Home | EndoTODAY | EndoATLAS

Beginner | ESA | Schedule | OPD

Seminars | Atlas | Recent | Links

EndoTODAY ³»½Ã°æ ±³½Ç


[Gastric cancer 973. DLBCLµµ Á¼¾ÆÁú ¼ö ÀÖ´Ù] - ðû

Previous | Next

001 | 101 | 201 | 301 | 401 | 501 | 601 | 701 | 801 | 901 | 1000


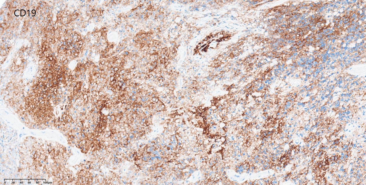
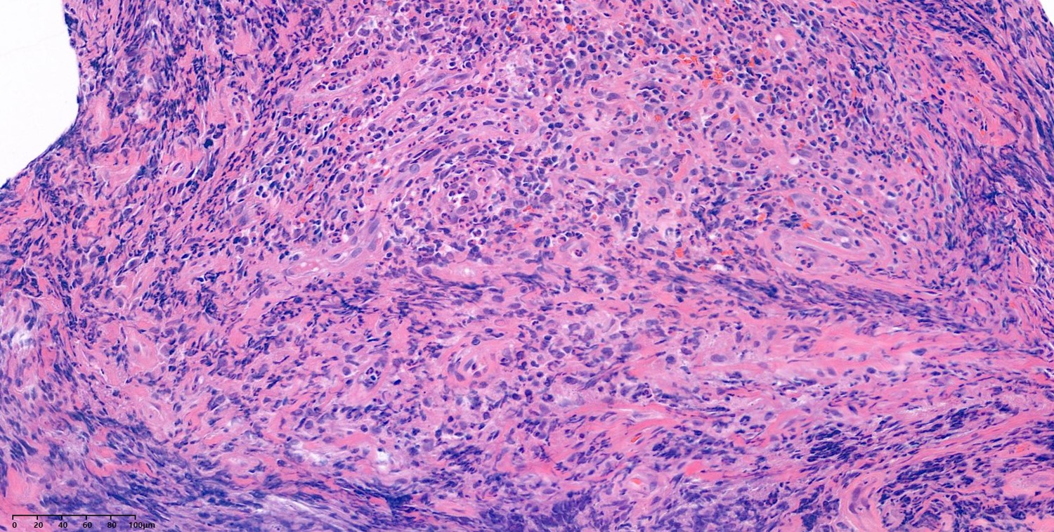
DLBCLµµ Á¼¾ÆÁú ¼ö ÀÖ½À´Ï´Ù. À§Ã¼ÇϺÎÀÇ ÇùÂøÀ» µ¿¹ÝÇÑ Á¾¾çÀ̰í DLBCL¿´½À´Ï´Ù.

R-CHOP 3 cycle ÈÄ ¸¶Ä¡ pseudopyloric ring ó·³ Á» ´õ Á¼¾ÆÁ³½À´Ï´Ù.

© ÀÏ¿ø³»½Ã°æ±³½Ç ¹Ù¸¥³»½Ã°æ¿¬±¸¼Ò ÀÌÁØÇà. EndoTODAY Endoscopy Learning Center. Lee Jun Haeng (2026-4-27)