Home | EndoTODAY | EndoATLAS

Beginner | ESA | Schedule | OPD

Seminars | Atlas | Recent | Links

EndoTODAY ³»½Ã°æ ±³½Ç


[¾Öµ¶ÀÚ Áõ·Ê ÆíÁö 5 (°³¾÷°¡ µ¿¹®]

Previous | Next


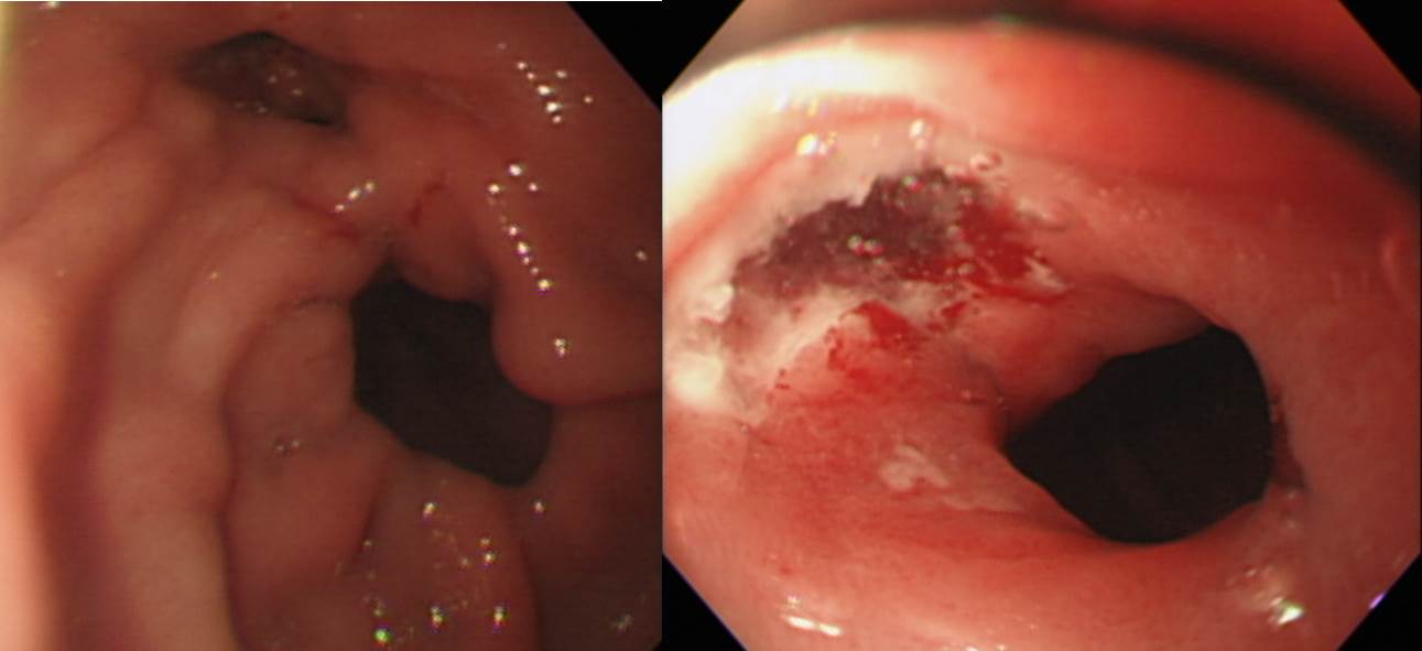
Áõ·Ê 1. Double pylorus. Áߺ¹ À¯¹®

[2015-11-4. ¾Öµ¶ÀÚ ÆíÁö]

±³¼ö´Ô ¾È³çÇϼ¼¿ä~ XXX ÀÔ´Ï´Ù. Àç¹ÌÀÖ´Â ÄÉÀ̽º°¡ ÀÖÀ¸¸é °øÀ¯ÇØ ´Þ¶ó°í Çϼż­ Àúµµ Á¶±Ý ¸ð¾Æº¸¾Ò½À´Ï´Ù.

Ç×»ó ¿£µµÅõµ¥ÀÌ Àß º¸°í ÀÖ½À´Ï´Ù. °íÀÛ 2³âÀ» local¿¡ ÀÖ¾úÁö¸¸, ¼Ò½ÅÀÖ´Â Áø·á, Áú ³ôÀº ÀÇ·á°¡ Á¡Á¡ ¾î·Á¿öÁüÀ» ´À³§´Ï´Ù. ±×·¡µµ Ç×»ó »ý°¢ÇÏ´Â °Ç, (µ¿±âµéµµ ±×·¸Áö¸¸) ÀúÈñ´Â Âü Àß ¹è¿ü´Ù´Â °ÍÀÔ´Ï´Ù. ¸·»ó 4³âÂ÷ ¹× Æç·Î¿ì ¶§´Â ÇǰïÇØ Çß¾úÁö¸¸... ¼ö·Ã ´ç½Ã·Î µ¹¾Æ°¡¶ó¸é ¸ø µ¹¾Æ°¡°ÚÁö¸¸ ±× ½ÃÀýÀÌ ¸¹ÀÌ ±×¸³½À´Ï´Ù.

Ç×»ó °Ç°­ÇϽðí... ´Ã Áö±Ýó·³ ȯÀÚµéÀ» À§ÇØ Èû½á ÁÖ¼¼¿ä. ÁÁÀº ÄÉÀ̽º ÀÖÀ¸¸é ¶Ç ã¾ÆºË°Ú½À´Ï´Ù.

Áߺ¹À¯¹® (double pylorus)ÀÔ´Ï´Ù. »ç½Ç ÀÌ È¯ÀÚºÐÀº Á» ºÎ²ô·´½À´Ï´Ù. ÇÑ ¼¼¼Ç¿¡ 40-50¸í Á¤µµÀÇ ¿Ü·¡È¯ÀÚ¸¦ º¸¸é¼­ Áß°£Áß°£ ³»½Ã°æÀ» 6-7°³ Çϰí ÀÖ½À´Ï´Ù. ¹Ì¸® ¿¹¾àÇÏ°í ¿À´Â °Íµµ ¾Æ´Ï°í °Ë»ç ¼ø¼­µµ ÁغñµÇ´Â ´ë·Î randomÇÏ°Ô ÁøÇàµÇ´Â ÅͶó ÀÌÀü ³»½Ã°æ »çÁøÀ» ¸®ºäÇÒ ÃæºÐÇÑ ½Ã°£ÀÌ ¾ø½À´Ï´Ù. (ÀÌ È¯ÀÚ ÀÌÈÄ·Î process¸¦ °³¼±Çß½À´Ï´Ù.) '¼Ó¾²¸²À¸·Î À§³»½Ã°æÀ» ÇÑ´Ù'´Â Á¤º¸¸¦ µè°í ³»½Ã°æÀ» Àâ¾Ò½À´Ï´Ù.

óÀ½¿¡´Â ±Ë¾ç õ°øÀ¸·Î »ý°¢ÇÏ°í ³Ê¹« ´çȲÇÏ¿© pylorus ÁøÀÔ ÈÄ »¡¸® ³ª¿Í¹ö·È½À´Ï´Ù. ÀÌÀü °Ë»ç °á°ú¸¦ ¸®ºäÇϰí Chest X-ray »ó free air °¡ ¾ø¾î double pyrolusÀÓÀ» ¾Ë¾Ò½À´Ï´Ù. À§ÀÇ Á¦ »çÁø¿¡¼­´Â ¶Ñ·ÇÇÏ°Ô µÎ °³ÀÇ ±¸¸ÛÀÌ º¸ÀÌÁö ¾Ê¾ÒÀ¸³ª ¾Æ¸¶ Á¦°¡ ÃæºÐÈ÷ °ø±â¸¦ ÁÖÀÔÇÑ ÈÄ °üÂûÇÏÁö ¾Ê¾Ò±â ¶§¹®ÀÎ °Í °°½À´Ï´Ù. ÀüÀÓÀÚ ¼±»ý´Ô²²¼­ ÃÔ¿µÇÑ ¾Æ·¡ÀÇ À۳⠻çÁø¿¡¼­´Â µÎ °³ÀÇ ±¸¸ÛÀÌ ¶Ñ·ÇÇÏ°Ô È®Àε˴ϴÙ.


[2015-11-5. ÀÌÁØÇà comment]

¸Å¿ì ÁÁ½À´Ï´Ù. Á¶±ÝÀÌ¶óµµ ÀÌ»óÇϸé Áï½Ã È®ÀÎÇÏ´Â °ÍÀº ÁÁÀº ½À°üÀÔ´Ï´Ù.

Double pylorus´Â Àúµµ µå¹°°Ô °æÇèÇϰí ÀÖ½À´Ï´Ù. À§±Ë¾çÀ̳ª ½ÊÀÌÁöÀå±Ë¾çÀÌ ±í¾î¼­ gastriduodenal fistula°¡ »ý±â´Â °ÍÀε¥ ±Ë¾çÄ¡·á¸¦ ÇØµµ fistula°¡ ´ÝÈ÷´Â °æ¿ì´Â ¸Å¿ì °ÅÀÇ ¾ø´Ù°í ÇÕ´Ï´Ù. ¾Æ·¡ »çÁø ȯÀÚÀÇ °æ¿ì gastroduodenal fistula°¡ ºñ±³Àû edematousÇÏÁö ¾Ê°í ±ú²ýÇÏ°Ô º¸¿´±â ¶§¹®¿¡ fistula´Â °ú°Å¿¡ ¹ß»ýÇÑ °ÍÀ̰í À̹ø¿¡´Â duodenal ulcer¸¸ »ý±ä °ÍÀ¸·Î ÆÇ´ÜÇϰí ÀÖ½À´Ï´Ù. ¹°·Ð ½Ã³ª¸®¿À¸¦ ´Ù¸£°Ô »ý°¢ÇÒ ¼ö ÀÖ½À´Ï´Ù. ±íÀº ½ÊÀÌÁöÀå ±Ë¾çÀÌ À§·Î fistula¸¦ Çü¼ºÇß´Ù°í º¼ ¼öµµ ÀÖÁö¿ä. Àú´Â ÀüÀÚÀÏ È®·üÀÌ ³ô´Ù°í º¸°í ÀÖ½À´Ï´Ù.

Âü°í¹®Çå(Hu. Gastrointest Endosc 2001)¿¡ ³ª¿À´Â »çÁøµµ Çϳª ¼Ò°³ÇÕ´Ï´Ù.

µå¹°Áö¸¸ ¼ö³â¿¡ ÇÑ ¹ø Á¤µµ ¸¸³ª°í ÀÖ½À´Ï´Ù.

¶Ç ´Ù¸¥ double pylorus¸¦ °æÇèÇÏ¿´À¸¸ç À̸¦ Á¤¸®ÇÏ¿© YouTube¿¡ ¿Ã·È½À´Ï´Ù. ÀÌ È¯ÀÚ´Â ¸Å¿ì ƯÀÌÇÑ °æ¿ìÀÔ´Ï´Ù. Double pylorus´Â ÁÖ·Î ¼Ò¸¸/Àüº®ÂÊ¿¡ ¹ß»ýÇϴµ¥ ÀÌ È¯ÀÚ´Â ´ë¸¸/Èĺ®ÂÊ¿¡¼­ gastroduodenal fistula°¡ ¹ß»ýÇÏ¿´±â ¶§¹®ÀÔ´Ï´Ù.


[2022-12-20. ÀÌÁØÇà comment]

¸ðó·³ ¾Öµ¶ÀÚ²²¼­ double pyloric ring Áõ·Ê »çÁøÀ» º¸³»¿À¼Ì½À´Ï´Ù.


Áõ·Ê 2

AGC ȯÀÚÀÔ´Ï´Ù. ÄÉÀ̽º¸¸ ³õ°í º¸¸é º°·Î ƯÀÌÇÏÁö´Â ¾ÊÀ¸³ª, °ú°Å·Â»ó À§³»½Ã°æÀ» ÇÑ ¹øµµ ¾È ¹Þ¾Æº» ºÐÀ̼̽À´Ï´Ù. (¹«Áõ»ó) ³Ê¹« ÀÚÁÖ °ËÁøÀ» ÇÒ ÇÊ¿ä´Â ¾øÀ¸³ª ÀÌ·± ÄÉÀ̽º¸¦ º¸¸é ȯÀÚµµ Àǻ絵 ¸ð°ñÀÌ ¼Û¿¬ÇØÁö´Â °Í °°½À´Ï´Ù. Polyp ¹× erosion µîÀÇ º´º¯ÀÌ ÀÖ¾ú°í °æÇè»ó polyp °°¾Æ º¸ÀÌÁö¸¸ Á¶Á÷°Ë»ç ÇØº¸¸é EGC type IÀÎ °æ¿ìµµ ÀÖ¾î ¿­½ÉÈ÷ Á¶Á÷°Ë»ç¸¦ ÇßÀ¸³ª negative¿´½À´Ï´Ù.


[References]

1) EndoTODAY ¾Öµ¶ÀÚ Áõ·Ê ÆíÁö

© ÀÏ¿ø³»½Ã°æ±³½Ç ¹Ù¸¥³»½Ã°æ¿¬±¸¼Ò ÀÌÁØÇà. EndoTODAY Endoscopy Learning Center. Lee Jun Haeng.