Previous | Home | EndoTODAY | List | Next


[Endoscopic diagnosis of Borrmann type IV (3) - Shallow and narrow valley °ñÂ¥±â°¡ ¾è°í Á¼¾ÆÁø´Ù]

2020-8-10. 8PM. EndoTODAY on Air

* Âü°í: In depth analysis º¸¸¸ 4Çü ÁøÇ༺ À§¾Ï À§³»½Ã°æ ¾ÆÆ²¶ó½º (PDF)


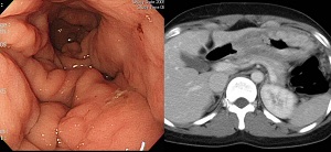
º¸¸¸ 4Çü ÁøÇ༺ À§¾Ï¿¡¼­ ¾Ï¼¼Æ÷´Â À§Á¡¸· ¾Æ·¡¿¡¼­ ³Ð°Ô ħÀ±Çϱ⠶§¹®¿¡ Á¡¸·ÁÖ¸§ÀÌ µÎ²¨¿öÁö¸é¼­ ÁÖ¸§ »çÀÌÀÇ °ñÂ¥±â ¹Ù´Úµµ ¿Ã¶ó¿À°Ô µË´Ï´Ù. ±× °á°ú Á¤»ó ÁÖ¸§ »çÀÌ»çÀÌ °ñÂ¥±âÀÇ ±íÀ̰¡ ¾è¾ÆÁý´Ï´Ù. °ñÂ¥±âÀÇ Æøµµ Á¼¾ÆÁý´Ï´Ù.


Stomach, total gastrectomy
Advanced gastric carcinoma
1. Location : [1] upper third, [2] middle third, Center at high body, anterior wall
2. Gross type : Borrmann type 4
3. Histologic type : undifferentiated carcinoma
4. Histologic type by Lauren : diffuse
5. Size : 13.5cm x encircled
6. Depth of invasion : invades serosa (pT4a)
7. Resection margin: free from carcinoma, safety margin: proximal 2 cm, distal 8 cm
8. Lymph node metastasis : metastasis to 2 out of 40 regional lymph nodes (pN1)
9. Lymphatic invasion : present
10. Venous invasion : not identified
11. Perineural invasion : present
12. Peritoneal cytology : negative
13. AJCC stage by 7th edition: T4a N1

© ÀÏ¿ø³»½Ã°æ±³½Ç ¹Ù¸¥³»½Ã°æ¿¬±¸¼Ò ÀÌÁØÇà. EndoTODAY Endoscopy Learning Center. Lee Jun Haeng.