[20110531. Issues on duodenal ulcer (13): Helicobacter in recurred case]
½ÊÀÌÁöÀå±Ë¾ç Àç¹ßÀÇ °¡Àå Áß¿äÇÑ ¿øÀÎÀº Ç︮ÄÚ¹ÚÅÍ¿Í NSAIDÀÔ´Ï´Ù. ±× Áß¿¡¼ NSAID´Â Á¤¸» ¾î·Æ½À´Ï´Ù.
¿À·¡Àü ½ÊÀÌÁöÀå±Ë¾ç ÃâÇ÷ÀÌ ÀÖ¾ú°í ´ç½Ã Ç︮ÄÚ¹ÚÅÍ Á¦±ÕÀ» ÇÏ¿´°í ¿©·¯ °Ë»ç¿¡¼ Á¦±Õ¼º°øÀ» È®ÀÎÇÏ¿´½À´Ï´Ù. ±×·±µ¥ ¼ö³â ÈÄ °©Àڱ⠽ÊÀÌÁöÀå±Ë¾ç ÃâÇ÷ÀÌ ¹ß»ýÇÏ¿´½À´Ï´Ù. ±Ý¿¬ÁßÀ̾ú°í NSAIDµµ º¹¿ëÇÏÁö ¾Ê¾Ò½À´Ï´Ù. UBT´Â positive¿´½À´Ï´Ù.

3³â Àü ³»½Ã°æ. Ulcer scar.

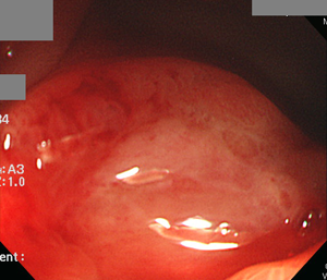
½ÊÀÌÁöÀå±Ë¾ç Àç¹ß ÃâÇ÷. UBT (+)
Ç︮ÄÚ¹ÚÅÍ Á¦±ÕÀ» Çß´õ¶ó°í Àç¹ßÇÑ °æ¿ì¿¡´Â Ç︮ÄÚ¹ÚÅͰ¡ ´Ù½Ã µ¹¾Æ¿ÔÀ» °¡´É¼ºÀ» °í·ÁÇØ¾ß ÇÕ´Ï´Ù. Ç︮ÄÚ¹ÚÅÍ´Â Áöµ¶ÇÕ´Ï´Ù. ¿ÏÀüÈ÷ ¾ø¾Ö±â°¡ Á¤¸» ¾î·Æ½À´Ï´Ù.
Ç︮ÄÚ¹ÚÅÍ¿¡ ÀÇÇÑ Àç¹ß·Î ÆÇ´ÜÇÏ°í ´Ù½Ã Á¦±ÕÄ¡·á¸¦ ÇϰÚÁö¸¸ ¿©ÀüÈ÷ ¸î °¡Áö °í¹Î°Å¸®°¡ ÀÖ½À´Ï´Ù. ¾àÁ¦ ¼±ÅÃÀº ¾î¶»°Ô ÇÒ±î¿ä? 1Â÷ ¾àÁ¦°¡ ÁÁÀ»±î¿ä 2Â÷ ¾àÁ¦°¡ ÁÁÀ»±î¿ä? Àú´Â 1Â÷ ¾àÁ¦¸¦ ¼±ÅÃÇÏ¿´½À´Ï´Ù. ¼º°øÀûÀÎ Á¦±ÕÄ¡·á ÈÄ PPI maintenance°¡ ÇÊ¿äÇÒ±î¿ä? Àú´Â half dose PPI every other day Á¤µµ¸¦ ÃßõÇÏ¿´½À´Ï´Ù.
[Home]