Home | EndoTODAY | EndoATLAS

Beginner | ESA | Schedule | OPD

Seminars | Atlas | Recent | Links

EndoTODAY ³»½Ã°æ ±³½Ç


[½ÊÀÌÁöÀå ¾Ï. Duodenal cancer] - ðû

1. ¼ÒÀå¾Ï °³¿ä

2. ù »óºÎÀ§Àå°ü ³»½Ã°æ °Ë»ç¿¡¼­ Áø´ÜµÇÁö ¸øÇÑ ¿ø¹ß¼º ¾Ç¼º ½ÊÀÌÁöÀå Á¾¾ç

3. »óºÎÀ§Àå°ü ³»½Ã°æÀ¸·Î µµ´ÞÇÒ ¼ö ÀÖ´Â ºÎÀ§ÀÇ ½ÊÀÌÁöÀå¾Ï

4. »óºÎÀ§Àå°ü ³»½Ã°æÀ¸·Î µµ´ÞÇÒ ¼ö ¾ø´Â ºÎÀ§ÀÇ ½ÊÀÌÁöÀå¾Ï

5. FAQs

6. References


1. ¼ÒÀå¾Ï °³¿ä

¼ÒÀå(small bowel)Àº ¾à 5-6 ¹ÌÅÍ·Î ¼ÒÈ­°ü Àüü ±æÀÌÀÇ 75%À̰í, Èí¼ö¸éÀûÀÇ 90% ÀÌ»óÀ» Â÷ÁöÇÕ´Ï´Ù. ¼ÒÀå Á¾¾çÀº ¸ðµç ¼ÒÈ­°ü Á¾¾çÀÇ 1-5%¸¦ Â÷ÁöÇÏ¸ç ¹ß»ý·üÀº 10¸¸¸í´ç 1¿¹ ÀÌÇÏÀÔ´Ï´Ù.

¼ÒÀåÀÇ Á¾¾çÀÌ ÀûÀº ÀÌÀ¯´Â ¸íÈ®ÇÏÁö ¾ÊÀºµ¥ ¾î¶² Ã¥¿¡¼­ ¿Å±â¸é ¾Æ·¡¿Í °°½À´Ï´Ù.

¼ÒÀå Á¾¾çÀÇ ºÐ·ù

¼ÒÀå Á¾¾çÀÇ »ó´ëÀû ºóµµ

À§Ä¡º° ¼ÒÀå Á¾¾çÀÇ »ó´ëÀû ºóµµ. ½ÊÀÌÁöÀå¿¡´Â adenocarcinoma°¡ ¸¹°í, ȸÀå¿¡´Â carcinoid°¡ ¸¹½À´Ï´Ù. Lymphoma´Â °í·ç ºÐÆ÷ÇÕ´Ï´Ù.

2025³â ¿ì¸®³ª¶ó big data ¿¬±¸°¡ ¹ßÇ¥µÇ¾ú½À´Ï´Ù.

J Gastroenterol Hepatol 2025


2. ù »óºÎÀ§Àå°ü ³»½Ã°æ °Ë»ç¿¡¼­ Áø´ÜµÇÁö ¸øÇÑ ¿ø¹ß¼º ¾Ç¼º ½ÊÀÌÁöÀå Á¾¾ç

»óºÎÀ§Àå°ü ³»½Ã°æ °Ë»çÀÚ´Â ´Ã À§¾ÏÀ» °ÆÁ¤ÇÕ´Ï´Ù. ½ÊÀÌÁöÀåÀÇ °üÂûÀº »ó´ëÀûÀ¸·Î ¼ÒȦÇÑ °æ¿ì°¡ ÀÖ½À´Ï´Ù. 2005³â ´ëÇѼÒÈ­±â³»½Ã°æÇÐȸ¿¡¼­ 'ù »óºÎÀ§Àå°ü ³»½Ã°æ °Ë»ç¿¡¼­ Áø´ÜµÇÁö ¸øÇÑ ¿ø¹ß¼º ¾Ç¼º ½ÊÀÌÁöÀå Á¾¾ç'À» ¹ßÇ¥Çϸ鼭 ÀÌ ¹®Á¦¸¦ ´Ù·é ¹Ù ÀÖ½À´Ï´Ù. »ç½Ç ¼ÒȦÇߴٱ⺸´Ù´Â ³»½Ã°æÀ¸·Î µµ´ÞÇϱ⠾î·Á¿î ºÎÀ§ÀÇ º´¼Ò°¡ ¸¹¾Ò´Ù°í ÇÏ´Â ÆíÀÌ ¿ÇÀ» ¼ö ÀÖ½À´Ï´Ù¸¸...


3. »óºÎÀ§Àå°ü ³»½Ã°æÀ¸·Î µµ´ÞÇÒ ¼ö ÀÖ´Â ºÎÀ§ÀÇ ½ÊÀÌÁöÀå¾Ï

°ËÁø³»½Ã°æ¿¡¼­ ¿ì¿¬È÷ ¹ß°ßµÈ ½ÊÀÌÁöÀå º´¼ÒÀÔ´Ï´Ù. Áø´ÜÀÌ ¹«¾ùÀ̰ڽÀ´Ï±î?

Á¶Á÷°Ë»ç´Â moderately differentiated adenocarcinoma·Î ³ª¿Ô½À´Ï´Ù. PPPD ¼ö¼úÀ» ÇÏ¿´½À´Ï´Ù.

PERIAMPULLARY DUODENAL CANCER
1. Type of specimen : PPPD
2. Histopathologic Diagnosis : Adenocarcinoma, moderately differentiated
(1) Tumor site : periampullary
(2) Tumor size : 1.2x1.1 cm
(3) T1a : Tumor invades lamina propria
(4) Involvement of pancreas and duodenal muscle layer : absent
(5) N0 : No regional lymph node metastasis (0/20: "LN6", 0/1; "LN8", 0/1; "LN7,9", 0/3; "LN12", 0/8; periduodenal, 0/7)
(6) M0 : No distant metastasis
(7) Negative (pancreas, common bile duct, retropancreatic) resection margins
(8) Autolysis, gallbladder
(9) Focal pancreatitis (frozen-1), not neuroendocrine tumor
R0 : complete resection with grossly and microscopically negative resection margins

ÃßÀû³»½Ã°æ °Ë»ç¿¡¼­ Àç¹ß ¼Ò°ßÀÌ ¾ø¾ú½À´Ï´Ù.

PPPD³ª Whipple ¼ö¼ú ÈÄ ³»½Ã°æ¿¡¼­ anatomy¸¦ Àß ¾Ë±â ¾î·Á¿î °æ¿ì°¡ ¸¹Àºµ¥ ÀÌ È¯ÀÚ¿¡¼­´Â duodenal bulbÀÇ ÀϺΰ¡ ¸íÈ®È÷ Àß °üÂûµÇ¾ú½À´Ï´Ù.


[2023-5-30 EndoTODAY Quiz]

M/58 (2022)

T3N0M0 (T3: tumor invaded through muscularis propria into subserosa, or extends into mesentery or retroperitoneum without serosal penetration)


2.4x1.5cm. adenocarcinoma, well differentiated arising from adenoma, high grade. Confined to the mucosa

Ãʰí·ÉÀ¸·Î ¼ö¼úÀ» ¸øÇϽðí 1³â Á¶±Ý ³Ñ¾î obstruction Áõ»ó ¹ß»ý

Partial resectionÀ¸·Î Ä¡·áÇÏ¿´°í Á¡¸·¿¡ ±¹ÇÑµÈ 0.6cm ¾ÏÀ̾ú½À´Ï´Ù. ÃÖ±Ù °°¾Æ¼­´Â ³»½Ã°æ ÀýÁ¦¼ú·Î Ä¡·áÇÒ ¼ö ÀÖ´Ù°í »ý°¢µË´Ï´Ù.

M/D adenocarcinoma, 3.5 x 3 cm, extension to subserosa, metastasis to 3 out of 10 regional lymph nodes

Duodenal cancer (M/D adenocarcinoma, 4 x 2 cm, extension to periduodenal soft tissue and pancreas, LN 1/34) + stomach cancer

Poorly differentiated adenocarcinoma, proper muscle invasion (F/62, 2019)

Obstruction (+), hepatic metastasis (+)

Poorly differentiated carcinoma

Mucinous adenocarcinoma, 5 x 5 x 3 cm, directly invades other organs (pancreas), involvement of vessel (SMA and SMV: op. record without histologic evaluation), regional lymph node metastasis (13/16)

O & C due to SMA, pancrease, stomach metastasis

Bowel habit change·Î ´ëÀå³»½Ã°æ¿¡¼­ ¿ìÃø ´ëÀå¾ÏÀÌ ¹ß°ßµÇ¾ú°í ¿ì¿¬È÷ ½ÃÇàÇÑ À§³»½Ã°æ¿¡¼­ duodenal adenocarcinomaµµ ÇÔ²² Áø´ÜµÇ¾úÀ½. Whipple ¼ö¼ú°ú right hemicolectomy¸¦ µ¿½Ã¿¡ ½ÃÇàÇÏ¿´À½.

Duodenal papillary adenocarcinoma

Duodenal signet ring cell carcinoma

Depressed type FAP-associated early duodenal carcinoma

F65 (2015). ù Á¶Á÷°Ë»ç¿¡¼­ ¾ÏÀ¸·Î ³ª¿ÀÁö ¾Ê¾Ò´ø Áõ·Ê

¿ÜºÎ ³»½Ã°æ¿¡¼­ "duodenal 3rd part ulcer and stricture (biopsy: atypical glands)" ¼Ò°ßÀ¸·Î ÀÇ·ÚµÈ ºÐÀ¸·Î ³»½Ã°æ Àç°Ë¿¡¼­ M/D adenocarcinoma·Î ¼ö¼úÇÑ Áõ·ÊÀÔ´Ï´Ù. ³»½Ã°æ ¼Ò°ß°ú ¼ö¼ú º´¸®¸¦ ¼Ò°³ÇÕ´Ï´Ù.
³»½Ã°æ ¼Ò°ß: Duodenal 2nd to 3rd portionºÎÀ§¿¡ lumenÀ» encirclingÇÏ´Â mass °üÂûµÇ¾úÀ¸¸ç ¼Ò¾Æ¿ë ´ëÀå ³»½Ã°æÀ» ÀÌ¿ëÇÏ¿© ÁøÀÔ ½ÃµµÇÏ¿´À¸³ª massÀÇ À§Ä¡°¡ angulation Á÷ÈÄÀ̰í lumenÀÌ Á¼¾ÆÁ®ÀÖ¾î scopeÀÌ Åë°úµÇÁö ¸øÇß½À´Ï´Ù. À§³»½Ã°æÀ¸·Î ¹Ù²Ù¾î tryÇßÀ¸³ª ÃÖ´ëÇÑ »ðÀÔÇØµµ massÀÇ ÀÔ±¸±îÁö ¹Û¿¡ µµ´ÞÇÏÁö ¸øÇÏ¿©, ´Ù½Ã ¼Ò¾Æ¿ë ´ëÀå³»½Ã°æ¿¡ capÀ» ÀåÂøÈÄ tryÇßÀ¸³ª ¿ª½Ã ÁøÀÔºÒ°¡´ÉÇÏ¿© ÃÖ´ëÇÑ forcepÀ» ¹Ð¾î³Ö¾î Á¶Á÷°Ë»ç¸¦ ½ÃÇàÇß½À´Ï´Ù.
DUODENAL CANCER
1. Type of specimen : PPPD
2. Histopathologic Diagnosis : Adenocarcinoma, moderately differentiated
(1) Tumor site : duodenal
(2) Tumor size : 4.5x4 cm
(3) T3 : Tumor invades through the muscularis propria into the subserosa
(4) Involvement of pancreas: absent
(5) N1 : Regional lymph node metastasis (2/16: "peri-SMA tissue" for frozen section-1, 0/1; "LN8,12", 0/6; "periCBD&peripancreatic LN", 1/3; periduodenal, 1/2; peripancreatic, 0/4)
(6) M0 : No distant metastasis
(7) Negative (pancreas, common bile duct, retropancreatic) resection margins

Á¶Á÷°Ë»ç¿¡¼­ ½ÊÀÌÁöÀå ¼±Á¾À¸·Î ÀǷڵǾú½À´Ï´Ù. EMRÀ» ÇÏ¿´´Âµ¥ ÀǿܷΠ¾ÏÀÌ ³ª¿Ô´Ù°í ÇÕ´Ï´Ù. ¾ÏÀº 1 mmµµ ¾È µÇ°í ´ëºÎºÐ ¼±Á¾À̶ó°í ÇÏ´Ï ´ÙÇàÀÔ´Ï´Ù.
EMR for duodenal adenoma was done.
Duodenum, endoscopic submucosal dissection:
Adenocarcinoma, well differentiated (focal: < 10 %) arising from mainly adenoma (90 %)
1. Location : duodenum second portion
2. Size of carcinoma : < 1 mm
3. Size of adenoma : (1) longest diameter, 7 mm (2) vertical diameter, 4 mm
4. Depth of invasion : invades mucosa (lamina propria) (pT1a)
5. Resection margin : free from carcinoma(N)
6. Lymphatic invasion : not identified(N)
7. Venous invasion : not identified(N)


PERIAMPULLARY DUODENAL CANCER
1. Type of specimen : Whipple resection
2. Histopathologic Diagnosis : Mucinous adenocarcinoma (mucin production: 60%)
(1) Tumor site : duodenal
(2) Tumor size : 2x1 cm
(3) T2 : Tumor invades duodenal wall (muscularis propria)
(4) Involvement of pancreas : absent
(5) N1 : Regional lymph node metastasis (1/19 : "L/N", 0/13; LYMPH NODE, 1/6)
(6) M0 : No distant metastasis
(7) Negative (pancreas, common bile duct, retropancreatic) resection margins


DUODENAL CANCER
1. Type of specimen : Whipple resection
2. Histopathologic Diagnosis : Adenocarcinoma, moderately differentiated
(1) Tumor site : duodenum
(2) Tumor size : 2.5x2.3 cm
(3) T3 : Tumor invades through muscularis propria into subserosa
(4) N0 : No regional lymph node metastasis (0/49) : "LN 7,9", 0/6; "LN8", 0/13; "LN12", 0/12; "LN14", 0/2; "LN16", 0/7; peripancreatic, 0/9)
(5) M0 : No distant metastasis
(6) Negative intestinal, radial resection margins
(7) peritumoral inflammatory reaction: mild
R0 : complete resection with grossly and microscopically negative resection margins
AJCC Stage (8th Edition, 2018)
Stage IIA: T3 N0 M0

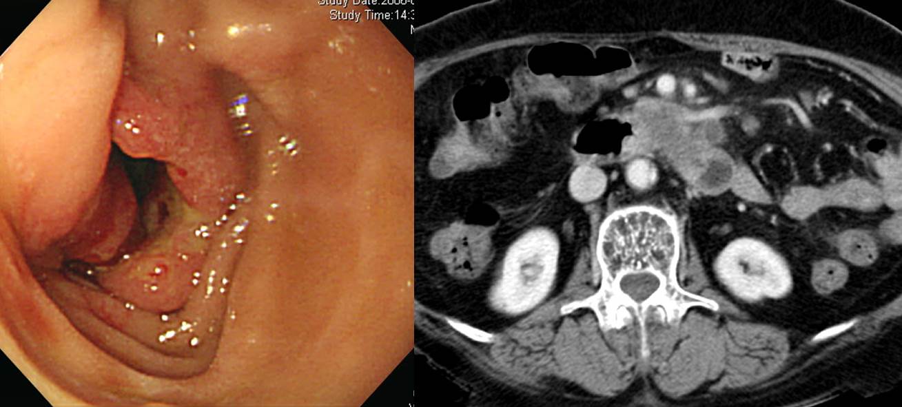
À¯¹æ¾Ï °£ÀüÀÌ¿Í °ÅÀÇ µ¿½Ã¿¡ ¹ß°ßµÈ ¿ø¹ß¼º ½ÊÀÌÁöÀå¾Ï (Áõ»ó: ÅäÇ÷)


[½ÊÀÌÁöÀå ±Ë¾çÀ¸·Î ÀÇ·ÚµÈ ½ÊÀÌÁöÀå¾Ï] - ¼ÒÀåÁúȯ 029

55 years old woman visited the health screening center due to abdominal pain for a few weeks. A duodenal lesion was found and referred. What is your impression?

Immediately after referral, endoscopic examination was done.

The pathology was adenocarcinoma (M/D). However, there were multiple hepatic metastatis.

When I review the initial endoscopy and second endoscopic images, it looks like an acute benign duodenal ulcer with severe edematous change. Is there a clue suggessting cancer? It is very difficult. Compared the small ulcer crator, the mucosal edema is too severe. Benign ulcer symptoms usually disappear very quickly with medication. Considering the prominent edema and persistent symptom after medication may be important for the correct diagnosis. Biopsies are necessary for initial severe duodenal ulcer to rule out malignancy.


4. »óºÎÀ§Àå°ü ³»½Ã°æÀ¸·Î µµ´ÞÇÒ ¼ö ¾ø´Â ºÎÀ§ÀÇ ½ÊÀÌÁöÀå¾Ï

ÇÑ´Þ Àü ½ÃÀÛµÈ º¹Åë, ±¸Åä ¹× 10 kg Á¤µµÀÇ Ã¼Áß°¨¼Ò·Î »óÇϺΠ³»½Ã°æ°ú º¹ºÎ CT °Ë»ç¸¦ ÇÏ¿´À¸³ª ¿øÀÎÀÌ ¸íÈ®ÇÏÁö ¾Ê¾Æ ÀÇ·ÚµÈ È¯ÀÚÀÔ´Ï´Ù. CT¸¦ °ËÅäÇÏ¿´°í left paraaortic area¿¡ 1 cmÀ¸·Î Ä¿Áø lymph node°¡ °üÂûµÇ¸ç ±× ¹Û¿¡µµ ¿©·¯ °³ÀÇ ÀÛÀº lymph nodeµéÀÌ left paraaortic area¿¡¼­ °üÂûµÇ°í ÀÖ¾î metastatic lymphadenopathyÀÇ °¡´É¼ºÀ» ¹èÁ¦ÇÏ±â ¾î·Æ´Ù´Â ÀǰßÀ» ¹Þ¾Ò½À´Ï´Ù. ÀÌÀÇ È®ÀÎÀ» À§ÇÏ¿© PET CT¸¦ ½ÃÇàÇÏ¿´À¸¸ç "Left paraaortic area¿¡ Àå°æ 4.2 cmÀÎ hypermetabolic mass°¡ °üÂûµÇ¸ç ±× FDG ¼·Ãë°¡ Áõ°¡(p-SUV = 13.3)µÊ. ¾ç»óÀ¸·Î º¸¾Æ malignancyÀÇ ¼Ò°ßÀ¸·Î »ý°¢µÈ´Ù"´Â ÆÇµ¶À» ¹Þ¾Ò½À´Ï´Ù. PET CT¿¡¼­ hypermetabolic massÀÇ ³»ºÎ¿¡ air°¡ °üÂûµÇ´Â ¾ç»óÀ̾ GI tractÀÇ º´¼Ò(Áï ½ÊÀÌÁöÀå Á¦ 3ºÎ, 4ºÎ ȤÀº ±× ÀÌÇÏÀÇ ¾Ï)ÀÏ °¡´É¼ºÀ» »ý°¢ÇÏ¿´½À´Ï´Ù. EGD·Î´Â µé¾î°¥ ¼ö ¾ø´Â ºÎÀ§¿´±â ¶§¹®¿¡ push enteroscopy ¸ñÀûÀ¸·Î colonoscope¸¦ ÀÌ¿ëÇÑ ³»½Ã°æÀ» ½ÃÇàÇÏ¿´½À´Ï´Ù (½ÃÇàÀÇ: ÀÓ»ó°­»ç ¼±»ý´Ô). ½ÊÀÌÁöÀå Á¦ 2ºÎ¿¡¼­ lumenÀÌ ±¸ºÎ·¯Á® Á¦ 3ºÎ·Î ÁøÀÔÇÏ´Â ºÎÀ§·ÎºÎÅÍ ¾à 10 cm ÇϹ濡¼­ lumenÀ» Á¼È÷°í ÀÖ´Â blood oozingÀ» µ¿¹ÝÇÑ ¾ÏÀÌ ¹ß°ßµÇ¾ú½À´Ï´Ù. À§Ä¡´Â ½ÊÀÌÁöÀå Á¦ 4ºÎ·Î ÆÇ´ÜµÇ¾ú°í Á¶Á÷°Ë»ç¿¡¼­´Â adenocarcinoma°¡ ³ª¿Ô½À´Ï´Ù. ¼ö¼úÀ» ±ÇÇÏ¿´½À´Ï´Ù. ¿À´ÃÀÇ Áõ·Êó·³ ÀϹÝÀûÀÎ »óºÎÀ§Àå°ü ³»½Ã°æ °Ë»ç ¹üÀ§(½ÄµµºÎÅÍ ½ÊÀÌÁöÀå Á¦ 2ºÎ)¸¦ ¹þ¾î³ª´Â ½ÊÀÌÁöÀå Á¦ 3ºÎ³ª Á¦ 4ºÎÀÇ ¾ÏÀÇ Áø´ÜÀº °£´ÜÇÑ ÀÏÀÌ ¾Æ´Õ´Ï´Ù. High index of suspicionÀÌ Áß¿äÇÏ´Ù°í ÇÒ ¼ö ¹Û¿¡ ¾ø½À´Ï´Ù. ¸ðµÎµé ±äÀåÇսôÙ. [¹Ù¸¥ ³»½Ã°æ ÀÌÁØÇà @ endoedu.com; 2009. 7. 3.]

Adenocarcinoma (M/D), 9x9x4cm, L (+), LN (+) 6/9 Involvment pancreas, colon and mesentary

3´Þ Àü¿¡ À§³»½Ã°æ ¹Þ¾Ò´ø Áõ·Ê

Peritoneal seeding, MUO (metastasis of unknown origin) workupÀ¸·Î ½ÃÇàÇÑ µÎ¹øÂ° À§³»½Ã°æÀÔ´Ï´Ù (ù ³»½Ã°æÀº ÀÇ·Ú Àü º´¿ø). ÀÏ¹Ý À§³»½Ã°æ¿¡¼­ ½ÊÀÌÁöÀå Á¦3ºÎ¿¡ ÀÛÀº mass°¡ ÀÇ½ÉµÇ¾î ³»½Ã°æ º¯°æ ÈÄ capÀ» ÀåÂøÇϰí ÃÖ´ëÇÑ pushÇÏ¿© º´º¯À» °üÂûÇÏ¿´´Ù°í ÇÕ´Ï´Ù. Fellow Ȳ±Ýºû ¼±»ý´Ô. Âü ÀßÇϼ̽À´Ï´Ù. ĪÂùÇÏ´Â Àǹ̷ΠȲ¼±»ý´ÔÀÌ ±â¼úÇϽг»½Ã°æ °á°úÁö¸¦ ±×´ë·Î ¿Å±é´Ï´Ù.


[FAQs]

[2024-5-2. ¾Öµ¶ÀÚ ÆíÁö]

¾È³çÇϼ¼¿ä! °Ç¾ç´ëº´¿ø Ãé´ãµµÆÄÆ®¿¡¼­ ÀÏÇϰí ÀÖ´Â ·ù±âÇöÀ̶ó°í ÇÕ´Ï´Ù. Á¦°¡ ¿äÁòÀº »óºÎÀ§Àå°ü³»½Ã°æÀ» ÀÚÁÖ Çϰí ÀÖÁö´Â ¾ÊÁö¸¸ 14³âÀü ³»½Ã°æÀ» ÇÑÂü ¹è¿ì´ø ÀüÀÓÀÇ ¶§ °æÇèÇÑ Èï¹Ì·Î¿ü´ø ÄÉÀ̽º 3°³¸¦ ¸ð¾Æ¼­ Áö³­ÇØ ÃâÆÇÀ» Çß½À´Ï´Ù (World J Clin Cases 2023).

³»¿ëÀ»¿ä¾àÇϸé, "Ç¥ÁØ»óºÎÀ§Àå°ü³»½Ã°æÀ¸·Îµµ ¸¹Àº ÆÛ¼¾Æ®¿¡¼­ ±ÙÀ§ °øÀå¿¡ µµ´ÞÇÒ ¼ö ÀÖ´Ù."ÀÔ´Ï´Ù. º» ¹®Çå¿¡¼­´Â ³»½Ã°æÀ¸·Î ±ÙÀ§°øÀåÀÇ GIST ¸¦ È®ÀÎÇÏ°í ¼ö¼úÀ» ÅëÇØ À§Ä¡¸¦ Áõ¸íÇÑ 3°³ÀÇ ÄÉÀ̽º¸¦ º¸°í Çß½À´Ï´Ù.

½ÇÁ¦ Ç¥ÁØ »óºÎÀ§Àå°ü³»½Ã°æÀ» ½ÊÀÌÁöÀåÀ¯µÎºÎ ÀÌÈĺηΠ³»½Ã°æÀ» ´õ ¹Ð¾î ³Ö°í ´ëÀå³»½Ã°æÃ³·³ ÃàÀ¯Áö/´ÜÃàÀ» Ȱ¿ëÇÏ¸é °øÀå¿¡ µµ´ÞÇÏ´Â °ÍÀ» ÀÚÁÖ °æÇèÇÕ´Ï´Ù. ÀÌ´Â Àúó·³ Åõ½ÃÀåºñ°¡ ÀÖ´Â °ø°£¿¡¼­ ½ÃÇàÀ» ÇÏ´Ùº¸¸é È®ÀÎÀÌ °¡´ÉÇÕ´Ï´Ù. ¼ÒÀå³»½Ã°æ°Ë»ç ½ÃÇà Àü ±ÙÀ§ °øÀå³» Á¾±«ÀÇ È®ÀÎÀ̳ª Á¶Á÷°Ë»ç¿¡µµ Ȱ¿ëÇÒ ¼ö ÀÖÁö¸¸ obscure GI bleeding ¿¡ ´ëÇÑ 2nd look endoscopy ½Ã¿¡µµ ¸¹Àº µµ¿òÀÌ µÇ¸®¶ó »ý°¢ µË´Ï´Ù.

[2024-5-2. ÀÌÁØÇà ´äº¯]

ÁÁÀº Áõ·Ê¸¦ ¼Ò°³ÇØ Áּż­ °¨»çÇÕ´Ï´Ù. »óºÎÀ§Àå°ü³»½Ã°æÀ¸·Îµµ ´ÜÃàÀ» Àß ÇÏ¸é »ó´çÈ÷ ±í°Ô, jejunumÀÇ ÀϺαîÁöµµ µé¾î°¥ ¼ö ÀÖ´Ù´Â °ÍÀ» ¸ÚÁø Áõ·Ê·Î º¸¿©Áּ̽À´Ï´Ù.


[References]

1) SmallTODAY - ¼ÒÀåÁúȯ Áõ·ÊÅäÀÇ

© ÀÏ¿ø³»½Ã°æ±³½Ç ¹Ù¸¥³»½Ã°æ¿¬±¸¼Ò ÀÌÁØÇà. EndoTODAY Endoscopy Learning Center. Lee Jun Haeng.