Home | EndoTODAY | EndoATLAS

Beginner | ESA | Schedule | OPD

Seminars | Atlas | Recent | Links

EndoTODAY ³»½Ã°æ ±³½Ç


[Peripheral T cell lymphoma of the GI tract] - ðû


1. Origin of T cell and PTCL

- The T-cells are born from stem cells, similar to that of B-cells, but mature in the thymus.

- They help the immune system work in a coordinated fashion.

2016 WHO ºÐ·ù


2. Gastrointestinal T cell lymphoma

- Owing to the rarity the ideal treatment remains controversial.

- Primary surgery followed by CCT is best.

- A higher frequency of intestinal perforation and bleeding noted by some if Sx is omitted.

- In the largest series by Daum et al (n = 35, J Clin Oncol 21:2740-2746), 2yr OS was 28% only

- In another large series by Gale et al (n = 31, J Clin Oncol 2000;18:795), 5-year OS was 19.7%,and 5-year failure-free survival rate was only 3.2%.

PTCL: chronic diarrhea, loss of weight (15 kg), and night sweat

Pyloric ringºÎÅÍ ½ÊÀÌÁöÀå¿¡ °ÉÄ£ PTCL·Î rapid progressionÀ» º¸¿´´ø Áõ·Ê
PERIPHERAL T-CELL LYMPHOMA, NOT OTHERWISE SPECIFIED, with TFH phenotype
CD 4, (Leu-3a) : Positive in tumor cells ^
CD 8, (Leu-2a) : Negative in tumor cells ^
CD 30 : Positive in tumor cells (2+, 100%) ^
¥â- F 1 : Positive in tumor cells ^
TCR-Delta : Negative in tumor cells ^
PD-1 : Positive in tumor cells ^
CD 21, B-CELL : Negative in tumor cells ^
CXCL 13 : Positive in some tumor cells ^
ALK : Negative in tumor cells ^

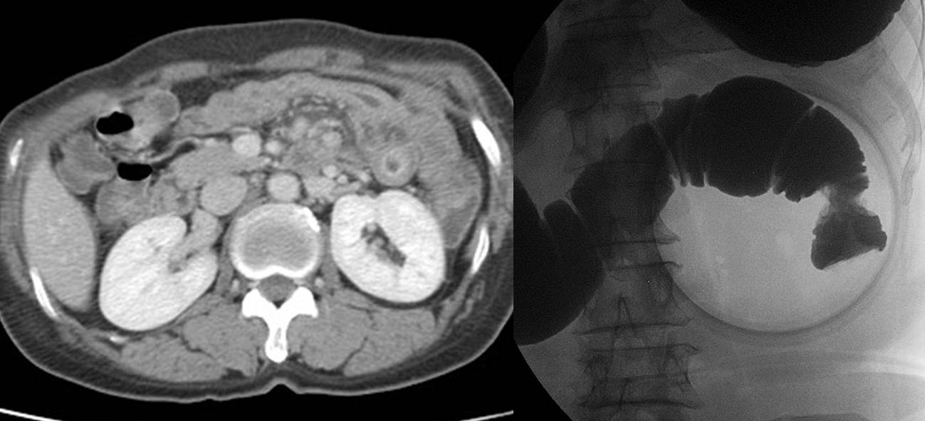
T cell lymphoma of the terminal ileum

Colon T cell lymphoma

Colon T cell lymphoma

¸¸¼ºº¹Åë. ¼ö°³¿ù °Ë»ç ÈÄ jejunal obstructionÀ¸·Î ¼ö¼úÇÏ¿© Áø´ÜÇÑ PTCL

Gastric PTCLÀÇ ¿¹Èİ¡ ³ª»Ú´Ù´Â °ÍÀº Àß ¾Ë·ÁÁ® ÀÖ½À´Ï´Ù. ±×·¯³ª ¿ÏÄ¡µÇ´Â ȯÀÚ°¡ ¾ø´Â °ÍÀº ¾Æ´Õ´Ï´Ù. ¾Æ·¡ Áõ·Ê¸¦ º¸½Ê½Ã¿À. Èû³À½Ã´Ù.

PTCLÀ̾úÀ¸³ª CHOP chemotherapy ÈÄ ¿ÏÄ¡ ÆÇÁ¤À» ¹Þ¾Ò½À´Ï´Ù.

À§ ȯÀÚÀÇ 13³â ÈÄ ÃßÀû³»½Ã°æÀÔ´Ï´Ù.


3. PTCL of the stomach

- Rare (7% of the stomach lymphomas, from Japan)

- Thought to be of viral origin

- Human T-cell leukemia virus (HTLV-1) and Epstein-Barr virus (EBV)

- Any role for HP in the development of gastric T-cell lymphomas is not known

- Sometimes, it may be difficult to diagnose gastric T-cell lymphomas based on superficial biopsies of the stomach

- The depth of the biopsy will determine the diagnostic accuracy of the procedure Gastric T-cell lymphomas reportedly have worse prognoses than their B-cell counterparts


4. Endoscopic findings of PTCL of the stomach


5. Screening endoscopy¿¡¼­ ¹ß°ßµÈ gastric PTCL


6. Rapidly growing stomach T cell lymphoma

À§³»½Ã°æ°ú ´ëÀå³»½Ã°æÀ» µ¿½Ã¿¡ ¹ÞÀº ºÐÀÔ´Ï´Ù. ´ëÀå¿ëÁ¾ÀýÁ¦¼úÀ» ÇÏ¿´°í deep SM invasionÀ» º¸¿© ¼ö¼úÀû Ä¡·á¸¦ À§ÇÏ¿© ÀǷڵǾú½À´Ï´Ù.

´ëÀå¾Ï¿¡ ´ëÇÑ workupÀ¸·Î ½ÃÇàÇÑ CT¿¡¼­ À§º® ºñÈÄ¿Í ¸²ÇÁÀý ÀüÀ̰¡ ¹ß°ßµÇ¾î ù ³»½Ã°æ 4ÁÖ ÈÄ ´Ù½Ã À§³»½Ã°æÀ» ½ÃÇàÇÏ¿´°í À§ÁÖ¸§ ºñÈÄ¿Í ±íÀº ±Ë¾çÀÌ ¹ß°ßµÇ¾ú½À´Ï´Ù.

À§³»½Ã°æ Á¶Á÷°Ë»ç¿¡¼­ T cell lymphoma·Î ³ª¿Ô½À´Ï´Ù. 4ÁÖ °£°ÝÀÇ ³»½Ã°æ¿¡¼­ Å« ¸ð¾çÀÇ º¯È­¸¦ º¸¿´´Âµ¥, ÀÌ´Â ¸Å¿ì »¡¸® ÀÚ¶ö ¼ö ÀÖ´Ù´Â lymphomaÀÇ Æ¯Â¡ Áß ÇϳªÀÔ´Ï´Ù. »ç½Ç ù ³»½Ã°æ¿¡¼­ ¾à°£ÀÇ À§ÁÖ¸§ ºñÈİ¡ ÀÖ¾ú´ø °Í °°±âµµ ÇÕ´Ï´Ù.

Á¶Á÷ Áø´Ü: Peripheral T-cell lymphoma, not otherwise specified, CD 30-positive
. CD 30 : Positive in tumor cells (>80%)
. CD 4, (Leu-3a) : Positive in tumor cells
. ¥â- F 1 : Positive in tumor cells
. TIA-1, T cell : Positive in tumor cells
. CD 8, (Leu-2a) : Negative in tumor cells
. CD 20, L26 : Negative in tumor cells
. Ki-67 : Positive in about 50% of tumor cells
. CD 3, T-CELL : Positive in tumor cells
. Epstein-Barr virus : Negative


7. Duodenal PTCL


8. ¼ÒÀå T ¼¼Æ÷ ¸²ÇÁÁ¾. Small intestinal T cell lymphoma

monomorphic epitheliotropic intestinal T-cell lymphoma. À忬±¸ÇÐȸ Áý´ãȸ

monomorphic epitheliotropic intestinal T-cell lymphoma. À忬±¸ÇÐȸ Áý´ãȸ


9. ´ëÀå T ¼¼Æ÷ ¸²ÇÁÁ¾. Colon T cell lymphoma

¿ì¸®³ª¶ó ´ëÀå ¸²ÇÁÁ¾ÀÇ ¾à 15%´Â T ¼¼Æ÷ ±â¿øÀÔ´Ï´Ù. ¼­±¸¿¡¼­´Â ¸Å¿ì µå¹® ÁúȯÀÌÁö¸¸ ¿ì¸®³ª¶ó¿¡¼­´Â °¡²û º¼ ¼ö ÀÖ½À´Ï´Ù. Mass¸¦ Çü¼ºÇÏÁö ¾Ê°í ¿°Áõó·³ diffuseÇÑ ¸ð¾çÀ» °¡Áö°í À־ Áø´ÜÀÌ ´Ê¾îÁö´Â ¿¹°¡ ¸¹½À´Ï´Ù.

T cell lymphoma´Â focal mass lesionº¸´Ù´Â diffuseÇÑ Á¡¸· º´º¯Ã³·³ º¸ÀÌ´Â °æ¿ì°¡ ¸¹½À´Ï´Ù.

T cell lymphoma´Â ³»½Ã°æ ¹× Á¶Á÷°Ë»ç ÈÄ¿¡µµ ¸²ÇÁÁ¾À¸·Î Áø´ÜµÇÁö ¸øÇϰí UC³ª TB³ª CrohnÀ¸·Î Ä¡·á¹Þ´Ù°¡ µÚ´Ê°Ô Áø´ÜµÇ´Â °æ¿ì°¡ ÀÖ½À´Ï´Ù. Áø´Ü ÈÄ¿¡´Â ¿¹Èİ¡ ¸Å¿ì ³ª»Þ´Ï´Ù.


10. Indolent type GI T cell lymphoproliferative disease

© ÀÏ¿ø³»½Ã°æ±³½Ç ¹Ù¸¥³»½Ã°æ¿¬±¸¼Ò ÀÌÁØÇà. EndoTODAY Endoscopy Learning Center. Lee Jun Haeng.