÇ ¾ç¼º·üÀº 6.5%¿´´Ù. ¿ì¸®³ª¶ó¿¡¼­µµ ÀÚ°¡¸é¿ªÀ§¿°ÀÌ ÀûÁö ¾Ê±â ¶§¹®¿¡ ÀÌ¿¡ ´ëÇÑ º¸´Ù ³ôÀº °ü½ÉÀÌ ÇÊ¿äÇÏ´Ù.


6. ÀÚ°¡¸é¿ªÀ§¿°°ú À§¾Ï/¼±Á¾

Autoimmune gastritis and gastric cancer. 2025-9-12 Lecture at Rome

Abstract: As Helicobacter seropositive rate is decreasing in Korea, interests in Helicobacter pylori negative gastric cancer is increasing. Autoimmune gastritis is a non-self-limiting, chronic inflammatory disorder of the stomach. There has been a controversy in the relationship between autoimmune gastritis and gastric adenocarcinoma. Gastric cancers in AIG is often found in older individuals. Tumors are located in the upper body and greater curvature, and the rate of synchronous and metachronous tumors are high. The relationship between autoimmune gastritis and Helicobacter infection is still controversial both in the pathogenesis and in the development of gastric neoplasms. It is not clear wheter it triggers or inhibits gastric carcinogenesis. Our team at Samsung Medical Center evaluated the incidence of autoimmune gastritis in Korean patients with gastric cancers. Parietal cell antibody was tested in 612 consecutive patients with gastric cancer. Among them, 5.5% tested positive for anti-parietal cell antibody. Helicobacter serology positive rate was not different between parietal cell antibody negative and positive groups. Seventy eight versus seventy five. In PCA positive groups, pepsinogen 1 level was lower and serum gastrin was higher. Eight cases were classified as AIG group by our definition. Five out of eight were female. Helicobacter serology positive rate was not different between two groups. Pepsinogen 1 and 1:2 ratio was significantly lower in AIG group. In 6 out of 8 gastric cancers with AIG, helicobacter serology was positive. In the remaining 2 cases, both Helicobacter serology and histology were negative. Without Helicobacter infection, the risk of gastric cancer is lower than previously thought. However, it is too early to exclude AIG from risk factors for Helicobacter-negative gastric cancer. In some recent studies, there is an unexpected finding that Helicobacter infection may decrease gastric cancer in AIG patients. Further data from prospective studies in different populations are strongly required.

ÀÚ°¡¸é¿ªÀ§¿°¿¡¼­ ½Å°æ³»ºÐºñÁ¾¾çÀÌ È£¹ßÇÑ´Ù´Â °ÍÀº ¸í¹éÇÑ »ç½ÇÀÔ´Ï´Ù. ±×·±µ¥ À§¾Ïµµ ¸¹ÀÌ ¹ß»ýÇϴ°¡¿¡ ´ëÇØ¼­´Â ³í¶õÀÌ ÀÖ½À´Ï´Ù.

2023³â ¹ßÇ¥µÈ À¯·´ÀÇ °üÂû¿¬±¸(Rugge. Gut 2023)¿¡ ÀÇÇϸé Ç︮ÄÚ¹ÚÅͰ¡ ¾ø´Â ÀÚ°¡¸é¿ªÀ§¿°¿¡¼­ À§¾ÏÀÇ ¹ß»ý·üÀÌ Áõ°¡ÇÏÁö ¾Ê´Â´Ù°í ÇÕ´Ï´Ù.

"Compared with the general population, corpus-restricted inflammation/atrophy does not increase the GC risk. The excess of GC risk reported in patients with AIG could plausibly result from unrecognised previous/current H. pylori comorbidity."

Ç︮ÄÚ¹ÚÅÍ °¨¿°°ú ÀÚ°¡¸é¿ªÀ§¿° »çÀÌÀÇ °ü°è´Â ¾ÆÁ÷ ºÒÅõ¸íÇÕ´Ï´Ù. Ç︮ÄÚ¹ÚÅͰ¡ ÀÚ°¡¸é¿ªÀ§¿°ÀÇ ¿øÀÎÀ̶ó´Â ÁÖÀåµµ ÀÖ°í, ¹Ý´ë·Î ÀÚ°¡¸é¿ªÀ§¿°À» ¾ïÁ¦ÇÑ´Ù´Â ÁÖÀåµµ ÀÖ½À´Ï´Ù. Ç︮ÄÚ¹ÚÅͰ¡ ¾ø´Â ÀÚ°¡¸é¿ªÀ§¿°Àº complete intestinal metaplasia (incomplete°¡ ¾Æ´Ô¿¡ À¯ÀÇ)¿Í pseudopyloric metaplasia¿¡¼­ ¸ØÃß°í ¾ÏÀº ¹ß»ýÇÏÁö ¾Ê´Â °Í °°½À´Ï´Ù.

Goldenring Gut 2023

ÀÚ°¡¸é¿ªÀ§¿° ȯÀÚµµ Ç︮ÄÚ¹ÚÅÍ °¨¿°À» °¡Áö´Â °æ¿ì°¡ ÀÖ½À´Ï´Ù. ÀÌ °æ¿ì¿¡´Â À§¾Ï ¹ß»ý °¡´É¼ºÀÌ ÀÖ½À´Ï´Ù. ÀÚ°¡¸é¿ªÀ§¿° ȯÀÚ¿¡¼­µµ Ç︮ÄÚ¹ÚÅÍ °¨¿° ¿©ºÎ¸¦ È®ÀÎÇϰí ÇÊ¿äÇϸé Á¦±ÕÄ¡·á¸¦ ÇØ ÁÖ´Â °ÍÀÌ ÁÁ°Ú½À´Ï´Ù.

ÀÚ°¡¸é¿ªÀ§¿° ȯÀÚ¿¡¼­ PPI¸¦ Àå±â º¹¿ëÇÑ °æ¿ì À§¾ÏÀÇ ¹ß»ý·üÀÌ ³ô´Ù´Â ¿¬±¸µµ ÀÖ½À´Ï´Ù

[2023-8-24] Á¦ ¿Ü·¡¿¡ ³»¿øÇÑ À§¾ÏÀ̳ª À§¼±Á¾ ȯÀÚ¿¡¼­ antiparietal antibody ¾ç¼º·üÀº 6.5%¿´½À´Ï´Ù. À̵é Áß »ó´ç¼ö´Â anti-Helicobacter antibodyµµ ¾ç¼ºÀ̹ǷΠanti-parietal antibodyÀÇ ¿ªÇÒÀ» ¸íÈ®È÷ ±Ô¸íÇϱâ´Â ¾î·Æ½À´Ï´Ù. Á¦¹ý Áß¿äÇÑ Àǹ̰¡ ÀÖÀ» °ÍÀ¸·Î ÃßÁ¤ÇÏ°í ¿¬±¸ ÁßÀÔ´Ï´Ù.


[Gastric cancer (EndoTODAY gastric cancer 968)]

Autoimmune gastritis is one of risk factors for gastric cancer especially in Helicobacter negative individuals. In this old lady, a typical B4 cancer was seen at high body greater curvature. But the background gastric mucosa was very atrophic.

Blood tests were severe atrophy with PCA (+) and Hp serology (equivocal).

Total gastrectomy was done.

Diffusely infiltrative poorly cohesive cells.

Atrophic mucosa without cancers


[¼±Á¾]

ÀÚ°¡¸é¿ªÀ§¿° ȯÀÚ¿¡¼­ °ü»ó¼±Á¾ÀÌ ¹ß»ýÇÒ ¼ö ÀÖ½À´Ï´Ù.

2025-8-20

ÀÚ°¡¸é¿ªÀ§¿° ȯÀÚ¿¡¼­ µå¹® Á¶Á÷ÇüÀÎ À¯¹®¼± ¼±Á¾ pyloric gland adenomaµµ ¹ß»ýÇÒ ¼ö ÀÖ½À´Ï´Ù.

2025-2-17


7. ÀÚ°¡¸é¿ªÀ§¿°°ú µ¿¹ÝµÇ´Â Áúȯ - °©»ó¼±Áúȯ µî

ÀÚ°¡¸é¿ªÀ§¿°°ú ¸î °¡Áö ¸î °¡Áö ÀÚ°¡¸é¿ªÁúȯÀÌ µ¿¹ÝµË´Ï´Ù.

ÀÚ°¡¸é¿ªÀ§¿° ȯÀÚ¿¡¼­ °©»ó¼± ÁúȯÀÌ ÈçÇÕ´Ï´Ù. Thyro-entero-gastric autoimmunity¶ó´Â °³³äÀ¸·Î ¼³¸íµÇ°í ÀÖÀ¸¸ç autoimmune polyglandular syndromeÀ̶ó´Â ¸»µµ ÀÖ½À´Ï´Ù.


[2023-11] ÀÚ°¡¸é¿ªÀ§¿° ȯÀÚÀÇ °©»ó¼± °Ë»ç¿¡ ´ëÇÑ °¡À̵å¶óÀÎÀÌ ¾ø½À´Ï´Ù. ÀÏ´Ü ¾Æ·¡¿Í °°Àº full workupÀ» ½ÃÇàÇØ º¼ ¼ö ÀÖ´Ù°í »ý°¢µË´Ï´Ù.

±×¸®°í anti-intrinsic factor antibody´Â BL5079·Î ½ÃÇàÇÒ ¼ö ÀÖ½À´Ï´Ù. ±Þ¿© 9,790¿ø


[FAQs]

[2022-3-3. Çлý Áú¹®]

±³¼ö´Ô, ¾È³çÇϼ¼¿ä. ¼º±Õ°ü´ëÇб³ Àǰú´ëÇÐ º»°ú 2Çгâ ÇлýÀÔ´Ï´Ù. ±³¼ö´ÔÀÇ À§¿° °­ÀǸ¦ µè°í ÇÑ °¡Áö Áú¹®ÀÌ ÀÖ¾î ¸ÞÀÏ µå¸³´Ï´Ù.

Atrophic gastritis¸¦ ºÐ·ùÇÏ´Â ±âÁØÀÎ Kimura classification¿¡ µû¸£¸é antrum(ÀüÁ¤ºÎ)À» ±âÁØÀ¸·Î À§Ã¼ºÎ ¼Ò¸¸±îÁö¸¸ atrophy°¡ ÀÖÀ¸¸é Åë»óÇü(closed type)À̰í, ±âÀúºÎ¿Í À§Ã¼ºÎ ´ë¸¸±îÁö atrophy°¡ È®ÀåµÇ¸é À§ÃàÇü(open type)ÀÔ´Ï´Ù.

ÇÏÁö¸¸ autoimmune disease¿¡ ÀÇÇØ¼­ ¹ß»ýÇÏ´Â diffuse corporal atrophic gastritis (type A atrophic gastritis)´Â À§»êÀ» ºÐºñÇÏ´Â parietal cellÀÌ ÁÖ·Î À§Ã¼ºÎ³ª ±âÀúºÎ¿¡ ¸¹¾Æ¼­ ÀÌÂÊ¿¡¸¸ atrophy°¡ »ý±â´Â °æ¿ìµµ Àִµ¥¿ä, ÀÌ °æ¿ì´Â Kimura classification¿¡¼­ ¾î¶»°Ô ºÐ·ùµÇ´Â °Ç°¡¿ä?

[2022-3-3. ÀÌÁØÇà ´äº¯]

ÁÁÀº Áú¹®ÀÔ´Ï´Ù. Kimura ºÐ·ù´Â ¿À·¡ Àü ÀϺ»¿¡¼­ ¸¸µé¾îÁø ºÐ·ù¹ýÀε¥ ÀÚ°¡¸é¿ªÀ§¿°Àº °í·ÁµÇÁö ¾Ê¾Ò½À´Ï´Ù. ´ëºÎºÐ Helicobacter¿Í °ü·ÃµÈ type B atrophic gastritis¿¡ Kimura ºÐ·ù¸¦ Àû¿ëÇÑ´Ù°í »ý°¢ÇϽñ⠹ٶø´Ï´Ù.

¾È¿ëȯ ¿øÀå´Ô 2022-2-10 HOPE EndoTODAY ³»½Ã°æ ¼¼¹Ì³ª

[2023-4-15. Ãá°è ³»½Ã°æ ±³½Ç ÈÄ Áú¹®]

ÀÚ°¡¸é¿ªÀ§¿°ÀÌ »ý¼ÒÇØ¼­ EndoTODAY¸¦ º¸°í °øºÎÇÏ´Ù ±Ã±ÝÇÑ Á¡ÀÌ »ý°å½À´Ï´Ù. Ưº°ÇÑ Ä¡·á°¡ ¾ø´Â °Í °°Àºµ¥, ȯÀÚ¸¦ Áö¼ÓÀûÀ¸·Î f/u Çϸ鼭 nutritional statement Æò°¡ & ÇÊ¿ä ½Ã º¸Ãæ°ú NET ¹ß°ßÀ» À§ÇÑ EGD¸¦ ½ÃÇàÇÏ¸é µÇ´Â °É±î¿ä? ±×·³ ÀÌ °æ¿ì¿¡ EGD´Â ¾ó¸¶ °£°ÝÀ¸·Î ½ÃÇàÇÏ¸é µÉ±î¿ä?

Urease-producing non-helicobacter bacteria °¨¿°ÀÌ µ¿¹ÝµÇ´Âµ¥ À̰ÍÀº ³ô¾ÆÁø pH ¶§¹®Àΰ¡¿ä? ±×¸®°í ÀÌ Ä£±¸µéÀº Ä¡·á°¡ ÇÊ¿äÇÏÁö ¾Ê´ÂÁö¿ä? ¿¹¸¦µé¾î ¾î·µç ¼¼±Õ °¨¿°ÀÌ´Ï±î °¨¿° ½Ã cancer risk°¡ ¿Ã¶ó°¡°Å³ª ÇÏÁö ¾ÊÀ»±î ÇØ¼­ ¿©ÂÞ¾î º¾´Ï´Ù.

[2023-4-16. ÀÌÁØÇà ´äº¯]

¾È¿ëȯ ¼±»ý´ÔÀÇ °­ÀǸ¦ ²À º¸½Ã±â ¹Ù¶ø´Ï´Ù.

- Áú¹®°ú ´äº¯ 2022-10-12. ¾È¿ëȯ ¿øÀå´Ô

¿ì¸®³ª¶ó¿¡¼­ ÀÚ°¡¸é¿ªÀ§¿°Àº underestimation µÇ°í ÀÖ½À´Ï´Ù. NET ȯÀÚ Áß ÀϺΰ¡ ÀÚ°¡¸é¿ªÀ§¿°ÀÏ °ÍÀ¸·Î »ý°¢µË´Ï´Ù. ±×¸®°í À§¾Ï Áß ÀϺεµ ÀÚ°¡¸é¿ªÀ§¿°°ú °ü·ÃÀÌ ÀÖÁö ¾ÊÀ»±î ÃßÁ¤ÇÕ´Ï´Ù.

ÀÚ°¡¸é¿ªÀ§¿°¿¡¼­ À§¾ÏÀ̳ª NET °ËÁøÀº 1³â¿¡ Çѹø À§³»½Ã°æÀ̸é ÃæºÐÇÒ °ÍÀ¸·Î »ý°¢ÇÕ´Ï´Ù. ´Ù¸¥ °ÍÀº º°·Î ÇÒ °ÍÀÌ ¾ø½À´Ï´Ù. ¾ÆÁÖ µå¹°°Ô megalobastic anemia°¡ ¿Ã ¼ö ÀÖ´Ù°í ÇÕ´Ï´Ù.

ÀÚ°¡¸é¿ªÀ§¿°¿¡¼­ Ç︮ÄÚ¹ÚÅÍ UBT °Ë»ç À§¾ç¼ºÀÌ °¡´ÉÇÕ´Ï´Ù. Urease-producing non-helicobacter bacteriaÀÏ °ÍÀä, ¾ÆÁ÷ À̵鿡 ´ëÇÑ ±¸Ã¼ÀûÀÎ Ä¡·á¹ýÀº È®¸³µÇ¾î ÀÖÁö ¾Ê½À´Ï´Ù.


[2023-6-14] ¼øÃµ ¾ÆÀ̹ÌÄÚº´¿ø (úÞ ºÎõ ´õ¸¸Á·º´¿ø) ¾È¿ëȯ ¿øÀå´Ô²²¼­ ÀÚ°¡¸é¿ªÀ§¿°¿¡ ´ëÇÑ µÎ¹øÂ° ³í¹®À» º¸³»Áּ̽À´Ï´Ù.

PDF 2.1M

¾Æ·¡´Â ÀúÀÚ²²¼­ Á÷Á¢ ³í¹®À» ¼Ò°³ÇÑ ³»¿ëÀÔ´Ï´Ù.

"À̹ø Áõ·Ê´Â ÇϳªÀÇ Áõ·Ê ¾È¿¡ ¸î °¡Áö Àǹ̸¦ ´ã°íÀÚ ¿å½ÉÀ» ºÎ·È½À´Ï´Ù.

À̹ø Áõ·Ê¿¡¼­ ´Ù·ç°íÀÚ Çß´ø ù¹øÂ° ³»¿ëÀº ÀÚ°¡¸é¿ªÀ§¿°ÀÇ stage ÀÔ´Ï´Ù. ÀϺ»¿¡¼­´Â early stageÀÇ ÀÚ°¡¸é¿ªÀ§¿°ÀÌ ¸¹ÀÌ º¸°íµÇ°í ÀÖ½À´Ï´Ù¸¸, ³»½Ã°æ ¼Ò°ßº¸´Ù´Â Ç÷û°Ë»ç¿Í Á¶Á÷°Ë»ç¸¦ ¹ÙÅÁÀ¸·Î Áø´ÜÀÌ ÀÌ·ç¾îÁ®¾ß ÇϹǷΠ¿ì¸®³ª¶ó¿¡¼­´Â ½±Áö ¾ÊÀº °Í °°½À´Ï´Ù. À̹ø Áõ·Ê¿¡¼­µµ ÀüÇüÀûÀÎ advanced stageÀÇ corpus dominant atrophy¸¦ º¸À̱â Àü, üºÎ Á¡¸·ÀÇ ºÒ±ÔÄ¢ÇÑ º¯È­¿Í Á¶Á÷°Ë»ç, Ç÷û°Ë»ç µîÀ» ¹ÙÅÁÀ¸·Î ongoing stage¿¡¼­ Áø´ÜµÈ Áõ·Ê·Î, ÀÚ°¡¸é¿ªÀ§¿°Àº progressive ÇÑ ÁúȯÀ̶ó´Â °ÍÀ» ÀÌÇØÇÏ°í °Ë»çÇØ¾ßÇÑ´Ù´Â °ÍÀ» °­Á¶ÇÏ°í ½Í¾ú½À´Ï´Ù.

In the present case, erythematous nodules and atrophic mucosa were observed together in the gastric body, but inflammatory cell infiltration and ECL cell hyperplasia were more severe in the atrophic mucosa than in erythematous nodules... AIG is a progressive inflammatory disease that can appear as various features on endoscopy depending on its stage, and show ambig uous serologic results, thus biopsy should be performed even if widespread atrophy is not apparent, and remnant oxyntic mucosal lesions mixed with atrophic mucosa and flattened folds are observed in the gastric body.

µÎ ¹øÂ°·Î À̹ø Áõ·Ê´Â »óÇÇÇÏÁ¾¾çÀÌ µ¿¹ÝµÈ ÀÚ°¡¸é¿ªÀ§¿° ȯÀÚ¿´½À´Ï´Ù. ÃÖ±Ù ¿©·¯ ¼¼¹Ì³ª¿¡¼­ »óÇÇÇÏÁ¾¾ç¿¡ ´ëÇÑ °­Àǰ¡ ´Ù·ïÁö°í ÀÖÁö¸¸, ¾ÆÁ÷µµ »óÇÇÇÏ Á¾¾ç¿¡ ´ëÇÑ management´Â ¹Ì±¹, À¯·´, ÀϺ» ¸ðµÎ Á¶±Ý¾¿ ´Ù¸¥ Á¢±Ù¹ýÀ» º¸À̰í ÀÖ½À´Ï´Ù. ƯÈ÷, ÀÚ°¡¸é¿ªÀ§¿°Àº neuroendocrine tumor (NET) ¹ß»ýÀÌ ³ôÀº Ư¡À» °¡Áö°í ÀÖ´Â ÁúȯÀ¸·Î, NETÀÇ ¿øÀÎÀÌ µÇ´Â ECL cellÀÌ deep epithelium¿¡ À§Ä¡Çϰí ÀÖ¾î NET°¡ »óÇÇÇÏÁ¾¾çó·³ º¸ÀÏ ¼öµµ Àֱ⠶§¹®¿¡ ÀÚ°¡¸é¿ªÀ§¿° ȯÀÚ¿¡¼­ °üÂûµÇ´Â Á¡¸·ÇÏ Á¾¾çÀº Á¢±Ù¹æ½ÄÀÌ Á» ´Þ¶ó¾ß ÇÏÁö ¾ÊÀ»±î¶ó´Â Áú¹®À» ´øÁ®º¸°í ½Í¾ú½À´Ï´Ù. ¸¶Áö¸·À¸·Î, ÀÚ°¡¸é¿ªÀ§¿°ÀÇ °æ¿ì NET°¡ ¾Æ´Ï´Ù ÇÏ´õ¶óµµ ´Ù¾çÇÑ Á¾·ùÀÇ »óÇÇÇÏ Á¾¾çÀÌ µ¿¹ÝµÉ ¼ö ÀÖ°í, trophic action À» °¡Áö°í ÀÖ´Â hypergastrinemia¸¦ º¸ÀÌ´Â ÁúȯÀ̱⠶§¹®¿¡, ÇÔ²² µ¿¹ÝµÈ »óÇÇÇÏ Á¾¾ç¿¡ ´ëÇÏ¿© hypergastrinemia°¡ ¾î¶² ¿µÇâÀ» ÁÙ ¼ö ÀÖÀ»Áö, ÀÌ¿¡ ´ëÇÑ Ãß°¡ÀûÀÎ °í¹Îµµ ÇØºÃÀ¸¸é ÁÁ°Ô´Ù´Â Àǹ̸¦ ´ãÀ¸·Á°í ÇÏ¿´½À´Ï´Ù. ÇϳªÀÇ Áõ·Ê¿¡ ÀÌ·¸°Ô ¿©·¯ ³»¿ëÀ» ´ã¾Æ º¸·Á°í Çß´õ´Ï ³»¿ëÀÌ ¸¹ÀÌ ¹ÌÈíÇÕ´Ï´Ù¸¸, ÀÚ°¡¸é¿ªÀ§¿°¿¡ ´ëÇÏ¿© ÀÌ·¯ÇÑ ºÎºÐµéÀÌ °í·ÁµÇ¾úÀ¸¸é ÁÁ°Ú°í, ¹Ý´ë·Î »óÇÇÇÏ Á¾¾ç¿¡ ´ëÇÑ Á¢±ÙÀ» ÇÒ¶§ µ¿¹ÝµÈ À§ »óÅ¿¡ ´ëÇÑ Æò°¡¸¦ ²À ÇÔ²² ÇØ¾ß ÇÒ °ÍÀ¸·Î »ç·áµË´Ï´Ù.

ȯÀÚ¸¦ ÅëÇØ¼­ ¹è¿ì°í Ç×»ó °øºÎÇÏ´Â ¸¶À½À¸·Î ÇÑ °ÉÀ½¾¿ ¶Ç ÇØº¸·Á°í ÇÕ´Ï´Ù. ±×¸®°í, ¼ÒÁßÇÑ ±³¼ö´Ô°úÀÇ Àο¬À¸·Î ÀÌ·¸°Ô ¸ÞÀÏÀ» º¸³¾¼ö ÀÖ¾î ÇູÇÏ°í °¨»çÇÕ´Ï´Ù."

°³¾÷°¡¿¡¼­ Áø·áÇϽø鼭 »õ·Î¿î Áúº´¿¡ ´ëÇÏ¿© °øºÎÇϰí ÀڷḦ ¸ð¾Æ ³í¹®À» ³½´Ù´Â °ÍÀº ´ë´ÜÇÑ ÀÏÀ̶ó°í »ý°¢ÇÕ´Ï´Ù. ¾È¿ëȯ ¿øÀå´Ô. Á¤¸» ¼ö°í ¸¹À¸¼Ì°í °¨»çÇÕ´Ï´Ù.

¸¶Áö¸·À¸·Î ÀÚ°¡¸é¿ªÀ§¿° ¹× °ü·Ã Áúȯ (carcinoid, pyloric gland adenoma µî)¿¡ ´ëÇÑ ÇÑ º´¸®ÇÐÀÚÀÇ »ó¼¼ÇÑ ¼³¸í YouTube µ¿¿µ»óÀ» ¼Ò°³ÇÕ´Ï´Ù.


[2023-8-29] ÀÚ°¡¸é¿ªÀ§¿° ȯÀÚ°¡ ÀÚÁÖ ¹ß°ßµÇ¾î ȯÀÚ ¼³¸í¼­¸¦ ¸¸µé¾ú½À´Ï´Ù.

ÀÚ°¡¸é¿ªÀ§¿°Àº ¾ÆÁ÷±îÁö ¿øÀÎÀÌ ¹àÇôÁöÁö ¾ÊÀº ¸¸¼º ÁúȯÀÔ´Ï´Ù. À§Á¡¸· Áß À§»êÀ» ºÐºñÇÏ´Â ºÎÀ§°¡ ¾ã¾ÆÁö´Â ÇüÅÂ, Áï AÇü À§Ã༺À§¿°ÀÌ Æ¯Â¡ÀÔ´Ï´Ù. À¯¾ÏÁ¾, °úÇü¼º ¿ëÁ¾ÀÇ ¹ß»ý·üÀÌ ÀϹÝÀκ¸´Ù ³ô°í À§¾ÏÀÇ ¹ß»ý·ü¿¡ ´ëÇØ¼­´Â ¾ÆÁ÷ ³í¶õÀÇ ¿©Áö°¡ ÀÖÀ¸³ª Á¤»óÀκ¸´Ù ´Ù¼Ò ³ô´Ù´Â ÁÖÀåÀÌ ÀÖ½À´Ï´Ù. 1³â¿¡ Çѹø À§³»½Ã°æ °Ë»ç¸¦ ±ÇÇÕ´Ï´Ù. Àå±âÀûÀ¸·Î ½ÉÇØÁö¸é ºóÇ÷À̳ª vitamin B12µî ¸î °¡Áö ¿µ¾ç¼Ò °áÇÌÁõÀÌ ³ªÅ¸³¯ ¼ö ÀÖ½À´Ï´Ù. °©»ó¼±¿°À̳ª °©»ó¼±±â´ÉÀúÇÏÁõ µî °©»ó¼± ÁúȯÀÌ ¹ß»ýÇϱ⵵ ÇÕ´Ï´Ù.

Ưº°ÇÑ Áõ»óÀÌ ¾øÀ¸¸é Àå±âÀûÀÎ Åõ¾àÀ» ±ÇÇÏ´Â ÁúȯÀº ¾Æ´Õ´Ï´Ù. »ó½Ä¿¡ ÁØÇÑ °Ç°­ÇÑ ½Ä»ýȰ°ú 1³â ÈÄ Ç÷¾×°Ë»ç, À§³»½Ã°æ °Ë»ç¸¦ ±ÇÇÕ´Ï´Ù. ºñ½ÎÁö ¾ÊÀº Á¾ÇÕºñŸ¹Î ÇÑ °¡Áö Á¤µµ¸¦ µå½Ã´Â °ÍÀº ³ª»ÚÁö ¾ÊÀ» °Í °°½À´Ï´Ù.


[2023-11] ÀÚ°¡¸é¿ªÀ§¿° ȯÀÚÀÇ °©»ó¼± °Ë»ç¿¡ ´ëÇÑ °¡À̵å¶óÀÎÀÌ ¾ø½À´Ï´Ù. ÀÏ´Ü ¾Æ·¡¿Í °°Àº full workupÀ» ½ÃÇàÇØ º¼ ¼ö ÀÖ´Ù°í »ý°¢µË´Ï´Ù.

±×¸®°í anti-intrinsic factor antibody´Â BL5079·Î ½ÃÇàÇÒ ¼ö ÀÖ½À´Ï´Ù. ±Þ¿© 9,790¿ø


[2022-12-1. ¼øÃµ Ç÷¯½º ¾ÆÀ̹ÌÄÚ ¾È¿ëȯ ¿øÀå´Ô (´ëÇÑ ÀÚ°¡¸é¿ª¼ºÀ§¿° ¿¬±¸È¸) ÆíÁö]

ÀÌÁØÇà ±³¼ö´Ô²².

±³¼ö´Ô ¾È³çÇϼ̽À´Ï±î? ³¯ÀÌ ¸¹ÀÌ Ãß¿öÁ³½À´Ï´Ù.

Àü¿¡ Àá±ñ ¸»¾¸µå·È´ø, ÀÚ°¡¸é¿ªÀ§¿° ȯÀÚ¿¡ ´ëÇÑ Áõ·Ê ³í¹®ÀÌ ³ª¿Í¼­ ÀÌ·¸°Ô º¸³»µå¸³´Ï´Ù. ¸¹ÀÌ ºÎÁ·ÇÏ¿© ¿©·¯¹øÀÇ ¼öÁ¤°ú ±³Á¤À» °ÅÄ¡°í ¸¹Àº µµ¿òÀ» ¹Þ¾Æ¼­ ÀÌ·¸°Ô ³ª¿À°Ô µÇ¾ú½À´Ï´Ù.

A Graves' disease patient diagnosed as autoimmune gastritis with Helicobacter pylori infection. PDF 1M.

À۳⠱³¼ö´Ô°ú webinar¸¦ ÇÔ²² Çϸ鼭 À̼±¿µ±³¼ö´ÔÀ» ÅëÇØ Áúȯ¿¡ ´ëÇÑ ¾ê±â¸¦ µé¾ú°í, Áø·á Áß¿¡ Áø´ÜµÈ ȯÀÚµé°ú ÇÔ²² °øºÎÇϱ⠽ÃÀÛÇÏ¿© ÃÖ±Ù±îÁö ³²ÀÚ È¯ÀÚ Æ÷ÇÔ 22¸íÀÇ È¯ÀÚ¸¦ º¸°í ÀÖ½À´Ï´Ù. (1³â 7°³¿ù, ¾à 0.9% ÀÔ´Ï´Ù.) À̹ø Áõ·Ê´Â H. pylori-associated À§¿°ÀÌ µ¿¹ÝµÇ¾î ÀÖ¾î Ç÷ûÇÐÀû °Ë»ç Áß Æé½Ã³ë°Õ I ¼öÄ¡°¡ ³ô¾Æ ´Ù¼Ò Áø´ÜÀÌ ¾î·Á¿üÁö¸¸, µ¿¹ÝµÈ ÀÚ°¡¸é¿ª°©»ó¼±Áúȯ°ú üºÎ atrophy°¡ ½ÉÇÑ °ÍÀ» Åä´ë·Î Àû±ØÀûÀ¸·Î Á¶Á÷°Ë»ç¸¦ ½ÃÇàÇÏ¿´°í, µ¿½Ã¿¡ ÁøÇàÇÑ Ãß°¡ Ç÷û°Ë»ç¿¡¼­ hypergastrinemia, anti-parietal cell antibody ¾ç¼ºÀ¸·Î Áø´ÜÀÌ °¡´ÉÇÏ¿´½À´Ï´Ù.

¿ì¸®³ª¶ó¿¡¼­ ÀÚ°¡¸é¿ªÀ§¿°Àº overlook µÇ¾î ÀÖ´Â µí ÇÕ´Ï´Ù. H. pylori °¨¿°°ú ¹«°üÇÏ°Ô reverse advanced atrophy°¡ ÀǽɵǸé, body¿Í antrum °¢°¢¿¡¼­ Á¶Á÷°Ë»ç¸¦ ½ÃÇàÇϰí (update Sydney systemÀ¸·Î ÇÏ¸é ´õ ÁÁ½À´Ï´Ù¸¸..), chromogranin A °Ë»ç¸¦ ÇÔ²² ½ÃÇàÇÏ¿© (ÀúÈñ º´¿ø ±âÁØ, ȯÀÚ º»Àκδã±ÝÀº ¾à 17,000~18,000¿øÁ¤µµ ÀÔ´Ï´Ù), atrophic gastritis¸¦ documentation ÇÔ°ú µ¿½Ã¿¡ body¿¡¼­ ECL cellÀÇ hyperplasia¸¦ È®ÀÎ ÇÏ¸é º¸´Ù Á¤È®ÇÑ Áø´ÜÀ» ÇÒ ¼ö ÀÖÀ» °Í °°½À´Ï´Ù. ¶ÇÇÑ, ȯÀÚ°¡ Ç÷¾×°Ë»ç¸¦ ÇÒ ¼ö ÀÖ´Ù¸é Ç÷ûÇÐÀû °Ë»ç Áß gastrin, anti-parietal cell antibody, pepsinogen test (I, II, I/II ratio)¸¦ ÇÔ²² check ÇØº¸¸é ´õ¿í È®½Ç ÇÒµí ½Í½À´Ï´Ù. ¹°·Ð, H. pylori IgG antibodyµµ ÃøÁ¤Çϸé ÁÁ°ÚÁö¸¸ ȯÀںδã 90%¿¡´Ù°¡ Áø´Ü clue´Â ¾Æ´Ï¹Ç·Î Àú´Â H. pylori°¡ ÀǽɵǸé (spotty redness, nodular gastritis) CLOtest³ª Á¶Á÷°Ë»ç Giemsa stainÀ» ÀÇ·Ú Çϰí ÀÖÀ¸¸ç, ²À ÇÊ¿äÇÑ °æ¿ì ȯÀÚÀÇ µ¿ÀǸ¦ ±¸Çϰí antibody¸¦ ÃøÁ¤Çϰí ÀÖ½À´Ï´Ù.

ÇÑÇØ¸¦ º¸³»´Â ¸¶Á÷¸· ´Þ, ±³¼ö´Ô°úÀÇ ¼ÒÁßÇÑ Àο¬À» ÅëÇØ ÀÌ·¸°Ô ÀÛÀº °á½ÇÀ» ¸Î°Ô µÇ¾ú½À´Ï´Ù. Áø½ÉÀ¸·Î °¨»çµå¸³´Ï´Ù. Ç×»ó °Ç°­ÇϽðí, ¿Â¶óÀο¡¼­ ¶Ç´Â ¿ÀÇÁ¶óÀο¡¼­µµ ÀÚÁÖ ºËµµ·Ï ÇϰڽÀ´Ï´Ù. Æí¾ÈÇÑ ¹ã µÇ½Ê½Ã¿ä. °¨»çÇÕ´Ï´Ù.


[2024-3-30. ¼øÃµ¸¸³»½Ã°æ¼¼¹Ì³ª ÀÓ¼ºÃ¶ ±³¼ö´Ô ªÀº °­ÀÇ]

Áö³­ 2³â ¹Ý µ¿¾È Á¶¼±´ëÇб³¿¡¼­ Ä¡·áÇÑ neuroendocrine tumor ȯÀÚ 14¸íÀÇ º´¸® ½½¶óÀ̵带 ¸®ºäÇÔ. Æò±Õ 62¼¼, ³²ÀÚ 7¸í, ¿©ÀÚ 7¸í.

Synaptophysin ¿°»öÀ» ÇÏ¿´À» ¶§

³»½Ã°æ ¼Ò°ß¿¡¼­ heaped uo nodular lesionÀÌ ÀÖÀ¸¸é NET·Î Áø´ÜÇÏ°í ±×·¸Áö ¾ÊÀ¸¸é neuroendocrine hyperplasia ȤÀº dysplasia¶ó´Â ¿ë¾î¸¦ ¾²´Â °ÍÀÌ °æÇâÀÎ °Í °°´Ù.


[2025-2-18. ¾Öµ¶ÀÚ Áú¹®]

°ËÁø ¼¼ÆÃ¿¡¼­ reverse atrophy °¡ µÎµå·¯Áö´Â ȯÀÚµéÀ» Á¾Á¾ º¸°ÔµÇ´Âµ¥, À̺е鿡°Ô gastrin, pepsinogen, anti-parietal cell ab ¸¦ ¸ðµÎ È®ÀÎÇØº¸´Â°Ô ÁÁÀ»±î¿ä? ´çÀå Ä¡·á¸¦ ¿äÇÏ´Â »óÅ´ ¾Æ´Ï´Ùº¸´Ï, ¼³µæÇÏ°í °Ë»ç¸¦ ½ÃÇàÇϴµ¥ ÁÖÀúÇÏ´Â ¸¶À½ÀÌ µå´Â°Ô »ç½ÇÀÔ´Ï´Ù.

[2025-2-18. °ËÁø ¼¼ÆÃ¿¡ Àͼ÷ÇÏÁö ¾Ê¾Æ¼­ ¾È¿ëȯ ¿øÀå´Ô²² ¹®ÀÇÇÏ¿© ÀǰßÀ» ¹Þ¾Ò½À´Ï´Ù.]

Reverse atrophy°¡ °üÂûµÇ´Â °æ¿ì autoimmune gastritis¸¦ ÀǽÉÇÏ´Â °ÍÀº ÇÊ¿äÇÕ´Ï´Ù. ¼³¸íµÇÁö ¾Ê´Â ¼ÒÈ­±â, Ç÷¾×ÇÐ, ³»ºÐºñ Áõ»óÀ̳ª ¹®Á¦ µîÀ» ÇØ°áÇØ ÁÙ ¼öµµ ÀÖ°í, ºÒÇÊ¿äÇÑ acid suppressive agents »ç¿ëÀ» ÁÙÀ̸ç Type 1 NETÀÇ ¹ß»ý¿¡ ´ëÇÑ ÃßÀû°üÂûÀ» À§Çؼ­¶óµµ Á¤È®ÇÑ Áø´ÜÀº Áß¿äÇÏ´Ù°í »ý°¢ÇÕ´Ï´Ù.

³»½Ã°æ¿¡¼­ ±×·¯ÇÑ ¼Ò°ßÀÌ °üÂûµÈ´Ù¸é Á¶Á÷°Ë»ç¸¦ ½ÃÇàÇØ º¸´Â°Ô ¸ÕÀúÀÏ µí ½Í½À´Ï´Ù. À§Ã¼ºÎ ´ë¸¸°ú ¼Ò¸¸, À¯¹® ÀüÁ¤ºÎ ´ë¸¸¿¡¼­ °¢°¢ Á¶Á÷°Ë»ç¸¦ ½ÃÇàÇØ¼­ (update Sydney systemÀ¸·Î Á¶Á÷°Ë»ç¸¦ Çϼŵµ µË´Ï´Ù) Á¶Á÷ÇÐÀûÀ¸·Î °¢ ºÎÀ§ÀÇ À§Ãà°ú »óÇÇÈ­»ýÀ» ºñ±³ÇØ º¸½Ã´Â°Ô ÁÁ°Ú½À´Ï´Ù. ±× °á°ú°¡ ³»½Ã°æ ¼Ò°ß°ú ÀÏÄ¡ÇÏ´Â reverse atrophy¸¦ º¸¿´´Ù¸é ±Ý½Ä ¹× acid suppressive agents º¹¿ë¿©ºÎ¸¦ °í·ÁÇÏ¿© Ç÷û°Ë»ç¸¦ ÁøÇàÇØ º¸½Ã¸é ÁÁ°Ú½À´Ï´Ù.

H. pylori ¿©ºÎµµ »ý°¢ÇؾßÇÕ´Ï´Ù. Çö °¨¿°ÀÎÁö °ú°Å °¨¿°ÀÎÁö, Ä¡·á °ú°Å·ÂÀº ÀÖ´ÂÁö, ¾Æ´Ï¸é ÀÚ¹ßÀû ¼Ò½ÇµÈ ºÐÀÎÁö µîÀ» °í·ÁÇÏ´Â °Íµµ ÇÊ¿äÇϰڽÀ´Ï´Ù. °¨»çÇÕ´Ï´Ù.

P.S. °ËÁø¿¡¼­ Á¶Á÷°Ë»ç´Â ȯÀÚ°¡ ºÎ´ãÇÏ´Â º°µµÀÇ ºñ¿ëÀÌ ¾ø°Å³ª º»Àκδã 10%¸¸ ºÙ±â ¶§¹®¿¡, ¿ì¼±Àº Á¶Á÷°Ë»ç¸¦ ÇÔ²² ÇØ º¸½Ã¸é ÁÁÀ» °Í °°½À´Ï´Ù.

[2025-2-18. ÀÌÁØÇà ´äº¯]

¹°·Ð ÀüºÎ ¿ÇÀº ¸»¾¸ÀÔ´Ï´Ù. ±×·¯³ª Á¦ positionÀº Á¶±Ý ´Ù¸¨´Ï´Ù.

À§¾ÏÀÇ 2Â÷ ¿¹¹æÀº °ËÁøÀÔ´Ï´Ù. ÇѰè´Â ºÐ¸íÇÕ´Ï´Ù. 1Â÷ ¿¹¹æÀÌ ¾ø´Â 2Â÷ ¿¹¹æÀº ¾Ó²¿¾ø´Â Âð»§ÀÔ´Ï´Ù. ¹°·Ð 2Â÷ ¿¹¹æµµ ¾ø´Â °Íº¸´Ù´Â ÈξÀ ³´½À´Ï´Ù. 2Â÷ ¿¹¹æ°ú ÇÔ²² 1Â÷ ¿¹¹æµµ ÇÔ²² ÁøÇàµÇ¾î¾ß ÁøÁ¤ÇÑ À§¾ÏÀÇ ¿¹¹æÀÔ´Ï´Ù.

¿ì¸®³ª¶ó´Â À§¾ÏÀÇ 1Â÷ ¿¹¹æ Àü·«ÀÌ ¾ø½À´Ï´Ù. ±¹¹ÎÀÌ °¢ÀÚ ¾Ë¾Æ¼­ Àǻ簡 °¢ÀÚ ¾Ë¾Æ¼­ Çϰí ÀÖÀ» »ÓÀÔ´Ï´Ù. ¸î ³â Àü±îÁö´Â À§¿° Ç︮ÄÚ¹ÚÅÍ Á¦±ÕÄ¡·á°¡ ºÒ¹ýÀ̾ú½À´Ï´Ù. À§¾ÏÀ» ¿¹¹æÇϰڴٴµ¥ Åõ¾àÀÌ ºÒ¹ýÀ̶ó´Ï... ´ÙÇེ·´°Ô ÀÌÁ¦´Â ²Ä¼ö¸¦ ¾²¸é ÇÒ ¼ö´Â ÀÖ½À´Ï´Ù. ȯÀÚ¿¡°Ô »çÀü µ¿ÀǸ¦ ¹Þ°í ÁַΠȯÀÚ º»ÀÎ ºÎ´ãÀ¸·Î °Ë»ç¸¦ Çϰí Åõ¾àÀ» ÇØ¾ß ÇÕ´Ï´Ù. ¾ÆÁÖ ¼º°¡½Å ÀÏÀÔ´Ï´Ù. °¡²û ½ÉÇÏ°Ô Ç×ÀÇÇϴ ȯÀÚµµ ÀÖ½À´Ï´Ù. ºñ½Ñ º¸Çè·á¸¦ ³Â´Âµ¥ ¿Ö Ç︮ÄÚ¹ÚÅÍ Á¦±ÕÄ¡·á°¡ º»ÀÎ ºÎ´ãÀÎÁö Àǻ翡°Ô µûÁö´Â ºÐÀÌ °è½Ê´Ï´Ù. (ȯÀÚ°¡ ³½ °ÍÀº ÀǷẸÇè·á°¡ ¾Æ´Ï°í ÀǷẸÇè·á¶ó´Â À̸§À» °¡Áö°í ÀÖ´Â ¼¼±ÝÀ̾úÀ» »ÓÀÔ´Ï´Ù. Risk¿¡ µû¶ó¼­ º¸Çè·á¸¦ ³»¾ßÁö º¸ÇèÀÌÁö ¼Òµæ¿¡ µû¶ó¼­ ¾×¼ö°¡ ´Þ¶óÁö´Â °ÍÀÌ ¾îÂî º¸ÇèÀ̰ڽÀ´Ï±î? Á¦ »ó½ÄÀ¸·Î´Â ¼¼±ÝÀÔ´Ï´Ù.) Á¤Ã¥ÀÌ ¹Ù²î¾î¾ß ÇÕ´Ï´Ù. °Ë»ç¿Í Ä¡·á ¸ðµÎ ÀÏ¹Ý º¸Çè ±Þ¿©°¡ µÇ¾î¾ß ÇÕ´Ï´Ù. ¼±º°ÇØ¾ß µ·À» ÁÖÁö ¾Ê´Â ÀÌ»óÇÑ Á¤Ã¥Àº ´çÀå ÁߴܵǾî¾ß ÇÕ´Ï´Ù.

È¿°ú°¡ È®½ÇÇÑ Ç︮ÄÚ¹ÚÅÍ Á¦±ÕÄ¡·áµµ Á¦´ë·Î ¸øÇϰí ÀÖ´Â ¿ì¸®³ª¶óÀÇ ¾Ï¿ïÇÑ ÀÇ·á Çö½Ç¿¡¼­ ¹«Áõ»ó ¼ºÀο¡¼­ ÀÚ°¡¸é¿ªÀ§¿°À» Áø´ÜÇϱâ À§ÇÑ Ãß°¡ °Ë»ç¿Í surveillance°¡ ÇÊ¿äÇÑÁö Àǹ®ÀÔ´Ï´Ù. ÀÌ Áúȯ¿¡ °ü½ÉÀÌ ÀÖ´Â Àǻ簡 °³ÀÎÀûÀ¸·Î Á¤¼ºÀ» µéÀÌ´Â °ÍÀº ÁÁÀº ÀÏÀÔ´Ï´Ù. Á¦ ȨÆäÀÌÁöÀÇ ÀÚ°¡¸é¿ªÀ§¿° ÀÚ·á(http://endotoday.com/endotoday/autoimmune.html)¿¡ ÀÚ¼¼È÷ ½á µÎ¾ú½À´Ï´Ù. ±×·¯³ª °ËÁø ³»½Ã°æ¿¡¼­ ÀÚ°¡¸é¿ªÀ§¿° ÀÇ½É ¼Ò°ßÀÌ º¸ÀÏ ¶§ ÀÌ·¯ÀÌ·¯ÇÑ Á¶Ã³¸¦ ÇØ¾ß ÇÑ´Ù°í generalÇÏ°Ô ±ÇÇϱâ´Â ¾î·Æ´Ù°í »ý°¢ÇÕ´Ï´Ù.

°ËÁø ³»½Ã°æ¿¡¼­´Â ÀÏ´Ü À§¾ÏÀÇ ¹ß°ßÀÌ ÇÙ½ÉÀÔ´Ï´Ù. ±× ´ÙÀ½ÀÌ Ç︮ÄÚ¹ÚÅÍÀÔ´Ï´Ù. ±× ´ÙÀ½¿¡ ¿Ã ¼ö ÀÖ´Â ¿©·¯ minorÇÑ °ÍµéÀÌ ÀÖ½À´Ï´Ù. ÀÚ°¡¸é¿ªÀ§¿°ÀÇ ¼ø¼­´Â ÇÑÂü µÚ¶ó°í »ý°¢ÇÕ´Ï´Ù. Àǹ̰¡ ¾ø´Ù´Â ¸»Àº ¾Æ´Õ´Ï´Ù. ´Ù¸¸ ¼ø¼­°¡ ¹Ð¸°´Ù´Â ¸»¾¸ÀÔ´Ï´Ù.

¿ÀÇØ°¡ ¾øÀ¸½Ã±â ¹Ù¶ø´Ï´Ù.


[2025-10-26] Ç︮ÄÚ¹ÚÅÍ ¾ÆÄ«µ¥¹Ì ¾È¿ëȯ ±³¼ö´Ô °­ÀÇ

ÀÚÀڸ鿪À§¿°

[2026-4-18/19] SIDDS 2026

ÀÚ°¡¸é¿ªÀ§¿° °­ÀǸ¦ Çß½À´Ï´Ù. AI°¡ ½Ç½Ã°£ ¹ø¿ªÀ» ÇÏ¿´½À´Ï´Ù.

À̼±¿µ ±³¼ö´ÔÀÇ Èï¹Ì·Î¿î °­ÀÇÀÇ ¸¶Áö¸· ½½¶óÀ̵带 ¿Å°Ü º¸¾Ò½À´Ï´Ù.

Lenti ±³¼öÀÇ ÃÖ±Ù ¸®ºä. Gynecological problemµµ ÀÖ´Ù´Ï ³î¶ø½À´Ï´Ù.

With Lenti

[2026-5-8] JGES¿¡¼­ Ã¥ ÇѱÇÀ» ±¸ÀÔÇß½À´Ï´Ù.


[References]

1) ´ëÇÑ ÀÚ°¡¸é¿ª¼ºÀ§¿° ¿¬±¸È¸ - ³í¹®¿ä¾à ÆäÀÌÁö

2) Ç÷û Ç׺®¼¼Æ÷ Ç×ü ¾ç¼º ¼Ò°ßÀ» º¸ÀÎ ÀÚ°¡¸é¿ªÀ§¿° ȯÀÚ 5¸í¿¡ ´ëÇÑ º¸°í Á¤Á¾Çö, À̼±¿µ µî. Ç︮ÄÚ¹ÚÅÍÇÐȸÁö 2021

3) My favorite gastric lesions by Elizabeth Anne Montgomery ÀÚ°¡¸é¿ªÀ§¿° ¹× °ü·Ã Áúȯ (carcinoid, pyloric gland adenoma µî)¿¡ ´ëÇÑ ÇÑ º´¸®ÇÐÀÚÀÇ »ó¼¼ÇÑ ¼³¸í

3) AÇü, BÇü, ±×¸®°í ºñÀ§Ã༺ À§¿° À̼±¿µ (2023) PDF

4) Autoimmune enteropathy in children 2023/10 ±¹Á¦¼Ò¾Æ¼ÒÈ­±âÇÐȸ ¼­¿ï´ëº´¿ø Æ÷½ºÅÍ PDF

© ÀÏ¿ø³»½Ã°æ±³½Ç ¹Ù¸¥³»½Ã°æ¿¬±¸¼Ò ÀÌÁØÇà. EndoTODAY Endoscopy Learning Center. Lee Jun Haeng.