Beginner | ESA | Schedule | OPD
Seminars | Atlas | Recent | Links
[Ŭ¸³. Clip] - ðû
4. OTSC
5. Cases
6. FAQ
7. References
ClipÀÇ ³¡Àº 90µµ ȤÀº 135µµ ÈÖ¾îÁ® ÀÖ½À´Ï´Ù. ³¡ÀÌ 135µµ ÈÖ¾îÁ® »ÏÁ·ÇÑ °ÍÀº ´Ü´ÜÇÑ ¼Òȼº ±Ë¾ç¹Ù´ÚÀ» ÆÄ°íµé¾î Ç÷°üÁÖÀÇ Á¶Á÷À» ÀâÀ» ¼ö ÀÖÀ¸¹Ç·Î hemoclipÀ̶ó ºÎ¸¨´Ï´Ù. ³¡ÀÌ 90µµ ÈÖ¾îÁø °ÍÀº ºÎµå·¯¿î Á¤»ó À§Á¡¸·À» ÀâÀ» ¼ö ÀÖ°í »ó´ëÀûÀ¸·Î ¿À·¡ ºÙ¾îÀֱ⠶§¹®¿¡ marking clipÀ̶ó ºÎ¸¨´Ï´Ù.
EMR/ESD µµÁß ¹ß°ßµÈ õ°øÀº ÁÖ·Î marking clipÀ» ÀÌ¿ëÇÏ¿© Ä¡·áÇÕ´Ï´Ù. EMR/ESD·Î ÀÎÇØ ¹ß»ýÇÑ Àΰø±Ë¾çÀº ¼Òȼº±Ë¾ç°ú ´Þ¸® ¹Ù´ÚÀÌ ºÎµå·´±â ¶§¹®¿¡ marking clipÀ¸·Î ÀâÀ» ¼ö Àֱ⠶§¹®ÀÔ´Ï´Ù. °ú°Å¿¡´Â short clipÀ» ÀÌ¿ëÇÏ¿´´Âµ¥ ÃÖ±Ù¿¡´Â long clipÀ» ÁÖ·Î »ç¿ëÇϰí ÀÖ½À´Ï´Ù.
[ClipÀÇ ¿î¸í]
ESD ÈÄ clipÀº ¿À·¡ ³²¾Æ Àֱ⵵ ÇÕ´Ï´Ù. ¸Å³â »ìÆìº¸¸é ÀúÀý·Î ¾ø¾îÁö´Â ºÐµµ ÀÖ°í ¼ö³â ÀÌ»ó ¶³¾îÁöÁö ¾Ê´Â ºÐµµ ÀÖ½À´Ï´Ù. ¾Æ¸¶ Æò»ý °¡Áö°í »ç½Ã´Â ºÐµµ ÀÖÀ» °ÍÀÔ´Ï´Ù.
¾Æ·¡´Â °æ°ú °üÂû Áß ÀúÀý·Î ¾ø¾îÁø Áõ·ÊµéÀÔ´Ï´Ù. ¸î ³â °£ Àß ÀÖ´ø clipÀÌ ¿Ö ¶³¾îÁö´ÂÁö´Â Àúµµ ¸ð¸£°Ú½À´Ï´Ù. ±Ùó¿¡¼ ÀÚ²Ù Á¶Á÷°Ë»ç¸¦ ÇÏ´Ùº¸´Ï ¶³¾îÁö´Â °ÍÀÏ ¼öµµ ÀÖÁö ¾ÊÀ»±î¿ä?
¾Æ·¡ ȯÀÚ´Â ÀÚ±â ¹è ¼Ó¿¡ clipÀÌ ÀÖ´Ù´Â °ÍÀ» ¾ËÁö ¸øÇÏ¿´½À´Ï´Ù. ´Ù¸¥ Áúº´À¸·Î ¿ì¿¬È÷ ÂïÀº CT¿¡¼ À̹°ÀÌ ÀÖ´Ù°í ¿À¼Ì´Âµ¥ clipÀ̾ú½À´Ï´Ù. ³»½Ã°æ °Ë»ç µµÁß clippingÀ» Çϸé ȯÀÚ¿¡°Ô ±× »ç½ÇÀ» ¸íÈ®È÷ ¾Ë¸®´Â °ÍÀÌ ÁÁ°Ú½À´Ï´Ù.
[2015-4-20. ¾Öµ¶ÀÚ Áú¹®]
À§³»½Ã°æ ¶Ç´Â ´ëÀå³»½Ã°æ¿¡, ÁöÇ÷ÇÒ ¶§ ¾²´Â clipÀÌ f/u ³»½Ã°æ¿¡¼ ¸îÁÖ¸¸¿¡ ¶³¾îÁ® ¾ø¾îÁö´Â °æ¿ìµµ ÀÖÁö¸¸, ¸î³âµ¿¾È ¶³¾îÁöÁö ¾Ê°í °è¼Ó ³²¾ÆÀÖ´Â °æ¿ìµµ º» ÀûÀÌ ÀÖ¾ú½À´Ï´Ù. ¸î³âµ¿¾È ³²¾ÆÀÖÀ¸¸é, MRI °Ë»ç ¹ÞÀ» ¶§, clipÀÇ ±Ý¼Ó ¼ººÐÀÌ MRI ±â°è ¾È¿¡¼ ¹®Á¦¸¦ ÀÏÀ¸Å³ °¡´É¼ºÀº ¾ø´ÂÁö¿ä? ȯÀÚµéÀÌ clip À» Çß´ÙÇϸé, ¾ðÁ¦ ¶³¾îÁ® ¾ø¾îÁö´À³Ä°í ¹°¾îº¸´Â »ç¶÷ÀÌ ¸¹½À´Ï´Ù. ¾î¶»°Ô ´äº¯Çϸé ÁÁÀ»Áö¿ä?
[2015-4-20. ÀÌÁØÇà ´äº¯]
¸Å¿ì ÁÁÀº Áú¹®ÀÔ´Ï´Ù. Á» ¾Ë¾Æº» ÈÄ ´äº¯µå¸®°Ú½À´Ï´Ù. Àúµµ Á¤º¸¿Í »ý°¢ÀÌ Á¤¸®µÇÁö ¾Ê¾Æ¼... Á˼ÛÇÕ´Ï´Ù.
[2015-9-7. ¿Ã¸²Çª½º Á÷¿øÀ¸·ÎºÎÅÍ ¹ÞÀº ´äº¯]
¿äûÁ̴ּø EZ-ClipÀÇ MRI°ü·Ã ¾È³» µå¸³´Ï´Ù. ¼Û±¸½º·´°Ôµµ ÀÚ»ç EZ-ClipÀÇ °æ¿ì ÇöÀç ü³» Clipping ÈÄ MRI°Ë»ç½Ã ȣȯÀÌ ÀÌ·ç¾î ÁöÁö ¾Ê½À´Ï´Ù. º´¿ø¿¡¼ »ç¿ë½Ã ȯÀÚ¿¡°Ô ¹®Á¦°¡ ¹ß»ýÇß´ø »ç·Ê´Â ¾ø¾úÁö¸¸ Stainless ÀçÁúÀÎ ClipÀ» ü³» º¸Á¸ÈÄ MRI½ÃÇà½Ã ȯÀÚ¿¡°Ô ¹®Á¦°¡ µÉ °¡´É¼ºÀÌ ÀÖ´Ù°í ¸Å´º¾ó¿¡ ±âÀç°¡ µÇ¾îÀÖ½À´Ï´Ù.
Ŭ¸³Àº Æò±ÕÀûÀ¸·Î ü³»¿¡ 9.4ÀÏÁ¤µµ ¸Ó¹°·¯ ÀÖ´Ù°í ³ª¿ÍÀÖÀ¸³ª MucosaÃþÀÌ ¾Æ´Ñ ±ÙÀ°Ãþ ºÎÀ§¿¡ Clipping½Ã 1³âÀÌ»ó ¸ö¼Ó¿¡ ÀÜ·ùÇÒ °¡´É¼ºÀÌ ÀÖÀ¸¹Ç·Î MRI °Ë»çÀü ClipÀÇ ÀÜÁ¸ ¿©ºÎ¸¦ È®ÀÎÇÏ¿© ÁÖ´Â °ÍÀÌ È¯ÀÚÀÇ ¾ÈÀü»ó À¯ÀÍÇÒ °ÍÀ¸·Î »ç·ÁµË´Ï´Ù.
¸Å´º¾ó ³»¿ë
- Limited studies indicate that the hemostasis clips remain in place for an average of 9.4 days; Re-bleeding may occur if the clips detach within 24 hours.2) ASGE ÇÐȸÁö Endoscopic clip application deveices °ü·Ã ³»¿ë. (3 page , SAFETY)
- Olympus clips typically occurs at approximately 18 to 26 days and clips pass uneventfully. However, clips have been known to remain at the site of application for up to 1 year.ÇöÀç Àڻ翡¼´Â ÀÏȸ¿ë Á¦Ç° Áß½ÉÀ¸·Î MRI Compatible ClipÀ» °³¹ßÇÏ¿´À¸¸ç, ÇöÀç ³»¿ëÀº Àû±Ø ¹Ý¿µÇÏ¿© ÃßÈÄ °³¹ßµÇ´Â Àç»ç¿ë ClipÀº MRI¿Í ȣȯ °¡´ÉÇÏ°Ô Á¦ÀÛÇÒ ¼ö ÀÖµµ·Ï ¿äûÇϵµ·Ï ÇϰڽÀ´Ï´Ù.
[2015-9-7. ¿Ã¸²Çª½º Á÷¿øÀ¸·ÎºÎÅÍ ¹ÞÀº Ãß°¡ ¸ÞÀÏ]
ÇöÀç ±¹³»¿¡´Â ÀÚ»çÀÇ MRI Compatible ClipÀº ¾ø½À´Ï´Ù. ´Ù¸¸ MR Compatible Á¦Ç°À¸·Î Quick Clip Pro¶ó´Â Á¦Ç°ÀÌ ±¹³»¿¡´Â Ãâ½ÃµÇÁö ¾Ê¾ÒÁö¸¸ ÀÏȸ¿ëÀ¸·Î ÇØ¿Ü¿¡ Ãâ½Ã°¡ µÇ¾îÀÖ´Â »óÅÂÀÔ´Ï´Ù.
ÇØ´çÁ¦Ç°ÀÇ Ãâ½ÃÀÏÀº ¾ÆÁ÷ ¹ÌÁ¤À̳ª ÃßÈÄ Ãâ½Ã ¿©ºÎ°¡ È®ÀεǴ ´ë·Î ´Ù½ÃÇѹø °øÁö µå¸±¼ö ÀÖµµ·Ï ÇϰڽÀ´Ï´Ù.
[2017-11-23. ÀÌÁØÇà Ãß°¡]
K-DDW¿¡¼ Èï¹Ì·Î¿î Æ÷½ºÅ͸¦ º¸¾Ò½À´Ï´Ù. µ¿¹°½ÇÇèÀε¥·Î Å×½½·¯ MRI¿¡¼ clipÀÌ ¶³¾îÁöÁö ¾Ê¾Ò´Ù°í ÇÕ´Ï´Ù. ClipÀ» °¡Áö°í Àִ ȯÀÚ 12¸íÀÌ ¿ì¿¬È÷ MRI¸¦ Âï¾ú´Âµ¥ º° ¹®Á¦°¡ ¾ø¾ú´Ù´Â µ¥ÀÌŸµµ Á¦½ÃµÇ¾î ÀÖ½À´Ï´Ù. ¿¬±¸ÀÚµéÀº ÀÌ·¸°Ô °á·ÐÀ» ³»°í ÀÖ½À´Ï´Ù. "We suggest that it is not desirable to delay essential MRI procedures unless the endoclip itself is not mechanically supporting the role of hemostasis."
[2018-9-17. ÀÌÁØÇà Ãß°¡]
ClipÀ» Àû¿ëÇÑ È¯ÀÚÀÇ MRI safety¿¡ ´ëÇÑ ¹®Àǰ¡ ÀÖ¾î¼ ¸î °¡Áö ÀڷḦ Ãß°¡ÇÏ¿´½À´Ï´Ù.
2015³â Anaesthesia Áö¿¡ ½Ç¸° correspondence. Olympus EZ clipÀ» unsafe·Î ¸í½ÃÇϰí ÀÖ½À´Ï´Ù.
¾ÆÁ÷±îÁö ³»½Ã°æ ±â±¸ Á¦Àۻ翡¼ ÀûÀýÇÑ °¡°ÝÀÇ MRI-compatible clipÀ» Á¦°øÇÏÁö´Â ¾Ê°í ÀÖ½À´Ï´Ù. Áö±Ý±îÁö À§Àå°ü clipÀ» °¡Áö°í Àִ ȯÀÚ¿¡¼ MRI °Ë»ç°¡ ÀûÁö ¾Ê°Ô ½ÃÇàµÇ°í ÀÖ´Â »óȲÀÓ¿¡µµ ºÒ±¸ÇÏ°í ¾ÆÁ÷±îÁö ¹®Á¦ »ç·Ê º¸°í´Â ¾ø´Â °Í °°½À´Ï´Ù. ¹®Á¦°¡ »ý±ä´Ù¸é vascular clipÀÌ ¹®Á¦ÀÌÁö endoscopic clipÀÌ ¹®Á¦°¡ µÇÁö´Â ¾ÊÀ» °ÍÀ¸·Î ±â´ëÇϰí ÀÖ½À´Ï´Ù.
±×·¯³ª ¾ÆÁ÷Àº Á¶½ÉÇØ¾ß ÇÒ °Í °°½À´Ï´Ù. "MRI°¡ ²À ÇÊ¿äÇÑ È¯ÀÚ¿¡¼´Â Á¶½É½º·´°Ô ½ÃÇàÇØº¼ ¼ö ÀÖ´Ù" Á¤µµ·Î »ý°¢ÇÏ¸é ¾î¶³±î¿ä? MRI ÀÌ¿ÜÀÇ ´Ù¸¥ °Ë»ç¹ýÀÌ ÀÖ´Â °æ¿ì´Â MRI¸¦ ȸÇÇÇÏ´Â °ÍÀÌÁö¿ä. Áõ»ó¿¡ ´ëÇÑ Æò°¡°¡ ¾Æ´Ñ screening °³³äÀÇ MRI¿¡¼´Â ¾î¶»°Ô ÇÒ °ÍÀÎÁö ³íÀǰ¡ ÇÊ¿äÇÕ´Ï´Ù.
ÇâÈÄ Á¤½Ä guidelineÀÌ ³ª¿À±â¸¦ ±â´ëÇÕ´Ï´Ù. »çÀü Á¤ÁöÀÛ¾÷À¸·Î ¾Æ·¡ µÎ °¡Áö´Â ²À ÇÊ¿äÇÒ °Í °°½À´Ï´Ù.
- ³»½Ã°æ clip¿¡ ´ëÇÑ ¼ö°¡ Àû¿ëÀÌ ¿ì¼±µÇ¾î¾ß ÇÒ °Í °°½À´Ï´Ù. ±â·Ï°ú °ü¸®¸¦ ü°èÀûÀ¸·Î ÇÒ ¼ö ÀÖ´Â ÀüÁ¦Á¶°ÇÀÏ °ÍÀÔ´Ï´Ù. ±â·ÏÀ» ³²°Üµµ µ·À» ¹ÞÁö ¸øÇÏ´Â Çö »óȲ¿¡¼´Â Á¤È®ÇÑ ±â·Ï°ú °ü¸®´Â ±â´ëÇÏ±â ¾î·Æ½À´Ï´Ù.
- ³»½Ã°æ ȸ»ç´Â MRI-compatible clipÀ» °³¹ßÇØ¾ß ÇÕ´Ï´Ù. ³»½Ã°æ ÇÐȸ¿¡¼ °·ÂÈ÷ ¿äÃ»ÇØ¾ß ÇÕ´Ï´Ù.
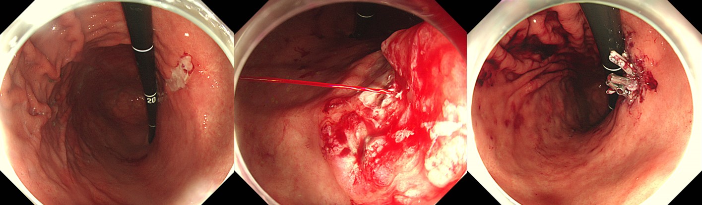
2016³â ´ëÇÑ»óºÎÀ§Àå°üÇ︮ÄÚ¹ÚÅÍÇÐȸÁö¿¡ ±èÈñ¸¸ ¼±»ý´Ô²²¼ Èï¹Ì·Î¿î case series¸¦ ¹ßÇ¥Çϼ̽À´Ï´Ù (Jung HY. KJHUGR 2016). ³»½Ã°æ µµÁß ¹ß°ßµÈ Ŭ¸³ÀÇ »ó´ç ºÎºÐÀ» grasping forcepÀ¸·Î Àâ¾Æ´ç°Ü Á¦°ÅÇÒ ¼ö ÀÖ¾ú´Ù´Â °ÍÀÔ´Ï´Ù. ÀϺο¡¼ ÃâÇ÷ÀÌ ÀÖ¾ú´Âµ¥ Áï½Ã Ŭ¸³À» ´Ù½Ã ÀåÂøÇÏ¿© ÁöÇ÷ÇÏ¿´´Ù°í µÇ¾î ÀÖ½À´Ï´Ù.
Ŭ¸³ °¡Áø ȯÀÚÀÇ MRI ¾ÈÀü¼º¿¡ ´ëÇÑ ³í¶õÀÌ ÀÖ´Â Çö ½ÃÁ¡¿¡¼ »ó´çÈ÷ ÀǹÌÀÖ´Â ½Ãµµ¶ó°í »ý°¢ÇÕ´Ï´Ù. Àúµµ °í¹ÎÀÔ´Ï´Ù. º¸ÀÌ¸é ´Ù ¾ø¾Ö¹ö¸±±î?
2019³â 5¿ù 1ÀϺÎÅÍ ½ãÅø޵ðÄ® Þä OTSC clip (±Þ¿©»óÇѰ¡ : 846,940¿ø,º»Àκδã·ü 50%)À» »ç¿ëÇÒ ¼ö ÀÖ°Ô µÇ¾ú½À´Ï´Ù. ¹°·Ð Á¶°ÇÀÌ ÀÖ½À´Ï´Ù. "³»½Ã°æÇÏ Ãµ°ø ºÀÇÕ¿ë CLIPÀº ¡®ÀÚ766 ³»½Ã°æÀû »óºÎ ¼ÒȰü õ°ø Ä¡·á¼ú¡¯ ½Ã 10~30mm Å©±âÀÇ Ãµ°ø¿¡ ÇÑÇÏ¿© 1°³¸¦ ¿ä¾ç±Þ¿©Çϸç, ¡¸¼±º°±Þ¿© ÁöÁ¤ ¹× ½Ç½Ã µî¿¡ °üÇÑ ±âÁØ¡¹¿¡ µû¶ó º»Àκδã·üÀ» 50%·Î Àû¿ëÇÔ"
¿¹¹æÀûÀ¸·Î clipÀÌ »ç¿ëµÇ¾ú½À´Ï´Ù. ±×·¯³ª 2025³â ÇöÀç±îÁö ±Þ¿©°¡ µÇÁö ¾Ê°í ÀÖ½À´Ï´Ù.
Exposed vessel ÁöÇ÷¼ú Áß spurtingÀÌ º¸¿© ÀÏȸ¿ë clipÀ» ÀÌ¿ëÇÑ ÁöÇ÷¼úÀ» ½ÃµµÇÏ¿´À¸³ª ±Ë¾çÀú°¡ ¸Å¿ì ´Ü´ÜÇÏ¿© ¹Ì²ô·¯Áö±â¸¸ Çϰí Á¤È®ÇÑ targetingÀÌ µÇÁö ¾Ê¾Æ Olympus EZ clipÀ¸·Î ¹Ù²ã ¸î ¹ø ´õ ½ÃµµÇÑ ÈÄ ÁöÇ÷ÀÌ µÊ
[2019-8-31. ¾Öµ¶ÀÚ Áú¹®]
CardiaÀÇ Á¶Á÷°Ë»ç ÈÄ ÃâÇ÷ÀÌ ÀÖ¾î clipÀ» applyÇÏ¿´½À´Ï´Ù.
1. ClipÀÌ Áõ»óÀ» ÀÏÀ¸Å°Áö ¾ÊÀ»±î¿ä?
2. ÀúÀý·Î ¾ø¾îÁöÁö ¾ÊÀ¸¸é ²À Á¦°ÅÇØ ÁÖ¾î¾ß Çմϱî?
[2019-8-31. ÀÌÁØÇà ´äº¯]
1. ClipÀÌ Áõ»óÀ» ÀÏÀ¸ÄѼ ¹®Á¦°¡ µÈ °æ¿ì¸¦ º» ÀûÀº ¾ø½À´Ï´Ù.
2. ClipÀº ÀúÀý·Î ¾ø¾îÁö´Â °æ¿ì°¡ ¸¹À¸³ª °£È¤ ¼ö³âÀÌ Áö³ªµµ ¾ø¾îÁöÁö ¾Ê´Â °æ¿ì°¡ ÀÖ½À´Ï´Ù. Àâ¾Æ´ç±â¸é Á¦°ÅÇÒ ¼ö´Â ÀÖ½À´Ï´Ù (Jung HY. KJHUGR 2016). ±×·±µ¥ Àâ¾Æ´ç°Ü Á¦°ÅÇÑ ÈÄ ÃâÇ÷ÀÌ ÀÖ¾î Áï½Ã ´Ù½Ã clipÀ» ÀåÂøÇÏ¿© ÁöÇ÷ÇÑ °æ¿ìµµ ÀÖ½À´Ï´Ù. ÇöÀçÀÇ clipÀº ´ëºÎºÐ MRI compatibleÇÏÁö ¾Ê½À´Ï´Ù. ±×·¡¼ ¾à°£ÀÇ °ÆÁ¤ÀÌ Àִµ¥, »ç½Ç clipÀÌ ÀÖ´Â ÁÙ ¸ð¸£°í MRI ÂïÀº ȯÀÚ´Â ¸Å¿ì ¸¹Àºµ¥ Å« ¹®Á¦°¡ ÀÖ¾ú´Ù´Â °æ¿ì´Â ¾ÆÁ÷ ÀüÇØ µéÀº ÀûÀº ¾ø½À´Ï´Ù.
[2020-3-13. ¾Öµ¶ÀÚ Áú¹®]
±³¼ö´Ô, ¾È³çÇϼ¼¿ä? ±³¼ö´ÔÀÇ ¿£µµÅõµ¥À̷κÎÅÍ ¸¹Àº µµ¿òÀ» ¹Þ°í ÀÖ½À´Ï´Ù.
ÃÖ±Ù ´ëÀå³»½Ã°æ°Ë»ç µµÁß ¿ëÁ¾À» EMR·Î ÀýÁ¦ÈÄ ¿¹¹æÂ÷¿ø¿¡¼ (¹°·Ð ¹«·á) Ŭ¸³ÇÎÀ» ½ÃÇàÇÏ¿´´Âµ¥, Ŭ¸³ 1°³°¡ Á¦´ë·Î ¹°¸®Áö ¾Ê°í °ü°³»¿¡ ¶³¾îÁ³½À´Ï´Ù. ½Ã¼úÀ» ¸¶¹«¸®ÇÏ°í ¶³¾îÁø Ŭ¸³À» ã¾Æº¸´Ï ãÀ» ¼ö°¡ ¾ø¾ú½À´Ï´Ù. ȯÀÚ¿¡°Ô ¼³¸íÇÏ°í ¸î ½Ã°£ ÈÄ ´Ù½Ã »ðÀÔÇÏ¿© ã¾ÆºÃÀ¸³ª ¿ª½Ã ãÁö ¸øÇÏ¿´½À´Ï´Ù. Æò¼Ò ¿Ã¸²Çª½º ÀÌÁöŬ¸³À» ¾²´Ù°¡ ¾ó¸¶ÀüºÎÅÍ ÆæÅ¹½º Ŭ¸³À» »ç¿ëÁßÀä, Á» Àͼ÷Áö ¸øÇÑ Å¿µµ ÀÖ´Â °Í °°½À´Ï´Ù.
°ÆÁ¤µÇ´Â Á¡Àº Ŭ¸³ÀÌ ´ÝÈùä·Î ¶³¾îÁø°Ô ¾Æ´Ï°í ¿·ÁÁø »óÅ·ΠºÐ½ÇµÇ¾î Ȥ½Ã ¹®Á¦°¡ µÇÁö ¾ÊÀ»±î ÇÏ´Â Á¡ÀÔ´Ï´Ù. Ŭ¸³³¡Àº ¾ÈÂÊÀ¸·Î ¿À¹«·ÁÁ® ÀÖ¾î¼ ³¯Ä«·ÓÁö´Â ¾ÊÁö¸¸ ±×·¡µµ °ÆÁ¤ÀÌ µË´Ï´Ù. °Ë»ç ÈÄ simple x-ray¿¡¼µµ Á¤»óÀûÀ¸·Î ¹°¸° Ŭ¸³¿Ü¿¡´Â ÀÌ»óÀ½¿µÀ» ãÀ» ¼ö°¡ ¾ø¾ú½À´Ï´Ù. ȯÀÚ´Â ¾Æ¹«·± ºÒÆí°¨µµ ¾ÐÅëµµ ¾ø¾ú½À´Ï´Ù. CT±îÁö Âï¾î¼ È®ÀÎÇØ ºÁ¾ß ÇÒ±î¿ä?
[2020-3-13. ÀÌÁØÇà ´äº¯]
¸¶À½ °í»ýÀÌ ¸¹À¸¼Ì°Ú½À´Ï´Ù.
P»ç Ŭ¸³Àº »ç¿ë °æÇèÀÌ ¾ø½À´Ï´Ù¸¸, O»ç Ŭ¸³Àº ¿À·¡ »ç¿ëÇϰí ÀÖ½À´Ï´Ù. À§/´ëÀå ÁöÇ÷¼ú, EMR, ESD µµÁß Å¬¸³ÀÌ ÀåÂø Àü ¿¸° »óÅ·Π¶³¾îÁø °æ¿ì, ¹ÝÂë ´ÝÈù »óÅ·Π¶³¾îÁø °æ¿ì°¡ ÀûÁö ¾Ê¾Ò½À´Ï´Ù. ´ëºÎºÐ ¼ö°ÅÇÏÁö ¾Ê°í À§/´ëÀå¿¡ ³õ°í ³ª¿Ô´Âµ¥ ¾ÆÁ÷±îÁö ÇÑ ¹øµµ ¹®Á¦´Â ¾ø¾ú½À´Ï´Ù. ¾Æ¸¶ º° ¹®Á¦ ¾øÀ» °Í °°½À´Ï´Ù.
P»ç Ŭ¸³ »ç¿ë °æÇèÀº ¾ø¾î¼ ȸ»çÃø¿¡ ¹®ÀÇÇØ º¸°Ú½À´Ï´Ù.
[2020-3-20. ÀÌÁØÇà Ãß°¡ ´äº¯]
Pentax »ç¿¡¼ ¾Æ·¡¿Í °°Àº ´äº¯ÀÌ ¿Ô½À´Ï´Ù. Âü°íÇϽñ⠹ٶø´Ï´Ù.
"³»½Ã°æ ½Ã¼ú Áß¿¡ Ŭ¸³ÀÌ ¶³¾îÁö¸é, ½Ã¼úÀÚ°¡ È®ÀÎÀÌ µÇ´Â´ë·Î ´ëºÎºÐ ȸ¼öÇÏÁö¸¸, ¹ß°ßÀÌ µÇÁö ¾Ê¾Æµµ ´Ù¸¥ Á¶Ä¡¸¦ ÃëÇÏÁö ¾Ê´Â °æ¿ì°¡ ÀÖ´Ù. Á¤»óÀûÀ¸·Î Á¶Á÷À» Ŭ·¥ÇÎÇÑ Å¬¸³µµ ½Ã°£ÀÌ Áö³ ÈÄ, ¶³¾îÁ® ¼ÒȰüÀ» ÅëÇØ ÀÚ¿¬ÀûÀ¸·Î ¹èÃâµÇ±â ¶§¹®¿¡ ½Ã¼ú Áß ¼ÒȰü ³»¿¡¼ ºÐ½ÇµÈ Ŭ¸³ ¿ª½Ã ÀÚ¿¬ÀûÀ¸·Î ¼ÒȰüÀ» ÅëÇØ ¹èÃâµÇ¾î ¹®Á¦°¡ ¾øÀ» °ÍÀ¸·Î º»´Ù. ÇϺΠ¼ÒȰüÀÏ °æ¿ì Á»´õ ½±°Ô ¹èÃâÀÌ µÉ ¼ö ÀÖ´Ù.
[2021-10-23] ´ëÀå¿ëÁ¾ÀýÁ¦¼ú ÈÄ clip ¼ö°¡
´ëÇѼÒȱ⳻½Ã°æÇÐȸ¿¡¼ ÁÖ°üÇÑ ³»½Ã°æ ¿ì¹ßÁõ¿¡ ´ëÇÑ °øÃ»È¸°¡ ÀÖ¾ú½À´Ï´Ù. Á¦°¡ ´ëÀå³»½Ã°æ clip¿¡ ´ëÇÑ ¼ö°¡ º¸»óÀÌ ÇÊ¿äÇÏ´Ù°í ÁÖÀåÀ» ÇÏ¿´´Âµ¥ ´ÙÀ½°ú °°Àº ¿äÁöÀÇ ´äº¯ÀÌ ¿Ô½À´Ï´Ù.
"¿¹¹æÀû Ŭ¸³°áÂû¼úÀ» Ç졂 ÇÏÁö ¾Ê°Ç ´ëÀå¿ëÁ¾ÀýÁ¦¼ú ¼ö°¡¿¡ hemoclip 3°³ÀÇ °¡°ÝÀÌ Æ÷ÇԵǾî Àֱ⠶§¹®¿¡, ¿ëÁ¾ ÀýÁ¦¼ú ÈÄ ¿¹¹æÀû Ŭ¸³ ºÀÇÕ¼úÀÌ ÇÊ¿äÇÑ °æ¿ì ½ÃÇàÇÒ ¼ö ÀÖµµ·Ï Á¦µµ´Â ¸¶·ÃµÇ¾î ÀÖ½À´Ï´Ù.
- 2Â÷ »ó´ë°¡Ä¡°³ÆíÀÇ ÀÚ·á¿¡´Â Q7701(cold snare) °ú Q7703(EMR) ¸ðµÎ hemoclips 3°³°¡ Æ÷ÇԵǾî ÀÖ½À´Ï´Ù. µû¶ó¼ ¿ëÁ¾ ÀýÁ¦¸¦ ½ÃÇàÇϰí hemoclipÀ» û±¸ÇÏ´Â °ÍÀº ½ÉÆò¿ø ÀÔÀå¿¡¼´Â û±¸ ºÒ°¡·Î ó¸®ÇÏ´Â °ÍÀÌ ´ç¿¬ÇÕ´Ï´Ù.
- ClipÀ» º°µµ º¸»óÀ¸·Î ÇöÀç »ó´ë°¡Ä¡ Á¡¼ö¿¡¼ »©´Â °ÍÀº clipÀ» »ç¿ëÇÏÁö ¾ÊÀº ¿ëÁ¾ÀýÁ¦¼úÀÇ ÇàÀ§¼ö°¡¸¦ ³·Ãâ °ÍÀÔ´Ï´Ù.
- Á¤ºÎ´Â clipÀ» º°µµ º¸»óÀ¸·Î »©¸é °úµµÇÑ clip »ç¿ëÀ» À¯¹ßÇϱ⵵ Çϰí, clipÀÇ ÃâÇ÷ ¿¹¹æ Áõ°Åµµ ºÎÁ·ÇÏ´Ù°í »ý°¢ÇÏ´Â µíÇÕ´Ï´Ù."
¿äÄÁµ¥ ´ëÀå³»½Ã°æ ¿ëÁ¾ÀýÁ¦¼ú¿¡¼ clipÀ» »ç¿ëÇÏ´øÁö »ç¿ëÇÏÁö ¾Ê´øÁö 3°³ÀÇ clipÀ» »ç¿ëÇÑ´Ù´Â ÀüÁ¦·Î ¼ö°¡°¡ ÀâÇôÀÖ´Â ¸ð¾çÀÔ´Ï´Ù. ±×·¸´Ù¸é clipÀ» »ç¿ëÇÏÁö ¾ÊÀ¸¸é ±×¸¸Å ÀÌÀÍÀÌ ³²°Ô µÇ¾î ÀÖ´Â ¼ÀÀÌÁö¿ä. ´Ù¸¸ 4°³ ÀÌ»óÀÇ clipÀ» »ç¿ëÇÏ¿´À» ¶§ Àç·áºñ¸¦ û±¸ÇÒ ¹æ¹ýÀÌ ¾ø´Ù´Â ÇѰè´Â ÀÖ½À´Ï´Ù. ÀÇ·á ¼ö°¡ÀÇ ÀüüÀûÀÎ ¼öÁØÀÌ ¹®Á¦ÀÌÁö, ´ëÀå³»½Ã°æ ¿ëÁ¾ÀýÁ¦¼ú ÈÄ ¿¹¹æÀû clipping¿¡ ´ëÇÑ ¼ö°¡ Á¤Ã¥Àº ºñ±³Àû ÀûÀýÇÏ°Ô ÀâÇôÀÖ´Ù°í º¸´Â °ÍÀÌ ÁÁ°Ú½À´Ï´Ù.
¾ÕÀ¸·Î´Â '´ëÀå³»½Ã°æ ¿ëÁ¾ÀýÁ¦¼ú ÈÄ clippingÀº ¼ö°¡¸¦ ¹ÞÀ» ¼ö ¾ø´Ù'´Â ¸»Àº ÇÏÁö ¾Ê°Ú½À´Ï´Ù. Àúµµ ¸ð¸£´Â »óÅ¿¡¼ ÀÌ¹Ì ¹Þ°í ÀÖ¾úÀ¸´Ï±î¿ä.
1. [û³âÀÇ»ç 2023] ¼ö¼ú 5³â ¸¸¿¡ ¹ß°ßÇÑ ¸ö ¼Ó Ŭ¸³¡¦°ú½Ç ¾Æ´ÏÁö¸¸ ¼ÕÇØ¹è»ó - ³»½Ã°æ Ŭ¸³°ú´Â ÀüÇô ´Ù¸¥ À̾߱âÀÔ´Ï´Ù¸¸ ¾ÈŸ±õ½À´Ï´Ù. ÀÇ·áµµ °úÀ×ÀÌ°í ¹ý·üµµ °úÀ×ÀÎ ½Ã´ëÀÔ´Ï´Ù.
© ÀÏ¿ø³»½Ã°æ±³½Ç ¹Ù¸¥³»½Ã°æ¿¬±¸¼Ò ÀÌÁØÇà. EndoTODAY Endoscopy Learning Center. Lee Jun Haeng.