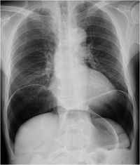
[20120124. Complications of EMR/ESD (19): Perforation (11) - Removing abdominal free air using needle]
Frank perforationÀ̵ç microperforationÀÌµç º¹°³» °ø±â°¡ ³Ê¹« ¸¹À¸¸é ÀÌ ¶§¹®¿¡ ȯÀÚ°¡ Èûµé¾î ÇÒ ¼ö ÀÖ´Ù.
±×¸²Ã³·³ º¹°³» °ø±â°¡ ¸¹¾Æ ȯÀÚ°¡ Èûµé¾îÇÏ¸é º¹¼öõÀÚÇÏ´Â °Í°ú ºñ½ÁÇÏ°Ô needle·Î °ø±â¸¦ »© ÁÖ¸é ÁÁ´Ù. "Ç»~~~"ÇÏ´Â À½ÇâÈ¿°ú¿Í ÇÔ²² °ø±â°¡ ³ª¿À¸é¼ ȯÀÚ´Â Áï°¢ ÆíÇØÁø´Ù.
[¾Öµ¶ÀÚ ÄÚ³Ê]
[¾Öµ¶ÀÚÀÇ Áú¹®] "º¹°¿¡ ´Ù·®ÀÇ °ø±â°¡ áÀ» ¶§ ¾î´À °÷À» ¾î¶»°Ô õÀÚÇØ¼ °ø±â¸¦ »©´Â °ÍÀÌ ÁÁÀºÁö ¹®Àǵ帳´Ï´Ù. Á¦ °æ¿ì´Â Ã¥À» º¸°í RLQ¸¦ õÀÚÇÑ ÀûÀÌ ÀÖ½À´Ï´Ù. ¾î¶² ȯÀÚ¿¡¼´Â simple »çÁø¿¡¼ falciform ligament°¡ º¸¿© ´©¿î ÀÚ¼¼¿¡¼ RUQ¸¦ õÀÚÇÑ °æÇèµµ ÀÖ½À´Ï´Ù.¼±»ý´ÔÀº ¾î¶² ¹æ¹ýÀ» ¾²½Ã´ÂÁö¿ä?"
[¾Öµ¶ÀÚÀÇ ´äº¯ 1] Blind tappingÀº ¾Æ¹«·¡µµ ´ë·®ÀÇ °ø±â¸¦ Á¦°ÅÇÒ ¼ö ¾ø°í, riskµµ ³ô¾ÆÁý´Ï´Ù. ´ë°³ ³· Àϰú½Ã°£¿¡ ¾Ë°ÔµÇ¹Ç·Î, fluoroscopy¸¦ º¸¸é¼ °ø±â ¸¹Àº °÷À» ¸ÞµðÄÆÀ¸·Î Âñ·¯¼ Á¦°ÅÇÏ´Â °ÍÀÌ ¾ÈÀüÇÏ°Ô ´ë·®ÀÇ °ø±â¸¦ Á¦°ÅÇÏ´Â ¹æ¹ýÀÔ´Ï´Ù. Fluoroscopy¸¦ º¼ ¼ö ¾ø´Â °æ¿ì supine position¿¡¼ periumbilical area¸¦ Âñ·¶Áö¸¸, case°¡ ¸Å¿ì Àû½À´Ï´Ù.
[¾Öµ¶ÀÚÀÇ ´äº¯ 2] ´ëÀå³»½Ã°æÈÄ¿¡ Àå³»°¿¡ °¡½º°¡ Â÷¼ ¹è°¡ ºÎÇ®¾î ¿À¸¥ °Í°ú´Â ´Þ¸® õ°ø¿¡ ÀÇÇØ º¹°³»¿¡ °¡½º°¡ Âù °æ¿ì¿¡´Â ¶È¹Ù·Î ´©¿î »óÅ¿¡¼ RLQµç RUQ µç Å« ¹®Á¦ ¾ø´Ù°í »ý°¢µË´Ï´Ù. Á¦ °æÇèÀ¸·Î´Â RLQ¸¦ ÅëÇØ ¾ÈÀüÇÏ°Ô Á¦°ÅÇÑ °æÇèÀÌ ÀÖ½À´Ï´Ù.
[¾Öµ¶ÀÚÀÇ ´äº¯ 3] °ø±â¸¦ »©ÁÙÁ¤µµ·Î ¸¹ÀÌ Àִ°æ¿ì¿¡ supine À§Ä¡¿¡¼ ¹è²ÅÁÖº¯À¸·Î drainÇÏ´Â°Ô °¡Àå ¾ÈÀüÇÒ°Í °°Àºµ¥¿ä...
[¾Öµ¶ÀÚÀÇ ´äº¯ 4] RLQ¿Í periumbilical area´Â °¡´É¼ºÀÌ ³ôÁö´Â ¾ÊÀ¸³ª Rt kidney (¿À¸¥ÂÊÀÌ ¿ÞÂÊ¿¡ ºñÇØ ¹Ø¿¡ À§Ä¡ÇϹǷÎ), abdominal aorta (old age¿¡¼ aneurysmÀÌ ÀÖ´Â °æ¿ì ÀǿܷΠº¹º®¿¡¼ °¡±îÀÌ À§Ä¡ÇÒ ¼ö ÀÖ½À´Ï´Ù)ÀÇ injury °¡´É¼ºÀÌ ÀÖ½À´Ï´Ù. ½ÇÁ¦ °ú°Å ÁßÇлýµé³¢¸® Àå³Ä¡´Ù°¡ ½Ç¼ö·Î Â ¼Û°÷¿¡ aorta°¡ ±×´ë·Î Âñ·Á Áï»çÇÑ caseµµ ÀÖ¾ú½À´Ï´Ù. ÀÌ·¯ÇÑ Á¡À» °¨¾ÈÇÒ ¶§ LLQ°¡ ¾ÈÀü¸é¿¡¼´Â Á¦ÀÏ ³ªÀº °Í °°½À´Ï´Ù. ´Ü, º°·Î ¶×¶×ÇÏÁö ¾ÊÀº ȯÀÚ¿´´Âµ¥ ÀǿܷΠº¹º®ÀÌ µÎ²¨¿ö 18 gauge medicutÀÌ º¹º®À» Åë°úÇÏÁö ¸øÇÑ °æ¿ìµµ ÀÖ¾úÀ¸´Ï ÀÌ Á¡À» À¯ÀÇÇÏ¿©¾ß ÇÕ´Ï´Ù. Fluoroscopy´Â °³ÀÎÀûÀ¸·Î º°·Î ÁÁ¾ÆÇÏÁö ¾Ê¾Æ À¯¿ë¼º¿¡ ´ëÇØ¼´Â º°·Î µå¸± ¸»¾¸ÀÌ ¾ø½À´Ï´Ù.
[¾Öµ¶ÀÚÀÇ ´äº¯ 5] õ°ø¿¡ ´ëÇÑ ´ëó°¡ ´Ü½Ã°£¿¡ ÀÌ·ç¾îÁ® ´õ ÀÌ»óÀÇ leak°¡ ¾ø¾î ½Ã¼ú ÁøÇà¿¡ ¹«¸®°¡ ¾ø´Ù¸é õÀÚ´Â ÇÊ¿ä¾ø½À´Ï´Ù. ºñ·Ï Áõ·ÊÀÇ »çÁø ó·³ air trapingÀÌ °üÂûµÇ¾îµµ ȯÀÚÀÇ vitalÀÌ stableÀÌ ÇÏ´Ù¸é (¾à°£ ºÒÆíÇϱâ´Â ÇϰÚÁö¸¸) ²À õÀÚ°¡ ÇÊ¿äÇÏÁö´Â ¾Ê´Ù°í »ý°¢µË´Ï´Ù. À쫆 ̵°øÀÌ »ý°Ü abdomenÀÌ tenseÇØ Áö°í ´õ ÀÌ»óÀÇ ½Ã¼ú ÁøÇà¿¡ ¹«¸®°¡ ÀÖ´Ù°í ÆÇ´ÜµÇ¸é (PR¡è, RR¡é, irritated state etc) ½Ã¼úÀå¿¡¼ ¹Ù·Î blind tappingÀ» ÇÕ´Ï´Ù. (ºÎÀ§´Â semi left. Lateral decubitusÀÚ¼¼¿¡¼ RUQºÎÀ§ÀÇ midline±Ùó¸¦ Áß½ÉÀ¸·Îsheath needle: 18G-19G)
ÀúÀÇ rationale´Â (1) õ°øÀÇ À§Ä¡/»óȲ¿¡ µû¶ó¼´Â ¹ß»ý Áï½Ã seal upÀ» ÇÏÁö ¸øÇϰí( ¶Ç´Â ¾ÈÇϰí) ¾î´À Á¤µµ dissectionÀ» ÁøÇà ÈÄ¿¡ ÇÏ´Â °ÍÀÌ ÇâÈÄ ½Ã¼úÀ» ¿ëÀÌÇÏ°Ô ÇÏ´Â °æ¿ì°¡ ÀÖ´Ù´Â Á¡ÀÔ´Ï´Ù. ÀÌ·± °æ¿ì severe air trapping¿¡ ÀÇÇÑ Dg herniationÀ¸·Î cardiopulmonary distress°¡ »ý±æ ¼ö ÀÖ½À´Ï´Ù. (2) ȯÀÚ´Â ¼ö¸é »óÅ À̹ǷΠº¹ºÎÀÇ ·ÎÄà ¸¶ÃëµîÀÌ ÇÊ¿ä¾ø½À´Ï´Ù. (3) <¾Öµ¶Àڴ亯1> ó·³ ÇÏ´Â °ÍÀÌ ÀÌ»óÀûÀ̳ª ȯÀÚ/ º¸È£ÀÚ compliance¸é¿¡¼ 2 or 3 stepÀ¸·Î ÇÏ´Â °Íº¸´Ù´Â one stepÀ¸·Î ³¡³»´Â °ÍÀÌ ÈξÀ ³ªÀº °ÍÀ¸·Î ÆÇ´ÜµË´Ï´Ù. ( What happens in Las Vegas, leave it there: ¶ó½ºº£°¡½º °ü±¤ È«º¸ ¹®±¸°¡ »ý°¢³ª³×¿ä^^) ¶ÇÇÑ À§¿¡ ¹àÈù °Íó·³ air trapingÀÌ °üÂûµÇ¾îµµ ȯÀÚÀÇ vitalÀÌ stableÀÌ ÇÏ´Ù¸é (¾à°£ ºÒÆíÇϱâ´Â ÇϰÚÁö¸¸) ²À õÀÚ°¡ ÇÊ¿äÇÏÁö´Â ¾Ê´Ù°í »ý°¢µË´Ï´Ù. (4) Áï ÆÇ´ÜÇÏ¿© õÀÚ°¡ ÇÊ¿äÇÏ¸é ½Ã¼úÀå¿¡¼ ÁøÇàÇÏÁö¸¸ º´½Ç·Î transferÈÄ secondary lookÀ¸·Î ÇÏÁø ¾Ê½À´Ï´Ù. ÀÌ»óÀº ÀúÀÇ ¸Å---¿ì °³ÀÎÀûÀÎ ÀǰßÀÔ´Ï´Ù.
[¾Öµ¶ÀÚÀÇ ´äº¯ 6] ºÎÁ·ÇÏÁö¸¸ Á¦ ÀǰßÀ» Á¦½ÃÇÕ´Ï´Ù. Symptomatic pneumoperitoneum½Ã¿¡ õÀڽà °¡Àå °í·ÁÇØ¾ß ÇÒ »çÇ×Àº ȯÀÚÀÇ Áõ»ó °³¼±À̶ó°í »ý°¢ÇÕ´Ï´Ù. ±×·¯¹Ç·Î °ø±â¸¦ ¿ÏÀüÈ÷ ´Ù Á¦°ÅÇÑ´Ù´Â ¸ñÀûº¸´Ù´Â ȯÀÚ°¡ Æí¾ÈÇØÁú Á¤µµÀÇ °ø±â¸¦ Á¦°ÅÇÏ´Â °ÍÀÌ Áß¿äÇÏ´Ù°í »ý°¢ÇÕ´Ï´Ù. ¹°·Ð fluroscopy³ª ÃÊÀ½ÆÄ¸¦ »ç¿ëÇØ¼ °ø±â¾çÀ» º¸°í Á¦°ÅÇÏ´Â °ÍÀÌ ³ª»ÚÁö ¾ÊÁö¸¸, fluoroscopy °°Àº °æ¿ì´Â ȯÀÚ¸¦ Åõ½Ã¹æ±îÁö À̵¿ÇØ¾ß ÇÏ´Â ºÒÆíÇÔ, µ¿½Ã¿¡ ȯÀÚ·Î ÇÏ¿©±Ý ÇÕº´ÁõÀÌ ½ÉÇÏ°Ô »ý±âÁö ¾Ê¾Ò³ªÇÏ´Â ºÒ¾È°¨À» ÁÙ ¼ö ÀÖ´Ù´Â Á¡À» °í·ÁÇØ¾ß ÇÕ´Ï´Ù. ¶ÇÇÑ ÃÊÀ½ÆÄ °°Àº °æ¿ì´Â ½ÇÁ¦ °ø±â À½¿µ¿¡ ÀÇÇÑ ¹ÝÇâÀ¸·Î ÀÎÇØ Á¤È®ÇÑ °ø±â ¾çÀ» ÆÄ¾ÇÇϱ⠾î·Á¿î Á¡ÀÌ ÀÖ½À´Ï´Ù.
Àú´Â supinen position¿¡¼ °¡Àå tympanicÇÑ ºÎÀ§ (°ø±â°¡ º¹°³»¿¡ °¡Àå À§¿¡ À§Ä¡ÇϹǷÎ, ÀÌ ºÎÀ§°¡ epigastriumÀÌ µÉ ¼öµµ ÀÖ½À´Ï´Ù)¿¡ »ý¸®½Ä¿°¼ö¸¦ ä¿î 10 cc ÁÖ»ç±â·Î À½¾ÐÀ» °¡ÇÏ¸é¼ ÃµÀÚ¸¦ ÇÕ´Ï´Ù. ±×·¡¼ ÀÌ ºÎÀ§¿¡ °ø±â°¡ ³ª¿À¸é 20 G medicut¸¦ »ç¿ëÇÏ¿© pucture ÈÄ plastic sheath¸¸ ³²±ää °ø±â¸¦ Á¦°ÅÇÕ´Ï´Ù. Á¦°Å½Ã¿¡´Â º¹ºÎ ´Ù¸¥ ºÎÀ§¸¦ ´©¸£¸é¼ Á¦°ÅÇϱ⵵ ÇÏ°í »óȲ¿¡ µû¶ó¼´Â 3-way¸¦ ´Þ¾Æ¼ Á¶½É½º·´°Ô 50 cc ÁÖ»ç±â·Î Á¦°ÅÇϱâ·Î ÇÕ´Ï´Ù. ±×¸®°í °ø±â°¡ ÀÏÁ¤ÇÑ À§Ä¡¿¡¼ ´õ ÀÌ»ó ³ª¿ÀÁö ¾ÊÀ» °æ¿ì¿¡´Â postion change¸¦ ÇÏ¸é ¿©ºÐÀÇ °ø±â¸¦ Á¦°ÅÇÒ ¼ö ÀÖ½À´Ï´Ù. ¶ÇÇÑ ÀϹÝÀûÀ¸·Î pneumothorax°¡ ÀÖÀ» ½Ã¿¡ »ê¼Ò¸¦ ÁÖ´Â °Íó·³, ÀÌ·¯ÇÑ °æ¿ì¿¡ nasal prungÀ¸·Î »ê¼Ò¸¦ °ø±ÞÇÏ´Â °ÍÀÌ µµ¿òÀÌ µÉ ¼öµµ ÀÖ°Ú½À´Ï´Ù.
[¾Öµ¶ÀÚÀÇ ´äº¯ 7] Àúµµ °æÇèÀÌ ¸¹ÀÌ ºÎÁ·ÇÏ¿© ´äº¯µå¸®´Â °ÍÀÌ Á¶½É½º·´½À´Ï´Ù¸¸¡¦ Àú °°Àº °æ¿ì´Â ȯÀÚ°¡ tolerable Çϸé õÀÚ¸¦ ÇÏÁö´Â ¾Ê½À´Ï´Ù. °ø±â°¡ º¹° ³»¿¡ ÀÖ´Â °Í ÀÚü°¡ º¹¸·¿°ÀÌ À¯¹ßµÈ »óȲÀ̱⠶§¹®¿¡ needlingÀ» ÇÏ´Â °Í ÀÚü°¡ ¿°ÁõÀÇ ÀüÆÄ¸¦ À¯¹ßÇÒ ¼ö ÀÖ´Ù°í »ý°¢Çϱ⠶§¹®ÀÔ´Ï´Ù. ÇÏÁö¸¸, õ°ø¿¡ ÀÇÇØ º¹°¿¡ ´Ù·®ÀÇ °ø±â°¡ áÀ» ¶§´Â ´ëºÎºÐ ȯÀÚµéÀÌ ¸Å¿ì irritableÇØÁö°í ½ÉÇÑ °æ¿ì¿¡´Â Ç÷¾Ð°¨¼Ò, ¹ßÇÑ, È£Èí°ï¶õ µîÀÌ ¹ß»ýÇÏ°Ô µË´Ï´Ù. µû¶ó¼, ÇÒ ¼ö ¾øÀÌ °ø±â õÀÚ¸¦ ¼±ÅÃÇÒ ¼ö ¹Û¿¡ ¾ø´Â °æ¿ì°¡ ÀÖ½À´Ï´Ù.
Àú´Â ȯÀÚ¸¦ supine position¿¡¼ ºÎµå·´°Ô ½Åü°ËÁøÀ» ÇÏ¿© °¡Àå tympanicÇÑ ºÎÀ§¸¦ ã´Âµ¥, ´ë°³ supine position ¿¡¼´Â ¹è²Å ÁÖÀ§°¡ °¡Àå tympanicÇÑ °æ¿ì°¡ ¸¹½À´Ï´Ù. Supine position¿¡¼´Â ´ç¿¬È÷ ¹è²Å ÁÖÀ§°¡ °¡Àå ³ôÀº ºÎÀ§°¡ µÇ±â ¶§¹®¿¡ ÀÌ ºÎÀ§¿¡ free air°¡ ¸¹ÀÌ ¸ðÀÌ´Â °Í °°½À´Ï´Ù. NeedlingÀº betadine dressingÀ» ½ÃÇàÇÑ ÈÄ ¹è²ÅÀÇ »ó¹æ 1cm Á¤µµÀÇ À§Ä¡¸¦ õÀÚÇÏ´Â µ¥, ÁÖ»ç±âÀÇ ½Ç¸°Áö¸¦ ÈĹæÀ¸·Î °¡º±°Ô ´ç±â¸é¼ õÀÚ¸¦ Çϸé ÁÖ»ç±â ¹Ù´ÃÀÌ º¹°¿¡ À§Ä¡ÇÏ´Â ¼ø°£ ÁÖ»ç±â°¡ ÈÄÁøµÇ¸ç °ø±â°¡ ºüÁ® ³ª¿É´Ï´Ù. ±×·¯¸é, ÁÂÃø ¼ÕÀ» º¹º®¿¡ ºÙ¿©¼ °íÁ¤À» ÇÏ¿© À§Ä¡°¡ º¯ÇÏÁö ¾Êµµ·Ï ÇÑ ÈÄ ¿ìÃø ¼ÕÀ¸·Î ¸î Â÷·Ê °ø±â¸¦ »©ÁÝ´Ï´Ù.
À۳⿡ ÀüÀÓÀÇ ¼±»ý´ÔÀÌ ´ëÀå³»½Ã°æ °Ë»ç µµÁß Ãµ°øÀ» À¯¹ßÇÏ¿´´Âµ¥, ȯÀÚ°¡ Ç÷¾Ðµµ ¶³¾îÁö°í ¸Å¿ì irritableÇÏ¿© Ãß°¡ ½Ã¼úÀ» ÇÒ ¼ö ¾ø¾ú½À´Ï´Ù. Àü½Å»óŰ¡ ºÒ·®ÇÏ¿© ¼ö¼úÀ» ÇÒ ¼ö ¾ø´Â °í·ÉÀÇ È¯ÀÚ¿´±â ¶§¹®¿¡ º¹°³» °ø±â¸¦ õÀÚÇÏ¿© ȯÀÚÀÇ Áõ»óÀ» ¾à°£ °³¼±½ÃŲ ÈÄ Ä¸À» ¾º¿ì°í (ĸÀ» ¾º¿ì¸é °ø±â¸¦ °ÅÀÇ ³ÖÁö ¾Ê°íµµ ´ëÀå³»½Ã°æ »ðÀÔÀÌ °¡´ÉÇÕ´Ï´Ù), ´ëÀå³»½Ã°æÀ» ÀÌ¿ëÇÏ¿© õ°ø ºÎÀ§¸¦ ¼º°øÀûÀ¸·Î ºÀÇÕÇÏ¿´½À´Ï´Ù. ÀÌÈÄ Ç×»ýÁ¦ µîÀ¸·Î ³»°úÀû Ä¡·á¸¸ Çϸç Àü½Å»óŰ¡ È£ÀüµÇ¾î ¼ö¼úÀ» ÇÇÇÒ ¼ö ÀÖ¾ú½À´Ï´Ù. ³»½Ã°æ ºÀÇÕÀ» ½ÃµµÇÏ·Áµµ ÇØµµ º¹°³» °ø±â°¡ ¸¹Àº °æ¿ì¿¡´Â ȯÀÚ°¡ ÀüÇô ÇùÁ¶µÇÁö ¾Ê¾Æ ½Ã¼úÀ» ÇÒ ¼ö ¾ø±â ¶§¹®¿¡ º¹°³» °ø±â¸¦ õÀÚÇÏ¿© ȯÀÚÀÇ Áõ»óÀ» °³¼±½ÃŰ´Â °ÍÀº Çʿ信 µû¶ó µµ¿òÀÌ µÈ´Ù°í »ý°¢ÇÕ´Ï´Ù.
[¾Öµ¶ÀÚÀÇ ´äº¯ 8] Àú´Â ÁÖ·Î RUQ ÂÊ¿¡¼ percussion ÇØºÁ¼ tympanic sound ¿©ºÎ¸¦ È®ÀÎÇϸç 50cc ÁÖ»ç±â·Î õÀÚ¸¦ ÇÕ´Ï´Ù RUQ ¦U¿¡¼ ÇÏ´Â ÀÌÀ¯´Â ´Ù¸¥ ºÎÀ§´Â Àå³» °¡½º¿Í º¹°³» °¡½º°¡ percussion À¸·Î °¨º°ÀÌ Àß ¾ÈµÇÁö¸¸ RUQ ÂÊÀº solid organ ºÎÀ§À̹ǷΠpercussion ½Ã Àå±â(liver)¿Í º¹°³» °¡½º°¡ °¨º°ÀÌ µÇ±â¶§¹®¿¡ Á¶±ÝÀÌ¶óµµ ¾ÈÀüÇÏÁö ¾ÊÀ»±î ½Í¾î¼ ±×·¸°Ô Çϰí ÀÖ½À´Ï´Ù °³ÀÎÀûÀÎ °ßÇØÀÌ´Ï ±×³É Âü°í¸¸ ÇϼÌÀ¸¸é ÇÕ´Ï´Ù.
[¾Öµ¶ÀÚÀÇ ´äº¯ 9] Àú´Â °³ÀÎÀûÀ¸·Î NOTES-EFTRÀ» ÇÏ´Ùº¸´Ï º¹°³» °ø±â¿¡ µÐ°¨ÇÕ´Ï´Ù. ¾çÀÌ ¾ÆÁÖ ¸¹°Å³ª ȯÀÚ°¡ ºÒÆíÇØ Çϸé Á¦°Å¸¦ ÇØÁÖ°í º°´Ù¸¥ Áõ»óÀÌ ¾øÀ¸¸é ±×³É µÓ´Ï´Ù. õÀÚ ºÎÀ§´Â ´ëºÎºÐ xiphoid process ¾Æ·¡ ºÎÀ§¸¦ »ç¿ëÇÕ´Ï´Ù. õÀÚ ºÎÀ§¿¡ ´ëÇÑ Á¤´äÀº ¾ø´Â °Í °°½À´Ï´Ù. ÇÏÁö¸¸ Áõ»óÀÌ »ý±æ Á¤µµÀÇ ¾çÀÎ °æ¿ì ¾îµð¸¦ õÀÚÇØµµ º°´Ù¸¥ ¹®Á¦´Â ¾øÁö ¾ÊÀ»±î¿ä?
[¾Öµ¶ÀÚÀÇ ´äº¯ 10 = ù Áú¹®À» ÁֽŠºÐ]Àú´Â »ç½Ç °³ÀÎÀûÀ¸·Î twitter¸¦ ÇÏÁö ¾Ê°í ÀÖ¾î¼ SNSÀÇ ¿µÇâ·Â¿¡ ´ëÇØ Å©°Ô »ý°¢ÇÏÁö ¾Ê°í ÀÖ¾ú´Âµ¥ À̰ɺ¸´Ï Á¤¸» ´ë´ÜÇϱº¿ä. ±ô¦ ³î¶ú½À´Ï´Ù.
Á¦°¡ »ý°¢À» ¹Ù²Ù¾î¾ß ÇÒ °Í °°½À´Ï´Ù. Á¦°¡ Áú¹®À» µå·È´ø °è±â´Â, ù° perforationÀÌ µÆÀ» ¶§ º¹ºÎÀÇ ºÒÆí°¨ÀÌ ÀÖ°Ô µÇ¸é rapportÇü¼º¿¡ ÁÁÁö ¾ÊÀº ¸éÀÌ ÀÖ¾î ¾î´ÀÁ¤µµÀÇ decompressionÀº ÇÊ¿äÇÏÁö ¾Ê³ª ÇÏ´Â »ý°¢À̸ç, µÑ° ´ëºÎºÐÀÇ ¿¬¼ö°Á ÀÚ·áµéÀ» º¼ ¶§ RLQ¸¦ targetÀ¸·Î ÇÏ´Â °æ¿ì°¡ ¸¹¾Ò´Âµ¥, ¾Æ¸¶µµ À̰ÍÀº ascites tappingÀÇ °æÇèÀ¸·Î ±×·± °Í °°À¸¸ç, colon perforationÁ÷ÈĶó¸é ÀåÁß¿¡°¡ °¡Àå Á÷°æÀÌ Å« cecum°ú ascending colonÀÌ ¾ÆÁ÷ air distensionµÅ ÀÖ¾î À̰÷À» Â °æ¿ì 2Â÷ÀûÀΠõ°øÀÇ °¡´É¼ºÀÌ ÀÖÁö¾Ê³ª ÇÏ´Â »ý°¢°ú, ¼Â° º¸Åë º´½Ç¿¡ °¡°ÔµÇ¸é ȯÀÚ°¡ ºÒÆíÇÏ¿© ¾É¾ÆÀְųª ¶Ç´Â ICU¿¡¼´Â »óü¸¦ ¿Ã¸° »óÅ·ΠÀÖ´Â °æ¿ì°¡ ÀÖ¾î ¿ÀÈ÷·Á RUQ°¡ ÁÁÁö ¾ÊÀ» ±î ÇÏ´Â »ý°¢ÀÌ ÀÖ¾úÁö¸¸ ½ÇÁ¦·Î Á¦ °æÇèÀÌ Âª¾Æ ¾î´À°Íµµ ÀÚ½ÅÀÖ°Ô ¼±ÅÃÇϱâ Èûµé¾ú±â ¶§¹®ÀÔ´Ï´Ù. ¿©·¯ ¼±»ý´ÔµéÀÇ °æÇè´ã Àß µé¾ú°í Á¤¸®ÇØ Áֽм±»ý´Ô²² ³Ê¹«µµ °¨»çµå¸³´Ï´Ù.
[¾Öµ¶ÀÚÀÇ ´äº¯ 11] Àú´Â °³ÀÎÀûÀ¸·Î´Â ºñ±³Àû ÀϰüµÈ ¹æ¹ýÀ» ¿¹ÀüºÎÅÍ Áö¼ÓÀûÀ¸·Î »ç¿ëÇØ¿À°í ÀÖ½À´Ï´Ù. ±âº»ÀûÀ¸·Î´Â ´äº¯ 5¿Í À¯»çÇÕ´Ï´Ù.õÀÚºÎÀ§¿Í ÀÚ¼¼ µîÀÇ ¹æ¹ýÀº
- Lt decubitus position (ÀϹÝÀûÀÎ ³»½Ã°æ ÀÚ¼¼)
- RUQ - mid axillary line °ú anterior axillary line ÀÇ »çÀÌ lower intercostal space puncture ( ÈçÈ÷ liver biopsy ¸¦ ÇÏ´Â À§Ä¡ )
- 20-18 °ÔÀÌÁö angio needle (plastic sheeth ÀÖ´Â °Í) ·Î 10 cc syringe ¿¡ saline À» ä¿ö¼ À½¾ÐÀ» °¡ÇÏ¸é¼ puncture Çϰí, air bubble ÀÌ ³ª¿À´Â ½ÃÁ¡¿¡¼ outer sheeth ¸¸ »ðÀÔÇÑ ÈÄ¿¡, IV line À» ¿¬°áÇϰí, saline À» ä¿î bottle ¿¡ ¼ö¸é ¾Æ·¡¿¡ °íÁ¤Çؼ, air bubble ÀÌ ³ª¿À´Â °ÍÀ» È®ÀÎÇϸé¼, ÃæºÐÈ÷ air °¡ ¹èÃâµÉ ¶§ ±îÁö ±â´Ù¸³´Ï´Ù. °æ¿ì¿¡ µû¶ó Valsalva ¸¦ ½ÃÄѼ ¹èÃâ½Ã°£À» ´ÜÃà½Ã۱⵵ ÇÕ´Ï´Ù.
ÀÌ·± õÀÚ ºÎÀ§¿Í ÀÚ¼¼¿¡ ´ëÇÑ rationale·Î´Â (1) Lt decubitus position ¿¡¼ °ø±â´Â Rt side ·Î ¶ß°Ô µÇ°í, (2) ÀÌ ºÎÀ§´Â ¿ø·¡ liver °¡ À§Ä¡ÇÏ´Â ÀÚ¸®¿©¼, needle ¿¡ ÀÇÇÑ injury ·Î viscous perforation ÀÇ ¹ß»ý À§Ç輺ÀÌ ÀûÀ¸¸ç, ¸¸¾à liver ¿¡ needle injury °¡ ¹ß»ýÇÏ´õ¶óµµ, liver ¿¡¼´Â ¹®Á¦°¡ µÉ¸¸ÇÑ ÃâÇ÷ÀÌ ¹ß»ýÇÒ °¡´É¼ºÀÌ ³·±â ¶§¹®ÀÔ´Ï´Ù. º¸ÅëÀº Abd S/E È®ÀÎ ÈÄ, air ¾çÀÌ ¸¹°í ȯÀÚ°¡ ºÒÆíÇØ ÇÏ´Â °æ¿ì¿¡ puncture ¸¦ ÇÏ´Â ÆíÀ̸ç, ½Ã¼ú Áß perforation ÀÌ ¹ß»ýÇÏ¿© ȯÀÚÀÇ saturation ÀÌ ÀúÇϵǴ emergent ÇÑ »óȲ¿¡¼´Â (ESD ÀÌ¿ÜÀÇ °æ¿ì¸¦ Æ÷ÇÔÇØ¼) Lt decubitus position (³»½Ã°æ üÀ§) ¿¡¼ liver bed ¸¦ percussion ÇØ º¸°í, tympanic ÇÏ´Ù¸é À§ÀÇ ºÎÀ§¸¦ üÀ§ º¯°æ ¾øÀÌ direct puncture ÇÏ´Â °æ¿ìµµ ÀÖ½À´Ï´Ù. ÀÌ·¯ÇÑ ¹æ¹ýÀº ÀÀ±Þ»óȲ¿¡¼ÀÇ ½Ã°£Àý¾à¿¡ µµ¿òÀÌ µÇ´Â °Í °°½À´Ï´Ù.
½ÇÁ¦·Î ÀÌ·¯ÇÑ direct puncture ·Î ÀÀ±Þ»óȲ ´ëó¿¡ Å« µµ¿òÀÌ µÇ¾ú´ø case °¡ 2°³ Á¤µµ ±â¾ïµË´Ï´Ù. (1) °»ç ½ÃÀý (preESD ½Ã±â) ±³¼ö´ÔÀ» assist ÇÏ´ø ½ÃÀý¿¡, ±³¼ö´Ô²²¼ EMR-C ¸¦ ½ÃÇàÇÑ ÈÄ ¹ß»ýÇÑ ºñ±³Àû Å« perforation À» clipping À¸·Î ºÀÇÕÇÏ·Á´Â ½Ãµµ·Î ½Ã°£ÀÌ ÁöüµÇ´Â °úÁ¤¿¡¼, ȯÀÚÀÇ È£ÈíÀÌ ¾î·Á¿öÁö¸é¼ cyanosis °¡ ¹ß»ýÇßÀ»¶§, RUQ percussionÀ¸·Î tympanic sound È®ÀÎÈÄ Áï½Ã needle õÀÚ¸¦ ½ÃÇàÇØ¼ arrest ¸¦ °¡±î½º·Î ¸ð¸éÇß´ø Áõ·ÊÀÇ ±â¾ï°ú (2) 4ÀÏ Á¤µµ Áö¼ÓµÇ¾î ÀÌ¹Ì ischemic change °¡ ¹ß»ýÇß´Ù°í ÆÇ´ÜµÈ sigmoid volvulus ȯÀÚ¸¦ ±×·¡µµ ´ëÀå³»½Ã°æÀ» ÅëÇØ reduction ÇØº¸·Á°í ÇÏ´Â ¼ø°£, °©ÀÛ½º·´°Ô saturation ÀÌ ÀúÇÏµÇ¸é¼ È£Èí°ï¶õÀÌ ¹ß»ýÇÏ¿© arrest Á÷ÀüÀÇ À§ÇèÇÑ ¼ø°£¿¡¼µµ, üÀ§ º¯°æ µîÀÇ ½Ã°£ Áöü ¾øÀÌ direct puncture ÇÔÀ¸·Î½á Å« µµ¿òÀÌ µÇ¾ú´ø °Í °°½À´Ï´Ù.
[¾Öµ¶ÀÚÀÇ ´äº¯ 12] ±âº»ÀûÀ¸·Î ¾Öµ¶ÀÚÀÇ ´äº¯ 11¹ø°ú °°½À´Ï´Ù. ÀϹÝÀû ESD positionÀÎ left lateral position¿¡¼ ¿ìÃø ¿·±¸¸® intercostal space(ICS)ÀÇ mid axillary lineÁ¤µµ¸¦ õÀÚÇÕ´Ï´Ù. Ȥ ±âÈäÀÇ ¿ì·Á°¡ ÀÖÀ¸¹Ç·Î µÇµµ·Ï °¡Àå ¾Æ·¡ÂÊ ¶Ç´Â °¡Àå ¾Æ·¡ÂÊ¿¡¼ Çϳª µÑ À§ÀÇ ICS¸¦ ¼±ÅÃÇÕ´Ï´Ù. ICS°¡ Á¼°Ô ´À²¸Áö¸é ÁÂÃø ¿·±¸¸®¿¡ º£°Ô¸¦ ³Ö¾î¼ ¿ìÃø ICS°¡ ´Ã¾î³ª°Ô ÇÑ »óÅ·ΠõÀÚÇÕ´Ï´Ù.
ÃÊÀÀ±ÞÀÌ ¾Æ´Ï¸é ÇǺμҵ¶ Àü¿¡, õÀÚÇÒ ICS¸¦ ¼±ÅÃÇÑµÚ ¼Õ°¡¶ôÀ¸·Î ´©¸¥ »óÅ¿¡¼ ¼Õ°¡¶ôÀÇ Á¿ìÃø(ICSÀÇ ÁÖÇà)À» µû¶ó º¼ÆæÀ¸·Î ¼ö cm Ç¥½ÃÇØ µÓ´Ï´Ù. RibÀÇ ¾Æ·¡ÂÊÀº costal artery°¡ Áö³ª °£´Ù´Â °É ¸í½ÉÇÏ¸é¼ ICSÀÇ ¾Æ·¡ÂÊ Áï ribÀÇ »óºÎ¸¦ ÀϺη¯ Çѹø ¸¸³ µÚ¿¡ ½½¶óÀ̵ùÇÏ¸é¼ ICSÀǾƷ¡ÂÊÀ¸·Î µé¾î°©´Ï´Ù. »ý¸®½Ä¿°¼ö°¡ Âù ÁÖ»ç±â¿¡ ¸ÞµðÄÆÀ» ¿¬°áÇÏ¿© air bubbleÀ» È®ÀÎÇÏ´Â °Íµµ ÁÁÁö¸¸, ±ÞÇÒ ¶§´Â ¼Òµ¶µÚ ¸ÞµðÄÆ¸¸ ÂµÚ »´À» ´ëºÁ¼ ³ª¿À´Â °ø±â°¡ ´À²¸Áö¸é needleÀº Á¦°ÅÇϰí ÇÃ¶ó½ºÆ½ sheath¸¸ ¹Ð¾î ³Ö½À´Ï´Ù. ¼ö¾× ¶óÀÎÀ» ¿¬°áÇÏ°í ¼ö¾×¹é¿¡ ¿¬°áÇÏ´Â ÂÊÀÇ ÇÃ¶ó½ºÆ½ è¹öÀÇ Áß°£À» ÀÚ¸¨´Ï´Ù. ¹°À» ³ÖÀº ÇÃ¶ó½ºÆ½ »ý¸®½Ä¿°¼öÅë¿¡ À߸° è¹ö¸¦ ³Ö¾î¼ °ø±â°¡ ³ª¿À´Â °ÍÀ» È®ÀÎÇÕ´Ï´Ù.
ESD position¿¡¼ ½ÃÇàÇϹǷÎ, ½Ã¼ú Áß¿¡µµ ½ÃÇàÀÌ °¡´ÉÇϰí õÀÚÇÑ »óÅ¿¡¼ ½Ã¼úÀ» °è¼ÓÇϴµ¥ ¹«¸®°¡ ¾ø½À´Ï´Ù. õ°øÀÌ ÀÇ½ÉµÇ¸é ¹Ù·Î ÃµÀÚÇÒ ÁÖº¯ÀÇ ICS ¸¦ ŸÁøÇغ¸°í, liver dullness°¡ »ç¶óÁö°í lungó·³ tympanic ÇÏ´Ù¸é °ÅÀÇ Ãµ°øµÈ °ÍÀÌ ¸ÂÀ¸¹Ç·Î õÀÚÇÏ¸é µË´Ï´Ù. ¿¢½º·¹ÀÌ È®ÀÎÀü¿¡ ½ÃÇàÀÌ °¡´ÉÇϰí, aorta, bowel µîÀÇ Ãµ°ø À§ÇèÀ» »ý°¢Çϸé ÀÌ ¹æ¹ýÀÌ ÃÖ°í¶ó°í ¹Ï½À´Ï´Ù.
1) Endoscopic management of colonoscopic perforations (with videos) (GIE 2012)
2) [2023-10-21] ¾ç»êºÎ»ê´ë ¿Ü°ú ¹Úº´¼ö ±³¼ö °ÀÇ·Ï Áß Tenstion Pneumoperitoneum ºÎºÐ
- 18G venous catheter
- 2 recommended areas of abdominal wall entry: (1) 2 cm below the umbilicus in the midline (through the linea alba), (2) 5 cm superior and medial to the anterior superior iliac supines on other side
[Facebook¿¡ À̹ø discussionÀ» ¼Ò°³ÇÔ. 2012-1-27]
IT¸¦ ÀÌ¿ëÇÑ ±³À°ÀÌ Å©°Ô ¹ßÀüÇϰí ÀÖ´Ù. Æ®À§Åͳª ÆäÀ̽ººÏ°ú °°Àº SNS°¡ ´ë¼¼ÀÌÁö¸¸, ¼Ò½ÉÇÑ ¼º°ÝÀÎ ³ª´Â º¸´Ù classicÇÑ ¹æ¹ýÀ» ÁÁ¾ÆÇÑ´Ù. Áï e-mailÀ» ÀÌ¿ëÇÑ push service°¡ ³» Àû¼ºÀÌ´Ù. Áú ÁÁÀº ±³À°ÀڷḦ ²À ÇÊ¿äÇÑ »ç¶÷¿¡°Ô¸¸ º¸³»´Â ¹æ½Ä. À̸§Àº EndoTODAY. http://endotoday.com/endotoday/index_endotoday.html
ÇöÀç e-mail daily learning systemÀÎ EndoTODAY´Â ¸ÅÀÏ 500¿©¸í¿¡°Ô ¹ß¼ÛµÇ°í ÀÖ´Ù. ¿©·¯ º´¿ø junior faculty, fellow, resident, ºÀÁ÷ÀÇ µîÀÌ ÁÖ µ¶ÀÚÃþÀÌ´Ù. ÇÊÀÚ¿¡°Ô ½Ç¸í ¸ÞÀÏ·Î ±¸µ¶½ÅûÀ» ÇÒ ¼ö ÀÖ´Ù. stomachlee@gmail.com
EndoTODAYÀÇ ±³À°ÀÚ·á¿Í µ¶ÀÚµéÀÇ ±³½ÅÀ» ÅëÇÏ¿© ´Ù¾çÇÑ °ßÇØ¿Í Ã¥¿¡ ¾ø´Â ºñ¹ýµéÀÌ °ø°³µÇ°í, ±× °á°ú ȯÀÚ¿¡°Ô º¸´Ù ÁÁÀº Ä¡·á¸¦ Á¦°øÇÏ´Â ¼±¼øÈ¯ ±¸Á¶°¡ ¸¸µé¾îÁø ¼ÀÀÌ´Ù. ¿¬±¸¸¦ ÅëÇÏ¿© ȯÀÚ¿¡°Ô ºÀ»çÇÏ´Â ¹æ¹ý¸¸ ÀÖ´Â °ÍÀÌ ¾Æ´Ï´Ù. ±³À°À» ÅëÇÏ¿© °£Á¢ÀûÀ¸·Î ¸¹Àº ȯÀÚ¿¡°Ô ºÀ»çÇÏ´Â °ÍÀÌ ³ªÀÇ ¹æ¹ýÀÌ´Ù. Èï¹Ì·Î¿î ÁÖÁ¦¿¡ ´ëÇØ¼´Â µ¶ÀÚµéÀÇ ÀǰßÀÌ ¼âµµÇÑ´Ù. ÃÖ±Ù ÁøÇàµÇ°í ÀÖ´Â Åä·ÐÀ» ¼Ò°³ÇÑ´Ù. ESDÈÄ ¹ß»ýÇÑ Ãµ°øÀÇ Ä¡·á¿¡ °üÇÑ ³»¿ëÀε¥, ¿©·¯ °í¼öµéÀÇ ºñ¹æ°°Àº °ÍÀÌ¶ó ¹«Ã´ Èï¹Ì·Ó´Ù.
[³»½Ã°æÇÐȸ ¼¼¹Ì³ª¿¡¼ ÃÖâȯ ¼±»ý´Ô²²¼ EndoTODAYÀÇ discussionÀ» ¼Ò°³ÇÔ]
"¸¶Áö¸·À¸·Î, ÃÖ±Ù¿¡ »ï¼º¼¿ïº´¿ø ÀÌÁØÇà±³¼ö´Ô²²¼ ¿î¿µÇÏ´Â EndoTodayÀÇ ¾Öµ¶ÀÚ ¼±»ý´Ô²²¼ Á¦¾ÈÇϽŠ'³»½Ã°æ ½Ã¼ú Áß¿¡ ¹ß»ýÇÑ ´Ù·®ÀÇ º¹°³» °ø±â¸¦ Á¦°ÅÇÏ´Â ¹æ¹ý' Çϳª¸¦ ¼Ò°³ÇϰíÀÚ ÇÑ´Ù. ȯÀÚ°¡ ÁÂÃøÀ¸·Î ´©¿îÀÚ¼¼(left lateral position)¿¡¼ ¿ìÃø ¿·±¸¸® ´Á°ñ»çÀ̰ø°£(intercostal space, ICS)ÀÇ Áß°£°Üµå¶ûÀ̼±(midaxillary line) Á¤µµ¸¦ Á¤¸ÆÁÖ»ç¹Ù´Ã(angiocatheter)·Î õÀÚÇÑ´Ù. Ȥ½Ã ±âÈäÀÇ ¿ì·Á°¡ ÀÖÀ¸¹Ç·Î µÇµµ·Ï °¡Àå ¾Æ·¡ÂÊ ¶Ç´Â °¡Àå ¾Æ·¡ÂÊ¿¡¼ Çϳª µÑ À§ÀÇ ´Á°ñ»çÀ̰ø°£À» ¼±ÅÃÇÑ´Ù. ´Á°ñ»çÀ̰ø°£ÀÌ Á¼°Ô ´À²¸Áö¸é ÁÂÃø ¿·±¸¸®¿¡ º£°³¸¦ ³Ö¾î¼ ¿ìÃø ´Á°ñ»çÀ̰ø°£ÀÌ ´Ã¸° »óÅ·ΠõÀÚÇÑ´Ù. ´Á°ñÀÇ ¾Æ·¡ÂÊÀº ´Á°£µ¿¸Æ(intercostal artery)ÀÌ ÁÖÇàÇÑ´Ù´Â °ÍÀ» ¿°µÎ¿¡ µÎ°í, ´Á°ñÀÇ »óºÎ¸¦ ÀϺη¯ Çѹø ¸¸³ µÚ¿¡ ¹Ì²ô·¯ÁöµíÀÌ ´Á°ñ»çÀ̰ø°£ÀÇ ¾Æ·¡ÂÊÀ¸·Î »ðÀÔÇÑ´Ù. »ðÀÔÇÑ Á¤¸ÆÁÖ»ç¹Ù´ÃÀ» »ý¸®½Ä¿°¼ö¸¦ ä¿î ÁÖ»ç±â¿¡ ¿¬°áÇÏ¿© °ø±â¹æ¿ïÀÌ ³ª¿À´Â °ÍÀ» È®ÀÎÇϰųª, º¼À» ´ë¾î º¸¾Æ ºÐÃâµÇ´Â °ø±â°¡ ´À²¸Áö¸é ¹Ù´ÃÀº Á¦°ÅÇϰí ÇÃ¶ó½ºÆ½ sheath¸¸ ¹Ð¾î³Ö´Â´Ù. ¼ö¾× ¶óÀÎÀ» ¿¬°áÇÏ°í ¼ö¾×¹é¿¡ ¿¬°áÇÏ´Â ¹Ý´ëÂÊÀ» »ý¸®½Ä¿°¼öÅë ´ã°¡ °ø±â°¡ ³ª¿À´Â °ÍÀ» È®ÀÎÇÑ´Ù. ÁÂÃøÀ¸·Î ´©¿î ÀÚ¼¼¿¡¼ ½ÃÇàÇϹǷΠ½Ã¼ú Áß¿¡µµ ½ÃÇàÀÌ °¡´ÉÇϰí õÀÚÇÑ »óÅ¿¡¼ ½Ã¼úÀ» °è¼ÓÇÒ ¼öµµ ÀÖ´Ù. ¶ÇÇÑ ´ëµ¿¸ÆÀ̳ª Àåõ°ø µîÀÇ À§ÇèÀÌ ÀûÀº ÀåÁ¡ÀÌ ÀÖ´Ù."
1) Delayed Perforation Occurring after Gastric Endoscopic Submucosal Dissection ±èż¼ Gut Liver 2024
[Home]