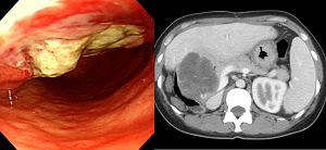
[Duodenal invasion of embryonal cell carcinoma of liver]

Previous | List | Next


[Home]