Home | EndoTODAY | EndoATLAS

Beginner | ESA | Schedule | OPD

Seminars | Atlas | Recent | Links

EndoTODAY ³»½Ã°æ ±³½Ç


[SMC Monday GI conference 2016-11-28. CA 19-9 elevation (À̱ÔÅà ±³¼ö´Ô Ư°­)]

Previous | Next

Áõ·Ê 1. F/27. Ÿ¿ø °ËÁø CA19-9 172 U/ml. CT¿¡¼­ ÃéÀåÀº Á¤»óÀ̰í ÁÂÃø ³­¼Ò¿¡ 4.8cm ³¶Á¾¼º Á¾±« °üÂûµÇ¾î ¼ö¼ú. Ovarin cystic teratoma·Î Áø´Ü. ¼ö¼ú ÈÄ CA19-9 °¨¼ÒµÊ.

Áõ·Ê 2. ¸¸¼º ±âħÀ¸·Î È£Èí±â ³»°ú Áø·á Áß CA 19-9 204 U/ml ¹ß°ß. NTM ÆóÁúȯÀ¸·Î ÀÎÇÑ CA 19-9 »ó½ÂÀ̾ú°í, Ä¡·á ÈÄ ¼öÄ¡ °¨¼ÒµÊ.

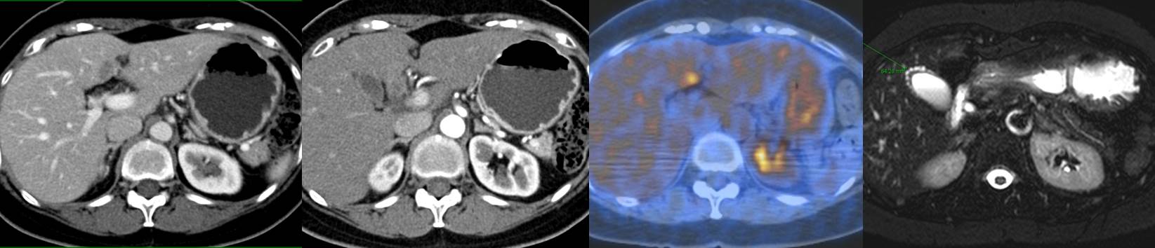
Áõ·Ê 3. F/60. ¹«Áõ»ó. Ÿ¿ø °ËÁø ÃÊÀ½ÆÄ¿¡¼­ ƯÀÌ¼Ò°ß ¾ø¾úÀ¸³ª CA 19-9 310 U/mL ¹ß°ß. ÀÇ·Ú ÈÄ Àç°Ë¿¡¼­ CA 19-9 677.3 U/mL ¼Ò°ßÀ̾ú°í CT¿Í PET¿¡¼­ liver segment S4ÀÇ ÀÌ»ó ¼Ò°ßÀ¸·Î ¼ö¼ú. ¼ö¼ú ÈÄ CA 19-9 Á¤»óÈ­ µÇ¾úÀ½.
Liver and gallbladder, left hemihepatectomy and cholecystectomy :
1) Eosinophilic abscess, S4, liver 1) size: 1.8x1.2 cm 2) palisading granulomas 3) negative resection margin
2) Consistent with adenomyoma, gallbladder

100¸í Áß 1.5¸í¿¡¼­ CA19-9°¡ ³ôÀº °ÍÀ¸·Î ³ª¿É´Ï´Ù. ÀÌ Áß 1% ¹Ì¸¸ÀÌ ÃéÀå¾ÏÀÔ´Ï´Ù. ´Ù¸¥ ¾ÏÀ» ´Ù ÇÕÃĵµ 2% ¹Ì¸¸ÀÔ´Ï´Ù. ÃéÀå¾Ï screeningÀ» À§ÇÏ¿© CA19-9 °Ë»ç¸¦ ±ÇÇÏÁö ¾Ê½À´Ï´Ù.




[FAQ]

[2016-11-28. ÀÌÁØÇà Áú¹®]

¿Ü·¡¿¡¼­ ÇÇ·Î ÇÏ´Â ¾Ï°Ë»ç¸¦ ¿äûÇÏ´Â ºÐ¿¡°Ô´Â ¾î¶»°Ô ±ÇÇÏ½Ã°í °è½Ê´Ï±î?

[2016-11-28. À̱ÔÅà ´äº¯]

ÃéÀå¾Ï °ÆÁ¤À¸·Î ¿À½Å ºÐÀÌ ¸¹Àºµ¥ Ç÷¾×°Ë»ç¿Í CT¸¦ Çϰí ÀÖ½À´Ï´Ù. ÃÊÀ½ÆÄ´Â ´Ù¼Ò °ÆÁ¤½º·´½À´Ï´Ù.


[References]

1) EndoTODAY ¿ù¿äÁý´ãȸ ÃéÀå¾Ï (À̱¤Çõ ±³¼ö´Ô Ư°­)

© ÀÏ¿ø³»½Ã°æ±³½Ç ¹Ù¸¥³»½Ã°æ¿¬±¸¼Ò ÀÌÁØÇà. EndoTODAY Endoscopy Learning Center. Lee Jun Haeng.