Previous | Home | EndoTODAY | List | Next


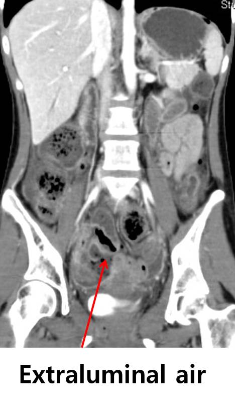
[Polyarteritis nodosa (PAN) with small bowel perforation]

ÀÏÀü¿¡ ¿ì¸®¸» Gastroenterology & Hepatology News¿¡ ¼ÒÀå õ°øÀ» º¸¿´´ø PAN Áõ·Ê¸¦ ±â°íÇÑ ¹Ù ÀÖ¾î ¼Ò°³ÇÕ´Ï´Ù.



[References]

1) 2016³â 11¿ù 18ÀÏ »óºÎÀ§Àå°üÇ︮ÄÚ¹ÚÅÍ ÇÐȸ¿¡¼­ ¹ßÇ¥µÈ PAN Áõ·Ê

© ÀÏ¿ø³»½Ã°æ±³½Ç ¹Ù¸¥³»½Ã°æ¿¬±¸¼Ò ÀÌÁØÇà. EndoTODAY Endoscopy Learning Center. Lee Jun Haeng.