Home | EndoTODAY | EndoATLAS

Beginner | ESA | Schedule | OPD

Seminars | Atlas | Recent | Links

EndoTODAY ³»½Ã°æ ±³½Ç


[¹®Çå¿¡ º¸°íµÈ À§ ÀÌ¿ÜÀÇ Àç¹ß. Extragastric recurrences in the literature]

2008³â ÀϺ» ¾Ï¿°±¸È¸ º´¿ø Áõ·ÊÀÔ´Ï´Ù (Nagano. Gastric Cancer. 2008). Áõ·Ê 1Àº SM1 invasionÀÌ ÀÖ´ø curative resectionÀ̾úÁö¸¸ SM involvement°¡ ºñ±³Àû ÇöÀúÇÏ¿© ("the infiltration in the submucosal layer was relatively wide") ¼ö¼úÀ» ÇÏ¿´´Âµ¥ level 2 ¸²ÇÁÀý ÀüÀ̰¡ ÀÖ¾ú½À´Ï´Ù. Áõ·Ê 2µµ SM1 ħÀ±ÀÌ ÀÖ´ø ³»½Ã°æ ¿ÏÀüÀýÁ¦ ¿¹Àε¥ 2³â ÈÄ CT¿¡¼­ ¸²ÇÁÀýÀÌ Ä¿Á³°í ¼ö¼úÇÏ¿´´õ´Ï level 1 ¸²ÇÁÀýÀÌ Ä¿Á®ÀÖ¾ú½À´Ï´Ù.


2010³â ÀϺ» ¾Ï¿¬±¸È¸ º´¿ø Áõ·ÊÀÔ´Ï´Ù. ¾ö¹ÐÈ÷ ¸»Çϸé ESD ÈÄ recurÇÑ ¿¹´Â ¾Æ´Ï°í óÀ½ºÎÅÍ ¸²ÇÁÀý ÀüÀ̰¡ ÀÖ¾ú´ø ¿¹ÀÔ´Ï´Ù. Expanded indication¿¡ ÇØ´çÇÏ´Â undifferentiated type EGC¿¡ ´ëÇÏ¿© curative resectionÀ» ÇÏ¿´À¸³ª ¸²ÇÁÀý ÀüÀ̰¡ ÀÖ¾ú½À´Ï´Ù (Hirasawa. Gastric Cancer. 2010). 13mm mixed typeÀ̾ú½À´Ï´Ù ("a poorly differentiated adenocarcinoma and signet ring cell carcinoma confined to the mucosa without lymphatic-vascular capillary involvement or ulceration"). Routine ESD º´¸®°Ë»ç¿¡¼­ lymphatic invasionÀÌ ¾ø¾î¼­ ¾öû Ãß°¡ cut¸¦ ÇØ º¸¾Ò´õ´Ï ±×Á¦¼­¾ß lymphatic involvement¸¦ ¹ß°ßÇß´Ù´Â °ÍÀ̾ú½À´Ï´Ù (" 60 additional deep-cut sections from the resected specimen were performed, with one section showing lymphatic involvement in the mucosa on hematoxylin and eosin staining").


2013³â ÀϺ» Kitasato ´ëÇÐ Áõ·ÊÀÔ´Ï´Ù (Murakami. Gastric Caner 2012). ½Ã¼úÀü poorly differentiated¿´´Âµ¥ 4³â ÈÄ À§¾Ï Àç¹ß·Î »ç¸ÁÇϼ̽À´Ï´Ù.


2013³â ÀϺ» µ¿°æ¾Ï¼¾ÅÍ Áõ·ÊÀÔ´Ï´Ù (Kawabata. World J Gastroenterol. 2013). Non-curative resection (poorly differentiated, 50 x 25 mm, mucosa, existence of an ulcer finding) À̾ú°í ¼ö¼úÀ» °ÅºÎÇÏ¿© ÃßÀû°üÂûÇÏ¿´´Âµ¥ 8³â ÈÄ Ã´ÃßÀüÀ̰¡ ¹ß»ýÇÏ¿´½À´Ï´Ù. ±×·±µ¥ Á¦°¡ Áõ·Ê¸¦ ²Ä²ÄÈ÷ Àо´Ï º´¸®°¡ mixed typeÀ̾ú½À´Ï´Ù. ¿À¸¥ÂÊ »çÁø ¼³¸íÀ» º¸¸é "poorly differentiated adenocarcinoma with signet ring cells'·Î µÇ¾î ÀÖ½À´Ï´Ù. ¼¯¿© ÀÖÀ¸¸é ³ª»Þ´Ï´Ù. ¼ø¼öÇÑ °ÍÀÌ ´õ ÁÁ½À´Ï´Ù.


2014³â ¿©Àǵµ ¼º¸ðº´¿ø Áõ·ÊÀÔ´Ï´Ù (Kim DJ. Gastric Cancer 2014). Absolute indicationÀ̾ú´Âµ¥ 1³â ÈÄ common hepatic artery ±Ùó ¸²ÇÁÀý (LN8) ÀüÀ̰¡ ÀÖ¾ú½À´Ï´Ù.


2015³â °­¸ª¾Æ»êº´¿ø Áõ·ÊÀÔ´Ï´Ù (Han YH. Clin Endosc 2015). Differentiated-typeÀÌ ÁÖ¸¦ ÀÌ·ç¸é¼­ undifferentited-typeÀÎ signet ring cell carcinoma°¡ 15-20% ¼¯ÀÎ °æ¿ì¿´½À´Ï´Ù. 19°³¿ù ÈÄ °£ÀüÀ̰¡ ¹ß°ßµÇ¾ú½À´Ï´Ù.


2015³â ÀϺ» µ¿°æ¾Ï¼¾ÅÍÀÇ Áõ·Ê º¸°íÀÔ´Ï´Ù (Shirahige. WJG 2015). ESD ÈÄ ÃßÀû°üÂû µµÁß metachronous cancer°¡ ¹ß°ßµÇ¾ú°í Á¶Á÷°Ë»ç¿¡¼­ poorly differentiated adenocarcinoma¿´½À´Ï´Ù. ESD¸¦ ÇÏ¿´°í ±íÀº Á¡¸·ÇÏħÀ±À» º¸ÀÎ adenosquamous cell carcinoma¿´½À´Ï´Ù. ¼ö °³¿ù ÈÄ °£ÀüÀ̰¡ ¹ß°ßµÇ¾ú´Ù°í ÇÕ´Ï´Ù.

Initial early gastric cancer lesion in June 2005. A: 0-IIa type well differentiated adenocarcinoma limited to the mucosa, 10 mm in size, without an ulcer scar, on the lesser curvature of the middle gastric body; B: Histopathological findings revealed a well differentiated mucosal adenocarcinoma, 10 mm in size, without lymphovascular involvement or ulcerative finding, as well as tumor-free margins.

Metachronous early gastric cancer lesion in November 2007. A: 0-IIc type metachronous early gastric cancer lesion, 8 mm in size, without an ulcer scar, on the greater curvature of gastric antrum. The estimated tumor depth was up to the mucosa; B: Biopsy revealed well and poorly differentiated adenocarcinoma (hematoxylin-eosin staining).

Histopathological findings of endoscopic submucosal dissection specimens. A: Low magnification view with hematoxylin and eosin staining. Endoscopic submucosal dissection specimen revealed adenosquamous carcinoma invading the deep submucosal layer (1600 ¥ìm); B: High magnification view of yellow box in A. The tumor shows a solid growth pattern and prominent keratinization suggesting squamous cell carcinomatous component.

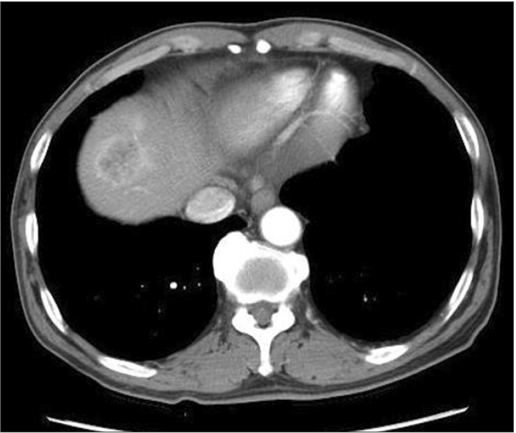
Computerized tomography in January 2008 (two months after the endoscopic submucosal dissection). A and B: Enhanced computerized tomography revealed multiple low density areas suggesting liver metastases (indicated by arrows).

2008³â Áõ·Ê¸¦ ¿Ö 2015³â¿¡ ¿Í¼­¾ß ¹ßÇ¥Çß´ÂÁö ¾Ë ¼ö ¾ø¾ú½À´Ï´Ù (Shirahige. WJG 2015). Á¶Á÷°Ë»ç°¡ poorly differentiated¿´´Âµ¥ ESD¸¦ ÇÑ °Íµµ Àú·Î¼­´Â ¸ø¸¶¶¥ÇÑ ÀÏÀÔ´Ï´Ù.


2015³â ÇØ¿î´ë ¹éº´¿ø Áõ·Ê º¸°íÀÔ´Ï´Ù (¿À¼ºÁø. J Gastric Cancer 2015). ESD specimen¿¡¼­ deep SM invasionÀ¸·Î ¼ö¼úÀ» ÇÏ¿´À¸³ª °£ÀüÀ̸¦ º¸¿´½À´Ï´Ù.

Esophagogastroduodenoscopy showing a small superficial elevated lesion in the antrum of the stomach.

Histopathological examination of the specimens resected by endoscopic submucosal dissection revealing tubular adenocarcinoma with submucosal invasion (H&E, ¡¿ 40).

An abdominopelvic computed tomography scan showing a 3.5-cm-mass in the liver that demonstrated strong enhancement following the intravenous administration of contrast material.

º»¹®¿¡´Â "1.7-cm superficially elevated (IIa)-type of EGC"·Î ¾º¿© ÀÖÁö¸¸ EGC IIa+IIc¶ó°í º¸´Â °ÍÀÌ ÁÁ°Ú½À´Ï´Ù. IIa´Â ±íÀº °æ¿ì°¡ µå¹°Áö¸¸ IIa+IIc´Â ±íÀº °æ¿ì°¡ ¸¹½À´Ï´Ù. ÀüÇô ´Ù¸¥ Á¾·ù¶ó°í º¸´Â °ÍÀÌ ¿Ç½À´Ï´Ù.

³»½Ã°æ Á¶Á÷°Ë»ç´Â moderately differentiated adenocarcinoma¿´´Âµ¥ ESD º´¸®´Â moderately to poorly differentiated adenocarcinoma·Î µÇ¾î ÀÖ½À´Ï´Ù. ¾Æ¸¶µµ mixed typeÀ̾ú´ø °Í ¾Æ´Ñ°¡ ÃßÁ¤µË´Ï´Ù. Mixed typeÀº pure type º¸´Ù ÁÁÁö ¸øÇÕ´Ï´Ù.


2016³â ´ëÇÑ»óºÎÀ§Àå°üÇ︮ÄÚ¹ÚÅÍÇÐȸÁö¿¡ º¸°íµÈ Àü³²´ë Áõ·ÊÀÔ´Ï´Ù (Son DJ. KJHUGR 2016). Mixed type adenocarcinoma with poorly differentiated histology, 15 mm Å©±â, lamina propria±îÁö ħÀ±µÈ EGC IIb¿´°í ½Ã¼úµµ Àß µÇ¾ú´Âµ¥ 7³â ÈÄ ´Ù¹ß¼º Àç¹ßÀ» º¸¿´½À´Ï´Ù. Poorly´Â ³ª»Ú°í mixed´Â ´õ ³ª»Û °Í °°½À´Ï´Ù.


[Âü°íÀÚ·á]

1) EndoTODAY À§ ÀÌ¿Ü Àå¼ÒÀÇ Àç¹ß

© ÀÏ¿ø³»½Ã°æ±³½Ç ¹Ù¸¥³»½Ã°æ¿¬±¸¼Ò ÀÌÁØÇà