Home | EndoTODAY | EndoATLAS

Beginner | ESA | Schedule | OPD

Seminars | Atlas | Recent | Links

EndoTODAY ³»½Ã°æ ±³½Ç


[Juvenile polyposis syndrome. ¿¬¼Ò¼º ¿ëÁ¾Áõ ÁõÈıº] - ðû


1. Juvenile polyposis syndrome (JPS)

Juvenile polyposis°¡ ¾Æ´Ñ 1-3°³ Á¤µµÀÇ ¿¬¼Ò¼º ¿ëÁ¾Àº ¾î¸°ÀÌÀÇ ¾à 2%¿¡¼­ ¹ß°ßµË´Ï´Ù.

¿©ÀÚ 4¼¼. Single Juvenile polyp (2015)

8¼¼ ¼Ò¾Æ¿¡¼­ ÃâÇ÷·Î ¹ß°ßµÈ juvenile polyp. 2024³â KSGE ±³À°ÀÚ·á (PDF)

±Ë¾ç¼º ´ëÀå¿° °üÇØ»óÅÂÀε¥ annual surveillance ³»½Ã°æ Áß ¿ëÁ¾ÀÌ ¹ß°ßÇÏ¿© ¿ëÁ¾ÀýÁ¦¼úÀ» ½ÃÇàÇÏ¿´°í retention polypÀ¸·Î ³ª¿Â °æ¿ìµµ ÀÖ¾ú½À´Ï´Ù.

ÇÑ ÀϺ» Ã¥ ¹ø¿ªº»¿¡¼­ °¡Áö°í ¿Â ³»¿ëÀÔ´Ï´Ù. ½âÀº µþ±â ¸ð¾çÀ̶ó´Â ƯÀÌÇÑ ±â¼úÀÌ ÀÖ¾ú½À´Ï´Ù.

Juvenile polyposis syndrome (JPS)Àº (1) ´ëÀå¿¡ 5°³ ÀÌ»óÀÇ ¿¬¼Ò¼º ¿ëÁ¾, (2) Àå Àüü¿¡ °ÉÄ£ ¿¬¼Ò¼º ¿ëÁ¾, (3) JPS °¡Á· Áß À§Àå°ü¿¡ Á¸ÀçÇÏ´Â ¿¬¼Ò¼º ¿ëÁ¾, À̵é 3°¡Áö ±âÁØ Áß Çϳª¶óµµ ¸¸Á·Çϸé Áø´ÜÇÒ ¼ö ÀÖ½À´Ï´Ù. JPS´Â a diagnosis of exclusionÀÔ´Ï´Ù. Cowden syndromeÀ̳ª Bannayan-Ruvalcaba-Riley syndrome°ú °°Àº PTEN hamartoma syndromeÀÌ ¹èÁ¦µÇ¾î¾ß ÇÕ´Ï´Ù.

À¯ÀüÀÚ °Ë»ç¿¡¼­ SMAD4 (20-25%), BMPR1A (20%) germline mutationÀÌ ¹ß°ßµË´Ï´Ù. JPS ȯÀÚÀÇ 50-60%¿¡¼­´Â ¾ÆÁ÷ ¿øÀÎ À¯ÀüÀÚ°¡ ºÒ¸íÈ®ÇÕ´Ï´Ù.

³²ÀÚ 8¼¼. Juvenile polyposis (2021)

JPS´Â À¯Àü¼º ¿ëÁ¾Áõ ÁõÈıºÀε¥, ±× ºóµµ´Â FAPÀÇ 1/10 Á¤µµÀÔ´Ï´Ù. ºóÇ÷, ¼³»ç, ´Ü¹é¼Ò½ÇÀ庴Áõ(protein-losing enteropathy) µîÀÇ Áõ¼¼°¡ ¹ß»ýÇÒ ¼ö ÀÖ½À´Ï´Ù. JuvenileÀ̶ó´Â À̸§ ¶§¹®¿¡ ¼ºÀο¡¼­´Â ÀǽÉÇÏÁö ¾Ê´Â °æ¿ì°¡ ÀÖÁö¸¸, JPS ȯÀÚÀÇ 15-20%´Â ¼ºÀÎÀÌ µÈ ÈÄ Áõ»óÀÌ ¹ß»ýÇÕ´Ï´Ù.

¿¬¼Ò¼º ¿ëÁ¾Àº ³»½Ã°æÀûÀ¸·Î ¹ÝÁú¹ÝÁúÇÏ°í ºÎµå·¯¿î Ç¥¸éÀ» °¡Áö°í ÀÖ°í Á¶Á÷ÇÐÀûÀ¸·Î ±âÁú ¼¼Æ÷¿¡ µÑ·¯ ½ÎÀÎ ³¶¼º Á¶Á÷ÀÌ Á¡¾×À¸·Î °¡µæ Â÷ ÀÖ´Â ¸ð¾çÀ» º¸À̴µ¥ ÆòȰ±ÙÀÇ Áõ½Ä¿¡¼­ ¹ß»ýÇÏ´Â °ÍÀÌ ¾Æ´Ï±â ¶§¹®¿¡ ÁøÁ¤ÇÑ ÀǹÌÀÇ °ú¿ÀÁ¾ÀÎÁö´Â ¸íÈ®ÇÏÁö ¾Ê½À´Ï´Ù.

JPS¿¡¼­´Â À§Àå°ü ¾Ï ¹ß»ý·üÀÌ ³ô½À´Ï´Ù. ´ëÀå¾ÏÀÇ Æò»ý ¹ß»ý·üÀº 50%, À§¾ÏÀÇ Æò»ý ¹ß»ý·üÀº 20% Á¤µµÀ̹ǷΠÁ¤±âÀûÀÎ ´ëÀå³»½Ã°æ°ú À§³»½Ã°æ °Ë»ç°¡ ÇÊ¿äÇÕ´Ï´Ù. ´ÜÁö °¡Á··ÂÀÌ ¾ø°í ´ÜÁö ¼Ò¼öÀÇ ¿ëÁ¾À» Á¦°ÅÇÑ °æ¿ì´Â ¾Ï¹ß»ý À§Çèµµ°¡ Áõ°¡ÇÏÁö ¾Ê´Â´Ù°í ÃßÁ¤µË´Ï´Ù.

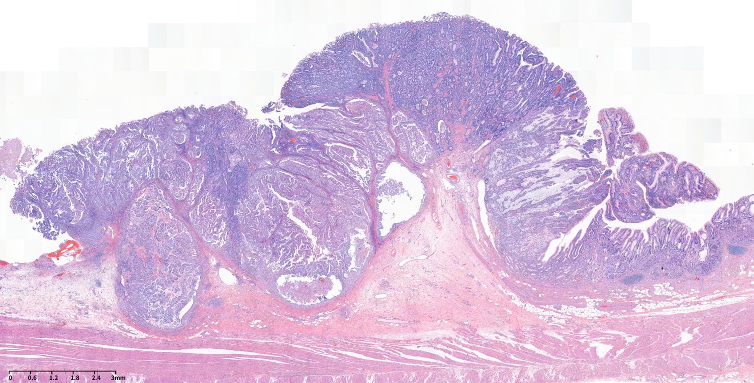
Juvenile polyposis ȯÀÚ(³²ÀÚ 50¼¼)¿¡¼­ ¹ß°ßµÇ¾î ¼ö¼úÇÏ¿´´ø À§¾Ï (3-2025-05)


2. Stomach manifestation of JPS

JPSÀÇ ÀϺΠȯÀÚ¿¡¼­´Â ´ëÀ庸´Ù À§¿¡¼­ ¿ëÁ¾ÀÌ ¹ß»ýÇÕ´Ï´Ù. µå¹°°Ô thickened fold·Î º¸¸¸4Çü ÁøÇ༺À§¾Ï°ú ºñ½ÁÇÑ ¸ð½ÀÀ» º¸ÀÏ ¼ö ÀÖ½À´Ï´Ù.

¿©ÀÚ 28¼¼. Juvenile polyposis (2024)

º´¸® ¼Ò°ßÀÔ´Ï´Ù.


[Cases]

³²ÀÚ 35¼¼. Juvenile polyposis

³²ÀÚ 35¼¼. ´ëÀå¿ëÁ¾µé

´ëÀå¿ëÁ¾ÀýÁ¦¼ú

´ëÀå¿ëÁ¾ÀýÁ¦¼ú


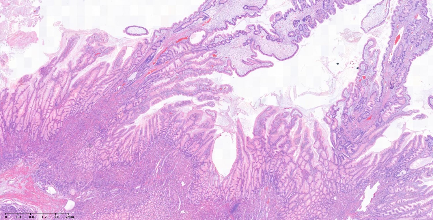
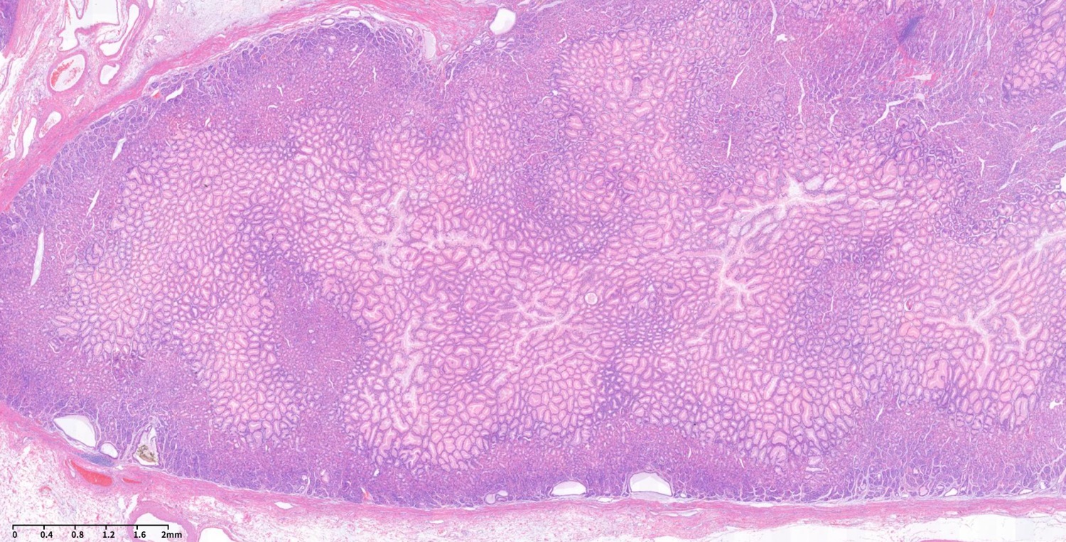
³²ÀÚ 54¼¼. Juvenile polyposis. ÁÖ·Î À§ º´¼Ò

³²ÀÚ 54¼¼. À§¿ëÁ¾µé

À§¿ëÁ¾ÀýÁ¦¼ú

À§¿ëÁ¾ÀýÁ¦¼ú


[References]

1) ¿¬¼Ò¼º ¿ëÁ¾Áõ ÁõÈıº¿¡ µ¿¹ÝµÈ ´Ù¹ß¼º À§¿ëÁ¾À¸·ÎºÎÅÍ ¹ß»ýÇÑ ¸¸¼º ºóÇ÷ ÀÌÁØÇà. PDF 1.2M

2) ¿ëÁ¾Áõ Æú¸³ÁõÈıº polyposis syndrome - ³»½Ã°æ¼¼¹Ì³ª °­ÀÇ·Ï. ÀÓÁ¾ÇÊ. PDF 0.7M

3) Juvenile polyposis syndrome pathologyoutlines.com

© ÀÏ¿ø³»½Ã°æ±³½Ç ¹Ù¸¥³»½Ã°æ¿¬±¸¼Ò ÀÌÁØÇà. EndoTODAY Endoscopy Learning Center. Lee Jun Haeng.