Home | EndoTODAY | EndoATLAS

Beginner | ESA | Schedule | OPD

Seminars | Atlas | Recent | Links

EndoTODAY ³»½Ã°æ ±³½Ç


[¹æ»ç¼± °ü·Ã À§Àå°ü ¼Õ»ó. Radiation-induced upper GI tract injury] - ðû

1. Introduction - RadiationÀÌ ÀÎü Àå±â¿¡ ¹ÌÄ¡´Â ¿µÇâ

2. ¹æ»ç¼± ½Äµµ¿° Radiation-induced esophagitis

3. ¹æ»ç¼± À§¿°, ½ÊÀÌÁöÀå¿°, À§±Ë¾ç Radiation-induced gastroduodenitis

4. À§ÇèÀÎÀÚ¿Í ÁßÁõµµ scoring

5. ³»½Ã°æ Ä¡·á Endoscopic treatment of RT-induced upper GI tract injury

6. ¹æ»ç¼± Á÷Àå¿° Radiation-induced proctitis

7. History of radiotherapy

8. ¹Ýº¹ÀûÀÎ CT °Ë»çÀÇ ¹æ»ç¼± À§Çè

9. FAQs

10. References


1. Introduction - RadiationÀÌ ÀÎü Àå±â¿¡ ¹ÌÄ¡´Â ¿µÇâ

ÀÇÇп¡¼­´Â ´Ù¾çÇÑ ¹æ»ç¼±ÀÌ »ç¿ëµÇ°í ÀÖ½À´Ï´Ù.

Ä¡·á¸ñÀûÀÇ ¹æ»ç¼±Àº Á¤µµÀÇ Â÷À̰¡ ÀÖÀ¸³ª ¾î¶² Àå±â¿¡µµ ¿µÇâÀ» ¹ÌÄ¥ ¼ö ÀÖ½À´Ï´Ù. ¿À·¡µÈ Áõ·ÊÀÔ´Ï´Ù º¹ºÎ ¸²ÇÁÀý ºÎÀ§¸¦ ³Ð°Ô ¹æ»ç¼± Ä¡·á¸¦ ÇÏ¿´½À´Ï´Ù. Ä¡·á ÈÄ CT »çÁøÀ» º¸¸é °£°ú ½ÅÀå µî RT field¿¡ µé¾î°£ ¿©·¯ Àå±â¿¡ º¯È­°¡ ¿Í ÀÖ´Â °ÍÀ» ¾Ë ¼ö ÀÖ½À´Ï´Ù. À§³ª ¼ÒÀå, ´ëÀåµµ RT field¿¡ µé¾î°¡¸é ¼Õ»óÀ» ¹Þ½À´Ï´Ù.


2. ¹æ»ç¼± ½Äµµ¿°

±¹¼Ò ÁøÇà ¶Ç´Â ÀüÀÌÇü ºñ¼Ò¼¼Æ÷Æó¾Ï¿¡¼­ palliative ¸ñÀûÀÇ Ç׾Ϲæ»ç¼±Ä¡·á ½Ã ¾à 10~40%¿¡¼­ ¹æ»ç¼± À¯¹ß ½Äµµ¿°ÀÌ ¹ß»ýÇÒ ¼ö ÀÖ´Ù. 30 Gy ÀÌ»óÀÇ ¹æ»ç¼±Á¶»ç¸¦ ÇÏ¸é ±Þ¼º ÈäºÎÀÛ¿­°¨°ú »ïÅ´ÅëÁõÀÌ ³ªÅ¸³¯ ¼ö Àִµ¥, ´ë°³´Â °æÁõÀÌ¸ç ¹æ»ç¼± Ä¡·á¸¦ ÇÏ´Â ±â°£ Áß¿¡¸¸ Áõ»óÀÌ ÀÖ´Ù. ¹æ»ç¼± Á¶»ç·®ÀÌ 40 Gy Á¤µµ°¡ µÇ¸é Á¡¸·ÀÇ ¹ßÀû°ú ºÎÁ¾ÀÌ Á¾Á¾ °üÂûµÈ´Ù. ¹æ»ç¼±Á¶»ç ½ÃÀÛ 2ÁÖÀÏ Èİ¡ µÇ¸é ¾èÀº ¹Ì¶õÀÌ ³ªÅ¸³ª°í, ¹æ»ç¼±Á¶»ç ¿Ï·á 3¡­4ÁÖ Èİ¡ µÇ¸é È£ÀüµÈ´Ù. µ¶¼Ò·çºñ½Å°ú °°Àº È­Çпä¹ýÁ¦¸¦ ¹æ»ç¼± Ä¡·á¿Í µ¿½Ã¿¡ Åõ¿©ÇÏ¸é ½ÄµµÀÇ ¹æ»ç¼±¼Õ»óÀÌ ´õ ½ÉÇØÁú ¼ö ÀÖ´Ù. ÀÌ·± °æ¿ì¿¡´Â 25 Gy ¹Ì¸¸ÀÇ ¹æ»ç¼± Á¶»ç·®¿¡¼­µµ ½Äµµ ¼Õ»óÀÌ ¹ß»ýÇÒ ¼ö ÀÖ´Ù.

½Äµµ¿¡µµ ¿°Áõ°ú ±Ë¾çÀÌ ¹ß»ýÇÒ ¼ö ÀÖ½À´Ï´Ù. ½Äµµ¿¡¼­´Â ÁÖ·Î ÇùÂøÀÌ ¹®Á¦°¡ µË´Ï´Ù.

RT ÈÄ ¹ß»ýÇÑ ½Äµµ ±Ë¾ç. NSCLC ·Î CCRT ÈÄ ¹ß»ýÇÑ odynophagia

°©»ó¼±¾Ï ôÃß ÀüÀÌ RT ÈÄ ¹ß»ýÇÑ ¹æ»ç¼± ½Äµµ¿°. Radiation-esophagitis

Left nasopharyngeal cancer (T4N0)¿¡ ´ëÇÑ definitive CCRT 2³â ÈÄ lung metastasis°¡ ÀÖ¾î RTÈÄ ¹Ý³â¸¸¿¡ dysphagia ¹ß»ý. ³»½Ã°æ¿¡¼­ ½Äµµ circumferential ulcerationÀÖ¾ú°í steroid »ç¿ë ÈÄ ´Ù¼Ò È£Àü

Radiation esophagitis


3. ¹æ»ç¼± À§¿°, ½ÊÀÌÁöÀå¿°, À§±Ë¾ç

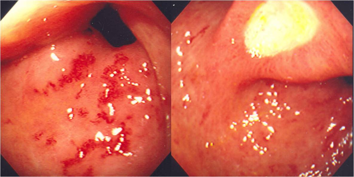
ÀüÁ¤ºÎ ÃâÇ÷¼º ±Ë¾ç

ÀüÁ¤ºÎ ÃâÇ÷¼º À§¿°

À§ ÀüÁ¤ºÎ¿Í ½ÊÀÌÁöÀå ±¸ºÎ°¡ RT field¿¡ µé¾î°¡ ÃâÇ÷¼º À§½ÊÀÌÁöÀå¿°ÀÌ ¹ß»ý

°£¾ÏÀ¸·Î RT. ÃâÇ÷¼º À§½ÊÀÌÀå¿°

À§¿°À̳ª ½ÊÀÌÁöÀå¿° »Ó¸¸ ¾Æ´Ï¶ó À§±Ë¾çÀ̳ª ½ÊÀÌÁöÀå ±Ë¾çµµ ¹ß»ýÇÒ ¼ö ÀÖ½À´Ï´Ù. À§±Ë¾çÀÔ´Ï´Ù.

±Ë¾çÀÌ ½ÉÇϸé õ°ø±îÁö ¹ß»ýÇÏ´Â °æ¿ì°¡ ÀÖ½À´Ï´Ù.

±Ë¾çÀÌ ½ÉÇÏ¸é ±ÞÀÛ½º·´°Ô ´ë·® ÃâÇ÷ÀÌ ¹ß»ýÇÏ´Â °æ¿ì°¡ ÀÖ½À´Ï´Ù. ¹Ìó ¼Õ¾µ °Ü¸¦ÀÌ ¾ø±âµµ ÇÕ´Ï´Ù.

°£¾ÏȯÀÚ (¿©ÀÚ 55¼¼) proton therapyÈÄ ½ÉÇÑ º¹Åë°ú ±¸¿ª°¨. ½ÊÀÌÁöÀå°ú ´ëÀå hepatic flexure ºÎÀ§¿¡ ½ÉÇÑ ¿°Áõ°ú ±Ë¾ç ¼Ò°ß. ¾ç¼ºÀÚ Ä¡·á°¡ ÀÏ¹Ý RT¿¡ ºñÇÏ¿© ÁÖº¯ Àå±â ¼Õ»óÀÌ Àû´Ù°í ÇÏÁö¸¸ ¾ø´Â °ÍÀº ¾Æ´Õ´Ï´Ù.

¿À·¡µÈ ³í¹®ÀÔ´Ï´Ù¸¸, 2005³â¿¡ »ï¼º¼­¿ïº´¿ø¿¡¼­ °£¼¼Æ÷¾Ï ȯÀÚÀÇ ¹æ»ç¼± Ä¡·á·Î ÀÎÇÑ À§½ÊÀÌÁöÀå ¼Õ»ó ºóµµ¸¦ Á¶»çÇÑ ¹Ù ÀÖ½À´Ï´Ù.

Hepatogastroenterology 2005


4. À§ÇèÀÎÀÚ¿Í ÁßÁõµµ scoring

1) ¹æ»ç¼±Ä¡·á °ü·Ã »óºÎÀ§Àå°ü ÇÕº´ÁõÀÇ À§ÇèÀÎÀÚ (2014-11-23. ÀÌÁØÇà)

»ï¼º¼­¿ïº´¿ø¿¡¼­ ¹æ»ç¼±Ä¡·á¸¦ ¹ÞÀº °£¼¼Æ÷¾Ï ȯÀÚÀÇ À§½ÊÀÌÁöÀå ÇÕº´Áõ À§ÇèÀÎÀÚ¸¦ ºÐ¼®ÇÑ °á°ú¸¦ ¼Ò°³ÇÕ´Ï´Ù (Strahlenther Onkol 2013). 2005³â Á¦°¡ ³»°úÀÇ»çÀÇ ÀÔÀå¿¡¼­ ºñ½ÁÇÑ ¹æ»ç¼±Ä¡·áÀÇ ÇÕº´ÁõÀ» Á¶»çÇÑ ¹Ù ÀÖ½À´Ï´Ù¸¸ (Hepatogastroenterology 2005), À̹ø ¿¬±¸´Â ¹æ»ç¼±Á¾¾çÇаú¿¡¼­ ÇÕº´Áõ ¹ß»ý À§ÇèÀÎÀÚ¸¦ º¸´Ù ¾ö¹ÐÇÏ°Ô ºÐ¼®ÇÑ Á¡ÀÌ Æ¯Â¡ÀÔ´Ï´Ù. À̹ø ¿¬±¸ÀÇ °á°ú¿Í °á·ÐÀ» ¿Å±é´Ï´Ù.

RESULTS: Endoscopic findings showed erosive gastritis in 14 patients (16 %), gastric ulcers in 8 patients (9 %), erosive duodenitis in 15 patients (17 %), and duodenal ulcers in 14 patients (16 %). Grade 2 toxicity developed in 19 patients (21 %) and grade 3 toxicity developed in 8 patients (9 %). V25 for stomach and V35 for duodenum (volume receiving a RT dose of more than x Gy) were the most predictive factors for ¡Ã grade 2 toxicity. The gastric toxicity rate at 6 months was 2.9 % for V25 ¡Â 6.3 % and 57.1 % for V25 > 6.3 %. The duodenal toxicity rate at 6 months was 9.4 % for V35 ¡Â 5.4 % and 45.9 % for V35 > 5.4 %. By multivariate analysis including the clinical factors, V25 for stomach and V35 for duodenum were the significant factors.

CONCLUSION: EGD revealed that GD toxicity is common following RT for HCC. V25 for the stomach and V35 for the duodenum were the significant factors to predict ¡Ã grade 2 GD toxicity.

Dosimetric analysis¸¦ ÅëÇÏ¿© ºÐ¼®ÇÑ ÀÎÀÚ°¡ °¡Àå ¿¹Ãø·ÂÀÌ ÁÁ¾Ò½À´Ï´Ù. Áï ÀÓ»ó º¯¼öº¸´Ù´Â Á¶Á÷ÀÌ ¹ÞÀº ¹æ»ç¼±ÀÇ ¾çÀÌ °áÁ¤ÀûÀ̶ó´Â À̾߱âÀÔ´Ï´Ù.

½ÇÁ¦·Î Grade 3 ÀÌ»óÀÇ ÇÕº´ÁõÀ» ¹ÞÀº ȯÀÚÀÇ Á¶Á÷ ¹æ»ç¼± ¾çÀº »ó´çÈ÷ ¸¹¾Ò½À´Ï´Ù.


2) °£¾Ï ȯÀÚÀÇ ¹æ»ç¼±Ä¡·á °ü·Ã »óºÎÀ§Àå°ü ÇÕº´Áõ°ú Child-Push score

»ï¼º¼­¿ïº´¿ø ¹æ»ó¼±Á¾¾çÇаú¿¡¼­ °£¼¼Æ÷¾Ï ȯÀÚÀÇ ¹æ»ç¼± Ä¡·á ÈÄ À§Àå°ü ÇÕº´Áõ ¹ß»ý·ü°ú Child-Push score¿ÍÀÇ °ü·Ã¼º¿¡ ´ëÇÏ¿© º¸°íÇÏ¿´½À´Ï´Ù (Yu JI, Tumori 2014). °á·ÐÀ» ¿Å±é´Ï´Ù. Symptomatic complications (grade 2 or higher) were significantly related to the degree of Child-Pugh score elevation after radiotherapy (P = 0.002).


5. Endoscopic treatment of RT-induced upper GI tract injury

ÃâÇ÷¼º À§¿° ȤÀº ÃâÇ÷¼º ½ÊÀÌÁöÀå¿°Àº APC ablationÀ¸·Î Ä¡·áÇÏ´Â °ÍÀÌ º¸ÆíÀûÀÔ´Ï´Ù. ¼º°øÀûÀÎ °æ¿ì°¡ ¸¹Áö¸¸ ÀϺΠȯÀÚ¿¡¼­´Â ÃâÇ÷ Àç¹ß·Î ¿©·¯¹ø Ä¡·áÇØ¾ß ÇÏ´Â °æ¿ì°¡ ¸¹½À´Ï´Ù. °á±¹ ¿ÏÀüÈ÷ ÁöÇ÷ÇÏÁö ¸øÇÏ´Â °æ¿ìµµ ÀÖ½À´Ï´Ù.

±Ë¾ç¿¡¼­ PPI³ª H2RAÀÇ È¿°ú´Â ³·½À´Ï´Ù. ±×·¸Áö¸¸ ¾²Áö ¾ÊÀ» ¼ö°¡ ¾ø½À´Ï´Ù. À§»êºÐºñ¾ïÁ¦Á¦¸¦ ¾²´Ù°¡ °á±¹ õ°øÀÌ ¹ß»ýÇÏ¿© ¼ö¼úÇÒ ¼ö ¹Û¿¡ ¾ø´Â °æ¿ìµµ ÀÖ½À´Ï´Ù.


6. RT-induced proctitis. ¹æ»ç¼± Á÷Àå¿°

Àü¸³¼± ¾ÏÀ¸·Î ¹æ»ç¼± Ä¡·á ÈÄ ÃâÇ÷

¹æ»ç¼± Á÷Àå¿°(radiation proctitis)·Î °£ÇæÀûÀÎ ÃâÇ÷ÀÌ ¹ß»ýÇÒ ¼ö ÀÖ½À´Ï´Ù. ÇöÀçÀÇ Ç¥ÁØ Ä¡·á´Â APC ablationÀÔ´Ï´Ù. ±×·¯³ª õ°ø µîÀÇ ÇÕº´ÁõÀÌ °¡´ÉÇÕ´Ï´Ù. Àü¸³¼±¾Ï ¹æ»ç¼± Ä¡·á ÈÄ °£ÇæÀûÀÎ Ç÷º¯À» º¸¿´´ø ȯÀÚÀÇ S-»ó °áÀå°æ µµÁß ¾à°£ÀÇ ÃâÇ÷ÀÌ º¸¿´½À´Ï´Ù. Áï½Ã APC ablationÀ» ÇØ¾ß ÁÁÀ»Áö Àú¿¡°Ô ¹®Àǰ¡ µé¾î¿Ô½À´Ï´Ù. Àú´Â "ÀÏ´Ü Áø´ÜÇÏ´Â ¼±¿¡¼­ °Ë»ç¸¦ ¸¶Ä¡°í Ä¡·á´Â ÀÔ¿øÇÏ¿© Á¤»óÀûÀ¸·Î ´ëÀå Àüóġ¸¦ ÇÑ ÈÄ ½ÃÇàÇÒ °Í"À» ±ÇÇÏ¿´½À´Ï´Ù. (1) ¿ø·¡ºÎÅÍ °£ÇæÀûÀÎ ÃâÇ÷À» Çϼ̴ø ȯÀÚÀ̹ǷΠÀúÀý·Î ¸ÜÀ» ¼ö ÀÖÀ¸¸ç, (2) Áö±ÝÀÇ ÃâÇ÷Àº ³»½Ã°æ µµÁß °ø±â¸¦ ÁÖÀÔÇÏ¿© ¹ß»ýÇÑ °ÍÀÏ ¼ö ÀÖÀ¸¹Ç·Î ³»½Ã°æÀ» »©´Â °Í ÀÚü·Î ÁöÇ÷µÉ ¼ö ÀÖÀ¸¸ç, (3) ¼ÒÀÛ¼ú ÀÚü°¡ ÃâÇ÷À» Á¶ÀåÇÒ ¼ö ÀÖÀ¸¸ç, (4) S-»ó °áÀå°æ °Ë»ç¸¦ À§ÇÑ Àüóġ´Â ´ëÀå³»½Ã°æÀ» À§ÇÑ Àüóġº¸´Ù ¸øÇϹǷΠ¹®Á¦°¡ »ý°åÀ» ¶§ ´ëó°¡ ¾î·Æ°í, (5) »ý°¢º¸´Ù ÇÕº´ÁõÀÌ ¸¹À¸¹Ç·Î ÀÔ¿øÇÏ¿© ÃæºÐÈ÷ ÁغñÇϰí ÃæºÐÈ÷ ¼³¸íÇÑ ÈÄ ½ÃÇàÇÏ´Â °ÍÀÌ ¹Ù¶÷Á÷Çϱ⠶§¹®ÀÔ´Ï´Ù.

Vienna rectoscopy score (VRS)

»ï¼º¼­¿ïº´¿ø ³»½Ã°æ °á°úÁö screenshot.

ÀÌ·¸°Ô °æ¹ÌÇÑ Ç÷°üÈ®ÀåÁõÀÌÁö¸¸ VRS¿¡ µû¸£¸é telangiectasia grade 2¸¦ ÁÙ ¼ö ¹Û¿¡ ¾øÀ» °Í °°½À´Ï´Ù. Multiple Çϴϱî.


[2021-1-30. ¾Öµ¶ÀÚ ÆíÁö (¿Ü°ú ÀÇ»ç)]

¹æ»ç¼± Á÷Àå¿° ȯÀÚ´Â ÁÖ·Î Ç×¹®¿Ü°ú·Î ¸¹ÀÌ ¿À½Ê´Ï´Ù. °³¿ø°¡¿¡¼­´Â º¸Åë Ä¡ÁúÁ¾à 󹿰ú °æ°ú °üÂû·Î ¹«³­È÷ ³Ñ¾î°¡´Â °æ¿ì°¡ ´ëºÎºÐÀÔ´Ï´Ù.


7. History of radiotherapy (2014³â 11¿ù 22ÀÏ ¿¬¼¼À§¾Ï½ÉÆ÷Áö¾ö »ï¼º¼­¿ïº´¿ø ¹æ»ç¼± Á¾¾çÇаú ÀÓµµÈÆ ¹ßÇ¥)

¾Ï Ä¡·áÀÇ ÁÖ¿ä ¿ª»ç (DeVita NEJM 2012)

¹æ»ç¼± Ä¡·á¸¦ À§Çؼ­´Â pattern of recurrence¿¡ ´ëÇÑ ÀڷḦ ¹ÙÅÁÀ¸·Î RT field¸¦ Àâ¾Æ¾ß ÇÕ´Ï´Ù. D2 dissectionÀ» ÇÏ´õ¶óµµ °£È¤ local lymph node ȤÀº dissection field ¹Ù±ùÂÊ¿¡¼­ Àç¹ßÇÏ´Â ¿¹°¡ ÀÖÀ¸¹Ç·Î RT¸¦ ÅëÇÏ¿© Àç¹ßÀ» ÁÙÀÏ ¼ö ÀÖ½À´Ï´Ù.


Pattern of recurrence at SMC


Pattern of recurrence at YMC (Radiother Oncol. 2012)


8. ¹Ýº¹ÀûÀÎ CT °Ë»çÀÇ ¹æ»ç¼± À§Çè (2017-4-20 À§¾ÏÆÀ tumor board Á¤¿ì°æ ±³¼ö´Ô ¹ßÇ¥)

Stomach protocol CTÀÇ radiation dose´Â ´ë·« 10.5-13.5 mSvÀÔ´Ï´Ù. 5³â°£ 8¹ø Âï´Â´Ù°í °¡Á¤ÇÏ¸é ¾à 84-108mSvÀÇ ´©Àû·®ÀÌ ÀÖ½À´Ï´Ù.

2007³â NEJM ³í¹®¿¡¼­ ÃßÁ¤ÇÑ ¹Ù·Î´Â ¸ðµç ¾ÏÀÇ 1.5-2%°¡ CT radiation ¶§¹®ÀÏ °ÍÀ̶ó°í ÇÕ´Ï´Ù.

100 mSv ³ëÃ⠽à 100¸í Áß ÇÑ ¸í¿¡¼­ ¾ÏÀÌ ¹ß»ýÇÒ ¼ö ÀÖ´Ù´Â ÃßÁ¤Ä¡µµ ÀÖ½À´Ï´Ù.

½ÇÁ¦·Î ÇÑ È¯ÀÚ¿¡¼­ ÀÌ·¸°Ô³ª ¸¹Àº CT¸¦ Âï¾ú´ø °æ¿ì°¡ ÀÖ½À´Ï´Ù. ¿©·¯ Àå±âÀÇ ¿©·¯ Áß¿äÇÑ ¹®Á¦°¡ ÀÖ¾ú´ø °ÍÀº »ç½ÇÀÌÁö¸¸... ±×·¡µµ ¾ÕÀ¸·Î´Â 1³â¿¡ 1¹øÀ» ³ÑÁö ¾Êµµ·Ï Á¶Á¤Çϱâ·Î ȯÀÚ¿Í ³íÀÇÇÏ¿´½À´Ï´Ù.


[FAQ]

[2014-10-13. ¾Öµ¶ÀÚ Áú¹®]

ȯÀÚ´Â °£³»´ãµµ¾ÏÀ¸·Î °£ÀýÁ¦¼úÀÌÈÄ Àç¹ßµÇ¾î Ÿº´¿ø¿¡¼­ ¹æ»ç¼± Ä¡·á¸¦ ÇÏ¿´°í (20ȸ ÀÌ»ó) 2´Þ ÀüºÎÅÍ Áß´Ü»óÅÂÀÔ´Ï´Ù. ÃÖ±Ù »óº¹ºÎ ÅëÁõÀ¸·Î À§³»½Ã°æ°Ë»ç¸¦ ½ÃÇàÇÏ¿´´Âµ¥, ÀüÁ¤ºÎ¿Í ³¯¹®¿¡ ±Ë¾çÀÌ ÀÖ¾ú°í Á¶Á÷°Ë»ç´Â gastritis, CLOtest (-)¿´½À´Ï´Ù.

PPI + antacid 2ÁÖ Åõ¿© ÁßÀε¥ Áõ»óÀÌ ¾ÇÈ­µÇÁö´Â ¾ÊÀ¸³ª ±×·¸´Ù°í È£ÀüµÇ´Â ¾ç»óÀº ¾Æ´Õ´Ï´Ù. ±³°ú¼­¿¡´Â" Çױ˾ç¾àÁ¦ÀÇ È¿°ú´Â Á¦ÇÑÀûÀÌ´Ù"¶ó°í µÇ¾î Àִµ¥¿ä... Ä¡·á¿¡ ´ëÇÏ¿© °í°ßÀ» ºÎʵ右´Ï´Ù.

[2014-10-14. ÀÌÁØÇà ´äº¯]

Âü ¾î·Á¿î Áú¹®ÀÔ´Ï´Ù. È¿°ú°¡ Àû´õ¶óµµ PPI¸¦ ¾²´Â ¼ö ¹Û¿¡ ¾ø´Ù°í »ý°¢ÇÕ´Ï´Ù. ÀÌ·± °æ¿ì Àú´Â Á¡¸·º¸È£Á¦¸¦ Ãß°¡ÇÕ´Ï´Ù. È¿°ú°¡ ÀÖ´ÂÁö´Â ¾Ë ¼ö ¾øÁö¸¸ Àû¾îµµ ¸¶À½ÀÇ À§¾ÈÀº µË´Ï´Ù. ¾ÆÁÖ ¾à°£ÀÇ ¿¬±¸ °á°úµµ ÀÖ±â´Â Çϱ¸¿ä.... ´õ ÀÚ¼¼È÷ ´äº¯µå¸®Áö ¸øÇÏ¿© Á˼ÛÇÕ´Ï´Ù.


[References]

1) EndoTODAY radiation hazards

2) [2024 ¿¬ÇÕ´º½º] ÇÑÇØ ÀÇ·á¹æ»ç¼± °Ë»ç ¼±Áø±¹ÀÇ 7¹è

© ÀÏ¿ø³»½Ã°æ±³½Ç ¹Ù¸¥³»½Ã°æ¿¬±¸¼Ò ÀÌÁØÇà. EndoTODAY Endoscopy Learning Center. Lee Jun Haeng.