Home | EndoTODAY | EndoATLAS

Beginner | ESA | Schedule | OPD

Seminars | Atlas | Recent | Links

EndoTODAY ³»½Ã°æ ±³½Ç


[³»½Ã°æÇÐȸ Áý´ãȸ]

Àå¼Ò: °í½Å´ëÇб³ º¹À½º´¿ø 6µ¿ Àå±â·Á±â³ä¾Ï¼¾ÅÍ 5Ãþ ´ë°­´ç

2017³â 7¿ù 21ÀÏ (±Ý) ¿ÀÈÄ 6½Ã

ºÎ»ê¿¡ ³»·Á°¡´Â SRT Â÷³» ÀâÁö¿¡¼­ ºÎ»ê¿ª ¾Õ Â÷À̳ªÅ¸¿î¿¡ »õ·Î ¹®À» ¿¬ »§Áý 'ºê·¡µå ¾Øµå (bread &)' ¼Ò°³ ±â»ç¸¦ º¸¾Ò½À´Ï´Ù. 'À¯±â³ó ¹Ð°¡·ç¿Í ´ºÁú·£µå/ÇÁ¶û½º ¹öÅÍ °íÁý'À̶ó´Â ¹®±¸¿¡ ²ø·Á Àá±ñ µé·¶½À´Ï´Ù. °¡°ÝÀº ¾à°£ ºñ½ÕÁö¸¸ (Å©·Î¿Í»ó Çϳª¿¡ 2600¿ø), ÀԾȿ¡ ÀÜÀÜÈ÷ ÆÛÁö´Â ¹Ð°¡·çÀÇ Ç³¹Ì°¡ ±ä ¿©¿îÀ» ³²°å½À´Ï´Ù. ¹Ý¦°Å¸®°í ´ÞÄÞÇÑ ´ë±â¾÷ »§Áý Å©·Î¿Í»óÀÇ Ãµ¹ÚÇÑ ¸À°ú´Â ºñ±³ÇÒ ¼ö ¾ø´Â ¸íǰÀ̾ú½À´Ï´Ù. ¾ÕÀ¸·Î ¼­¿ï¿¡¼­´Â Å©·Î¿Í»óÀ» ¸ÔÁö ¸øÇÏ°Ô µÉÁö ¸ð¸£°Ú½À´Ï´Ù. ºÎ»ê¿¡ »ç´Â ¿©·¯ºÐ, ºÎ»êÀ» ã¾Æ°¡´Â ¿©·¯ºÐ ¸ðµÎ¿¡°Ô °­·ÂÈ÷ ÃßõÇÕ´Ï´Ù.


1. 60-years old male with a huge abdominal mass (»ï¼º¼­¿ïº´¿ø Á¶¿ø¿ë, ÀÌÁØÇà)

Á¶¿ø¿ë ¼±»ý´ÔÀÇ ¸ÚÁø ¹ßÇ¥ ÃàÇÏÇÕ´Ï´Ù.

2´Þ ÀüºÎÅÍ ½ÃÀÛµÈ º¹ºÎ ÆØ¸¸À¸·Î ³»¿øÇÏ¿´½À´Ï´Ù. º¹ºÎ CT¿¡¼­´Â 30x24cm·Î ÃøÁ¤µÇ¾úÁö¸¸ »ç½Ç ´õ Ä¿º¸¿´½À´Ï´Ù.

Á¤È®ÇÑ Áø´ÜÀ» À§ÇÏ¿© sono-guided biopsy¸¦ ÇÏ¿´½À´Ï´Ù. GIST (high risk of malignant potential)·Î ³ª¿Ô°í ´ç½Ã mitosis´Â 4/17 HPFs, Á¶Á÷ÇüÀº mixed spindle and epitheloid¿´½À´Ï´Ù.

GleevecÀ¸·Î 16°³¿ù Ä¡·áÇÏ¿´°í º´¼Ò°¡ ÇöÀúÈ÷ ÀÛ¾ÆÁ³½À´Ï´Ù.

Surgical wedge resectionÀ» ÇÏ¿´½À´Ï´Ù. Á¾¾çÀÇ Å©±â´Â 15x9x9cm¿´°í, neat total necrosis·Î ÀÎÇÏ¿© mitosis´Â ÃøÁ¤ÇÒ ¼ö ¾ø¾ú½À´Ï´Ù.

¾à 1³â ÈÄ ÃßÀû³»½Ã°æ¿¡¼­ À§¾Ï 1°³, ¼±Á¾ 1°³°¡ ¹ß°ßµÇ¾î ESD¸¦ ÇÏ¿´½À´Ï´Ù.

Surgical wedge resection ÈÄ 5³â°£ adjuvant imatinib »ç¿ëÇÏ¿´½À´Ï´Ù. ÀÌÈÄ °æ°ú°üÂû ÁßÀε¥ GIST³ª À§¾Ï Àç¹ß ¾øÀÌ Àß Áö³»°í °è½Ê´Ï´Ù. ÈÞ¿ì~~~


[ÁöÁ¤ Åä·ÐÀÚ ±è±¤ÇÏ ±³¼ö´Ô Áú¹®]

(1) Tumor seeding À§ÇèÀÌ Àִµ¥ transgastric approach¸¦ ÇÏÁö ¾Ê°í transabdominal approach¸¦ ÇÑ ÀÌÀ¯´Â ¹«¾ùÀԴϱî?

(2) óÀ½ºÎÅÍ º¸´Ù Àû±ØÀûÀ¸·Î ¼ö¼úÇÏÁö ¾ÊÀº ÀÌÀ¯´Â ¹«¾ùÀԴϱî?

(3) Adjuvant imatinibÀº 2-3³â »ç¿ëÀÌ º¸ÅëÀε¥ 5³âÀ» »ç¿ëÇÑ ÀÌÀ¯´Â ¹«¾ùÀԴϱî?

[Á¶¿ø¿ë ¼±»ý´Ô ´äº¯]

(2) ¿Ü°ú consult ÈÄ ¼ö¼úÀÇ À§ÇèÀÌ ³Ê¹« Ŭ °ÍÀ¸·Î ÆÇ´ÜµÇ¾î neoadjuvant Ä¡·á ÈÄ ¼ö¼úÀ» ÇÏ°Ô µÇ¾ú½À´Ï´Ù.

(3) Á¾¾çÀÌ ³Ê¹« Å©°í histology¿¡¼­ aggressive feature°¡ ÀÖ¾î Åë»óÀÇ 3³âº¸´Ù Á¶±Ý ´Ã·Á¼­ 5³âÀ» »ç¿ëÇÏ¿´½À´Ï´Ù.

[ÀÌÁØÇà comment]

(1)¹ø Áú¹®¿¡ ´ëÇÏ¿© ±è±¤ÇÏ ±³¼ö´Ô Àǰ߿¡ µ¿ÀÇÇÕ´Ï´Ù. ¸¸¾à ÀÌ È¯ÀÚ°¡ Áö±Ý ³»¿øÇϽŴٸé transgastricÀ¸·Î EUS-guided biopsy¸¦ ÇÒ °ÍÀÔ´Ï´Ù. ±×·¯³ª 2010³â ´ç½Ã Á¦°¡ EUS-guided biopsy °æÇèÀÌ °ÅÀÇ ¾ø¾ú±â ¶§¹®¿¡ º¸´Ù classicalÇÑ ¹æ¹ýÀ¸·Î Á¶Á÷À» ¾ò¾ú´ø °ÍÀÔ´Ï´Ù.


2. A 89 years old female complaining dysphagia (°í·Á´ëÇб³ ¾È¾Ïº´¿ø ¹ÎÁöÈ£) --> Huge esophageal cavernous hemangioma

Stent ½ÃÇàÇÏ¿© ÀϽÃÀûÀÎ Áõ»ó È£ÀüÀÌ ÀÖÀ¸³ª ºÒÆí°¨ÀÌ Áö¼ÓµÇ¾î stent¸¦ Á¦°ÅÇÏ¿´°í Histoacryl injectionÀ» ¹Ýº¹ÀûÀ¸·Î ½ÃÇàÇÏ¿© ÀϽÃÀûÀ¸·Î Áõ»óÀÌ È£Àü°ú ¾ÇÈ­¸¦ ¹Ýº¹ÇÏ¿´½À´Ï´Ù. ±×·¯³ª °á±¹ Áõ»óÀÌ ÃæºÐÈ÷ È£ÀüµÇÁö ¾Ê¾Æ¼­ ´Ù½Ã stent¸¦ ÇÏ¿´°í ÇöÀç´Â soft diet¸¦ Çϸ鼭 Áö³»°í °è½Ê´Ï´Ù.

[ÀüÈÆÀç ±³¼ö´Ô comment] ¿ø·¡´Â esophagectomy°¡ °¡Àå ÁÁÀº Ä¡·áÀÌÁö¸¸ ȯÀÚ°¡ Áõ»óÀÌ ½ÉÇϰí mass·Î ÀÎÇÑ pressure ulcer°¡ ÀÖ¾ú½À´Ï´Ù.


3. Hematemesis, melena·Î ³»¿øÇÑ 51¼¼ ³²ÀÚ (°í½Å´ëÇб³ ÇãÀçÁØ)

Hematemesis¿Í melena·Î ³»¿øÇÑ È¯ÀÚ·Î, ³»¿ø 9ÀÏ Àü À§³»½Ã°æ¿¡¼­ ½Äµµ¿¡ °ÔµüÁö°¡ °üÂûµÇ¾î Á¦°ÅÇÏ¿´´Ù´Â º´·ÂÀÌ ÀÖ¾ú½À´Ï´Ù. ÀÚ¼¼È÷ ¹°¾îº¸¾ÒÀ» ¶§ °Ô ¹ÝÂùÀ» ¸ÔÀº ÀûÀÌ ÀÖ¾ú½À´Ï´Ù.

Aortic aneurysmÀÌ ÀÖ¾î aorta stent±îÁö Çߴµ¥, mediastinitis°¡ º´¹ßÇÏ¿© °á±¹ ¼ö¼ú(fistulectomy and primar closure)·Î Ä¡·áÇÏ¿´À¸³ª Áõ»ó Áö¼ÓµÇ¾î °á±¹ Àç¼ö¼ú(esophagectomy)À» ÇÏ¿´½À´Ï´Ù.

¼¼Á¾´ë¿ÕÀÇ ¾Æµé ±¤Æò´ë±ºÀÌ »ý¼± °¡½Ã°¡ °É¸° ÈÄ ¾Æ»çÇÏ¿´´Ù´Â À̾߱Ⱑ ÀÖ½À´Ï´Ù (Âü°í). Aortoesophageal fistula´Â ¾Æ´Ï¾ú´ø °Í °°½À´Ï´Ù¸¸...


[Åä·Ð]

Àú´Â fish bone foreign body¿¡¼­ °¡±ÞÀû CT¸¦ È®ÀÎÇÏ´Â °ÍÀÌ ÁÁ°Ú´Ù°í comment¸¦ ÇÏ¿´½À´Ï´Ù. ±è±¤ÇÏ ±³¼ö´Ô²²¼­´Â ¸ðµç ȯÀÚ¿¡¼­ CT¸¦ ÇÒ ÇÊ¿ä´Â ¾ø°Ú°í ³»½Ã°æ ¼Ò°ß¿¡¼­ À§Ä¡ (second physiologic narrowing ºÎÀ§)¿Í ¹æÇâ (7-9½Ã) µîÀ» °í·ÁÇÏ¿© ¼±ÅÃÀûÀ¸·Î ½ÃÇàÇÒ °ÍÀ» ÃßõÇÏ¿´½À´Ï´Ù.

Á¦°¡ fish bone foreign body Á¦°Å ÈÄ ´çÀϺÎÅÍ 30³â ÈıîÁö °©ÀÚ±â ÃâÇ÷Çϸ鼭 »ç¸ÁÇÒ ¼ö ÀÖ´Ù°í comment¸¦ ÇÏ¿´´Âµ¥, ¿Ö ÇÏÇÊÀ̸é 30³âÀ̶ó´Â Áú¹®ÀÌ ÀÖ¾ú½À´Ï´Ù. »ç½Ç 30³âÀ̶ó°í ¸»ÇÒ ¼ö ÀÖ´Â Á¤È®ÇÑ ±Ù°Å´Â ¾ø½À´Ï´Ù. ±×·¯³ª Ưº°ÇÑ ¿øÀÎ ¾øÀÌ aortoesophageal fistula°¡ ¹ß°ßµÇ´Â ȯÀÚ°¡ Àִµ¥, Ȥ½Ã ±×µéÀÌ °ú°Å esophageal foreign body¸¦ °¡Á³´ø °Í ¾Æ´Ò±î »ó»óÇØ º¸¾Ò´Ù°í ´äº¯ÇÏ¿´½À´Ï´Ù.

Fish bone foreign body (FBFB) ȯÀÚ°¡ Á¶±ÝÀ̶ó°í ÇǸ¦ ÅäÇÏ¸é ´çÀå ÀÀ±Þ½Ç·Î ´Þ·Á¿Í¾ß ÇÑ´Ù´Â Á¡À» Ãß°¡·Î comment ÇÏ¿´½À´Ï´Ù. Herald bleedingÀ̶ó°í ÇÕ´Ï´Ù. Tea spoonfulÀ̶ó°í ¹«½ÃÇÏ¸é ¾ÈµË´Ï´Ù.

* Âü°í: EndoTODAY »ý¼±»À ½ÄµµÀ̹° FBFB (fish bone foreign body)


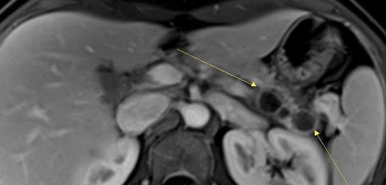
4. »óº¹ºÎ ÅëÁõÀ» ÁÖ¼Ò·Î ³»¿øÇÑ È¯ÀÚ (¿ï»êÀÇ´ë ¿ï»ê´ëº´¿ø À̺´¿í)

PancreasÀÇ multicystic lesionÀ¸·Î ³»¿øÇÏ¿© °á±¹ ¼ö¼úÀ» ¹ÞÀ¸½Å ºÐÀÔ´Ï´Ù.

ÃÖÁ¾ °á·ÐÀº pancreas neuroendocrine tumor¿´½À´Ï´Ù.


5. Endoscopic resection of sparganosis presenting as colon submucosal tumor (ºÎ»ê´ëÇб³ ¹éµ¿ÈÆ)

Endoscopic features of the rectal submucosal tumor. A prominently elevated submucosal tumor-like lesion covered with normal mucosa 5 cm above the anal verge (black arrow).

Endoscopic ultrasonographic features of the rectal submucosal tumor. An approximately 1.0 cm ¡¿ 0.5 cm, hypoechoic lesion in the deep mucosa and submucosal layer.

Rectal endoscopic submucosal dissection. A: During submucosal dissection; B: Endoscopic features after endoscopic submucosal dissection (ESD); C: Gross features of the specimen from ESD.

Pathological features. A: Suppurative inflammation and chronic granulomatous inflammation caused by foreign bodies mainly located in the submucosal layer (Hematoxylin-eosin stain, original magnification ¡¿ 40); B and C: Calcospherules in the submucosal layer (Hematoxylin-eosin stain, original magnification ¡¿ 100).


[±â»ýÃæ ¹Ú»ç ÀÌÁØÇà ±³¼öÀÇ comment]

½ºÆÄ¸£°¡´®ÁõÀº ¸¸¼Õ¿­µÎÁ¶Ãæ(Spirometra) À¯Ãæ (Ãæ¹ÌÃæ, plerocercoid)ÀÇ ÀÎü °¨¿°º´À¸·Î ¼¼°èÀûÀ¸·Î ºÐÆ÷ÇÕ´Ï´Ù. ¿ì¸®³ª¶ó´Â ÀÎü½ºÆÄ¸£°¡´®ÁõÀÇ ³óÈÄÇÑ À¯ÇàÁö·Î¼­ ¼¼°èÀûÀ¸·Î Áõ·Ê°¡ °¡Àå ¸¹½À´Ï´Ù. ÃÖ±Ù ´Ù¼Ò °¨¼ÒµÇ°í ÀÖ½À´Ï´Ù.

Á¦1 Áß°£¼÷ÁÖ´Â ¹°º­·èÀ̸ç, »ç¶÷Àº Á¦2 Áß°£¼÷ÁÖÀÎ ¹ì, °³±¸¸® µîÀ» ºÒÃæºÐÇÏ°Ô ÀÍÇô ¸ÔÀ» ¶§ °¨¿°µË´Ï´Ù. ¿ì¸®³ª¶óÀÇ ¹ì Áß¿¡¼­´Â À¯Ç÷¸ñÀÌ(²É¹ì, Rhapdophis tigrina)ÀÇ °¨¿°·üÀÌ °¡Àå ³ô½À´Ï´Ù. °í¾çÀ̳ª °³ÀÇ Àå³»¿¡¼­ ºñ±³Àû ÈçÈ÷ ¼ºÃæÀ» °üÂûÇÒ ¼ö ÀÖ´Ù°í ÇÕ´Ï´Ù.

ÁÖ·Î 20-30´ë ³²ÀÚ°¡ ¹ìÀ» ¸Ô¾î¼­ °¨¿°µË´Ï´Ù. Áõ·ÊÀÇ 20%´Â ¿©ÀÚÀε¥ À̵éÀº °ú°Å·Â»ó ¹ìÀ̳ª °³±¸¸®¸¦ ¸ÔÀº °ÍÀÌ ¾Æ´Ï°í ¾à¼ö µî À½·á¼ö¸¦ ¸¶½Ç ¶§ Á¦1 Áß°£¼÷ÁÖÀÎ ¹°º­·èÀÇ ¿ø¹ÌÃæ(procercoid)ÀÌ Ã¼³»·Î µé¾î¿Í °¨¿°µÇ´Â °ÍÀÔ´Ï´Ù.

Áõ»óÀº ÁÖ·Î ÇÇÇÏ Á¾¹°ÀÔ´Ï´Ù. º¹º®, À½³¶, ÇÏÁö, È亮, À¯¹æ, º¹°­, ô¼ö, ¾È±¸, ³ú µî ¾È °¡´Â °÷ÀÌ ¾ø½À´Ï´Ù. Àú´Â inguinal mass¿Í spinal involvement¸¦ ȯÀÚ¸¦ consult·Î °æÇèÇÑ ÀûÀÌ ÀÖ½À´Ï´Ù.

À§Àå°ü Á¡¸·ÇÏÁ¾¾çÀ¸·Î ³ªÅ¸³ª´Â °æ¿ìµµ ÀÖ½À´Ï´Ù. 1999³â ¼­¿ï¾Æ»êº´¿ø Á¤ÈÆ¿ë ±³¼ö´ÔÀº À§Á¡¸·ÇÏÁ¾¾çÀ¸·Î ¹ßÇöÇÑ ½ºÆÄ¸£°¡´®ÁõÀ» º¸°íÇÑ ¹ÙÀÖ½À´Ï´Ù (´ëÇѼÒÈ­±â³»½Ã°æÇÐȸÁö 1999;19:783. 2009³â °æÈñ´ëÇб³¿¡¼­ Ç÷º¯À¸·Î ³»¿øÇÑ È¯ÀÚÀÇ ´ëÀå³»½Ã°æ¿¡¼­ hematoma ÇüÅ·Π¹ßÇöÇÑ ½ºÆÄ¸£°¡´®ÁßÀ» º¸°íÇÑ ¹Ù ÀÖ½À´Ï´Ù (´ëÇѳ»°úÇÐȸÁö 2009;77:616). »ç¶÷ÀÇ Àå³»¿¡¼­µµ ¼ºÃæÀ¸·Î ÀÚ¶ö ¼ö ÀÖÀ¸¸ç (spirometriasis), ±¹³»¿¡¼­ 2 Áõ·Ê°¡ º¸°íµÇ¾ú½À´Ï´Ù. ÀϺ»¿¡¼­µµ ¸î °ÇÀÇ Áõ·Ê°¡ º¸°íµÇ¾ú½À´Ï´Ù.

¾àÀº ¾ø½À´Ï´Ù. ¿Ü°úÀû ÀûÃâ¼úÀÌ À¯ÀÏÇÑ Ä¡·á¹ýÀÔ´Ï´Ù. Çѹø ¼ö¼úÇÑ´Ù°í ³¡³ª´Â ÀÏÀÌ ¾Æ´Õ´Ï´Ù. ¼ö½Ã·Î Ãâ¸ôÇÏ´Â ½ºÆÄ¸£°¡´® ¶§¹®¿¡ 7³â°£ ¿©¼¸ Â÷·Ê ¼ö¼úÇÑ È¯ÀÚµµ ÀÖ¾ú½À´Ï´Ù.

¿ì¸®³ª¶ó¿¡¼­´Â À½½ÄÀÌ ²÷±â´Â ÇѰè»óȲ ÈÆ·Ã µî ±º´ë¿¡¼­ ¹ìÀ̳ª °³±¸¸®¸¦ ¸Ô°í ³ªÁß¿¡ ½ºÆÄ¸£°¡´®ÁõÀÌ ¹ß»ýÇÏ´Â »ç¶÷ÀÌ ¸¹½À´Ï´Ù. ¹ý¿ø¿¡¼­´Â ÀÌ·¯ÇÑ °æ¿ì¸¦ '°ø¹«»ó Áúº´'À¸·Î ºÐ·ùÇϰí ȯÀÚ¸¦ '±¹°¡À¯°øÀÚ'·Î ÀÎÁ¤Çϰí ÀÖ½À´Ï´Ù. (°ü·Ã ±â»ç).

* Âü°í: EndoTODAY ½ºÆÄ¸£°¡´®


6. Early gastric cancer combined with subepithelial lesion (ºÎ»ê´ëÇб³ ¹ÚÈ£ÁØ)


[ÀÌÁØÇà comment]

¸î ³â Àü Àúµµ SMT Ç¥¸é¿¡ neoplastic lesionÀÌ ÀÖ¾î ³»½Ã°æÀ¸·Î Ä¡·áÇÑ °æ¿ì°¡ ÀÖ¾ú½À´Ï´Ù. ½Äµµ high grade dysplasia¶ó´Â Á¶Á÷Áø´ÜÀ¸·Î ¿À¼Ì´Âµ¥, SMT À§¿¡ HGD°¡ À§Ä¡ÇÑ ¸ð¾çÀ̾ú½À´Ï´Ù. ³»½Ã°æÀýÁ¦¼úÀ» ÇÏ¿´°í °á°ú´Â ÁÁ¾Ò½À´Ï´Ù. ³»½Ã°æ »çÁø, º´¸® »çÁø, º´¸® °á°úÀÔ´Ï´Ù.

Esophagus, low, endoscopic mucosal resection :
Squamous dysplasia, high grade:
    1) size: longest diameter: 11mm, vertical diameter: 8mm
    2) gross type: flat
    3) negative resection margins
Leiomyoma


[References]

1) ³»½Ã°æÇÐȸ ÇмúÇà»ç on-line Áß°è

© ÀÏ¿ø³»½Ã°æ±³½Ç ¹Ù¸¥³»½Ã°æ¿¬±¸¼Ò ÀÌÁØÇà. EndoTODAY Endoscopy Learning Center. Lee Jun Haeng.