Previous | Home | EndoTODAY | List | Next


[Antral type Borrmann type IV (4) - More cases with peritoneal seeding]

2020-8-10. 8PM. EndoTODAY Live

* Âü°í: In depth analysis º¸¸¸ 4Çü ÁøÇ༺ À§¾Ï À§³»½Ã°æ ¾ÆÆ²¶ó½º (PDF) 2024

ÀüÁ¤ºÎ¿¡ ±¹ÇÑµÈ º¸¸¸ 4Çü ÁøÇàÀ§¾ÏÀº óÀ½ºÎÅÍ peritoneal seedingÀ» µ¿¹ÝÇÑ °æ¿ì°¡ ÀûÁö ¾Ê½À´Ï´Ù. ÀÌÀ¯´Â ¸ð¸£°Ú½À´Ï´Ù.

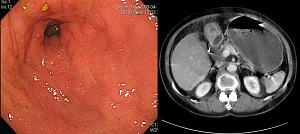
peritoneal seeding (+)

peritoneal seeding (+)

peritoneal seeding (+)

peritoneal seeding and rectal metastasis

Peritoneal seedingÀÇ º´¸® ¼Ò°ßÀÔ´Ï´Ù.


[2020-5-7. Ãß°¡]

¿Ü°ú ¼±»ý´Ô°ú ȯÀÚ¿¡ »óÀÇÇÏ´Ù°¡ ÀÌ·± À̾߱⸦ µé¾ú½À´Ï´Ù. "°æÇèÀûÀ¸·Î º¼ ¶§, ³²ÀÚ È¯ÀÚ´Â type IV¶óµµ seedingÀÌ Á» ÀûÀº °Í °°½À´Ï´Ù"

óÀ½ µè´Â À̾߱âÀÎÁö¶ó È®ÀÎÀÌ ÇÊ¿äÇÕ´Ï´Ù¸¸ ȯÀÚ¿Í Ä¡·á optionÀ» »óÀÇÇÒ ¶§ Âü°íÇÒ ¼ö ÀÖÀ» °Í °°½À´Ï´Ù.


[References]

1) EndoTODAY À§¾Ï 642 - Antral type º¸¸¸ 4Çü ÁøÇ༺ À§¾Ï¿¡ ´ëÇÑ Áú¹®°ú ´äº¯

[Home]