Home | EndoTODAY | EndoATLAS

Beginner | ESA | Schedule | OPD

Seminars | Atlas | Recent | Links

EndoTODAY ³»½Ã°æ ±³½Ç


[Viral esophagitis. ¹ÙÀÌ·¯½º ½Äµµ¿°] - ðû

2023-7-11. Á¦7Â÷ KSGE webinar. log-in é©

1. Herpetic esophagitis Ç츣Æä½º ½Äµµ¿°

2. CMV esophagitis

3. CMV esophagitis in immunocompetent adults

4. CMV + Herpes Áߺ¹ °¨¿°

5. FAQ


¹ÙÀÌ·¯½º ½Äµµ¿°(CMV, herpetic)À» ¼³¸íÇϴµ¥ °¡Àå ¸¹ÀÌ ÀÌ¿ëµÇ´Â ±×¸²ÀÔ´Ï´Ù. HerpeticÀº vesicleÀ» Çü¼ºÇÏ´Ù°¡ ÅÍÁ®¼­ ±Ë¾çÀÌ »ý±âÁö¸¸ ±Ë¾çÀÇ marginÀÌ ´Ù¼Ò ¿Ã¶ó¿ÍÀÖ°í ±× ºÎÀ§¿¡ ¹ÙÀÌ·¯½º°¡ À§Ä¡ÇÕ´Ï´Ù. CMV´Â À¶±âµÈ margin ¾øÀÌ °©Àڱ⠱˾çÀÌ ÀÖ°í ±Ë¾ç ¹Ù´Ú¿¡ ¹ÙÀÌ·¯½º°¡ À§Ä¡ÇÕ´Ï´Ù.


1. Herpetic esophagitis

2022³â À̳뿣 À¥¼¼¹Ì³ª

47ȸ ³»½Ã°æÇÐȸ ¼¼¹Ì³ª °í½Å´ëÇб³ ¹Ú¹«ÀÎ ±³¼ö´Ô °­ÀÇ·Ï¿¡¼­ ¿Å±é´Ï´Ù.

Ç츣Æä½º ½Äµµ¿°(Herpetic esophagitis)ÀÇ Ãʱ⿡´Â 3-5 mm Á¤µµÀÇ ÀÛÀº ±¸Áø ¶Ç´Â ¼öÆ÷°¡ º¸À̴µ¥ ±× ÁÖº¯ºÎ´Â ¹ßÀûÀ» º¸À̳ª º´º¯ »çÀÌÀÇ Á¡¸·Àº Á¤»óÀÌ´Ù. Á¡Â÷ ÁøÇàÇϸ鼭 ¼öÆ÷°¡ ¹Ì¶õ ¶Ç´Â ±Ë¾çÀ¸·Î ¹ßÀüÇÑ´Ù. ±Ë¾çÀº µÕ±Û°í ÁÖº¯ºÎ¿Í °æ°è°¡ ¸íÈ®Çϸç ÁÖÀ§Á¡¸·º¸´Ù ¾à°£ À¶±âµÇ¾î ÀÖ´Ù. ±Ë¾çÀÇ ±âÀúºÎ´Â ¹éȲ»öÀÇ »ïÃâ¹°·Î µ¤¿© Àִµ¥ À¶ÇÕÇÏ¿© Å« ±Ë¾çÀ» Çü¼ºÇϱ⠵µ ÇÑ´Ù. ÀÌ °æ¿ì ±Ë¾çÀº ½ÄµµÀÇ Á¾Ãà ¹æÇâÀ¸·Î »ý±â´Â °æÇâÀÌ ÀÖ´Ù.

ÀüÇüÀûÀÎ Ç츣Æä½º ½Äµµ¿°

ÀüÇüÀûÀÎ Ç츣Æä½º ½Äµµ¿°

Áï ÀÛÀº ´Ù¹ß¼ºÀÇ ºÐÈ­±¸ ¸ð¾ç ±Ë¾ç(volcano-like ulcer)ÀÌ Æ¯Â¡ÀÔ´Ï´Ù. ÁÖº¯ Á¡¸·ÀÇ ¹°ÁýÀÌ ÀÖÀ¸¸é °ÅÀÇ È®½ÇÇÕ´Ï´Ù (Presence of vesicles in mucosa is virtually diagnostic of HSV). ±¸°­À̳ª ÀÔ¼ú¿¡ Ç츣Æä½º ±Ë¾çÀÌ µ¿¹ÝµÇ¾î À־ °ÅÀÇ È®½ÇÇÏ´Ù°í ÇÒ ¼ö ÀÖ½À´Ï´Ù. ´ëÇк´¿ø¿¡´Â ¸é¿ª¾ïÁ¦ ȯÀÚ°¡ ¸¹Áö¸¸ °³¾÷°¡¿¡´Â ¸é¿ª¾ïÁ¦ÀÚ°¡ ¾Æ´Ñ ºÐ¿¡¼­ ¹ß°ßµÇ´Â Ç츣Æä½º ½Äµµ¿°À» Á¾Á¾ º¸°Ô µË´Ï´Ù.

½ÄµµÁúȯ ³»½Ã°æ¾ÆÆ²¶ó½º 1±Ç 2È£

Ç츣Æä½º ½Äµµ¿° ȯÀÚÀÇ ±¸°­³» Ç츣Æä½º º´¼Ò

Volcano-type ulceró·³ ÁÖº¯ÀÌ ¾à°£ À¶±âµÈ °æ¿ìµµ ÀÖÁö¸¸ ±×·¸Áö ¾ÊÀº °æ¿ìµµ À־ ¾î¶² ´ë¸¸ Àǻ簡 ¾Æ·¡¿Í °°Àº ºÐ·ù¸¦ Á¦¾ÈÇÑ ¹Ù ÀÖ½À´Ï´Ù. °ÅÀÇ »ç¿ëµÇÁö ¾Ê½À´Ï´Ù¸¸...

Wang. Medicine 2016

¸é¿ª±â´ÉÀÌ Á¤»óÀÎ ºÐ¿¡¼­ Ç츣Æä½º ½Äµµ¿°Àº ´ëºÎºÐ ÀüÇüÀûÀÎ ¸ð½ÀÀÔ´Ï´Ù. ¸é¿ª¾ïÁ¦ ȯÀÚ¿¡¼­´Â ºñÀüÇüÀûÀÌ°í ½ÉÇÑ Ç츣Æä½º ½Äµµ¿°À» º¸ÀÌ´Â °æ¿ì°¡ ¸¹½À´Ï´Ù. CMV¿Í °¨º°ÀÌ ¾î·Á¿ï ¼ö ÀÖ½À´Ï´Ù.

À§¾ÏÀ¸·Î subtotal gastrectomy ¹ÞÀº ȯÀÚÀÇ °æÇÑ Áõ»óÀ» °¡Áø herpetic esophagitis. ¿Ü·¡±â¹ÝÀ¸·Î Valaciclovir 1,000 mg 1ÁÖ Åõ¾àÀ¸·Î È£ÀüµÊ

À§¾ÏÀ¸·Î total gastrectomy ¹ÞÀº ȯÀÚ

Churg Strauss syndrome ȯÀÚ

½ÅÀåÀÌ½Ä È¯ÀÚ

°£ÀÌ½Ä È¯ÀÚ

°£ÀÌ½Ä È¯ÀÚ

°£ÀÌ½Ä È¯ÀÚÀÇ Ç츣Æä½º ½Äµµ¿°. ÇϺνĵµ¸¸ º¸¸é À졧 CMV ½Äµµ¿° °°À¸³ª Áߺνĵµ¿¡´Â ÀÛÀº ÀüÇüÀûÀÎ ¼öÆ÷°¡ ÅÍÁø µíÇÑ Ç츣Æä½º ½Äµµ¿° º´¼Ò°¡ ÀÖÀ½.

À§¾Ï ¼ö¼ú ÈÄ °æ°ú°üÂû ÁßÀε¥ heartburn-like Áõ¼¼·Î ½ÃÇàÇÑ ³»½Ã°æÀÔ´Ï´Ù. »óÀýÄ¡ 28-32 cm ºÎÀ§ÀÇ ´Ù¹ß¼º shallow ulcerÀÔ´Ï´Ù. Á¶Á÷°Ë»ç¿¡¼­ Herpetic esopahgitis·Î È®ÀεǾú½À´Ï´Ù. Acyclovir (Á¶ºñ¶ô½º) Åõ¾àÇÏ¿´½À´Ï´Ù.

¹éÇ÷º´À¸·Î PBSCT ¹ÞÀº ºÐÀÔ´Ï´Ù. À°¾È¼Ò°ß ÀǰŠCMV esophagitis¸¦ ÀǽÉÇÏ¿´À¸³ª Á¶Á÷°Ë»ç¿¡¼­´Â herpetic esophagitis·Î È®ÀεǾú½À´Ï´Ù.

°£ÀÌ½Ä È¯ÀÚ·Î herpetic esophagitis¿Í CMV gastritis/ulcer°¡ µ¿½Ã¿¡ Áø´ÜµÇ¾ú½À´Ï´Ù.


[Pathology findings from Pathology Outlines]


2. CMV esophagitis

47ȸ ³»½Ã°æÇÐȸ ¼¼¹Ì³ª °í½Å´ëÇб³ ¹Ú¹«ÀÎ ±³¼ö´Ô °­ÀÇ·Ï¿¡¼­ ¿Å±é´Ï´Ù.

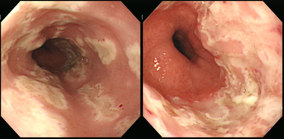
°Å´ë¼¼Æ÷¹ÙÀÌ·¯½º ½Äµµ¿°(Cytomegalovirus esophagitis)Àº ´ëºÎºÐ ¸é¿ªÀÌ ÀúÇÏµÈ È¯ÀÚ¿¡¼­ ¹ß»ýÇÑ´Ù. ÇϺνĵµ¿¡ Ä¿´Ù¶õ ±Ë¾çÀ» Çü¼ºÇϴµ¥ º¸Åë 2-3 cm Å©±âÀÇ µµ·Á³½ µíÇÑ ±Ë¾çÀ¸·Î ±íÀÌ´Â ¾èÀ¸¸ç ´Ü¹ß ¶Ç´Â ´Ù¹ß¼ºÀÌ´Ù. ÁÖÀ§¿Í °æ°è°¡ ¸íÈ®Çϰí ÁÖº¯Á¡¸·Àº ¿°Áõ¼º º¯È­¸¦ º¸ÀÌÁö ¾Ê¾Æ¼­ ºÎÁ¾ÀÌ °ÅÀÇ ¾ø´Ù.

ÇÑ review¿¡¼­ CMV esophagitis´Â ´ÙÀ½°ú °°ÀÌ ¼³¸íµÇ¾î ÀÖ½À´Ï´Ù. "... large solitary ulcers or erosions seen in the distal esophagus. Ulcers seen in CMV infection tend to be linear or longitudinal and deep."

°£ÀÌ½Ä È¯ÀÚ

Hemiplegia after intracranial hemorrhage

°£¼¼Æ÷¾Ï ȯÀÚ

AIDS ȯÀÚ CMV esophagitis after CCRT for small cell lung cancer

Multiple myeloma

2016³â 10¿ù 27ÀÏ ¸ñ¿äÁ¡½É³»½Ã°æÁý´ãȸ ¼Ò¼¼Æ÷Æó¾ÏÀ¸·Î definitive CCRT¸¦ ¹ÞÀº ȯÀÚ·Î neutropenia »óÅ¿¡¼­ dysphagia°¡ ¹ß»ýÇÏ¿´½À´Ï´Ù. »óÀýÄ¡·ÎºÎÅÍ 23-30cm º´¼Ò¿´½À´Ï´Ù. RT-induced esophagitis¸¦ »ý°¢ÇϽŠºÐµµ °è¼ÌÀ¸³ª °æ°è°¡ ¸í·áÇÏÁö¸¸ ¾à°£ Áöµµ»óÀ» º¸ÀÌ´Â Á¡, ¹æ»ç¼± Ä¡·á ÈÄ ÀüÇüÀûÀÎ edema´Â º°·Î ¾ø´Ù´Â Á¡, Ç¥¸éÀÌ viral esophagitis¿Í À¯»çÇÏ´Ù´Â Á¡À» °í·ÁÇÑ´Ù¸é CMV ½Äµµ¿°À» ¸ÕÀú »ý°¢ÇØ¾ß ÇÏ´Â Áõ·ÊÀÔ´Ï´Ù.

CIPD (chronic demyelinating polyradiculopathy)·Î IVIG°ú MMF¸¦ »ç¿ëÇÏ´ø ȯÀÚÀÇ CMV esophagitis ù ³»½Ã°æ. IV ganciclovir¿Í oral valganciclovir »ç¿ëÇÏ¿´°í Áõ»óÀº È£ÀüµÇ¾úÀ¸³ª ÃßÀû°Ë»ç¿¡¼­ ±Ë¾çÀº ³²¾ÆÀÖ¾úÀ½ (»çÁø ¾øÀ½).


3. Á¤»ó¸é¿ªÀÚÀÇ CMV esophagitis

Odynophagia·Î ³»¿øÇϽŠ¸é¿ª±â´ÉÀÌ Á¤»óÀÎ ¼ºÀÎÀ¸·Î ½ÄµµÁ¶Á÷°Ë»ç¿¡¼­ CMV esophagitis·Î È®ÁøÀ» ÇÒ ¼ö ÀÖ¾ú´ø ¿¹ÀÔ´Ï´Ù. À̹ø Áõ·Ê¿¡¼­ÀÇ °í¹Î°Å¸®´Âganciclovir Åõ¿© ÈÄ ¾ÆÁÖ »¡¸® Áõ»óÀÌ ÁÁ¾ÆÁ³±â ¶§¹®¿¡ Ç×¹ÙÀÌ·¯½º ¾àÁ¦¸¦ »ç¿ë±â°£À» °áÁ¤Çϱ⠾î·Á¿ü´Ù´Â Á¡À̾ú½À´Ï´Ù. Sleisenger Ã¥¿¡´Â ´ÙÀ½°ú °°ÀÌ ±â¼úµÇ¾î ÀÖ½À´Ï´Ù. ¡°With mild CMV disease in immunocompetent adults, treatment is unnecessary. In immunocompromised patients, antiviral therapy is indicated. Ganciclovir, a guanosine nucleoside analog with a much longer intracellular half-life than that of acyclovir, has proved to be the most effective agent. The major toxic effect is bone marrow suppression, particularly granulocytopenia. Because viremia correlates with disease outcome, ganciclovir should be continued until CMV antigenemia is undetectable. For patients resistant to or intolerant of ganciclovir, alternative agents include foscarnet and cidofovir.¡± MildÇÑ °æ¿ì´Â ¾Æ´Ï¹Ç·Î ¾àÀ» »ç¿ëÇÏ´Â °ÍÀº Ÿ´çÇÏ´Ù°í »ý°¢µÇ´Âµ¥, ±× ±â°£Àº ¿©ÀüÈ÷ °í¹ÎÀÌ ¾Æ´Ò ¼ö ¾ø¾ú½À´Ï´Ù.

¸é¿ª¾ïÁ¦È¯ÀÚ¿¡¼­ÀÇ Åë»óÀûÀÎ Åõ¿©±â°£Àº 10-14ÀÏÀÔ´Ï´Ù¸¸ (Åë»ó ¾àÀ» ²÷±â Àü¿¡ CMV viremia°¡ ¼Ò½ÇµÇ¾úÀ½À» È®ÀÎÇÑ´Ù), Áõ»óÀÌ ±Þ°ÝÈ÷ È£ÀüµÈ Á¤»ó¸é¿ª ¼ºÀο¡¼­ÀÇ Åõ¾à±â°£ ÁöħÀº ¶Ñ·ÇÇÏÁö ¾Ê´Ù°í »ý°¢µË´Ï´Ù. Åõ¾à±â°£À» ª°Ô ÇÏ°í ³»½Ã°æ °Ë»ç¿¡¼­ È£ÀüÀ» È®ÀÎÇÏ´Â °Íµµ ÇϳªÀÇ Àü·«ÀÌ µÈ´Ù°í ¿©°ÜÁý´Ï´Ù. ¿À·¡µÈ Áõ·Êº¸°í¿¡¼­ ¿Å±é´Ï´Ù (Åõ¾à±â°£ÀÌ ±æ¾ú½À´Ï´Ù).

"Therapy was started with ganciclovir (5 mg/kg/day) for 15 days. The treatment was well tolerated. A control endoscopy four weeks after treatment showed that the esophageal ulcer had healed. At that time, biopsies from the distal esophagus did not show CMV intranuclear inclusion. (Altman. Dig Dis Sci 1995)"

2016³â 9¿ù 22ÀÏ ¸ñ¿äÁ¡½É³»½Ã°æÁý´ãȸ


4. CMV + Herpes Áߺ¹ °¨¿°

¸é¿ª¾ïÁ¦ÀÚ¿¡¼­´Â CMV¿Í herpesÀÇ Áߺ¹ °¨¿°ÀÌ °¡´ÉÇÕ´Ï´Ù.

°£ÀÌ½Ä È¯ÀÚ. Á¶Á÷°Ë»ç¿¡¼­ CMV (+), Herpes (+)

°£ÀÌ½Ä È¯ÀÚ. Á¶Á÷°Ë»ç¿¡¼­ CMV (+), Herpes (+)

ÀÚ·á Á¦°ø: À̼±¿µ ±³¼ö´Ô


[FAQ]

[2018-4-2. ¿ù¿ä¼ÒÈ­±âÁý´ãȸ comment]

1. ¹«Áõ»ó °æÇÑ Ä­µð´ÙÁõ¿¡¼­ Ç×Áø±ÕÁ¦ Ä¡·á°¡ ÇÊ¿äÇÑÁö´Â ³í¶õÀÌ ÀÖ½À´Ï´Ù (EndoTODAY ½Äµµ Ä­µð´ÙÁõ). ÀÓ»ó ¿¬±¸¿¡¼­´Â ÇÊ¿äÇÏÁö ¾Ê´Ù´Â °á·ÐÀ̾ú½À´Ï´Ù. ±×·¯³ª °á°úÁö¿¡ esophageal candidiasis¶ó ¾º¿© ÀÖ°í Á¶Á÷°Ë»ç¿¡¼­ È®ÀÎµÇ¾î ¿Ü·¡¸¦ ãÀº ȯÀÚ¿¡°Ô Åõ¾àÀÌ ÇÊ¿äÇÏÁö ¾Ê´Ù´Â °ÍÀ» ¼³¸íÇϱâ¶õ ½±Áö ¾Ê½À´Ï´Ù. °ÇÁø ȯÀÚÀ̰í Áö¹æÈ¯ÀÚÀÎ °æ¿ì¿¡´Â ´õ´õ¿í ±×·¯ÇÕ´Ï´Ù. ºñ¾à¹°Ä¡·á¸¦ ±ÇÇÏ´Â °ÍÀº ¾Æ¹« °Íµµ ÇÏÁö ¾ÊÀº °ÍÀ¸·Î °£ÁÖÇϴ ȯÀÚ°¡ ¸¹±â ¶§¹®ÀÔ´Ï´Ù. ¾ÆÁÖ °æÇÑ Ä­µð´ÙÁõÀº »çÁøÀ» Âï°í ¾µÂ½ ³Ñ¾î°¡´Â ¼¾½º!

2. Herpetic°ú CMVÀÇ Á¶Á÷°Ë»ç À§Ä¡°¡ ´Ù¸£Áö¸¸ ½ÇÁ¦ °Ë»çÇÏ´Â ½ÃÁ¡¿¡¼­´Â Á¤È®È÷ ±¸ºÐÇÒ ¼ö ¾ø½À´Ï´Ù.

3. Herpetic esophagitis°¡ ÀǽɵǴµ¥ Á¶Á÷°Ë»ç¿¡¼­ ³ª¿ÀÁö ¾Ê´Â °æ¿ìµµ ¸¹½À´Ï´Ù.

[2023-5-28] ¸çÄ¥ Àü ÀÖ¾ú´ø KSGE webinar ½Äµµ ¾ç¼ºÁúȯÀ» ¸®ºäÇß½À´Ï´Ù. ½Ç½Ã°£À» µè´Â °Íº¸´Ù ÈξÀ È¿°úÀûÀÔ´Ï´Ù. õõÈ÷ ´Ù½Ãº¸±â Çϸ鼭 °øºÎÇÒ ¼ö ÀÖÀ¸¹Ç·Î


[References]

1) Á¦7Â÷ KSGE webinar 2023-7-11. log-in é©

© ÀÏ¿ø³»½Ã°æ±³½Ç ¹Ù¸¥³»½Ã°æ¿¬±¸¼Ò ÀÌÁØÇà. EndoTODAY Endoscopy Learning Center. Lee Jun Haeng.