Home | EndoTODAY | EndoATLAS

Beginner | ESA | Schedule | OPD

Seminars | Atlas | Recent | Links

EndoTODAY ³»½Ã°æ ±³½Ç


[Lymphangiectasia. ¸²ÇÁ°üÈ®ÀåÁõ] - ðû

1. Introduction to intestinal lymphangiectasia µµÀÔ

2. Duodenal lymphangiectasia ³»½Ã°æ¿¡¼­ ¿ì¿¬È÷ ¹ß°ßµÇ´Â ½ÊÀÌÁöÀå ¸²ÇÁ°üÈ®ÀåÁõ

3. Transient duodenal lymphangiectasia Áö¹æ½Ä ÈÄ ÀϽÃÀûÀÎ ½ÊÀÌÁöÀå ¸²ÇÁ°üÈ®ÀåÁõ

4. Small bowel bleeding due to multiple lymphangiectasia ÃâÇ÷

5. Primary intestinal lymphangiectasia with generalized warts »ç¸¶±Í

6. Lymphangioma ¸²ÇÁ°üÁ¾

7. References


1. Introduction to intestinal lymphangiectasia

Intestinal lymphangiectasia¿¡ ´ëÇÑ °³·«ÀûÀÎ ÀÌÇØ¸¦ À§Çؼ­´Â »ï¼º¼­¿ïº´¿ø ¼Ò¾ÆÃ»¼Ò³â°ú ±è¹ÌÁø ±³¼ö´ÔÀÇ 2021³â Á¾¼³À» ÃßõÇÕ´Ï´Ù (Pediatr Gastroenterol Hepatol Nutr 2021).

Áø´Ü ¾Ë°í¸®Áò

Ä¡·á ¾Ë°í¸®Áò

Ư±âÇÒ¸¸ÇÑ Á¡Àº lymphatic channel¿¡ ´ëÇÑ radiologic approach ¼ú±â°¡ ¹ßÀüÇÏ¿© lymphatic¿¡ ´ëÇÑ angiographic interventionÀÌ °¡´ÉÇÑ Áõ·Ê°¡ ÀÖ´Ù´Â Á¡ÀÔ´Ï´Ù. Protein losing enteropathy·Î ¿À·¡ °í»ýÇÏ¿´´ø ȯÀÚ¿¡ ´ëÇÑ embolization Ä¡·á°¡ ¼Ò°³µÇ¾ú½À´Ï´Ù. ´ë´ÜÇÑ ÀÏÀÔ´Ï´Ù.

Lymphatic anatomy

Duodenal lymphatic embolization

Diffuse Çϰųª extensiveÇÑ °æ¿ì´Â ¿©ÀüÈ÷ diet¿Í ¾à¹°Ä¡·á¿¡ ÀÇÁ¸ÇÒ ¼ö ¹Û¿¡ ¾ø½À´Ï´Ù. Ư±âÇÒ¸¸ÇÑ Á¡Àº lymphatic channel¿¡ ´ëÇÑ radiologic approach ¼ú±â°¡ ¹ßÀüÇÏ¿© lymphatic¿¡ ´ëÇÑ angiographic interventionÀÌ °¡´ÉÇÑ Áõ·Ê°¡ ÀÖ´Ù´Â Á¡ÀÔ´Ï´Ù. Protein losing enteropathy·Î ¿À·¡ °í»ýÇÏ¿´´ø ȯÀÚ¿¡ ´ëÇÑ embolization Ä¡·á°¡ ¼Ò°³µÇ¾ú½À´Ï´Ù. ´ë´ÜÇÑ ÀÏÀÔ´Ï´Ù.

¾à¹°Ä¡·á

Àå±âÀ̽ÄȯÀÚ¿¡°Ô Åõ¿©µÇ´Â ¸é¿ª¾ïÁ¦Á¦À̱⵵ ÇÑ sirolimus°¡ lymphangiectasia¿¡¼­µµ »ç¿ëµË´Ï´Ù. ±è¹ÌÁø ±³¼ö´Ô Á¾¼³(Pediatr Gastroenterol Hepatol Nutr 2021)¿¡´Â ´ÙÀ½°ú °°ÀÌ ¾ð±ÞµÇ¾î ÀÖ½À´Ï´Ù. "Sirolimus is has been used to treat lymphangiectasia. Sirolimus acts directly on lymphatic endothelial cells and changes mammalian target of rapamycin signaling, which suppresses lymphatic sprouting and proliferation, and induces apoptosis. Sirolimus acts directly on lymphatic vessels, but not by controlling lymphatic flow unlike octreotide or dietary therapy."


2. Duodenal lymphangiectasia

ÀüÇüÀûÀÎ º´¸® ¼Ò°ß

°ËÁø ³»½Ã°æ¿¡¼­ ½ÊÀÌÁöÀå À¯¾ÏÁ¾ ÀǽÉÀ¸·Î Á¶Á÷°Ë»ç ¾øÀÌ ÀÇ·ÚµÈ ºÐÀ¸·Î ¿µ ¾Æ´Ñ °Í °°¾Æ¼­ ¸î °³¿ù ÈÄ Àç°ËÀ» ÇÏ¿´°í lymphangiectasia¿´½À´Ï´Ù. ¾à°£ ¾îÀ̾ø´Â ÀÏÀ̾ú½À´Ï´Ù.

¾îµð±îÁö lymphangiectasia·Î ÇÒÁö ¾îµð¼­ºÎÅÍ lymphangioma¶ó°í ÇÒÁö °í¹ÎÀÔ´Ï´Ù¸¸... ¹¹·¡µµ »ó°üÀº ¾ø½À´Ï´Ù. º° ÀÓ»óÀû ÀÇÀÇ´Â ¾øÀ¸¹Ç·Î.

Á¶Á÷°Ë»ç ÈÄ Àá½Ã ÇÏ¾á ¹°ÀÌ ³ª¿Ô½À´Ï´Ù.

Á¶Á÷°Ë»ç ÈÄ Àá½Ã ÇÏ¾á ¹°ÀÌ ³ª¿Ô½À´Ï´Ù. Á¶Á÷º´¸® °á°ú´Â lymphangioma¶ó°í report ¹Þ¾Ò½À´Ï´Ù.

Á¶Á÷°Ë»ç ÈÄ Àá½Ã ÇÏ¾á ¹°ÀÌ ³ª¿Ô½À´Ï´Ù. Á¶Á÷º´¸® °á°ú´Â lymphangiectasia¶ó°í report ¹Þ¾Ò½À´Ï´Ù.

Duodenal lymphangiectasia ÀüÇüÀûÀÎ Á¶Á÷ ¼Ò°ß

Duodenal lymphangiectasia NearFocus ¼Ò°ß (¾Æ·¡ º´¸® ÂüÁ¶)

ÀüÇüÀûÀÎ submucosal empty spaceµéÀÌ º¸ÀÓ


3. ½ÊÀÌÁöÀå Á¡¸·ÀÇ ¹Ì¸¸¼º º¯È­ - ¹é»ö À¶¸ð (white villi) ȤÀº transient duodenal lymphangiectasia

[2015-3-13. ¾Öµ¶ÀÚ Áú¹®]

50´ë ³²¼ºÀÇ °Ç°­°ËÁø ³»½Ã°æÀÔ´Ï´Ù. ½ÊÀÌÁöÀå Á¡¸·ÀÌ 2³â Àü »çÁø°ú ¸Å¿ì ´Ù¸¥ ¸ð½ÀÀ» º¸À̰í ÀÖ¾î ¹®Àǵ帳´Ï´Ù.


2³â Àü »çÁø


ÃÖ±Ù »çÁø

Á¦°¡ º¸±â¿¡´Â Á¡¸·ÀÌ Àü¹ÝÀûÀ¸·Î whitish change¸¦ ÇÏ¿´½À´Ï´Ù. ÀÌ·± °æ¿ì (1) Áø´Ü¸íÀº ¹«¾ùÀ̶ó°í ºÙÀ̸é ÁÁÀ»±î¿ä? (2) ÀÌ·± ¼Ò°ßÀÌ Á¶Á÷°Ë»ç¸¦ ÇØ¾ß ÇÒ º´º¯ÀÎÁö¿ä?


[2015-3-17. ÀÌÁØÇà ´äº¯]

´äº¯ÀÌ ´Ê¾î¼­ Á˼ÛÇÕ´Ï´Ù. Àúµµ ´äÀ» ¾ËÁö ¸øÇÏ¿© ¿©·¯ Àü¹®°¡µé²² ¹®ÀÇÇÏ¿© ´äº¯À» µè°í¼­¾ß ¾Ë ¼ö ÀÖ¾ú½À´Ï´Ù (Àü¹®°¡ ´äº¯).

¿©·¯ ±³¼ö´ÔµéÀÇ ÀǰßÀ» Á¾ÇÕÇÒ ¶§ ÀϺ»¿¡¼­ ¹é»ö À¶¸ð (white villi)¶ó°í ºÎ¸£°í ¿µ¾î±Ç¿¡¼­ transient duodenal lymphangiectasia¶ó°í ºÎ¸£´Â »óȲÀ¸·Î »ý°¢µË´Ï´Ù. ½Ä»ç Á÷Èijª Áö¹æ ºÎÇÏ ÈÄ ÀϽÃÀûÀ¸·Î °üÂûµÇ´Ù°¡ ÀúÀý·Î ÁÁ¾ÆÁö´Â lymphangiectasiaÀÔ´Ï´Ù. Atrophy³ª ÇãÇ÷¼º º¯È­´Â ¾Æ´Õ´Ï´Ù. °£°æº¯À̳ª ¿ì½ÉºÎÀü µîÀ¸·Î ¸²ÇÁ°ü ³»¾ÐÀÌ Ç×ÁøÇØ ÀÖ´Â °æ¿ì¿Í ½ºÅ×·ÎÀÌµå º¹¿ëÀÚ¿¡¼­µµ ³ªÅ¸³¯ ¼ö ÀÖ´Ù°í ÇÕ´Ï´Ù.

Protein losing enteropathy¸¦ µ¿¹ÝÇÑ primary intestinal lymphangiectasia¿Í´Â ÀÓ»óÀûÀ¸·Î ±¸ºÐµË´Ï´Ù. °ÇÁø¿¡¼­ transient duodenal lymphangiectasia°¡ ¹ß°ßµÇ¸é ±â¼úÀº Ç쵂 Á¶Á÷°Ë»ç±îÁö´Â ÇÊ¿äÇÏÁö ¾ÊÀ» °Í °°½À´Ï´Ù. Á¶Á÷°Ë»ç¸¦ Çϸé lymphangiectasia·Î ³ª¿À±âµµ Çϰí duodenitis·Î ³ª¿À±âµµ ÇÕ´Ï´Ù. Àü³¯ Àú³á¿¡ ¾î¶² À½½ÄÀ» µå¼Ì´ÂÁö ¹°¾îº¸¸é °íÁö¹æ½ÄÀ» µå¼Ì´Ù´Â ´äº¯À» µè°Ô µÇÁö ¾ÊÀ»±î¿ä?

Âü°í¹®Çå 1) ±èÁöÇö, ¹Ú¿µÅÂ. Clinical significance of duodenal lymphangiectasia incidentally found during routine upper gastrointestinal endoscopy. Endoscopy 2009;41:510

Âü°í¹®Çå 2) ¾çÅ¿µ, ¹ÚÈ¿Áø. ½ÊÀÌÁöÀå Á¦ ºÎ¿¡¼­ Á¡¸· ¹é»ö º¯Á¶ÀÇ ÀÇÀÇ. ´ëÇѼÒÈ­°ü¿îµ¿ÇÐȸÁö 2006;12:122


[Ãß°¡ Áõ·Ê]

°Ë»ç ´çÀÏ »õº® ÀÏÂï µé±â¸§°ú ³¯´Þ°¿À» µå½É

À۳⠻çÁø°ú ³Ê¹« ´Þ¶ó ¹°¾îº¸¾Ò´õ´Ï Àü³¯ Àú³á ´Ê°Ô °í±â¸¦ ¸Ô¾ú´Ù°í ÇϽÉ.

40´ë ³²¼ºÀÇ ³»½Ã°æ µµÁß ½ÊÀÌÁöÀåÀÇ Á¡¸·ÀÌ ¾à°£ brownishÇÏ°í ¾ó±¼´ú·èÇÑ ¸ð¾çÀ̾ú½À´Ï´Ù. "¾îÁ¦ Àú³á »ï°ã»ìÀ» µå½Å ¸ð¾çÀ̱º"ÇÏ°í °£È£»ç¿¡°Ô À̾߱âÇÏ¿´´Âµ¥, sedation¿¡¼­ ȸº¹ÇÑ ÈÄ È¯ÀÚ¿¡°Ô ¹°¾îº¸´Ï Á¤¸»·Î ¾îÁ¦ Àú³á »ï°ã»ìÀ» ¸Ô¾ú´Ù°í ´äÇÏ¿´½À´Ï´Ù. Àú¸¦ µµ¿Í ÁØ °£È£»çµéÀÌ ±ô¦ ³î¶ú½À´Ï´Ù. °Ë»ç Àü Áö¹æ½ÄÀ» ¸¹ÀÌ µå½Å °æ¿ì ³ªÅ¸³ª´Â ¼Ò°ßÀε¥ ¿ì¸®³ª¶ó °ÇÀåÇÑ 40´ë ³²¼ºÀ̶ó¸é È®·ü»ó »ï°ã»ìÀÏ °æ¿ì°¡ ¸¹À» °Í °°½À´Ï´Ù.


4. Small bowel bleeding due to multiple lymphangiectasia (EndoTODAY 20130701)

40´ë ¿©ÀÚ È¯ÀÚ·Î Ç÷º¯À» ÁÖ¼Ò·Î ³»¿øÇÏ¿´½À´Ï´Ù. À§, ´ëÀå ³»½Ã°æ °Ë»ç °á°ú¿¡´Â ƯÀ̼ҰßÀÌ ¾ø¾î ¼ÒÀå ³»½Ã°æ °Ë»ç¸¦ ½ÃÇàÇÏ¿´°í, »çÁø°ú °°Àº º´º¯ÀÌ ¼ÒÀå¿¡ »êÀçÇØ ÀÖ´Â °ÍÀ» ¹ß°ßÇÏ¿´½À´Ï´Ù. ȯÀÚ lymphangiectasia Áø´ÜÀ¸·Î »öÀü¼úÀ» ½ÃµµÇÏ¿´À¸³ª ÁöÇ÷µÇÁö ¾Ê¾Æ °á±¹ ¼ö¼úÀ» ÇÏ¿´½À´Ï´Ù.

À帲ÇÁ°üÈ®ÀåÁõÀº ¼±ÃµÀû ¶Ç´Â ÀÌÂ÷ÀûÀ¸·Î È®ÀåµÈ ¸²ÇÁ°üÀ» ÅëÇØ Ç÷Àå´Ü¹é, chylomicrons, ¸²ÆÄ±¸ µîÀÌ Àå³»·Î ºüÁ®³ª°¡ ´Ü¹é»ó½Ç¼º ÀåÁúȯÀ» ÃÊ·¡ÇÏ´Â ÁúȯÀÔ´Ï´Ù. ÀÌÂ÷ÀûÀÎ °æ¿ìÀÇ ´ëÇ¥Àû ¿øÀÎÀ¸·Î´Â Èĺ¹¸· ¼¶À¯Áõ, ¸¸¼º ÃéÀå¿°, Àå°£¸· °áÇÙ ¶Ç´Â À¯À°Á¾Áõ, Å©·Ðº´, ÃéÀå¾Ï ¶Ç´Â ¸²ÇÁÁ¾ µî°ú °°Àº Èĺ¹¸· Á¾¾ç µîÀÌ ÀÖÀ¸¸ç, ¼öÃ༺ ½É¸·¿°, ¿ìÃø¼º ½ÉºÎÀü°ú °°ÀÌ ÁÂÃø ¼â°ñÇÏÁ¤¸ÆÀÇ ¾Ð·ÂÀ» ³ôÀÌ´Â °æ¿ìµµ ¹ß»ýÇÒ ¼ö ÀÖ½À´Ï´Ù.

º» Áõ·Ê´Â 12³âÀü Àڱ󻸷¾ÏÀ¸·Î ¹üÀڱó­¼ÒÀýÁ¦¼ú ÈÄ ¹æ»ç¼±Ä¡·á º´·ÂÀÌ ÀÖ¾î ÀÌ·Î ÀÎÇÑ ÀÌÂ÷ÀûÀÎ À帲ÇÁ°üÈ®ÀåÁõ °¡´É¼ºµµ ÀÖ½À´Ï´Ù. ±×·¯³ª ÁßÇб³ ¹× °íµîÇб³ ÀçÇнÃÀý ¶§ºÎÅÍ Ç÷»ö¼Ò 3g/dLÁ¤µµÀÇ ºóÇ÷ ÀÖ¾úÀ¸¸ç ÀÌ ´ç½Ã ½ÃÇàÇÑ Á¾ÇÕÀûÀÎ °Ë»ç»ó ºóÇ÷ÀÇ ¿øÀÎÀ» ãÁö ¸øÇß´Ù°í Çϸç Áø´Ü ´ç½Ã ´Ù¸¥ ¼±Çà º´º¯ÀÇ º´·ÂÀ̳ª Áõ°Å°¡ ¾ø´Â Á¡À» °í·ÁÇÏ¿© ÀÏÂ÷¼º À帲ÇÁ°üÈ®ÀåÁõÀÇ °¡´É¼ºÀÌ ´õ ³ô´Ù°í »ý°¢ÇÏ¿´½À´Ï´Ù.

À帲ÇÁ°üÈ®ÀåÁõÀº Àú´Ü¹éÇ÷ÁõÀ¸·Î ÀÎÇÑ ºÎÁ¾, º¹Åë°ú º¹ºÎÆØ¸¸, ±¸Åä, ¼³»ç µîÀ» ÁÖÁõ»óÀ¸·Î ÇÕ´Ï´Ù. ÁÖ·Î ÀþÀº ³ªÀÌÀÇ È¯ÀÚ¿¡¼­ ºÎÁ¾ÀÌ ÀÖÀ¸¸é¼­ ½ÅÀå ¶Ç´Â °£ÁúȯÀ¸·Î ¼³¸íµÇÁö ¾Ê´Â ½ÉÇÑ Ç÷û´Ü¹éÀÇ °¨¼Ò°¡ µ¿¹ÝµÉ ¶§ ÀǽÉÇØ º¼ ¼ö ÀÖÀ¸³ª º» Áõ·Êó·³ À§Àå°ü ÃâÇ÷À» ÀÏÀ¸Å°´Â °æ¿ì´Â ¸Å¿ì Àû½À´Ï´Ù. À§Àå°ü ÃâÇ÷À» ÀÏÀ¸Å°´Â ±âÀüÀ¸·Î´Â ¼ÒÀåÀ¸·ÎºÎÅÍ À¯¹ÌÀÇ Á¤»óÈ帧ÀÇ Æó¼â°¡ ³»°­ÀÇ ¾Ð·ÂÀ» ³ôÇô ÀáÀçµÇ¾îÀÖ´Â ¸²ÇÁ-Á¤¸Æ ¿¬°á(lymphatic-venous connections)ÀÌ °³¹æµÇ°Å³ª, ¸²ÇÁ-µ¿¸Æ ¿¬°á(lymphatic-arterial connections)ÀÌ °³¹æµÇ´Â °æ¿ì, ±×¸®°í µÎ °¡Áö ¸ðµÎ µ¿½Ã¿¡ °³¹æµÇ¾î ¹ß»ýÇÑ´Ù°í Á¦½ÃµÈ ¹Ù ÀÖ½À´Ï´Ù. º» Áõ·Ê¿¡¼­´Â ÀúÇ÷¾ÐÀ» µ¿¹ÝÇÑ ´Ù·®ÀÇ ÃâÇ÷ÀÌ ÀÖ¾ú´ø °ÍÀ¸·Î ¹Ì·ç¾î º¸¾Æ ¸²ÇÁ-Á¤¸Æ ¿¬°áº¸´Ù´Â ¸²ÇÁ-µ¿¸Æ ¿¬°áÀÌ ÀÖÀ» °ÍÀ¸·Î ÃßÁ¤µË´Ï´Ù. ±×·¯³ª Á¶Á÷ °Ë»ç»ó À§ÀÇ ¿¬°á ¼Ò°ßÀÌ º¸ÀÌÁö ¾Ê¾ÒÁö¸¸, ¿ïÇ÷À» µ¿¹ÝÇÑ È®ÀåµÈ ¸²ÇÁ°üÀº °üÂûµÇ¾î Á¶Á÷°Ë»ç°¡ ½ÃÇàµÇÁö ¾ÊÀº ´Ù¸¥ ºÎÀ§¿¡ °³¹æµÈ ¸²ÇÁ-µ¿¸Æ ¿¬°áÀÌ ÀÖÀ» °ÍÀÔ´Ï´Ù.

À帲ÇÁ°üÈ®ÀåÁõÀ» Áø´ÜÇϱâ À§Çؼ­´Â ù°, ¹æ»ç¼±µ¿À§¿ø¼Ò ¶Ç´Â ¥á1-antitrypsin Àåû¼ÒÀ²À» ÀÌ¿ëÇÏ¿© À§Àå°üÀ¸·ÎÀÇ ´Ü¹é¼Ò½ÇÀ» ÀÔÁõÇÏ¿©¾ß ÇÏ¸ç µÑ°, °æ±¸ Àå°ü »ý°ËÀ» ÅëÇØ ¼ÒÀåÀÇ È®ÀåµÈ ¸²ÇÁ°üÀÇ ¼Ò°ßÀ» ¾ò¾î¾ß ÇÕ´Ï´Ù. ¶ÇÇÑ º» Áõ·Ê¿¡¼­ °üÂûµÇ¾úµíÀÌ »êÀçµÈ ¹é»ö ¹ÝÁ¡, ¹é»ö À¶¸ð, À¯¹Ì°¡ ºÎÂøµÈ Á¡¸· µîÀÇ Æ¯Â¡ÀûÀÎ ³»½Ã°æ ¼Ò°ß°ú Á¶Á÷°Ë»ç ÈÄ ÇϾá Á¡¾×ÁúÀÌ ¹èÃâµÇ¸éÀå ¸²ÇÁ°üÈ®ÀåÁõÀÇ Áø´Ü¿¡ µµ¿òÀÌ µÉ ¼ö ÀÖ½À´Ï´Ù.

À帲ÇÁ°üÈ®ÀåÁõÀÇ Ä¡·á´Â ³»°úÀûÀÎ Ä¡·á°¡ ¿ì¼±ÀÔ´Ï´Ù. ±âº»¿øÄ¢Àº long chain triglycerideÀÇ ¼·Ãë°¡ Àå³» ¸²ÇÁÀÇ È帧À» Áõ°¡½ÃŰ¹Ç·Î ½ÄÀ̳» Áö¹æÀ» ÁÙÀ̰í medium chain triglyceride¿Í Áö¿ë¼º ºñŸ¹ÎÀ» °ø±ÞÇϰųª °í¿µ¾ç ¼ö¾×¹ýÀ» ½ÃÇàÇÏ´Â °ÍÀÔ´Ï´Ù. À̿ܿ¡µµ ÃÖ±Ù¿¡ trans-AMCHA (trans-4-aminomethylcyclo-hexane caroxylic acid)¿Í °°Àº Ç×ÇöóÁî¹Î Ä¡·á³ª octreotideÀÇ ÇÇÇÏÁֻ簡 º¸°í µÇ¾úÁö¸¸ ¾ÆÁ÷ È®¸³µÈ ¹æ¹ýÀº ¾ø´Â ½ÇÁ¤ÀÔ´Ï´Ù. ³»°úÀû Ä¡·á¿¡¼­ ½ÇÆÐÇÑ °æ¿ì ±¹³»¿¡¼­´Â º¸°í°¡ ¾øÀ¸³ª ±¹¿Ü¿¡¼­´Â »óº¹ºÎÅëÁõ ¹× À§Àå°üÃâÇ÷ÀÌ È£Àü µÇÁö ¾Ê¾Æ ½ÊÀÌÁöÀå ȤÀº ¼ÒÀå¿¡ ¹ß»ýÇÑ ¿ø¹ß¼º À帲ÇÁ°üÈ®ÀåÁõÀ» ¼ö¼úÀû ÀýÁ¦·Î Ä¡·áÇÑ ¿¹µéÀÌ ÀÖ½À´Ï´Ù. º» Áõ·Ê¿¡¼­´Â ¿µ¾ç°áÇÌÀÇ Áõ»óº¸´Ù´Â Áö¼ÓµÇ´Â ´Ù·®ÀÇ ÃâÇ÷·Î ÀÎÇÏ¿© ¹Ù·Î ¼ö¼úÇÏ¿´´ø °æ¿ìÀÔ´Ï´Ù.


5. Primary intestinal lymphangiectasia with generalized warts (2015³â 9¿ù 19ÀÏ ³»½Ã°æÇÐȸ Á¦ÁÖÁöȸ ½ÉÆ÷Áö¾ö)

¾î·ÈÀ» ÀûºÎÅÍ ¼³»ç°¡ ¸¹¾Ò°í 10¼¼ºÎÅÍ Àü½Å »ç¸¶±Í°¡ ¹ß»ýÇÏ¿´°í ÃÖ±Ù ¼³»ç¿Í üÁß°¨¼Ò°¡ ½ÉÇß´ø Áõ·ÊÀÔ´Ï´Ù. Protein losing enteropathy, warts¸¦ PubMed¿¡ ÀÔ·ÂÇÏ¿´´õ´Ï 5°³°¡ °Ë»öµÇ¾ú´Âµ¥ ¸ðµÎ intestinal lymphangiectasia¿Í °ü·ÃµÇ¾î ÀÖ¾ú½À´Ï´Ù. ´Ü¹éÁúÀÌ ºüÁö´Ùº¸´Ï ¸é¿ª·ÂÀÌ ¶³¾îÁ®¼­ ¹ÙÀÌ·¯½º °¨¿°ÀÎ »ç¸¶±Í°¡ ¹ß»ýÇÒ ¼ö ÀÖ´Ù°í ÇÕ´Ï´Ù. ºñ·Ï ¿ÜºÎ ³»½Ã°æ¿¡¼­ ƯÀ̼ҰßÀÌ ¾ø¾ú´ÙÁö¸¸ À§³»½Ã°æ°ú ´ëÀå³»½Ã°æÀ» Àç°ËÇÏ¿© ÀüÇüÀûÀÎ ³»½Ã°æ ¼Ò°ß°ú Á¶Á÷°Ë»ç ¼Ò°ßÀ» È®ÀÎÇÏ¿´½À´Ï´Ù. Ä¡·á´Â ÀúÁö¹æ, °í´Ü¹é ½ÄÀÌ À̿ܿ¡ Ä®½·, ¸¶±×³×½· °°Àº ÀüÇØÁú º¸ÃæÀÌ ÀÖ°í, Ç×ÇöóÁî¹Î ¿ä¹ý, octreotide µîÀÌ º¸°íµÇ¾úÁö¸¸ ÇѰèÁ¡ÀÌ ÀÖ½À´Ï´Ù.

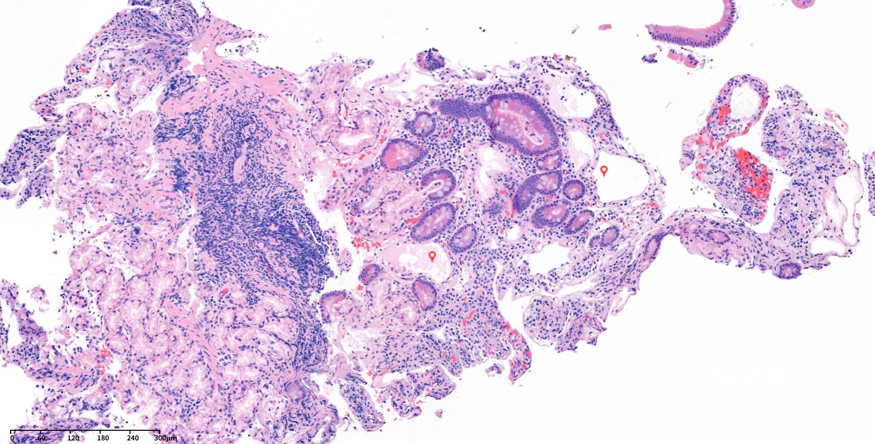
Terminal illiumÀÇ Á¶Á÷»çÁøÀÔ´Ï´Ù. Àú¹èÀ²·Î º¸¸é Ç÷°üÀÇ »óÇǼ¼Æ÷À̰í À̰ÍÀÌ lymphatics ÀÔ´Ï´Ù. ÁÖº¯Àº lamina propria ÀÔ´Ï´Ù. Á»´õ °í¹èÀ²¿¡¼­ º¸¸é ´ÙÀ½°ú °°ÀÌ vascular structure°¡ º¸À̴µ¥ ÀÌ´Â Á¤»óÁ¶Á÷¿¡¼­´Â º¸ÀÌÁö ¾Ê´Â ´Ã¾î³­ lymphatics ÀÔ´Ï´Ù. ±×¸®°í lamina propria¿¡ cytoplasmÀÌ ¸¹°í ºÒÅõ¸íÇÑ lipid-laden macrophage°¡ ¹¶ÃÄÀִµ¥ ÀÌ´Â xanthomaÀÔ´Ï´Ù. D2-40´Â lymphaticsÀÇ endothelial cell¿¡ ¹ÝÀÀÇÏ´Â markerÀÔ´Ï´Ù. º¸½Ã´Â °Íó·³ ´Ã¾î³­ lympaticsÀ» È®ÀÎ ÇÒ ¼ö ÀÖ½À´Ï´Ù. CD68Àº macrophage ¸¶Ä¿Àε¥ lympatics¿¡¼­ leakageµÈ lipid¸¦ ó¸®Çϱâ À§ÇØ ¸ð¿©µç macrophage°¡ °¥»öÀ¸·Î ¿°»öµÇ´Â °ÍÀ» È®ÀÎ ÇÒ ¼ö ÀÖ¾ú°í ÀÌ¿Í °°Àº ¼Ò°ßÀº lymphangiectasiaÀÇ Æ¯ÀÌÀû Á¶Á÷ÇÐÀû ¼Ò°ßÀÔ´Ï´Ù.

À̹ø Áõ·Ê´Â WJG¿¡ º¸°íµÇ¾ú½À´Ï´Ù.

PubMed

¼Û±³¼ö´ÔÀº PubMed °Ë»öÀÌ ºü¸¥ Áø´Ü¿¡ °áÁ¤Àû µµ¿òÀ» ÁØ »ç·Ê¿´´Ù°í ¸»ÇÏ¿´½À´Ï´Ù. Protein losing enteropathy¿Í Warts¸¦ PubMed °Ë»öâ¿¡ ÀÔ·ÂÇß´õ´Ï 5°³°¡ ã¾ÆÁ³´Âµ¥ ¸ðµÎ lymphangiectasia¿´´Ù°í ÇÕ´Ï´Ù. Áö±ÝÀº ¼ÛÇöÁÖ ¼±»ý´ÔÀÇ Áõ·Êº¸°í±îÁö Æ÷ÇÔÇÏ¿© 6°³°¡ µÇ¾ú½À´Ï´Ù. ¿ª½Ã ÀÇ»ç´Â ´Ã °øºÎÇϴ ŵµ¸¦ °¡Á®¾ß ÇÕ´Ï´Ù. ¸Å¿ì ÁÁ¾Ò½À´Ï´Ù.


6. Lymphangioma

Lymphangioma¿Í lymphangiectasia¶ó´Â ¿ë¾î´Â ´ë°­ ¼¯¿©¾²À̰í ÀÖ½À´Ï´Ù. ºñ±³Àû localized µÇ¾î ÀÖÀ¸¸é lymphangioma¶ó°í ¾²°í diffuse Çϸé lymphangiectasia¶ó°í ¾²´Â °æÇâÀÎ °Í °°½À´Ï´Ù. 2016³â 1¿ùÈ£ Gastroenterology Áö¿¡ ½Ç¸° Áõ·ÊÀä, ÇÑ °÷¿¡ localizedµÈ mass ÇüÅ¿´À¸¹Ç·Î lymphangioma°¡ Àû´çÇÒ °Í °°½À´Ï´Ù. Á¶Á÷¼Ò°ßÀº ¾îÂ¥ÇÇ ¶È °°½À´Ï´Ù.

A 33-year-old man presented with episodic melena for 3 months associated with worsening exertional dyspnea and lethargy for 2 weeks

Small bowel lymphangiomas are extremely rare causes of obscure gastrointestinal bleeding. Lymphangiomas are lymphatic malformations that usually present within the pediatric age group as neck or axillary masses. Lymphangiomas affecting the abdominal cavity are rare and, among them, symptomatic intramural small bowel lymphangiomas are even more uncommon, and have only been reported several times in the literature.1 Most small bowel lymphangiomas are asymptomatic, but some can present as gastrointestinal bleeding, abdominal pain, or as a lead point for intussusception.2 Small bowel lymphangiomas are thought to be a result of a congenital malformation causing sequestration of lymphatic vessels during organogenesis, but some authors have postulated that they could be postinflammatory or a result of abdominal trauma, surgery, radiation, or lymphatic obstruction. Complete operative resection is the treatment of choice to prevent future recurrence of gastrointestinal bleeding, but treatment with endoscopic polypectomy, hemoclipping, or argon plasma coagulation have also been described.

±Þ¼º ÇϺ¹ºÎ ÅëÁõÀ¸·Î ³»¿øÇÏ¿© surgical cyst excision ½ÃÇàÇÏ¿´½À´Ï´Ù.


CT reading: Left kidney ¾ÕÂÊÀ¸·Î °ñ¹Ý°­±îÁö À§Ä¡ÇÏ´Â 10 x 7 x 13 cm °¡·®ÀÇ cystic mass°¡ ÀÖÀ½. Å« mass ÁÖº¯À¸·Î ÀÛÀº mass°¡ ÀÖ´Â bilocular ¾ç»óÀÓ. Mesenteric vessel°ú µÑ·¯½Î¿© ÀÖ°í small bowelÀº ¿ìÃøÀ¸·Î, colonÀº ÁÂÃøÀ¸·Î ¹Ð°í ÀÖ´Â ¾ç»óÀÓ. Retroperitoneal origin º¸´Ù´Â mesenteric originÀÇ °¡´É¼ºÀÌ ³ô°ÚÀ¸¸ç small bowel°ú ¸Å¿ì ´ê¾Æ ÀÖÀ½. ÁÖº¯À¸·Î´Â ¿°ÁõÀ» ½Ã»çÇÏ´Â infiltration°ú ¼Ò·®ÀÇ fluid collectionÀÌ left paracolic gutter¿Í ÀϺΠperirenal space·Îµµ extension Çϰí ÀÖÀ½.
°á·Ð ¹× Áø´Ü: A Huge bilocular cystic mass in left side abdomen (mesenteric > retroperitoneal origin), combined with inflammation.
DDx. 1) Infected mesenteric cyst or lymphangioma. 2) Neurogenic tumor with cystic change.

Surgical pathology: Lymphangioma with acute inflammation, granulation tissue and abscess formation


[Lymphangioma¿Í lymphangiectasia¶ó´Â ¿ë¾î¿¡ ´ëÇÏ¿©]

2015³â 9¿ùÈ£ Digestive and Liver Disease¿¡ ½Ç¸° ÀÌÅ»¸®¾Æ Áõ·ÊÀÔ´Ï´Ù. Á¦¸ñÀº Small bowel lymphangioma: A rare case of intestinal bleedingÀÔ´Ï´Ù. Lymphatics°¡ È®ÀåµÇ¿© ¹Ýº¹ÀûÀÎ ÃâÇ÷À» º¸ÀÎ °æ¿ì·Î ºñ±³Àû localized µÇ¾î À־ lymphangioma¶ó´Â ¿ë¾î°¡ »ç¿ëµÇ¾ú½À´Ï´Ù. ±×·¯³ª º´¸®»çÁøÀ» º¸¸é ÀÏÀü¿¡ lymphangiectasia·Î ¼Ò°³ÇÑ Áõ·Ê¿Í º°¹Ý Â÷À̰¡ ¾ø½À´Ï´Ù. µÎ ¿ë¾î°¡ ¾î¶»°Ô ±¸ºÐµÇ´ÂÁö ¾ÆÁ÷ Á¤È®È÷ ¸ð¸£°Ú½À´Ï´Ù.


[References]

1) ½ÊÀÌÁöÀå ¹é»ö À¶¸ð¿¡ ´ëÇÑ Àü¹®°¡ ´äº¯

2) Lymphangioma of the small bowel mesentery. World J Gastroenterol 2012

© ÀÏ¿ø³»½Ã°æ±³½Ç ¹Ù¸¥³»½Ã°æ¿¬±¸¼Ò ÀÌÁØÇà. EndoTODAY Endoscopy Learning Center. Lee Jun Haeng.