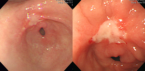
[20110414. From the textbook (3) Refractory ulcer]

º¸ÅëÀÇ ¼Òȼº±Ë¾çÀº PPI·Î Ä¡·áÇÏ¸é ±Ý¹æ È£ÀüµË´Ï´Ù. ±×·¯³ª ÃÖ±Ù °í·ÉȯÀÚ, ´ÙÁúȯȯÀÚ µîÀÌ ¸¹¾ÆÁö¸é¼ Ä¡·áÇϱ⠾î·Á¿î ±Ë¾çÀ» Á¾Á¾ ¸¸³³´Ï´Ù. ±³°ú¼ 203ÂÊ¿¡ ³Ä¡¼º ±Ë¾çÀÇ Ä¡·á¿¡ ´ëÇÑ ¾ð±ÞÀÌ ÀÖ¾î ÀϺΠ¿Å±é´Ï´Ù.
"8-12ÁÖ µ¿¾ÈÀÇ °·ÂÇϰí Áö¼ÓÀûÀÎ PPIs Ä¡·á ÈÄ¿¡µµ ³´Áö ¾Ê´Â ±Ë¾çÀ» ³Ä¡¼º±Ë¾çÀ̶ó ÇÑ´Ù. ±×·¯³ª Áõ»óÀº ¾øÀ» ¼ö ÀÖ´Ù. ³Ä¡¼ºÀÇ ¿øÀÎÀ¸·Î´Â Ç︮ÄÚ¹ÚÅÍ ÆÄÀ̷θ®°¡ Áö¼ÓÀûÀ¸·Î Á¸ÀçÇϰųª Ä¡·á¾àÁ¦¿¡ ³»¼ºÀ» º¸ÀÌ´Â °æ¿ì, Ä¡·á¾àÁ¦¿¡ ´ëÇÑ ¼øÀÀµµ°¡ ¶³¾îÁö´Â °æ¿ì, ¹«ºÐº°ÇÏ°Ô ±Ë¾ç À¯¹ß¾àÁ¦¸¦ º¹¿ëÇÏ´Â °æ¿ì, °Å´ë±Ë¾ç, À§»ê ºÐºñ°¡ Ç×ÁøµÈ °æ¿ì, Å©·Ðº´ µî°ú °°Àº Àü½ÅÁúȯÀÌ ÀÖ´Â °æ¿ìÀÌ´Ù. ¸ÕÀú ±âÀúÁúȯÀ» Ä¡·áÇÑ ÈÄ Ç¥ÁØ ¿ë·®ÀÇ PPIs¸¦ Áö¼ÓÀûÀ¸·Î Åõ¿©ÇÏ¿© Ä¡·áÇÑ´Ù."
³Ä¡¼º±Ë¾ç¿¡¼ ÇÊ¿äÇϸé PPI¸¦ Áö¼ÓÀûÀ¸·Î Åõ¿©ÇÑ´Ù´Â Á¡Àº µ¿ÀÇÇÕ´Ï´Ù. ±×·¯³ª ²À Ç¥ÁØ ¿ë·®ÀÌ ÇÊ¿äÇÑÁö´Â ¸ð¸£°Ú½À´Ï´Ù.Àú´Â Àý¹Ý¿ë·®À» »ç¿ëÇÏ´Â °æ¿ì°¡ ´õ ¸¹½À´Ï´Ù.




[Home]