Previous | Home | EndoTODAY | List | Next


[Perforation by chemotherapy]

2008³â 6¿ù 2ÀÏ EndoTODAY (¾ÏÈ£: smcgi)¸¦ ´Ù½Ã Àоú½À´Ï´Ù. Á¦ 1ȸ EndoTODAYÀÔ´Ï´Ù. Àú·Î¼­´Â ¹«Ã´ ¶æ±íÀº Áõ·Ê°¡ ¾Æ´Ò ¼ö ¾ø½À´Ï´Ù.

Screening endoscopyÀÇ ¸ñÀûÀº ¼ö¼úÀ̳ª EMR/ESD·Î Ä¡·áÇÒ ¼ö ÀÖ´Â À§¼±¾ÏÀ» Á¶±â¿¡ ¹ß°ßÇÏ´Â °ÍÀÔ´Ï´Ù. À§¸²ÇÁÁ¾À» Áø´ÜÇϱâ À§ÇÏ¿© screening endoscopy¸¦ ½ÃÇàÇÏ´Â °ÍÀº ¾Æ´Õ´Ï´Ù¸¸ °£È¤ MALToma³ª DLBCL µîÀÌ Áø´ÜµÇ±âµµ ÇÕ´Ï´Ù. ¹«Áõ»ó DLBCLÀ» ¾î¶»°Ô Ä¡·áÇÏ´Â °ÍÀÌ ÁÁÀºÁö¿¡ ´ëÇÑ consensus´Â ¾ÆÁ÷ ¾ø½À´Ï´Ù. ÇöÀç·Î¼­´Â Áõ»óÀÌ ÀÖ¾î ½ÃÇàÇÑ °Ë»ç¿¡¼­ ¹ß°ßµÇ´Â DLBCL¿¡ ÁØÇÏ¿© Ä¡·á¸¦ Çϰí ÀÖ½À´Ï´Ù.

ÃÖ±Ù ¸î¸î ³í¹®¿¡¼­ GI lymphomaÀÇ chemotherapy ÈÄ perforationÀÇ À§ÇèÀÌ °ú°Å¿¡ »ý°¢ÇÏ¿´´ø °Íº¸´Ù ³ôÁö ¾Ê´Ù´Â ÁÖÀåÀÌ ÀÖ¾ú½À´Ï´Ù. ±×·¯³ª º» Áõ·Êó·³ ¾ÆÁ÷µµ °£È¤ chemotherapy ÈÄ perforationÀÌ ¹ß»ýÇϱ⵵ ÇÕ´Ï´Ù. Ä¡·á¸¦ ½ÃÀÛÇϱâ Àü¿¡ ¹Ýµå½Ã ȯÀÚ¿¡ ÀÌ·¯ÇÑ À§ÇèÀ» ¾Ë¸®´Â °ÍÀÌ ÁÁ°Ú½À´Ï´Ù.


ÀÏÀü¿¡ ¼­¿ï´ëÇб³ Çã´ë¼® ±³¼ö´Ô²²¼­ ³»°úÇÐȸÁö¿¡ ±â°íÇÑ ³íÆòÀ» ¼Ò°³ÇÕ´Ï´Ù. "À§Àå°ü¿¡ ¹ß»ýÇÑ ¾Ç¼º¸²ÇÁÁ¾È¯ÀÚ¿¡ ´ëÇÏ¿©´Â Ç×¾ÏÈ­Çпä¹ýÀ¸·Î ÃâÇ÷À̳ª À§Àå°ü ÆÄ¿­ÀÇ À§ÇèÀÌ Áõ°¡ÇÏÁö ¾ÊÀ¸¸é¼­"¶ó´Â ¾ð±ÞÀÌ ÀÖ½À´Ï´Ù. ±×·¯³ª Àú´Â Çã´ë¼® ±³¼ö´ÔÀÇ Àǰ߰ú´Â Á¶±Ý ´Ù¸£°Ô »ý°¢ÇÕ´Ï´Ù. Á¾Á¾ õ°øÀ» °æÇèÇϰí Àֱ⠶§¹®ÀÔ´Ï´Ù. (Çã´ë¼® ±³¼ö´ÔÀÇ ¸»¾¸Ã³·³) Àӻ󿬱¸¿¡ ÀÇÇÑ ÀÚ·á´Â Á¦½ÃÇÒ ¼ö ¾øÁö¸¸ Á¦ °æÇèÀº ±×·¯ÇÕ´Ï´Ù.

"±×·±µ¥ óÀ½ºÎÅÍ Ç×¾ÏÈ­Çпä¹ýÀ» ½ÃÇàÇÏ´Â °æ¿ì, ÃâÇ÷À̳ª À§Àå°ü ÆÄ¿­·Î ÀÎÇÏ¿© ȯÀÚ¿¡°Ô ºÒÀÌÀÍÀ» ÁÙÁöµµ ¸ð¸¥´Ù´Â ¿ì·Áµµ ÀÖ¾ú´Ù. À̹øÈ£¿¡ °ÔÀçµÈ ³í¹®¿¡¼­´Â Ç×¾ÏÁ¦Ä¡·á¸¸ ½ÃÇàÇÑ È¯ÀÚ¿¡¼­ÀÇ ºÎÀÛ¿ë¿¡ ´ëÇÏ¿© ÀÚ¼¼ÇÑ ¾ð±ÞÀÌ ¾øÀ¸³ª, ±¹³»¿¡¼­ ½ÃÇàµÈ ´Ù¸¥ ¿¬±¸ÀÇ °á°ú¿¡¼­´Â ÃâÇ÷À̳ª À§Àå°ü ÆÄ¿­Àº °ÅÀÇ ¹®Á¦½ÃµÇ°í ÀÖÁö ¾Ê´Ù°í º¸°íÇϰí ÀÖ´Ù. Ç×¾ÏÈ­Çпä¹ý¸¸À¸·Îµµ µ¿ÀÏÇÑ Ä¡·á¼ºÀûÀ» ¾òÀ» ¼ö ÀÖ´Ù¸é, À§Àå°ü¿¡ ¹ß»ýÇÑ ¾Ç¼º¸²ÇÁÁ¾È¯ÀÚ¿¡ ´ëÇÏ¿© ±»ÀÌ ¼ö¼úÀÌ ÇÊ¿äÇÏÁö ¾Ê°í, Àå±âÀÇ ±â´ÉÀ» º¸Á¸ÇÏ´Â °á°ú¸¦ ±â´ëÇÒ ¼ö Àֱ⠶§¹®¿¡ '»îÀÇ Áú'ÀÇ Çâ»óÀ» ±â´ëÇÒ ¼ö ÀÖ´Ù. ¸íÈ®ÇÑ °á·ÐÀº ¹«ÀÛÀ§ ¹èÁ¤¿¡ ÀÇÇÑ Á¦3»ó Àӻ󿬱¸°¡ ÇÊ¿äÇϰÚÁö¸¸, ÇöÀç±îÁöÀÇ ¿©·¯ °¡Áö Àӻ󿬱¸ÀÇ °á°ú´Â À§Àå°ü¿¡ ¹ß»ýÇÑ ¾Ç¼º¸²ÇÁÁ¾È¯ÀÚ¿¡ ´ëÇÏ¿©´Â Ç×¾ÏÈ­Çпä¹ýÀ¸·Î ÃâÇ÷À̳ª À§Àå°ü ÆÄ¿­ÀÇ À§ÇèÀÌ Áõ°¡ÇÏÁö ¾ÊÀ¸¸é¼­µµ ¿ì¼öÇÑ Ä¡·á¼ºÀûÀ» º¸À̰í ÀÖ´Ù."


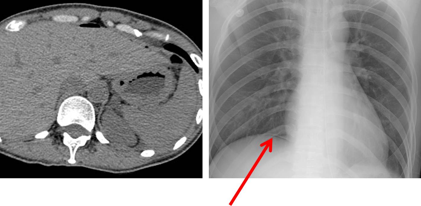
À§¸²ÇÁÁ¾ Ç×¾ÏÄ¡·á µµÁß¿¡¸¸ õ°øÀÌ ¹ß»ýÇÏ´Â °ÍÀº ¾Æ´Õ´Ï´Ù. À§¼±¾Ï(gastric adenocarcinoma) Ç×¾ÏÄ¡·áµµ õ°øÀ» ÀÏÀ¸Å³ ¼ö ÀÖ½À´Ï´Ù. Signet ring cell carcinoma¿´´Âµ¥ XP 3 cycleÈÄ Ãµ°øµÈ ¿¹ÀÔ´Ï´Ù.


[2013-8-21. °æÇâ½Å¹®] ¡®¾Æ·¡·ÎºÎÅÍ¡¯ Áõ¼¼Á¤Ä¡

¹Ú±ÙÇý Á¤ºÎ°¡ Á÷Á¢ Áõ¼¼´Â ¾Æ´ÏÁö¸¸ »ç½Ç»ó Áõ¼¼¸¦ ´ãÀº ¼¼¹ý°³Á¤¾ÈÀ» ³»³õÀ¸¸é¼­ Áõ¼¼ ³íÀïÀÇ ºÒÀ» ÁöÆñ´Ù. À̸í¹Ú Á¤ºÎ»Ó¸¸ ¾Æ´Ï¶ó ±è´ëÁß, ³ë¹«Çö Á¤ºÎ ¸ðµÎ ¡®±â¾÷ ÅõÀÚ¿Í ºÎÀÚ ¼Òºñ¡¯¸¦ ¸íºÐÀ¸·Î ¿À·ÎÁö °¨¼¼·Î¸¸ Ä¡´Ý´ø °É »ý°¢ÇÏ¸é ³î¶ó¿î ¹ÝÀüÀÌ´Ù. ¼¼±ÝÆøÅº·Ð ÆÄµ¿À» °Þ¾úÁö¸¸, º¸Æíº¹Áö ¼¼·Â¿¡°Ô´Â Áõ¼¼ ³íÀǸ¦ º»°ÝÀûÀ¸·Î ¹úÀÏ ¼ö ÀÖ´Â °è±â°¡ µÈ ¼ÀÀÌ´Ù.

Áøº¸ Áö½ÄÀÎ ÀϺο¡¼­ ¿ì·ÁÀÇ ¸ñ¼Ò¸®µµ ³ª¿Â´Ù. ½Ã¹ÎÀÇ Á¶¼¼ Á¤¼­¸¦ ¹«½ÃÇÑ Ã¤ Áõ¼¼¸¸À» ´çÀ§ÀûÀ¸·Î ¿ÜÄ£´Ù´Â ÁöÀûÀÌ´Ù. °æÃ»ÇÒ À̾߱â´Ù. ½ÇÁ¦·Î º¸Æíº¹Áö¸¦ ÁÖâÇÏ´Â Á¤´ç, ½Ã¹Î´ÜüµéÀÌ ±âÀÚȸ°ß°ú Åä·Ðȸ¸¦ ³Ñ¾î ¼¼±Ý ´ç»çÀÚµé°ú À̾߱âÇØº» ÀûÀÌ Àִ°¡? ½Ã¹ÎµéÀÌ ¼Õº¸¶ó´Â ÀçÁ¤ÁöÃâ, °ú¼¼ÀÎÇÁ¶ó °³Çõ µî¿¡¼± º°´Ù¸¥ ¹æ¾Èµµ, Ȱµ¿µµ º¸¿©ÁÖÁö ¸øÇϸ鼭 ¡®¸»·Î¸¸¡¯ Áõ¼¼ ¼±¸í¼º °æÀïÀ» ¹ú¿©¿ÀÁö ¾Ê¾Ò´Â°¡? Áõ¼¼´Â º¹ÁöÀçÁ¤ ¹æ¾ÈÀÇ ÇϳªÀÏ »ÓÀÌ´Ù. Áõ¼¼¸¦ ¿ÜÄ¡´Â ¼¼·ÂÀϼö·Ï ½Ã¹ÎµéÀÇ Á¶¼¼ Á¤¼­¸¦ °æÃ»Çϰí, ºñÁõ¼¼ ¿µ¿ªÀÇ Àç¿ø È®º¸¿¡µµ ÈûÀ» ½ñ¾Æ¾ß ÇÑ´Ù.

ÇÏÁö¸¸ ¿ì¸®³ª¶ó¿¡¼­ Áõ¼¼ Á¤Ä¡°¡ Çè³­ÇÏ°í ±âÁ¸ Áõ¼¼·ÐÀÌ ¸ø¸¶¶¥ÇÏ´Ù´Â ÀÌÀ¯·Î Áõ¼¼ ³íÀÇ ÀÚü¸¦ Ȧ´ëÇÏ´Â °Ç ¹®Á¦´Ù. º¸Æíº¹Áö ¼¼·Â¿¡°Ô Áõ¼¼´Â ÀÌ¹Ì ¼±Åà »çÇ×ÀÌ ¾Æ´Ï´Ù. Áö±Ý±îÁö º¸Æíº¹Áö ¼¼·ÂÀÌ ¼±¾ðÀû Áõ¼¼¿¡¸¸ ±×ÃÄ ½Ã¹ÎÀÇ °ø°¨À» ¾òÁö ¸øÇß´Ù¸é ÀÌÁ¦ºÎÅÍ ÇØ³»´Â °Ô ¼÷Á¦ÀÌÁö ¾ÊÀº°¡! ºñÁõ¼¼ ¿µ¿ª¸¸ °íÁýÇÏ´Â ¹Ú±ÙÇý ´ëÅë·Éµµ Áõ¼¼ ³íÀǸ¦ °¡·Î¸·°í ÀÖ´Ù. ÀÌ¹Ì º¹Áö È®´ë´Â ½Ã´ëÀû ¿ä±¸·Î ÀÚ¸® Àâ¾Ò´Ù. ÁöÃâ ÇÕ¸®È­, ÁöÇϰæÁ¦ ¾ç¼ºÈ­ µî¿¡ ÃÖ¼±À» ´ÙÇØ¾ß°ÚÁö¸¸ ÀÌ Àç¿ø¸¸À¸·Î º¹Áö°ø¾àÀ» ÀÌÇàÇÏ±â ¾î·Æ´Ù´Â °Ô ´Ù¼öÀÇ Àü¸ÁÀ̾ú°í, Áý±Ç ¹Ý³âÀÌ Áö³ª¸é¼­ ´õ¿í È®Àεǰí ÀÖ´Ù. ±¹¹Îµé¿¡°Ô ¼ÖÁ÷ÇÏ°í ´ç´çÇÏ°Ô Áõ¼¼¸¦ Á¦¾ÈÇ϶ó.

ÀÌÁ¦ Á¦´ë·Î Áõ¼¼ Á¤Ä¡¸¦ ÆìÀÚ. ¼¼±Ý ºÒ½ÅÀ» ºÎÃß±â´Â °ú°Åȸ±Í½Ä Á¤Ä¡°¡ ¾Æ´Ï¶ó ¾ÆÀ̵éÀÌ »ì ¹Ì·¡¸¦ °¡²Ù´Â ¼¼±Ý Á¤Ä¡°¡ ÇÊ¿äÇÏ´Ù. ¾ÆÁ÷µµ Á¶¼¼ ÀúÇ×ÀÇ À庮ÀÌ ³ôÁö¸¸ ±Ù·¡ º¸Æíº¹Áö ´ã·ÐÀÌ È®»êµÇ°í ±Þ½Ä, º¸À°, ±âÃʳë·É¿¬±Ý¿¡¼­ º¹Áö¸¦ üÇèÇϸ鼭 º¹Áö¸¦ À§Çؼ­¶ó¸é ¼¼±ÝÀ» ³¾ ¼ö ÀÖ´Ù´Â ÀνÄÀÌ ½ÏÆ®°í ÀÖ´Ù. ¸î¸î º¹Áö½Ã¹Î´Üü´Â ¿ì¸®µµ ÇüÆí²¯ ³¾ Å×´Ï ´ë±â¾÷, »óÀ§°èÃþµµ Ã¥ÀÓÀ» ´ÙÇ϶ó´Â ½Ã¹Î Áõ¼¼ Ȱµ¿µµ ½ÃÀÛÇß´Ù. À̹ø ÁÖ¸»ºÎÅÍ´Â »çȸº¹Áö¼¼ µµÀÔÀ» À§ÇÑ °Å¸® ¼­¸íÀü¿¡µµ ³ª¼±´Ù. ¼¼±Ý ºÒ°øÆò¿¡ È­°¡ ³­ Å¿¿¡ Â÷¶ó¸® ¼¼±Ý¿¡ ÀúÇ×ÇÏ´Â °Ô ¡®Á¶¼¼ Á¤ÀÇ¡¯·Î ¹Þ¾Æµé¿©Áö´ø ´ëÇѹα¹¿¡¼­ ÀÌ´Â ¼ÒÁßÇÑ º¯È­ÀÇ ½ÏÀÌ´Ù. º¹Áö¸¦ ´©¸± ´ç»çÀÚµéÀÌ ÀÚ½ÅÀÇ ¼¼±ÝÀ» »ý°¢ÇÏ°í ÆÇ´ÜÇϱ⠽ÃÀÛÇÑ °ÍÀÌ´Ù. Áõ¼¼ Á¤Ä¡ÀÇ ¼ºÆÐ¸¦ Á¿ìÇÒ ÁÖÀΰøµéÀÌ ¿òÁ÷À̰í ÀÖ´Ù.

ÀÌÂü¿¡ ±âÁ¸ ¡®ºÎÀÚÁõ¼¼¡¯ ½½·Î°Çµµ ¡®º¹ÁöÁõ¼¼¡¯·Î ÀüȯÇÏÀÚ. ºÎÀÚÁõ¼¼´Â ºÎÀÚ¸¸ ³»¶ó ÇÑ´Ù. °ú¿¬ ºÎÀÚµéÀÌ ¼Ö¼±¼ö¹üÇØ ¼¼±ÝÀ» ³»°íÀÚ ÇÒ±î? ¼­±¸ º¹Áö±¹°¡ °æÇè¿¡¼­µµ º¸µíÀÌ, ÀÌ´Â ½Ã¹ÎµéÀÇ °Å´ëÇÑ ¾Ð¹ÚÀÌ ¾øÀ¸¸é °¡´ÉÄ¡ ¾ÊÀº ÀÏÀÌ´Ù. ÀÌ ¿¡³ÊÁö¸¦ ¾î¶»°Ô ¸¸µé±î? ¼Òµæ¼¼´Â °­ÇÑ ´©Áøµµ¸¦ Áö´Ï°í ÀÖ´Ù. Áß°£°èÃþºÎÅÍ µ¿ÀÏÇÏ°Ô ÀλóÇØµµ »ç½Ç»ó ºÎÀÚÁõ¼¼ È¿°ú°¡ ¹ßÈֵȴÙ. ±×·¸´Ù¸é ³ªµµ ³»´Ï ´ç½Åµéµµ Á¦ ¸òÀ» ´ÙÇ϶ó¸ç ³ª¼³ ¶§ ÈξÀ À§·ÂÀûÀ¸·Î ºÎÀÚ È£ÁָӴϸ¦ ¿­ ¼ö ÀÖÁö ¾ÊÀ»±î? ³»°¡ ¹Þ´Â º¹Áö¸¦ ¶¸¶¸ÇÏ°Ô ´À³¢¸é¼­ ºÎÀÚ, ´ë±â¾÷¿¡ ´õ ¸¹ÀÌ ¿ä±¸ÇÏ´Â ´ç´çÇÔµµ °¡Áö°Ô ¸»ÀÌ´Ù. º¹ÁöÁõ¼¼´Â ¼¼±Ý¸¸ À̾߱âÇÏ´Â ºÎÀÚÁõ¼¼ ³í¸®ÀÇ ¾àÁ¡µµ ³Ñ¾î¼³ ¼ö ÀÖ´Ù. ¼¼±ÝÀº ÀÚü°¡ ¸ñÇ¥°¡ ¾Æ´Ï´Ù. º¹Áö¸¦ À§ÇÑ ¼¼±ÝÀÓÀ» ºÐ¸íÈ÷ ÇÏÀÚ. ¼¼±Ý°ú º¹Áö¸¦ ÇÔ²² À̾߱âÇØ¾ß ÇÑ´Ù. ´õ ³»´Â ¿ù 1¸¸3000¿ø¸¸ À̾߱âÇϸé ÀÌ µ·Àº ¸ðµÎ¿¡°Ô ºÎ´ãÀÌÁö¸¸ º¹Áö¸¦ ÇÔ²² »ý°¢ÇÏ¸é °øÁ¸ÀÇ ÀÔ±¸ÀÏ ¼ö ÀÖ´Ù.

À̹ø ¼¼¹ý°³Á¤¾È ³í¶õÀº Çѱ¹»çȸ¿¡ Á¸ÀçÇÏ´Â ¼¼±ÝÆøÅº·Ð°ú º¹ÁöÁõ¼¼·ÐÀ» ¸ðµÎ ±ú¿ü´Ù. ¸¸¾à ÈÄÀÚ¿¡ ÁÖ¸ñÇÑ´Ù¸é ½Ã¹ÎµéÀÌ ÁÖÀΰøÀÌ µÇ´Â Áõ¼¼ Á¤Ä¡¸¦ Æì¾ß µÈ´Ù°í ¾Ë·ÁÁÖ¾ú´Ù. ´ç»çÀÚ°¡ ¸»ÇÏ°Ô ÇÏÀÚ. Á¤ÀÛ 1¸¸3000¿øÀ» ³»¾ß ÇÏ´Â ½Ã¹ÎµéÀÌ ¼¼±Ý°ú º¹Áö¸¦ ÇÔ²² »ý°¢Çϰí, ³» ¼¼±ÝÀÌ º¹ÁöÀçÁ¤ È®ÃæÀÇ Áö·¿´ë¶ó°í ÀںνÉÀ» °¡Áú ¶§ ºñ·Î¼Ò Áõ¼¼´Â °¡´ÉÇØÁú °ÍÀÌ´Ù. ¡®¾Æ·¡·ÎºÎÅÍ¡¯ÀÇ Áõ¼¼ Á¤Ä¡¸¦ °í´ëÇÑ´Ù.


[2013-8-21. °æÇâ½Å¹®] ÃкҽÃÀ§´Â ¿Ö Ãë¹Ì»ýȰÀÌ µÇ¾ú³ª

¹®È­Æò·Ð°¡ ÇãÁö¿õ¾¾°¡ ¡°±¹Á¤¿ø À̽´´Â ¹®Á¦Áö¸¸ ½Ã±¹¼±¾ðÀº ¿À¹ö¶ó°í »ý°¢¡±ÇÑ´Ù°í Æ®À§ÅÍ¿¡ ±ÛÀ» ¾´ °ÍÀº 8¿ù18ÀÏ ¿ÀÈÄ 9½Ã24ºÐÀÇ ÀÏÀ̾ú´Ù. ±×´Â ¡°Áö±ÝÀÇ Ãкҵµ Ãë¹ÌȰµ¿ ÀÌ»óÀÇ ÃæºÐÇÑ ´çÀ§¸¦ ãÀ» ¼ö ¾ø´Ù¡±°í µû²ûÇÑ ºñÆÇÀ» ³»³õ¾Ò´Ù. ÀÌ ¹ß¾ðÀº »ç°ÇÀ» º¸µµÇÏ´Â °Ô ¾Æ´Ï¶ó º¸µµ¸¦ »ç°ÇÇÏ´Â ¾ð·Ðµé¿¡ ÀÇÇØ »ç¶÷µéÀÇ ÀÔ¿¡ ¿À¸£³»¸®°Ô µÆ´Ù.

¿©±â¼­ ¿ì¸®´Â Àú ¹ß¾ð ¼Ó¿¡ ¸î °¡Áö ÀüÁ¦°¡ ¼û°ÜÁ® ÀÖ´Ù´Â »ç½ÇÀ» ¾Ë ¼ö ÀÖ´Ù. ù°, ±¹Á¤¿ø À̽´°¡ Å« ¹®Á¦´Ù. µÑ°, ±×·¯³ª ±×°ÍÀ» ºÎ°¢½Ã۱â À§ÇØ ½Ã±¹¼±¾ðÀ̳ª ÃкҽÃÀ§ µîÀ» ÇÏ´Â °ÍÀº Àü·«ÀûÀ¸·Î Ÿ´çÇÏÁö ¾Ê´Ù. ¼Â°, ÃкҽÃÀ§´Â Çѳ¹ Ãë¹Ì»ýȰ¿¡¼­ ¸Ó¹«¸£´Â °ÍÀÌ ¾Æ´Ï¸ç, ¾Æ´Ï¾î¾ß ÇÑ´Ù. ¡®ÃкÒÀÌ Ãë¹Ì³Ä¡¯¶ó´Â ¸»ÀÌ À¯µ¶ Å« ¹Ý¹ßÀ» ºÒ·¯ÀÏÀ¸Ä×´Ù´Â »ç½ÇÀ» ³õ°í º¼ ¶§, ƯÈ÷ ¼¼ ¹øÂ° ÀüÁ¦¿¡ ´ëÇØ¼­´Â ÇãÁö¿õ¾¾¿Í ±×ÀÇ ºñÆÇÀÚµéÀÌ ¸ðµÎ È®°íÇÑ µ¿ÀǸ¦ Çϰí ÀÖ´Â µíÇÏ´Ù.

ÀÏ´Ü ±¹Á¤¿ø À̽´°¡ Å« ¹®Á¦¶ó´Â °ÍÀ» ºÎÁ¤ÇÒ »ç¶÷Àº ¾Æ¹«µµ ¾øÀ» °ÍÀÌ´Ù. ´ëü ¿Ö ±¹°¡ Á¤º¸ ±â°üÀÌ Àϰ£º£½ºÆ®³ª ¿À´ÃÀÇÀ¯¸Ó °°Àº À¥»çÀÌÆ®¿¡¼­ ÀüÁ÷ ´ëÅë·ÉÀ» ÈñÈ­È­ÇÏ´Â ¸®ÇÃÀ̳ª ´Þ°í ÀÖ¾î¾ß ÇÏ´ÂÁö, ±×°ÍÀÌ ´ëºÏ ½É¸®Àü°ú ¹«½¼ »ó°üÀÌ ÀÖ´ÂÁö ¸ð¸£°ÚÁö¸¸, ¾Æ¹«Æ° ±×·± ÀÏÀÌ ÀÖ¾ú´Ù´Â °Í ÀÚü¸¸À¸·Îµµ ÀÌ¹Ì ½É°¢ÇÑ ¹®Á¦´Ù. ¿ì¸®°¡ ³½ ¼¼±ÝÀÌ Æ¯Á¤ À¥ ¼­¹öÀÇ ÀúÀå ¿ë·®À» ³¶ºñÇÏ´Â ÀÏ¿¡ ¼ÒÁøµÇ°í ÀÖ¾ú´Ù´Â ¶æÀ̱⠶§¹®ÀÌ´Ù. ÇϹ°¸ç ±×°ÍÀÌ ´ë¼± °³ÀÔÀ» À§ÇÑ Á¤Ä¡°øÀÛÀ̾ú´Ù¸é ´õ ¸»ÇÒ °Íµµ ¾ø´Ù.

±×·±µ¥ ¿Ö »çŰ¡ ÁøÃ´µÇÁö ¾Ê°í ÀÖÀ»±î? ´ëÇлý, ´ëÇÐ ±³¼ö, ±âŸ ´Ù¾çÇÑ Áý´Ü ¹× °³ÀεéÀÌ ½Ã±¹¼±¾ðÀ» ³»³õ°í ÀÖÀ¸¸ç, ƯÈ÷ ÃÖ±ÙÀÇ Æø¿°À» ¶Õ°í ÃкҽÃÀ§°¡ ¿­¸®°í ÀÖ´Ù. ½Å¿µº¹ ±³¼öÀÇ <°¨¿ÁÀ¸·ÎºÎÅÍÀÇ »ç»ö>¿¡´Â °¨¹æÀÇ ¿©¸§ÀÌ °Ü¿ïº¸´Ù ÈξÀ Èûµé´Ù´Â ÀÏÈ­°¡ µîÀåÇÑ´Ù. °Ü¿ï¿¡´Â Ãß¿ì´Ï±î ´Ù´Ú´Ù´Ú ºÙ¾îÀ־ ±¦Âú°í ¿ÀÈ÷·Á ¼­·Î ÀÇÁö°¡ µÇÁö¸¸, ¿©¸§¿¡´Â ´õÀ§ ¶§¹®¿¡ Â¥ÁõÀ» ³»°í ´ÙÅõ±â ÀϾ¥¶ó´Â °ÍÀÌ´Ù. ±×·¸´Ù¸é ÃкÒÀ» ÄÒ »ç¶÷µéÀÌ Á¼Àº °£°ÝÀ¸·Î ¸ð¿© ¾É´Â °æ¿ì¸¦ »ó»óÇØº¸ÀÚ. Áö±Ý ¹ú¾îÁö´Â ÃкҽÃÀ§´Â ¹Ù·Î ±×·± ±Ø±âÈÆ·ÃÀÇ ÇöÀåÀÌ´Ù.

¹®Á¦´Â ±×°ÍÀÌ ´ÜÁö Ãë¹Ì»ýȰÀÏ ¸®°¡ ¾øÀ¸¸ç, ±×·¸°Ô ³¡³ª¼­µµ ¾È µÈ´Ù´Â µ¥ ÀÖ´Ù. Áö±Ý±îÁö ¹àÇôÁø °Í¸¸ ³õ°í º¸´õ¶óµµ ±¹Á¤¿ø »ç°ÇÀº ±¹°¡Àû ½ºÄµµéÀÌ´Ù. ±×·±µ¥ ¿Ö, ¼±·®ÇÑ ½Ã¹ÎµéÀÌ ÀÌ ¹«´õ¿î ¿©¸§³¯ ´õºÒ¾î ½£ÀÌ µÇ¾î ÃкұîÁö µé°í ÀÖÀ½¿¡µµ ºÒ±¸Çϰí, »çŰ¡ ÀüÇô ÁøÀüµÇÁö ¾Ê´Â°¡?

»ý°¢Çغ¸ÀÚ. ¾îÂ÷ÇÇ »õ´©¸®´ç°ú ±¹Á¤¿øÀº ÃкҽÃÀ§ÀÇ ¸»¿¡ ±Í¸¦ ±â¿ïÀÏ Çʿ䰡 ¾ø´Ù. °æÂû ¹ö½º·Î ¸·¾Æ³õÀ¸¸é ±×¸¸À̱⠶§¹®ÀÌ´Ù. ¹Ý´ë·Î ¹ÎÁÖ´ç ¶ÇÇÑ, ½ÇÀº ÃкҽÃÀ§¿¡ ³ª¿Â »ç¶÷µéÀÇ ¸ñ¼Ò¸®¸¦ ¹Ý¿µÇϱâ À§ÇØ °í±ººÐÅõÇÒ ÀÌÀ¯°¡ ¾ø´Ù. Ãкҵ鿡°Ô´Â ´Ù¸¥ ¼±ÅÃÀÇ ¿©Áö°¡ ¾ø±â ¶§¹®ÀÌ´Ù. ¹ÎÁÖ´çÀÌ ±×µéÀ» ¾Æ¹«¸® ½Ç¸Á½ÃŲ´Ù Çѵé, ÀÌ ´õÀ§¸¦ ¶Õ°í ÃкҽÃÀ§¸¦ ÇÏ´Â »ç¶÷µéÀº °á±¹ ¹ÎÁÖ´çÀ» ÂïÀ» °ÍÀÌ´Ù.

¼Õ ¾È¿¡ µé¾î¿Â »õ¿¡°Ô´Â ¸ðÀ̸¦ ÁÖÁö ¾Ê´Â´Ù°í ´©°¡ ¸»Çß´ø°¡. ¸î Â÷·Ê¿¡ °ÉÄ£ Á¤Ä¡°øÇÐÀû ¼±°Å ³îÀ½À» ÅëÇØ ü°èÀûÀ¸·Î Áøº¸Á¤´çÀÌ ¾Ð»ìµÈ Áö±Ý, ÇöÀçÀÇ Á¤Ä¡Àû ±³Âø »óŸ¦ Ÿ°³Çϱâ À§ÇØ ¹ÎÁÖ´çÀÌ, Àû±ØÀûÀ¸·Î ³»ºÎ °¥µîÀ» Á¤¸®Çϰí, ´ë¾ÈÀû Çຸ¸¦ º¸¿©¾ß ÇÒ ÀÌÀ¯°¡ ¾îµð Àְڴ°¡? ¾îÂ÷ÇÇ ¡®ÃÐºÒ ½Ã¹Î¡¯µéÀº ¡®µµ·Î ¹ÎÁִ硯 ÇÒ ÅÙµ¥.

¾ß´çÀÌ ¾ß¼ºÀ» ÀÒÀº ÀÌÀ¯´Â ¹è°¡ ºÎ¸£±â ¶§¹®ÀÌ´Ù. ±×µéÀÌ ¹è°¡ ºÎ¸¥ °ÍÀº ¡®¹ä±×¸©¡¯À» »¯±æ ¿°·Á°¡ ¾ø±â ¶§¹®ÀÌ´Ù. ÃкҽÃÀ§°¡ Ãë¹ÌȰµ¿À̳Ĵ ¸» ÀÚü¿¡ ºÐ³ëÇÏÁö ¸»°í, ±×°ÍÀÌ Çѳ¹ Ãë¹Ì»ýȰ ÀÌ»óÀÇ È¿°ú¸¦ °ÅµÎÁö ¸øÇÏ°Ô ÇÏ´Â ÁøÂ¥ ¿øÀÎÀÌ ¾îµð ÀÖ´ÂÁö »ìÆìº¸½Ã¶ó. ¿ø¼¼ÈÆÀº ±¹Á¤Á¶»ç ÀÚü¸¦ ¿ì·ÕÇϰí, ±¹Á¤¿øÀº ³²ºÏÁ¤»óȸ´ã ȸÀÇ·ÏÀº °ø°³Çصµ Á÷¿ø ¾ó±¼Àº Àϱ޺ñ¹ÐÀ̶ó°í ¿ì±ä´Ù. ÀÌ·± »óȲ¿¡¼­ ¾îº¡ÇÑ ¾ó±¼·Î ²ø·Á´Ù´Ï¸ç ¡®ÃÐºÒ ½Ã¹Î ¿©·¯ºÐ, ÈûÀ» ³»ÁÖ¼¼¿ä¡¯¶ó°í ¸»ÇÏ´Â ±×µéÀ̾߸»·Î ÃкҽÃÀ§¸¦ ¡®Ãë¹Ì»ýȰ¡¯·Î Àü¶ô½Ã۰í ÀÖ´Ù.