Home | EndoTODAY | EndoATLAS

Beginner | ESA | Schedule | OPD

Seminars | Atlas | Recent | Links

EndoTODAY ³»½Ã°æ ±³½Ç


[¾Öµ¶ÀÚ Áõ·Ê ÆíÁö 19]

Previous | Next

Áö³­ ¹ø ¸ðÀÓ¶§ ¼±»ý´ÔÀ» ºÆ¼­ Á¤¸» ¹Ý°¡¿ü½À´Ï´Ù. ¸ÅÀÏ ±Ù¹«½ÃÀÛ Àü ¿£µµÅõµ¥À̸¦ ¹ÞÀ¸¸é »ï¼º¿¡¼­ ¼ö·Ã¹Þ´ø ½ÃÀýÀÌ ¶°¿Ã¶ó Áñ°Ì½À´Ï´Ù. ¾Æ¸¶µµ Àλý¿¡¼­ Á¦ÀÏ È°·ÂÀÌ ³ÑÃÆ´ø ½ÃÀýÀÌ ¶°¿Ã¶ó ±×·± °Í °°½À´Ï´Ù. »ï¼ºº´¿øÀº °¥ ¶§¸¶´Ù ±âºÐÀÌ ÁÁ½À´Ï´Ù. ´öºÐ¿¡ Àú³ª ±èÁ¾±Ô³ª ¿­½ÉÈ÷ ¿£µµÅõµ¥À̸¦ ±¸µ¶Çϰí ÀÖ½À´Ï´Ù. ½ÇÁ¦ ÀοëÁö¼ö·Î Ä¡¸é ¿£µµÅõµ¥ÀÌ Impact Factor°¡ 10Á¡Àº µÇ´Â °Í °°½À´Ï´Ù.

Á¦°¡ ´ëÇ׺´¿ø¿¡ ¿ÂÁöµµ ¹ú½á 9³â°ÀÔ´Ï´Ù. ¼±»ý´Ô²²¼­ Àü¿¡ ±º´ë½ÃÀý¿¡ ÀúÈñ º´¿ø¿¡ Àוּµ ÀÖ´Ù ¸»¾¸ÇϽŠ°Íµµ ±â¾ï³ª°í, ¶Ç ÇöÀç Á¦ ¹Ù·Î ¿À¸¥ÂÊ ÀÚ¸®¿¡´Â ¼±»ý´Ô °íµîÇб³/´ëÇÐ ÈĹèÀÎ Á¤XX ¼±»ýÀÌ ¿­½ÉÈ÷ ÄÄÇ»ÅÍ º¸°í ÀÖ°í.. ÀÌ·± Àú·± Àο¬ÀÌ ¸¹½À´Ï´Ù.

Á¦°¡ óÀ½¿¡ ¿©±â¿¡ ¿À°í IBD ȯÀÚ°¡ ¿ö³« ¸¹¾Æ¼­ °í»ýÀ» Á» ÇÏ¿´½À´Ï´Ù. ÃÖ±Ù ±¹³»¿¡ ȯÀÚ°¡ ´Ã¸é¼­ ÇÐȸ¿¡ °¡¸é ¿ÂÅë IBD °­ÀǶó ȯÀÚ¸¸ º¸¸é ´Ù IBD·Î º¸¿´´Âµ¥, ¾î´À ¼ø°£ ºÎÅÍ´Â Àå¿° ȯÀÚ°¡ IBD°¡ ¾Æ´Ò °¡´É¼ºÀ» ¿°µÎ¿¡ µÎ°Ô µÇ¾ú½À´Ï´Ù. ±×·¸°Ô °üÁ¡À» ¹Ù²Ù°í ȯÀÚ¸¦ º¸´Ùº¸´Ï Áõ·Ê°¡ Á» ¸ð¿´½À´Ï´Ù. »õ·Î ³»½Ã°æÀ» Á¢ÇÏ´Â ÃʽÉÀڵ鵵 Ç×»ó IBD¸¸ »ý°¢ÇÏÁö ¸»°í ´Ù¸¥ °¡´É¼ºµµ ÀÖ´Ù´Â ±³ÈÆÀÌ µÇ¾úÀ¸¸é ÇÕ´Ï´Ù.

ƯÈ÷ ¿äÁò HIVȯÀÚ°¡ ¸¹ÀÌ ´Ã°í ÀÖ°í ´Ù¸¥ ¼±»ý´Ôµéµµ Èï¹ÌÀÖ¾î Çϼż­, Áõ·Ê¿Í ´õºÒ¾î °ü·Ã ³í¹®µµ ¼Ò°³ÇÕ´Ï´Ù.

2013 European Guideline on the management of proctitis, proctocolitis and enteritis caused by sexually transmissible pathogens.
Proctitis is defined as an inflammatory syndrome of the distal 10-12 cm of the anal canal, also called the rectum. Infectious proctitis can be sexually transmitted via genital-anal mucosal contact, but some also via mutual masturbation.N. gonorrhoeae,C. trachomatis(including lymphogranuloma venereum), Herpes Simplex Virus andT. pallidumare the most common sexually transmitted anorectal pathogens. Shigellosis can be transferred via oral-anal contact and may lead to proctocolitis or enteritis. Although most studies on these infections have concentrated on men who have sex with men (MSM), a significant proportion of women have anal intercourse and therefore may also be at risk. A presumptive clinical diagnosis of proctitis can be made when there are symptoms and signs, and a definitive diagnosis when the results of laboratory tests are available. The symptoms of proctitis include anorectal itching, pain, cramps (tenesmus) and discharge in and around the anal canal. Asymptomatic proctitis occurs frequently and can only be detected by laboratory tests. The majority of rectal chlamydia and gonococcal infections are asymptomatic. Therefore when there is a history of receptive anal contact, exclusion of anorectal infections is generally indicated as part of standard screening for sexually transmitted infections (STIs). Condom use does not guarantee protection from bacterial and protozoan STIs, which are often spread without penile penetration.

°Ç°­ÇÏ½Ã°í ¼±»ý´Ô²²¼­ º¸³»Áֽô ÀÚ·á°¡ ¾ðÁ¦³ª °è¼ÓµÇ±æ ±â¿øÇÕ´Ï´Ù.

´ëÇ׺´¿ø ¾Öµ¶ÀÚ Ãֿ뼺 ¿Ã¸²


1. Cap polyposis

3³â ÀüºÎÅÍ ¹èº¯ ½Ã °úµµÇÑ ÈûÁÖ±â, Ç×¹® ÃâÇ÷°ú Å»Ç×. Laparoscopic suture rectopexy¶ó´Â ¼ö¼ú ÈÄ È£ÀüµÇ¾úÀ½.

´Ù¸¥ ȯÀÚ¿¡¼­ Ç×»ýÁ¦ »ç¿ë(Hp Á¦±ÕÄ¡·á) ÈÄ È£ÀüµÈ cap polyposis Áõ·Êµµ ÀÖ¾úÀ½.


2. Colitis (Protitis) cystic profunda

Á÷ÀåÀÇ Á¡¸·ÇÏÁ¾¾çÀ¸·Î ÀÇ·ÚµÊ. Æò¼Ò ¹èº¯ ½Ã °úµµÇÑ ÈûÁÖ±â¿Í Àܺ¯°¨.

³»½Ã°æ ÀýÁ¦¼úÀ» ÇÏ¿´°í Colitis (Protitis) cystic profunda·Î È®ÀεǾúÀ½.


3. Solitary rectal ulcer syndrome

30´ë ¿©¼º. ¹èº¯ ½Ã ÃâÇ÷À» ÁÖ¼Ò·Î ³»¿ø. Æò¼Ò º¯ºñ°¡ ½ÉÇϰí ÇÏ·ç 30ºÐ Á¤µµ È­Àå½Ç¿¡ ¾É¾Æ ÀÖÀ½. Ä¡ÇÙ ¹× Ä¡¿­·Î ¼ö¼úÇÑ º´·Â (+). º¯Àº ¸¶·Á¿îµ¥ ¾È ³ª¿À°í °¡½º°¡ ¸¹ÀÌ Âü.

³»½Ã°æ Á¶Á÷°Ë»ç: ulcerative granulation tissue with inflammatory exudate


4. Lymphoid hyperplasia of the rectum

60´ë ¿©¼º. 2´Þ ÀüºÎÅÍ ½ÃÀÛµÈ ¹èº¯ ½Ã ¼±È«»ö ÃâÇ÷°ú Å»Ç×. Á÷Àå¼öÁö°Ë»ç »ó Ä¡ÇÙ°ú Á÷ÀåÀÇ ¿ëÁ¾

Mantle cell lymphoma of the rectum°ú °¨º°Áø´ÜÀÌ ÇÊ¿äÇÕ´Ï´Ù. °ú°Å ¼ÒÈ­±â³»½Ã°æÇÐȸ ȸ¿ø°ø¸ðÁõ·Ê·Î ³ª¿Ô´ø Mantle cell lymphoma Áõ·Ê¸¦ ¼Ò°³ÇÕ´Ï´Ù.

Mantle cell lymphoma

[ÀÌÁØÇà Ãß°¡] Á¦°¡ °æÇèÇÏ¿´´ø mantle cell lymphoma Áõ·Ê Çϳª¸¦ ¼Ò°³ÇÕ´Ï´Ù.

Mantle cell lymphoma

* Âü°í: EndoTODAY Mantle cell lymphoma


5. Chlamydia proctitis

30´ë ¿©¼º. ÇÑ ´Þ ÀüºÎÅÍ º¯À» º¼ ¶§ ÇϾá»öÀÇ Á¡¾×ÀÌ ¼¯¿© ³ª¿È. ºÎÀΰú¿¡¼­ °ñ¹Ý¿° Ä¡·á º´·Â (+). Doxycycline 200 mg x 7 days Åõ¾à ÈÄ È£ÀüµÇ¾úÀ½.

Chlamydia proctitis ´Ù¸¥ Áõ·Ê Çϳª¸¦ ¼Ò°³ÇÕ´Ï´Ù.

Á÷ÀåÀÇ lymphoid hyperplasia´Â ´Ùµé ºñ½ÁÇØ º¸ÀÌÁö¸¸ ¾Æ·¡¿Í °°Àº °ÍµéÀ» °¨º°ÇØ¾ß ÇÒ °Í °°½À´Ï´Ù. »ó¼¼ÇÑ º´·ÂûÃë¿Í ÀÇ»çÀÇ °¨(Êï)ÀÌ Áß¿äÇÕ´Ï´Ù.


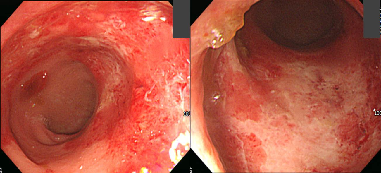
6. HIV-related colitis

¼ö ³â Àü anal fistulaÀÇ º´·ÂÀÌ ÀÖ´ø ºÐÀÇ anal pain°ú rectal bleeding.

WBC 5000, ESR 40, CRP 2.4, p-ANCA (-)

Biopsy: There is vague granulomatous reaction. Clinical work-up such as IFN-r release assay (IGRA) or TB-PCR is recommended to exclude a possibility of chronic granulomatous disease such as tuberculosis

IGRA (-), AFB (-), TB-PCR (-)

HIV (+)


[Some more cases with HIV-related colitis]


7. Condyloma acuminatum

Anal pain and rectal bleeding during defecation


[Sexually transmitted anorectal lesions]


8. Anal fistula

Æò¼Ò Ç×¹®À» ÅëÇÑ ºÐºñ¹° (+)


[Some more cases with anal fistula]


9. Chemical proctitis

º¯ºñ°¡ ½ÉÇÏ¿© ¿Á½ÃÅ©¸° 50cc·Î °üÀå ÈÄ Ç×¹® ÅëÁõ°ú ÃâÇ÷ ¹ß»ý


[References]

1) EndoTODAY ¾Öµ¶ÀÚ Áõ·Ê ÆíÁö

© ÀÏ¿ø³»½Ã°æ±³½Ç ¹Ù¸¥³»½Ã°æ¿¬±¸¼Ò ÀÌÁØÇà. EndoTODAY Endoscopy Learning Center. Lee Jun Haeng.